Businessnews 01.09.2014
Periimplantitis in der Implantatprothetik
Drei Fragen an Prof. Ralf Smeets, geschäftsführender Oberarzt und Leiter der Forschung am Universitätsklinikum Hamburg-Eppendorf, zur Implantatsuprastruktur cara I-Bridge®.
Wie stehen Sie zu verschraubten Implantatbrücken?
Mit dieser neuen Entwicklung können Zahnärzte unter anderem ein ganz entscheidendes Problem lösen: Die durch Zementreste induzierte „Zementitis“. Der Behandler kann noch so sauber arbeiten, es bleiben fast immer Zementreste übrig. Das bestätigen auch die Studien von Wilson (2009), Linkevicius (2012) und Korsch (2013). Dieses Problem entsteht erst gar nicht, wenn ich mit verschraubten Suprastrukturen arbeite. Damit kann ich u. a. das Periimplantitis-Risiko meiner Patienten reduzieren.

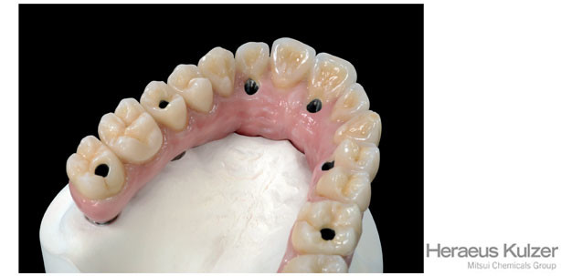
Die abgewinkelten Schraubenkanäle der cara I-Bridge® angled ermöglichen die optimale Positionierung des Implantats. © Heraeus Kulzer
Was sind die Ursachen für Periimplantitis?
Häufige Gründe für Periimplantitis sind chronische Entzündungen, mechanische Überbelastungen, Zementitis und inserierende Muskelzüge. Die Prothetik ist auch ein entscheidender Faktor. Daher ist es wichtig, dass sich Zahnarzt und Zahntechniker bei der Planung absprechen. Wenn wir ehrlich sind, geschehen diese Absprachen bisher viel zu selten. Dabei können wir so viel voneinander lernen und uns gegenseitig unterstützen. Das kommt wiederum unseren Patienten zu gute.
Haben Sie einen Tipp für Anwender?
Machen sie sich das Leben leichter: Die Implantatsuprastruktur cara I-Bridge® von Heraeus Kulzer deckt alle gängigen Implantatsysteme ab. Die Schraubenkanäle der patentierten cara I-Bridge® angled lassen sich bis zu 20 Grad abwinkeln. So kann ich sogar Frontzahnrestaurationen ästhetisch verschrauben – und das flexibel und wirtschaftlich. Diese Möglichkeit hatten Anwender ohne die cara I-Bridge® angled nicht. Hier sehe ich großes Potential für die Zukunft.
Mehr zur cara I-Bridge® erfahren Sie unter www.cara-I-bridge.de. Wie die cara I-Bridge auch Ihr Leben leichter macht, sehen Sie hier: Film ab!

Literatur:
Korsch M, Obst U, Walther W. (2013) Cement-associated peri-implantitis: a retrospective clinical observational study of fixed implant-supported restorations using a methacrylate cement. Clin. Oral Impl. Res.
Linkevicius T, Vindasiute E, Puisys A, Peciuliene V. (2011) The influence of margin location on the amount of undetected cement excess after delivery of cement-retained implant restorations. Clin Oral Implants Res.
Wilson, TG. (2009) The positive relationship between excess cement and periimplant disease: a prospective clinical endoscopic study. J Periodontol;
Quelle: Heraeus Kulzer