Cosmetic Dentistry 29.12.2025

Ästhetische Parodontalchirurgie: Minimalinvasive  Kronenverlängerung mit Schall

In der modernen Zahn­medizin steht der Erhalt der natürlichen Zahnhartsubstanz im Vordergrund. Besonders bei ästhetisch anspruchsvollen Patienten ist ein schonendes Vor­gehen in der weißen und roten Ästhetik unerlässlich. Da kann eine mini­­malinvasive Kronenverlängerung mittels Schallspitze SFS120 (Komet Dental) die Lösung sein – wie dieses Fallbeispiel zeigt.

Ästhetische Parodontalchirurgie: Minimalinvasive  Kronenverlängerung mit Schall

Foto: Dr. Nele Schwenk

Die 31-jährige Patientin stellte sich mit dem Wunsch nach einer ästhetischen Optimierung im Oberkieferfrontzahnbereich vor. Klinisch zeigte sich bei Zahn 11 eine vestibulär-mesial-­palatinale Karies sowie weitere insuffi­ziente Kompositfüllungen im Frontzahn­bereich. Zudem lagen Abrasionsschäden der Inzisalkanten 11 und 21 vor (Abb. 1). Durch die apikale Ausdehnung der Füllungen war eine moderate Kronenverlängerung notwendig, um eine suffiziente Restauration mit klaren Randschlüssen und guter Hygienefähigkeit zu ermöglichen.

Digitale Planung und Mock-up

Zur präzisen ästhetischen Analyse wurde im Vorfeld ein digitales Smile Design er­stellt. Dabei konnten das optimale Längen-­Breiten-Verhältnis der Frontzähne sowie eine symmetrisch verlaufende Gingiva geplant werden (Abb. 2). Auf Basis dieser Planung wurde ein Mock-up gefertigt, welches der Patientin die zu erwartende Zahnform visuell darstellte und gleichzeitig als Referenz für den Eingriff diente (Abb. 3).

Indikation zur Kronenverlängerung

Die Indikation wurde aufgrund der Ausdehnung der Füllungen und unzureichenden klinischen Kronenlänge sowie der Verletzung der biologischen Breite gestellt. Ziel war es, sowohl die funktionellen als auch die ästhetischen Parameter unter maximalem Gewebeerhalt zu verbessern. Um die gesunden Papillenspitzen zu erhalten, fiel die Entscheidung bewusst auf eine minimalinvasive, rein bukkale chirurgische Kronenverlängerung.

Technisches Vorgehen

Nach Korrektur des Gingivaverlaufs mittels Elektrotom kam die oszillierende Schallspitze SFS120 zum Einsatz, die speziell für feine, parodontalchirurgische Eingriffe mit minimaler Osteotomie entwickelt wurde (Abb. 4). Die Schalltechnologie ermöglicht eine präzise, kon­trollierte Osteotomie mit minimaler Traumatisierung des umliegen­-
den Gewebes. Nach lokaler Anästhesie erfolgte die bukkale Gingivakorrektur auf die gewünschte Länge (Mock-up). Mit der SFS120 wurde dann der gewünschte Knochenanteil gezielt abgetragen, um das biologische Breitenmaß (ca. 3 mm Abstand zur zukünftigen Restaurationsgrenze) sicherzustellen. Aufgrund der schlanken und abgerundeten Form der Spitze konnten auch schwer zugängliche Areale atrau­matisch erreicht werden. Die feine Vibrierbewegung erlaubte ein gutes taktiles Feed­back und reduzierte das Risiko unerwünschter Hartgewebsverletzungen. Der Frontzahnbereich wurde nach Präparation für die definitive Keramikrestauration provisorisch versorgt (Abb. 5).

Postoperative Phase und Versorgung

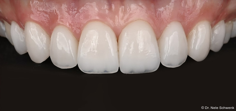
Nach kurzer Heilungsphase zeigte sich ein stabiles, reizfreies Weichgewebe. Anschließend erfolgte die definitive ästhetische Versorgung mit individuell gefertigten kera­mischen Veneers im Oberkieferfrontzahnbereich, angepasst an das zuvor erstellte Mock-up (Abb. 6+7).

Fazit

Die Verwendung der Schallspitze SFS120 ermöglichte eine präzise, gewebeschonende minimalinvasive Kronenverlängerung. Diese Technik kommt immer dann zum Einsatz, wenn die Papillen erhalten werden sollen und nur eine rein bukkale Kronenverlängerung vonnöten ist. Die Kombination aus digitaler Planung, minimalinvasiver Technik und kontrollierter Knochenreduktion unter guter Instrumentenkontrolle fördert nicht nur die Patientenakzeptanz, sondern sorgt auch für ein vorhersagbares ästhetisches Ergebnis bei hoher Patientenzufriedenheit. Dieser Fall unterstreicht die Relevanz moderner Ultraschalltechnologie in der parodontalchirurgischen Praxis.

Mehr Informationen zu den 2N-Fortbildungen

Autorin  Dr. Nele Schwenk

ZWP Zahnarzt Wirtschaft Praxis 09/25

ZWP Zahnarzt Wirtschaft Praxis


Dieser Anwenderbericht ist unter dem Originaltitel „Minimalinvasive  Kronenverlängerung mit Schall“ in der ZWP Zahnarzt Wirtschaft Praxis erschienen.

Seit 32 Jahren ist die ZWP Zahnarzt Wirtschaft Praxis das führende Wirtschaftsmagazin für den Zahnarzt. Als General-Interest-Titel deckt sie das gesamte Spektrum der Praxisführung ab.

Das Wirtschaftsmagazin zählt mit seinen 12 Ausgaben im Jahr und einer Auflage von 40.800 Exemplaren zu den frequenz- und auflagenstärksten Titeln im deutschen Dentalmarkt. Zudem enthält jede Ausgabe das Supplement „ZWP spezial“, in dem besondere Themen vertieft werden.

Jetzt das ePaper lesen.

Dieser Beitrag stammt von dem Anbieter und spiegelt nicht die Meinung der Redaktion wider.
Produkte
Mehr Fachartikel aus Cosmetic Dentistry

ePaper