Cosmetic Dentistry 26.03.2014

Direkt und indirekt erfolgreich kombiniert

Die moderne Adhäsivtechnik ermutigt immer mehr Praktiker, fehlende Zahnhartsubstanz mit einem Composite zu ersetzen. Dank der Forschung und Entwicklung bieten sich dem Behandler hierfür unterschiedliche Materialien, Techniken und Verfahren an. Mit unserem Verständnis für Zahnfarben sind wir stetig bemüht, naturnah zu rekonstruieren. Hierfür benötigen wir Materialien, deren Lichtbrechungsindex jenem von natürlichen Zähnen ähnlich ist – am liebsten würden wir Dentin mit Dentin und Schmelz mit Schmelz ersetzen.4,5 Dieser Artikel beschreibt, wie mit unterschiedlichen Materialien hochästhetische Restaurationen im Front- und Seitenzahnbereich hergestellt werden können.

Eine 18-jährige Patientin konsultierte uns we­gen Zahnschmerzen, ausgeprägten Kariesläsionen und Verfärbungen an den Front- und Seitenzähnen (Abb. 1 und 2). Sie berichtete von diversen zahnärztlichen Behandlungen in der Vergangenheit, unter anderem wurden der jungen Frau im Rahmen einer kieferorthopädischen Behandlung die ersten Prämolaren im Unterkiefer entfernt. Unser primäres Ziel war es, die Schmerzen der Patientin zu lindern. Hierzu mussten einige Zähne endodontisch behandelt werden. Außerdem wurden insuffiziente Kronen im Seitenzahnbereich entfernt und die Stümpfe neu versorgt (Lithium-Disilikat-Glaskeramik IPS e.max®). Die Kariesläsionen an den Molaren wurden mit einem direkten Composite (IPS Empress® Direct) restauriert. Nachdem die Behandlung des Seitenzahnbereichs erfolgreich abgeschlossen war, fokussierten wir uns auf die Wiederherstel­lung des Frontzahnbereichs. Nach dem Abwägen der Vor- und Nachteile wurden direkte Restaurationen mit Composite-Veneers geplant.

Veneers aus Composite

Für die Restauration im Frontzahnbereich wurde die Patientin lokal anästhesiert und die Karies mit Diamanten und langsamen Rundschleifern gründlich entfernt. Um eine exakte Präparation im Zervikalbereich sowie der Labialfläche zu erreichen, verwendeten wir flammenförmige Diamantbohrer und raue Finierscheiben. Mit dem Ziel, so viel Zahnschmelz wie möglich zu erhalten, wur­de der labiale Bereich um etwa 0,8 bis 1mm reduziert. Im Zervikalbereich und in den approximalen Kariesläsionen (Klasse III-Präparation) wurden Abschrägungen präpariert. Danach wurden die Präpa­rationen gründlich mit Wasser gereinigt. Im ersten Schritt wurden die Klasse III-Kariesläsionen versorgt (Abb. 3). Nach der Auswahl der Zahnfarbe erfolgte die Veneerversorgung. Hierfür wurden die beiden oberen mittleren Schneidezähne mit dem 37-prozentigen Phosphorsäuregel Total Etch für 15 Sekunden geätzt (Abb. 4). Um die Nachbarzähne zu schützen, diente ein abdeckendes Teflonband. Nach dem Ätzen wur­den die Zähne mit Wasser gespült. Beim nachfolgenden Abblasen wurde darauf
geachtet, dass die Zähne nicht zu stark austrocknen. Jetzt wurde das Total-Etch-Adhäsiv ExciTE® F im VivaPen® auf den Schmelz sowie das Dentin aufgetragen und für zehn Sekunden einmassiert (Abb. 5). Überschüsse wurden mit schwachem Luftstrom zu einer dünnen Schicht verblasen und das Adhäsiv für zehn Sekunden mit der Bluephase® 20i im Low Power-Programm polymerisiert.

Auf Basis eines zuvor modellierten Wax-ups fertigten wir einen Schlüssel aus Silikon (Virtual® Putty). Dieser sollte im Patientenmund die Kontrolle der Größenaufteilung unterstützen und als „dreidimensionales“ Hilfsmittel bei der Platzierung der Veneers dienen.1,3 Nach dem Positionieren des Schlüssels wurde die erste Materialschicht (IPS Empress Direct Trans 30) auf die Inzisalkante und die approximalen Bereiche der Palatinalfläche aufgetragen (Abb. 6). Ohne den Silikonschlüssel modellierten wir den Zervikalbereich bis zur Mitte des ersten Drittels mit IPS Empress Direct Dentin A2 (Abb. 7). Mit dem OptraSculpt-Modellier­instrument wurden kleine Rillen in den noch weichen Kunststoff präpariert. Nach der Polymerisation wurden diese Zwischenräume mit einem hochtransluzenten Material gefüllt (IPS Empress Direct Opal) und für 15 Sekunden mit der Bluephase 20i im Soft Start-Programm ausgehärtet. Mit einer Schmelzschicht (IPS Empress Direct Enamel, Farbe A1) konnte die labiale Fläche von der Mitte bis zur Inzisalkante komplettiert werden (Abb. 8 und 9). Abschließend trugen wir auf die gesamte Labialfläche die Masse IPS Empress Direct Trans 20 hauchdünn auf und gestalteten die anatomische Form mit dem OptraSculpt-Instrument und einem Pinselchen. Nach demselben Vorgehen restaurierten wir den Nachbarzahn. Die approximalen Leisten wurden vorsichtig geformt. Lichtreflektierende und -deflektierende Bereiche wurden sorgfältig herausgearbeitet und die Symmetrie zwischen den beiden mittleren Schneidezähnen im Oberkiefer aufrechterhalten.2 Auch die anderen betroffenen Zähne wurden in gleicher Weise versorgt.

Ausarbeitung und Politur

Nach anatomischen Kriterien wurden die Veneers Schritt für Schritt „geformt“ und morphologisch ausgearbeitet. Hierfür dienten geriffelte Karbid- und Diamantfinierer. Mit dem Astropol® und Astrobrush® Finier- und Poliersystem erzielten wir unter Beibehaltung der zuvor gestalteten Oberflächentextur erstklassig hochglanzpolierte Ergebnisse (Abb. 10). Astrobrush wurde dabei bei niedriger Drehzahl und ohne Druck verwendet.

Schlussfolgerung

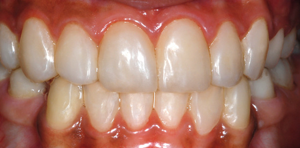
In der Zahnheilkunde sind wir stets bestrebt, die Anatomie, die Transluzenz und die Charakteristika der natürlichen Zähne zu imitieren. Für den hier beschriebenen Fall halfen interdisziplinäre Verfahren und die korrekte Auswahl von Material und Technik dabei, das gewünschte Ergebnis zu erzielen. Die Kombination aus direkter Adhäsiv- (IPS Empress Direct im Frontzahnbereich) und indirekter Technik (IPS e.max im Seitenzahnbereich) erlaubte die Herstellung von langzeitstabilen und natürlich aussehenden Restaurationen. Die Patientin war mit dem Ergebnis der Behandlung sehr zufrieden (Abb. 11 bis 14).3

Autor: Dr. Arun Rajpara

Hier geht´s zur Literaturliste.

Mehr Fachartikel aus Cosmetic Dentistry

ePaper