Wissenschaft und Forschung 01.09.2016
Prävalenzzahlen zu Parodontitis in Österreich „Fehlanzeige“
share
Statistik wäre nötig: Prävalenzzahlen zu Parodontitis in Österreich – leider noch immer Fehlanzeige.
Parodontitis wird zurzeit mit rund 750 Millionen Betroffenen als die sechsthäufigste Erkrankung weltweit angesehen (Kassebaum et al. 2014). Neben Karies ist Parodontitis die häufigste Ursache für Zahnverlust. Zahlreiche epidemiologische Studien belegen dies. In Europa ist die Datenlage zur Prävalenz von Parodontitis nach wie vor sehr unvollständig; bisher zeigte sich die parodontal „gesündeste“ Bevölkerung in Spanien, Schweden und Schweiz, während sich in Deutschland eine erhöhte Zahnverlustrate und die höchste Prävalenz an parodontalem Attachmentverlust präsentierte (König et al. 2010). In Deutschland lag die Prävalenz von Parodontitis bei 71 bzw. 87 Prozent in den Altersgruppen von 35 bis 44 bzw. 65 bis 74 Jahren; 17 bzw. 42 Prozent der Gesamtbevölkerung litt sogar an einer schweren Ausprägung der Erkrankung (Holtfreter et al. 2010).
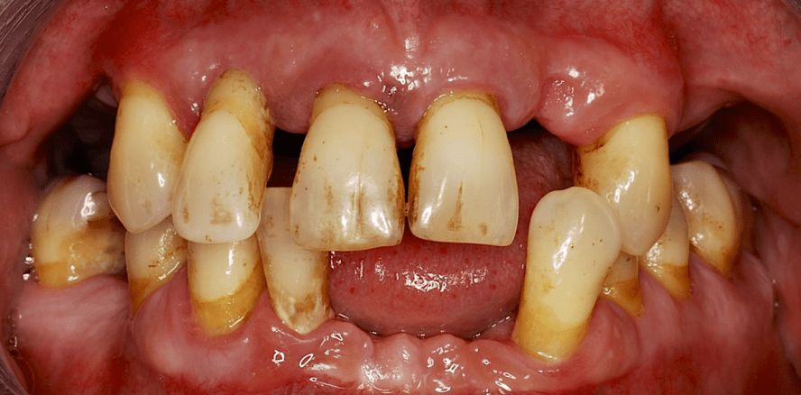
65-jährige Patientin mit positiver Raucheranamnese (generalisierte Parodontitis gravis et complicata). Aufgrund der parodontalen Erkrankung ist es bereits zu Zahnverlusten und somit zu einer deutlichen Einschränkung der Kaufunktion gekommen (a, b). Auch die Restbezahnung ist bereits deutlich kompromittiert; Knochenverlust bis fast an die Wurzelspitze (c) sowie durchgängiger Furkationsbefall an den unteren Molaren (d, e). (© Autorin)
Als Risikofaktoren werden Rauchen, mittlerer oder geringer Bildungsgrad, ledig oder geschieden lebend, Diabetes, männliches Geschlecht und fehlende Zwischenzahnraumreinigung angesehen (Gätke et al. 2012). Darüber hinaus sind zahlreiche Zusammenhänge zwischen systemischen Erkrankungen und Parodontitis beschrieben; ein negativer Einfluss durch das Bestehen einer parodontalen Erkrankung zeigte sich im Rahmen von kardiovaskulären Erkrankungen, Diabetes, rheumatoider Arthritis, Krebserkrankungen sowie Lungenkrankheiten (Cullinan & Seymour 2013, Linden et al. 2013, Olsen 2015). Zusätzlich besteht bei Schwangeren mit einer parodontalen Erkrankung ein erhöhtes Risiko für ein verringertes Geburtsgewicht sowie für Frühgeburtlichkeit (Wimmer & Pihlstrom 2008, Cullinan & Seymour 2013, Sanz et al. 2013). Des Weiteren zeigte sich basierend auf amerikanischen Versicherungsdaten, dass durch eine regelmäßige Parodontaltherapie die Kosten und Krankenhausaufenthalte im Rahmen der Therapie von anderen systemischen Erkrankungen deutlich reduziert werden können (Jeffcoat et al. 2014).
Epidemiologische Daten
In Anbetracht dieser durch parodontale Erkrankungen verursachten beträchtlichen Kosten für das Gesundheitssystem (Chapple 2014, Jeffcoat et al. 2014), der erheblichen Beeinträchtigung der Lebensqualität durch Zahnverlust (Gerritsen et al. 2010) sowie des geringen Bewusstseins der Bevölkerung zu dieser Erkrankung (Varela- Centelles et al. 2015), sollte die Aufrechterhaltung eines gesunden natürlichen Gebisses bis ins hohe Alter das primäre Ziel sein. Jedoch bestehen in Bezug auf das parodontale Therapieangebot (öffentliche vs. private Finanzierung, Anzahl der Spezialisten in Bezug auf die Gesamtanzahl der Zahnärzte, die Verfügbarkeit des Berufs einer Dentalhygienikerin usw.) deutliche Unterschiede zwischen den europäischen Ländern. Die epidemiologischen Daten sind bisher jedoch nicht ausreichend, um gewisse Versorgungsmöglichkeiten als vorteilhaft identifizieren zu können (König et al. 2010).
Behandlungsbedarf eruieren
Es wäre daher von größter Bedeutung, in der österreichischen Bevölkerung vollständige und umfassende Daten zur Parodontitisprävalenz zu erheben. Dies würde eine Beurteilung des parodontalen Behandlungsbedarfs in Österreich erlauben und so eine Grundlage schaffen, um in weiterer Folge entsprechende Interventionen planen und setzen zu können. Dementsprechend arbeiten die Universitätszahnkliniken in Wien, Graz und Innsbruck gemeinsam mit der ÖGP an der Umsetzung dieser Parodontitis-Prävalenzerhebung in der österreichischen Bevölkerung.
Die vollständige Literaturliste gibt es hier.
