Branchenmeldungen 13.08.2021
priti®perfect – Perfect Malen mit 20 Komponenten
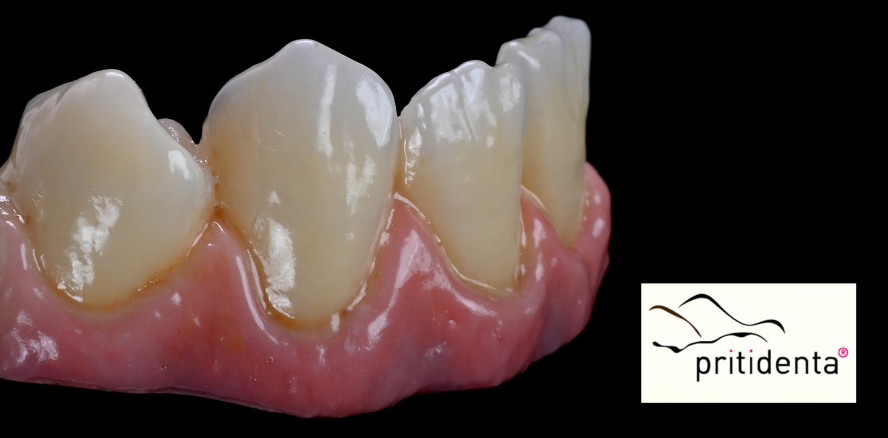
Keep it simple – mit nur 19 Pasten und einem Liquid erzielen Zahntechniker ein lebendiges Oberflächen-Finish vor allem bei monolithischen Zirkonversorgungen. priti®perfect heißt das neue Mal- und Strukturpastensystem des Zirkonspezialisten pritidenta. Mit nur 20 Komponenten zielt priti®perfect auf die sehr effektive und ästhetische 1-Brand-Lösung. Gleichwohl kann je nach Fall auch die 2-Brand-Lösung oder internal staining gewählt werden. Denn bei der Entwicklung stand das effektive Gestalten im Fokus. Die Versorgungen werden beispielsweise aus priti®multidisc ZrO2 Multicolor Ronden gefräst, gesintert und mit priti®perfect zu ästhetischen Unikaten finalisiert. Das Mal- und Strukturpastensystem steht für die Stabilität der Farbwirkung vom Modell bis zum Mund. Die Kontrolle behalten: Für den Zahntechniker ist das mit der Pinseltechnik und den pastösen Massen besonders leicht! Bereits beim Auftragen erkennt er die endgültige Farbe – ein Plus, das Keramikspezialisten im Labor sehr schätzen.
1-Brand-Lösung Keep it simple
Optimal für einen geringen Individualisierungsaufwand (z.B. Seitenzahn):
- Glasur flächig auftragen
- Schneide mit transpa-pigeon und/oder transpa-blue bemalen
- Halosaum mit halo auftragen
- Brennen
- FERTIG!
Video: https://www.youtube.com/watch?v=WlKkpVVxgZI
2-Brand-Lösung Next level
Für die maximale Individualität einer perfekten finalisierten Krone (z.B. beim Frontzahn) empfiehlt pritidenta die 2-Brand-Lösung. Zahntechniker haben hier die Möglichkeit, weitere Effekte in 3D-Optik zu erzeugen.
Video: https://www.youtube.com/watch?v=6WmoGWh6n4M&list=PLGWoJnH9hEpZpgVF0HT2Q-jrKtoAqAuOh&index=3
Freigegeben ist das Malsystem für Zirkoniumdioxid, monolithisches Zirkoniumdioxid, Zirkonschichtkeramik, Metallschichtkeramik und Lithium-Disilikat.

IDS 2021: Halle 10.2 | Stand: R028
Quelle: pritidenta