Zahntechnik 08.09.2011
LS2-Restaurationen mit Extensionsglied
share
Lithium-Disilikat-Keramiken gehören zu den bevorzugten Gerüstmaterialien für Restaurationen von ästhetisch anspruchsvollen Arbeiten. Sie liefern hoch ästhetische Resultate und weisen im Vergleich zu anderen Glaskeramiken eine 2,5- bis 3-mal höhere Festigkeit auf. Die Biegefestigkeit von Lithium-Disilikat verstärkten Keramiken, wie IPS e.max Press und IPS e.max CAD von IvoclarVivadent, liegen aufgrund ihrer industriellen Fertigung bei bis zu 400 MPa.
Bei der vorgestellten Arbeit handelt es sich um eine 16-jährige Patientin mit Zahnlücken in der Region 15 und 25 infolge einer Nichtveranlagung. Eine Insertion von Implantaten war noch nicht möglich, da sich die Patientin noch in der Wachstumsphase befand. Auf Grund von okklusalen Defekten und einer vorhandenen Nonokklusion der Zähne 16 und 26 bot es sich an, die fehlenden Zähne mit Anhängerbrücken zu versorgen.
Technische Vorgehensweise
Vor Beginn der Präparation wurde die Zahnfarbe für die benötigte Restauration festgelegt. Für die Restauration im rechten Quadranten wurde eine Grundfarbe von Vita Classic Farbring in A2 festgelegt. Bei dem linken Quadranten ist eine Grundfarbe in A3 ausgewählt worden (Abb. 1 und 2). Aufgrund des Lippenverlaufes bzw.Verlauf der Lachlinie konnte auf eine individuelle Schichtung des Zahnersatzes verzichtet werden. Die Individualisierung wurde auf einen reinen Malfarbenbrand beschränkt, um eine maximale Ausdehnung der festeren Lithium-Disilikat Keramik zu gewährleisten.
Nach der substanzschonenden Präparation wurde die Situation abgeformt und die Arbeitsmodelle hergestellt (Abb. 3 –5). Entsprechend der morphologischen Verlaufsform der Oberkieferzahnreihe sind die Pontic- Bereiche auf den Gipsmodellen ausgeformt worden. Entsprechend dem Expansionsverhalten der Einbettmasse werden die Stümpfe bei TabletopKronen bis ca. 1 mm über den Präparationsrand auf ca. 20 μm ausgeblockt. Dies entspricht einem zweimaligen Auftragen von Distanzlack. In der nach arbiträrer Scharnierachse einartikulierten Modellsituation konnten auf den isolierten Modellen die Restaurationen aufgewachst werden (Abb. 6–8). Ein graues Modellierwachs hat den Vorteil, dass es aufgrund seiner neutralen Farbe den Betrachter nicht von den morphologischen Gegebenheiten ablenkt. Die Umsetzung in eine Lithium-Disilikat-Restauration kann über das CAD/CAM-gefertigte Fräsverfahren erfolgen oder über das Pressverfahren.
Dank der hohen Passgenauigkeit sowie der etwas höheren Festigkeit von gepressten Lithium-Disilikat-Restaurationen wurde im vorliegenden Fall das Pressverfahren gewählt (Abb. 9). Vor dem Abtrennen der Presskanäle wurde das Halbzeug für ca. 20 Minuten in einen mit Invex Liquid Flüssigkeit (1 % Flusssäure) geschlossenen Behälter. Im Ultraschallgerät wurde die Reaktionsschicht, die sich während des Pressvorganges bildet, eingelegt. Anschließend kann die Reaktionsschicht mit Aluminiumoxidstrahlgut (50 μ) und ein bar Druck abgestrahlt (Abb. 10).
Die Presskanäle werden mit einer diamantierten Schleifinstrumenten und für Keramik geeigneten Steinen ausgearbeitet. Vor dem ersten Aufsetzen der Kronenrohlinge auf das Modell empfiehlt es sich, mit einem Gummipolierer den Grad an den Kronenrändern leicht zu brechen. So wird ein Abrieb auf dem Gipsmodell vermieden, welcher zu Passungsdefiziten beim Einsetzen der fertigen Arbeit führen kann.
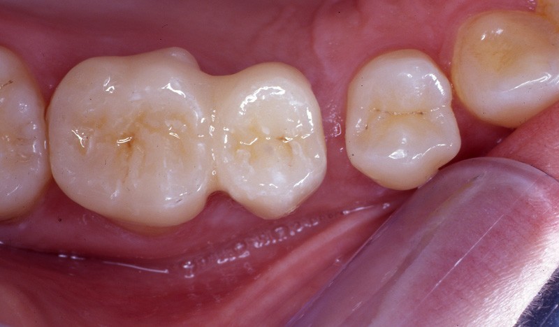
Nach dem Überprüfen des korrekten Sitzes werden die Kontaktpunkte situationsbezogen kontrolliert und nachgearbeitet. Der Glanz- und Malfarbenbrand erfolgte mit den zum System ge- hörenden e.max Malfarbensortiment (Abb. 11–14).
Zur Eingliederung wurden die Innenflächen der glaskeramischen Restaurationen 20 Sekunden mit einem Fluorwasserstoffsäure Gel (<5 Prozent Ceramic Etching Gel) angeätzt und anschließend silanisiert. Zahnseitig wurde ein Mehrschritt-Dentinadhäsiv-System in der Total- etch-Technik (Syntac) eingesetzt. Die Befestigung erfolgte mit einem dualhärtenden, niedrigviskösen Befestigungskomposit (Vario link II). Die eingesetzten Restaurationen sehen Sie in den Abbildungen 15 bis 18.
 
Schlusswort
Dank der hohen Transluzenz der Lithium-Disilikat-Keramiken ist es dem Zahntechniker möglich, mit wenig Aufwand ein ästhetisch ansprechendes Ergebnis zu erzielen. 
 
                             
                                         
                                                                                     
                 
                 
                 
                 
                 
                 
                 
                 
                 
                 
                 
                 
                 
                 
                 
                 
                 
                 
                                 
                                 
                         
                         
                         
                         
                        