Zur Übersicht
Profil
authorImage

Univ.-Prof. DDr. Georg Watzek

Akademie für orale Implantologie
Lazarettgasse 19
1090 Wien
Österreich
Vita anzeigen

Kurzvita

  • 1973: Facharzt für Zahn-, Mund- und Kieferheilkunde
  • 1973–1979: Ausbildung zum Facharzt für Mund-, Kiefer- und Gesichtschirurgie; zwischenzeitlich Ausbildungszeiten an Abteilungen für Innere Medizin, Allgemeine Chirurgie, Neurochirurgie, Hals-, Nasen- und Ohrenheilkunde und plastische Chirurgie
  • 1980: Habilitation für Mund-, Kiefer- und Gesichtschirurgie
  • 1983–2002: Präsident der Österreichischen Gesellschaft für Orale Chirurgie und Implantologie
  • 1987–1989: Vorstand der Universitätsklinik für Zahn-, Mund- und Kieferheilkunde Wien
  • 1989–1993: Präsident der österreichischen Gesellschaft für Zahn-, Mund- und Kieferheilkunde
  • seit 1998: Vorstand der Universitätsklinik für Zahn-, Mund- und Kieferheilkunde, Wien
  • 2003–2004: Präsident der European Association for Osseointegration (EAO)
  • 2005-2011: Chairman des wissenschaftlichen  Komittees der Osteology Foundation in der Schweiz
  • seit 2004: Mitbegründer und Partner der Akademie für orale Implantologie in Wien
  • seit 2005: Mitglied des Councils der European Association for Osseointegration (EAO)
  • seit 2006: Co-Editor des International Journal of Oral & Maxillofacial Implants (JOMI)
  • seit 2011: Gastprofessor an der Universität von Pennsylvania und der King Saud University in Riyadh
  • Ehrenmitglied der deutschen, tschechischen und griechischen Gesellschaft für Implantologie sowie der ungarischen Gesellschaft für Zahn-, Mund- und Kieferheilkunde
  • Herausgabe von 9 Fachbüchern und fast 300 internationalen Publikationen

Artikel auf ZWP online

articleImage
Parodontologie 13.06.2014

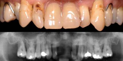
Implantologische Lösungen für komplexe parodontale Probleme

Da in der heutigen zivilisierten Welt ein Großteil der Zähne letzt­endlich als Folge einer Parodon­titis in Verlust gerät, wirft der Ersatz der aus diesem Grund verlo­renen Zähne durch Implantate immer wieder die Frage auf, ob die Prognose von Implantaten bei parodontal erkrankten Patienten beeinträchtigt ist.

Artikel in Publikationen

issueImage
PN Parodontologie Nachrichten

Komplexe implantologische Lösungen für komplexe parodontale Probleme

Jahr 2014, Ausgabe 03, Seite 4 Autoren: Univ.-Prof. Dr. Dr. Georg Watzek und Dr. Rudolf Fürhauser

ePaper  |  PDF
issueImage
Dental Tribune Schweiz

Implants Special: Komplexe parodontale Probleme, komplexe implantologische Lösungen.

Jahr 2012, Ausgabe 09, Seite 9 Autoren: Univ.-Prof. DDr. Georg Watzek, Bernhard Gottlieb Universitätszahnklinik, Wien, und Prim. Dr. Rudolf Fürhauser

ePaper  |  PDF
issueImage
Dental Tribune Österreich

Implant Tribune: Komplexe parodontale Probleme, komplexe implantologische Lösungen

Jahr 2012, Ausgabe 04, Seite 17 Autoren: Univ.-Prof. DDr. Georg Watzek, Prim. Dr. Rudolf Fürhauser

ePaper  |  PDF
issueImage
Dental Tribune Deutschland

Implant Tribune: Komplexe parodontale Probleme, komplexe implantologische Lösungen

Jahr 2012, Ausgabe 04, Seite 17 Autoren: Univ.-Prof. DDr. Georg Watzek, Bernhard Gottlieb, Prim. Dr. Rudolf Fürhauser

ePaper  |  PDF

Erwähnungen in Publikationen

issueImage
Implants

Nations united by innovation 2022 EAO congress celebrates comeback in new hybrid format

Jahr 2022, Ausgabe 04, Seite 42 Autoren: A review report by Janine Conzato, Germany

ePaper  |  PDF
issueImage
EDI Journal

2022 EAO congress celebrates comeback in new hybrid format

Jahr 2022, Ausgabe 03, Seite 72 Autoren: A review report by Janine Conzato, Germany

ePaper  |  PDF
issueImage
Dental Tribune Deutschland

Zahndurchbruch – Zahntrauma – Zahnwechsel: Behandlungsnotwendigkeit und Behandlungsmöglichkeiten

Jahr 2015, Ausgabe 09, Seite 25 Autoren: Redaktion

ePaper  |  PDF
issueImage
Dental Tribune Schweiz

Implantologie – gelebter Konsens der Disziplinen

Jahr 2011, Ausgabe 11, Seite 7 Autoren: Dr. Karl-Ludwig Ackermann und ZTM Gebhard Neuendorff

ePaper  |  PDF
issueImage
Dental Tribune Schweiz

Congress: Neue Einblicke am Nobel Biocare Symposium in Zürich

Jahr 2010, Ausgabe 10, Seite 6 Autoren: Dr. med. dent. Marc Lumer, Uster

ePaper  |  PDF
issueImage
Dental Tribune Österreich

Medicine: Festakt - Wiener Universitätszahnklinik zur “Bernhard Gottlieb Universitätszahnklinik GesmbH” benannt

Jahr 2005, Ausgabe 06, Seite 3 Autoren: Redaktion

PDF
issueImage
Implantologie Journal

Schritt für Schritt zum Erfolg Frischer Wind bei Nobel Biocare

Jahr 2004, Ausgabe 02, Seite 62 Autoren: Dr. Steffen Kistler/LandsbergHeike Geibel%...

ePaper  |  PDF
issueImage
ZWP spezial

Implantologie ­ State of the Art

Jahr 2003, Ausgabe 09 Zukunftstrend Implantologie, Seite 42 Autoren: Dr. Georg Bach

PDF
issueImage
ZWP spezial

Zahn-Implantologie: State of the Art und Zukunftsperspektiven

Jahr 2003, Ausgabe 09 Zukunftstrend Implantologie, Seite 10 Autoren: Steffen Kahdemann

PDF

Erwähnungen auf ZWP online

Mehr als 1.600 Teilnehmer beim 56. Bayerischen Zahnärztetag

Mehr als 1.600 Teilnehmer beim 56. Bayerischen Zahnärztetag

03.09.2015
Vom 22. bis 24. Oktober 2015 fand der 56. Bayerische Zahnärztetag im The Westin Grand München statt. Die Themenschwerpunkte Kieferorthopädie und Kinderzahnheilkunde... Vom 22. bis 24. Oktober 2015 fand der 56. Bayerische Zahnärztetag im The Westin Grand München...
Mehr News

ePaper