Zur Übersicht
Profil
authorImage

Prof. Dr. Claus-Peter Ernst

Universitätsmedizin der Johannes Gutenberg-Universität Poliklinik für Zahnerhaltungskunde
Augustusplatz 2
55131 Mainz
Deutschland
Vita anzeigen

Kurzvita

Seit 1993 am Klinikum der Johannes Gutenberg-Universität beschäftigt, vorher Poliklinik für Zahnerhaltungskunde und Parodontologie der Ludwig-Maximilians Universität München. Habilitation 1999 in Mainz. 12/2005 Ernennung zum außerplanmäßigen Professor.

Forschungs-und Arbeitsschwerpunkte: Adhäsive und ästhetische Zahnheilkunde, Kompositmaterialien, Dentinadhäsive, Lichtpolymerisation; Prophylaxe und Mundhygienehilfsmittel.

Behandlungsschwerpunkte:
Direkte und indirekte adhäsive Versorgungen mit Komposit und Keramik (Inlays, metallfreie Kronen, Teilkronen und Brücken, Veneers), Bleichtechniken vitaler und avitaler Zähne, Prophylaxe

Artikel auf ZWP online

articleImage
Cosmetic Dentistry 29.03.2016

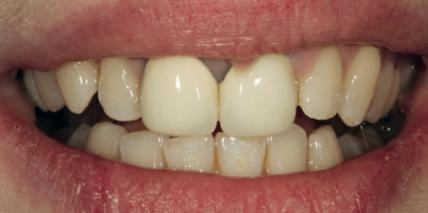
Vollkeramische Frontzahnkronen unter Anwendung von Monobond Etch & Prime

Frontzahnkronen gibt es von funktionell bis hochästhetisch – in Abhängigkeit von den Ansprüchen und den Möglichkeiten des Patienten, dem Geschick des Zahntechnikers, der Materialauswahl, der Präparation sowie dem Befestigungsprozedere. Viele seinerzeit als ästhetisch akzeptabel eingegliederte Frontzahnkronen genügen heute allerdings nicht mehr den Ansprüchen der Patienten, wie der vorliegende Fallbericht beschreibt. weiterlesen

Artikel in Publikationen

Erwähnungen auf ZWP online

ePaper