Branchenmeldungen 21.02.2011
Offener Brief: Versorgung von Kindern ist gefährdet
Sehr geehrte Frau Bundesministerin,
mit diesem Schreiben möchten wir erneut auf die Problematik der zahnärztlichen Behandlung von Kindern und behinderten Patienten in Vollnarkose aufmerksam machen.
Leider hat der Bewertungsausschuss an seinem Beschluss, die Narkosen für zahnärztliche Behandlungen im RLV weit unter dem Niveau der anfallenden Kosten zu vergüten, bis jetzt festgehalten. „Sonderlösungen“ in einzelnen KV-Gebieten sind unseres Erachtens nach bedenklich, da Kinder dadurch je nach Bundesland unterschiedlich auf Hilfe hoffen dürfen oder diese ihnen zukünftig verweigert wird, je nachdem, wo sie zuhause sind.
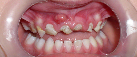
Bundesweit kommt es bereits jetzt zu Engpässen in der zahnärztlichen Versorgung von betroffenen Kindern und behinderten Patienten. In rasantem Tempo wachsen Wartelisten, weil wir Kinderzahnärzte zu wenige Narkosetermine für unsere Patienten bekommen. Das bedeutet, dass bei Kindern, die einen solchen Zahnbefund aufweisen wie hier abgebildet, keine zahnerhaltenden Behandlungen möglich sind.

In der Kieferchirurgie (diese Narkosen werden außerhalb des RLV vergütet, hier sind Narkosebehandlungen noch möglich) können in der Regel nur Zahnentfernungen vorgenommen werden.
Die ausbleibende zahnärztliche Behandlung in Folge der nicht erbrachten Anästhesie hat neben allgemeinmedizinischen, zahnmedizinischen und psychosozialen Konsequenzen für diesen Personenkreis auch wirtschaftliche Folgen:
Der Erhalt eines tief kariösen (Milch-) Zahnes, den wir in unseren Behandlungen anstreben, verursacht lediglich Kosten in Höhe von ca. 107,91 € für die Zahnbehandlung. Werden Zähne aus Gründen der scheinbaren Wirtschaftlichkeit nicht behandelt oder vorzeitig entfernt, wird sich der Biss bei diesen Patienten verschieben, so dass in der überwiegenden Zahl der Fälle eine spätere kieferorthopädische Behandlung notwendig wird. Eine solche kostet in der Regel zwischen 2.000 und 5.000 €.
Die Konsequenz der heutigen Einsparungen bei zahnärztlichen Narkosen für Kinder und behinderte Patienten ist, dass spätestens in vier bis acht Jahren eine Kostenexplosion auf das Gesundheitswesen zukommen wird.
Unbehandelte Zähne führen zu schmerzhaften Entzündungen, die unter Umständen weitere Narkosen als Notfallbehandlung zur Folge haben. Wachsen bleibende Zähne in das unbehandelte Milchgebiss hinein, werden sie von den kariösen Milchzähnen angesteckt. Dadurch entstehen unnötige Folgekosten für Füllungen, Zahnnerv-Behandlungen und bei Zahnverlust kieferorthopädische oder prothetische Behandlungen.
Ziel der Kinderzahnärzte ist nicht nur die Sanierung der Zähne, sondern in erster Linie die Prävention. Durch kinderzahnheilkundliche Maßnahmen und den hohen Spezialisierungsgrad der Kinderzahnärzte, auch im Bereich der Verhaltensführung, werden hohe Folgekosten reduziert.
Jetzt gilt es Verantwortung zu übernehmen für eine Zielgruppe, die sich nicht artikulieren kann. Nicht nur, um diesen volkswirtschaftlichen Schaden abzuwenden, sondern in erster Linie , weil wir um das Wohl unserer Patienten mehr als besorgt sind.
Schließlich ist eine Investition in die Gesundheit unserer Kinder die beste Investition in die Zukunft unserer Gesellschaft.
Mit freundlichen Grüßen
Drs. Johanna Maria Kant
Quelle: Bundesverband der Kinderzahnärzte, 12.01.09