Parodontologie 25.06.2012

Implantatkronen: Funktion und Ästhetik lange erhalten



Implantatkronen: Funktion und Ästhetik lange erhalten

Implantatgetragene Einzelkronen oder Brücken sollen ihre Funktion und Ästhetik langfristig behalten. Die regelmäßige professionelle Nachsorge in der Praxis bildet die Voraussetzung, diese Ziele zu erreichen.

Immerhin stellen Implantatversorgungen spezielle Anforderungen hinsichtlich ihrer Pflege. Besondere Bedeutung kommt zudem der Kontrolle des bakteriellen Biofilms, dem Vermeiden entzündlicher Prozesse im Mund sowie dem Schutz der natürlichen Zähne zu. Die langfristig immer wiederkehrende Pflege setzt effektive und zugleich schonende Maßnahmen voraus, um die Qualität wertvoller Oberflächen und die Integrität des Gewebes zu erhalten. Im Rahmen eines umfassenden Mundgesundheitsmanagements kann zum Beispiel das Implant Care-Programm von Ivoclar Vivadent einen wichtigen Beitrag zum langfristigen Erhalt von Implantatversorgungen leisten. 

Natürlicher Zahn und Implantat unterscheiden sich

Im Vergleich zum natürlichen Zahn bietet eine Implantatversorgung aufgrund der künstlichen Verbindungen der Strukturelemente mehr Angriffsstellen für Bakterien. Hinzu kommt, dass periimplantäres Gewebe bei Akkumulation des bakteriellen Biofilms einem deutlich höheren Entzündungsrisiko als die gesunde Gingiva unterliegt. Das liegt daran, dass das Implantat keinen so engen Verbund wie der gesunde, natürliche Zahn mit dem Halteapparat eingeht. Bakterien können damit einfacher zwischen Implantat und Gewebe gelangen und sich an der schwer zugänglichen Retentionsstelle vermehren. Es bildet sich ein Spalt, der in der Folge das Eindringen weiterer Bakterien erleichtert (Abb. 1). Darüber hinaus enthält die Mukosa weniger Blut- und Lymphgefäße und weist eine geringere Immunabwehr auf.1,2,3 Es kann sich eine Mukositis entwickeln, die in einer Periimplantitis münden kann. Bei frühzeitiger Behandlung verschwindet die reversible Entzündung wieder. Dieser Prävention kommt sehr große Bedeutung zu. Langzeitstudien belegen das Auftreten periimplantärer Mukositiden bei 50% der Implantate nach zehn Jahren. Retrospektive Befunde zeigen bei 12% der Implantate und 28% der Patienten eine Periimplantitis.4,5

Professionell schützen

Die regelmäßige systematische Pflege festsitzender Rekonstruktionen und der natürlichen Zähne bildet die Grundlage für den langfristigen Erfolg der Implantatbehandlung (Abb. 2). Besonderes Augenmerk gilt der bedürfnisorientierten Planung der Recallintervalle. Weiterhin besitzt die Wahl der für den Einzelnen am besten geeigneten Hilfsmittel und Präparate einen hohen Stellenwert. Essenziell für den Behandlungserfolg sind Anwendungsbereitschaft und richtige Handhabung, wobei im Laufe der Zeit zu prüfen ist, ob die Behandlungsbausteine noch zur ­aktuellen Situation passen. So können sich die persönlichen Voraussetzungen mit zunehmendem Alter ändern und modifizierte Mundpflegestrategien erfordern. Wertvolle Oberflächen gründlich und schonend reinigen

Bei Implantatpatienten gehört die regelmäßige professionelle Zahnreinigung zum Basisprogramm. Effektive Maßnahmen schonen das empfindliche Gewebe und erhalten langfristig die Qualität wertvoller Oberflächen.6 Aggressive, nicht adäquate Reinigungspasten oder -pulver können Oberflächen durch Zerkratzen oder Herauslösen von Partikeln irreversibel schädigen. Einerseits bieten raue Oberflächen den idealen Grund für das Ansiedeln des bakteriellen Biofilms, andererseits verlieren Restaurationen aus Komposit- oder Keramikmaterialien ihren ästhetischen Glanz und neigen zu stärkeren Verfärbungen als vorher.7,8,9 Ein besonders schonendes Reinigen erfolgt zum Beispiel unter Verwendung der feinen Prophy-Paste Proxyt mit einem weichen Bürstchen oder Kelch, der sich gut an das Oberflächenprofil anschmiegt (Abb. 3). Die Paste ohne Schleifkörper zeichnet sich durch einen niedrigen RDA*-Wert von 7 aus und enthält Xylit. Die Oberflächen bleiben glatt, was dem Anhaften von Bakterien vorbeugt. Der Gingivalsaum wird sanft gepflegt und der natürliche Glanz der Krone wie-derhergestellt. Bei regelmäßiger professioneller Reinigung liefert die feine Paste sehr gute Ergebnisse, sodass eine Paste mit stärkerer Abrasion gar nicht zum Einsatz kommt. Haben sich doch hartnäckigere Beläge entwickelt, stehen die Proxyt-Pasten für das gezielte Entfernen zur Verfügung. Das Nachpolieren mit der Paste glättet die Oberfläche.

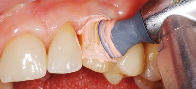
Professioneller Schutzlack

Nach der professionellen Reinigung empfiehlt sich die Applikation eines Schutzlackes wie Cervitec Plus mit 1% Chlorhexidin und 1% Thymol (Abb. 4). Dieser schützt Risikostellen sehr effektiv, indem er sie abdichtet. Die bewährten Inhaltsstoffe reduzieren die bakterielle Aktivität auf den Zahnoberflächen.10,11 Kronenränder, aber auch schwierig zu erreichende Stellen an Ankern oder Stegen lassen sich mit einem feinen Brush gezielt versorgen (Abb. 5). Da das Präparat relativ feuchtigkeitstolerant ist, härtet der Lack in wenigen Sekunden aus und überzieht die Oberfläche in einer dünnen transparenten Schicht, was die Ästhetik im Frontzahnbereich unterstützt. Nach dem Trocknen liegt die Konzentration ungefähr zehnmal höher im Vergleich zur Lösung. Direkt nach der Behandlung ist auf das Ausspülen zu verzichten, um den Depoteffekt zu fördern. Schwachstellen an vorhandenen natürlichen Zähnen oder Restaurationen werden gleich mitversorgt. Dies erlaubt die Kontrolle von Retentionsnischen, die ein potenzielles Reservoir für schädliche Bakterien darstellen. Da die Gesundheit der natürlichen Zähne bei Implantatpatienten eine sehr wichtige Rolle spielt, kann zusätzlich die Applikation eines ästhetischen Fluoridlackes, zum Beispiel Fluor Protector, angezeigt sein.

Bedürfnisorientierte Mundpflege 

Professionelle Betreuung und konsequente Mundpflege zu Hause gehen Hand in Hand, da die erfolgreiche Implantatbehandlung höhere Aufmerksamkeit als der Normalfall fordert. Die kurmäßige Anwendung eines Mundpflege-Gels, zum Beispiel Cervitec Gel mit 0,2% Chlorhexidin und 900 ppm Fluorid, wirkt dabei unterstützend. Die Anlagerung des bakteriellen Biofilms wird reduziert, was Entzündungen der Gingiva oder des periimplantären Gewebes vorbeugt bzw. ihr ­Abklingen fördert. Das milde Gel verhält sich kompatibel zu Titanoberflächen und schont ihre Beschaffenheit.12,13 Es kann direkt auf die Gingiva oder Mukosa aufgetragen werden. Ein kurzes Training der richtigen Handhabung erfolgt in der Praxis. Dabei fällt auf, dass die Konsistenz des Gels die Applikation im Approximalbereich begünstigt (Abb. 6).

Fazit

Funktion und Ästhetik implantatgetragener Einzelkronen und Brücken lassen sich durch ein individuell eingestelltes professionelles Mundgesundheitsprogramm sichern. Der Fokus liegt dabei auf effektiven und zugleich schonenden Maßnahmen, die die Herausforderungen der Rekonstruktion, des empfindlichen Gewebes und der natürlichen Zähne berücksichtigen.

*RDA = Relative Dentin Abrasion

Die Literaturliste finden Sie hier.

Mehr Fachartikel aus Parodontologie

ePaper