Branchenmeldungen 15.12.2015

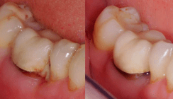
Zahn für Zahn entscheiden

Zahn für Zahn entscheiden

Foto: © Heraeus Kulzer/picture alliance/Schlesinger

Heraeus Kulzer Fortbildung mit Prof. Ernst: Kompositfüllungen von A bis Z

Wann ist eine indirekte Restauration klinisch notwendig – und wann stellt eine direkte Kompositrestauration die schnellere und günstigere Lösung dar? In einem Hands-on-Kurs Mitte November in Berlin ging Prof. Dr. Claus-Peter Ernst von der Poliklinik für Zahnerhaltung der Universität Mainz auf diese Frage ein und zeigte den Teilnehmern im praktischen Teil, wie sie mit den Venus® Diamond und den Venus® Pearl Kompositen von Heraeus Kulzer natürlich wirkende Versorgungen erzielen.

Ob ein Defekt direkt oder indirekt zu versorgen ist, hängt von vielen verschiedenen Faktoren, wie zum Beispiel der Lage und dem Ausmaß, aber auch der Dringlichkeit oder den finanziellen Möglichkeiten des Patienten, ab. Für Prof. Dr. Claus-Peter Ernst steht deshalb fest: Der Behandler muss Zahn für Zahn entscheiden und die Konsequenzen einer direkten oder indirekten Versorgung abschätzen. Ist das Nutzen-Risiko-Verhältnis einer Kompositfüllung ausgewogen, rät er den Teilnehmern zur direkten Versorgung, die häufig die schnellere und günstigere Alternative darstellt.

Kompositrestaurationen sind besser als ihr Ruf

Zudem zeigen Komposite eine gute Verträglichkeit und eine hohe Lebensdauer. Laut einer Stellungnahme1 der DGZ und der DGZMK sind direkte Restaurationen mit Kompositen substanzschonender und damit besonders unter dem Gesichtspunkt der Minimalinvasivität für viele Indikationen geeignet. Dabei hängt die Langlebigkeit einer Kompositfüllung von individuellen Risikofaktoren des Patienten ab. So stellen Bruxismus sowie parafunktionelle Gewohnheiten und Kariesanfälligkeit Risikofaktoren dar, die die Überlebensdauer von Kompositrestaurationen durch Füllungsfraktur bzw. Sekundärkaries negativ beeinflussen können.2 Die Teilnehmer schätzten den Einblick in die Studienlage ebenso wie in den Praxisalltag des Referenten: „Ich nutze Komposite bereits seit vielen Jahren und freue mich, heute erfahren zu haben, welche Materialien Prof. Ernst für bestimmte Indikationen einsetzt“, so Annett Paszkier, Zahnärztin aus Berlin.

Hochfeste oder fließfähige Konsistenz?

Ob pastöse oder niedrigviskose Komposite besser seien, beantwortete Prof. Ernst mit einer Gegenfrage: „Mit welchen Massen kommen Sie besser zurecht?“ Nur wer als Behandler sicher im Umgang mit Kompositen ist, kann sicher und zügig versorgen – ob mit festerem oder flüssigerem Material. Bei Bulk-Flow-Kompositen sei generell zu beachten, dass sie entsprechend der Herstellerangaben bis maximal vier Millimeter Stärke aufzutragen seien und durch ihre geringere Abrasionsstabilität zur Kaufläche hin von pastösem Komposit abgedeckt werden müssten.

Schicht für Schicht einen Zahn aufbauen

Im Hands-on-Teil setzten die Teilnehmer das Erlernte in die Praxis um, indem sie einen kompletten Zahn aus verschiedenen Kompositmassen modellierten. Aus der Opakfarbe Venus Diamond OMC erstellten sie einen Dentinkern, der zur besseren Handhabung im Kurs auf einem Trägerstäbchen modelliert wurde. In einen Silikonschlüssel adaptierten sie zunächst eine dünne Schicht transluzente Kompositmasse – je nach Präferenz das pastöse Venus® Pearl CL oder das fließfähige Venus® Flow – auf, platzierten den Dentinkern darin und härteten beides aus. Mit der pastösen Venus® Pearl HKA2.5 wurde der Zahnkörper gefüllt und eine feine Mamelonstruktur eingezogen. Durch Clear-Masse in den Mamelonausläufern können diese stärker betont werden. „Ich habe hierfür das Flow ausprobiert, das ich bisher noch nicht benutzt hatte“, erläuterte Dr. Christian Heumann, Zahnarzt aus Bernau. „Und ich muss sagen: Ich bin wirklich zufrieden damit!“

Weitere Fortbildungen mit Prof. Dr. Claus-Peter Ernst

Der Hands-on-Kurs „Moderne Füllungstherapie von A (wie Adhäsiv) bis Z wie Zuzahlung: 10 Punkte zum Erfolg“ aus dem Heraeus Kulzer Fortbildungsprogramm wird 2016 zu folgenden Terminen stattfinden:

  • Mittwoch, 27. Januar 2016 in Cottbus
  • Mittwoch, 25. Mai 2016 in Auerbach

Die Veranstaltungen finden nach den Leitsätzen und der Punktebewertung von Bundeszahnärztekammer (BZÄK) und der Deutschen Gesellschaft für Zahn-, Mund- und Kieferheilkunde (DGZMK) statt. Teilnehmende Zahnärzte erhalten sechs Fortbildungspunkte. Interessierte können sich auf unserer Website www.heraeus-kulzer.de/zahnarztfortbildungen informieren und bei Janice Hufnagel, Tel. 06181–9689-2585, oder via E-Mail an janice.hufnagel@kulzer-dental.com anmelden.

Literaturangaben

1 Hickel R, Ernst CP, Haller B,Hugo B, Kunzelmann KH, Merte KH, et al. Direkte Kompositrestaurationen im Seitenzahnbereich – Indikation und Lebensdauer. Gemeinsame Stellungnahme der Deutschen Gesellschaft für Zahnerhaltung (DGZ) und der Deutschen Gesellschaft für Mund- und Kieferheilkunde (DGZMK). Deutsche Zahnärztliche Zeitung 2005; 60: 543–545.

2 van de Sande FH, Opdam NJ, Rodolpho PA, Correa MB, Demarco FF, Cenci MS. Patient risk factors' influence on survival of posterior composites. J Dent Res 2013; 92 (7 Suppl): 78S-83S.

Quelle: Heraeus Kulzer

Mehr News aus Branchenmeldungen

ePaper