Cosmetic Dentistry 08.04.2014

Minimalinvasive Bisshebung mit palatinalen Plateaus



Minimalinvasive Bisshebung mit palatinalen Plateaus

Ein vielseitig einsetzbares Konzept für vertikale Probleme.

Zahnoberflächenverlust (Tooth Surface Loss, TSL) durch Abrasion, Attrition, Erosion und Karies und dadurch erzeugter vertikaler Platzmangel sind ein größer werdendes Problem bei der Behandlung von Patienten aller Altersgruppen. Zunehmend sind junge Menschen davon betroffen. Gleichzeitig nimmt der Wunsch zum Erhalt der eigenen Zähne zu und Zahnverluste werden durch zahnerhaltende Maßnahmen in ein höheres Lebensalter verschoben. Der okklusale Platzmangel erscheint dann oft als Limitation unserer Behandlungsmöglichkeiten und führt manchmal zu einer gewissen Ratlosigkeit des Zahnarztes, insbesondere in Anbetracht reduzierter finanzieller Budgets.

Durch den Verlust vertikaler Dimension wird eine konventionelle Behandlung mit umfangreicher Prothetik, d.h. Überkronung einer Vielzahl von Zähnen zum Zwecke der Bisshebung, zu einem aufwendigen, mitunter riskanten Unterfangen, das sich mancher Kollege ersparen möchte. Wiederholungsbehandlungen in der Zukunft können notwendig werden. Dagegen fehlt Patienten oft das Verständnis und die finanziellen Mittel für komplexe Planungen, und sie wünschen einen möglichst geringen Behandlungsumfang.

Weniger invasive Vorgehensweisen sind gekennzeichnet durch Veneers/Inlays/Onlays und werden als „minimalinvasiv“ dargestellt. Dabei zeichnen sie sich aber durch einen ebenso hohen zahnärztlichen und finanziellen Aufwand aus. Typische Empfehlungen sind:

  • 1. Schienenbehandlung zur Überprüfung/Gewöhnung der neuen Bisshöhe.
  • 2. Herstellung einer provisorischen Versorgung nach umfangreichem Wax-up/Mock-up anhand gelenkbezüglich einartikulierter Modelle.
  • 3. Umsetzung in eine definitive Versorgung – oft quadrantenweise.
  • 4. Dauerhafte Schienentherapie im Anschluss zum Schutz der Restaurationen.

Die Literatur zeigt, dass Bisserhöhungen von wenigen Millimetern problemlos toleriert werden und somit die Schienenbehandlung in allen Berichten positiv verläuft und nicht notwendig ist, sofern der Patient nicht schon Kiefergelenkssymptome aufzuweisen hat. Beim Austausch der provisorischen Versorgung gegen die definitive sind der Entfernungsbedarf, Nachpräparationsbedarf, das womöglich erneute Herstellen von Zwischenprovisorien sowie die diffizile Bissnahmetechnik sehr aufwendig.

Konzept mit überschaubarem Behandlungsaufwand

Hier soll nun ein Konzept vorgestellt werden, das sich durch einen überschaubaren und für den Patienten finanziell darstellbaren Behandlungsaufwand auszeichnet und praktikabel ist.

Vertikaler Platzmangel kann in der Dentition anterior oder/und distal bestehen. Zahnoberflächenverlust kann den Ober- und den Unterkiefer oder beide betreffen. Es kann Zahnersatz vorhanden sein, der funktionsfähig ist oder nicht. Somit zeigt sich in der Praxis eine Vielzahl verschiedener Problemstellungen, sowohl bei jungen als auch bei alten Patienten. Eine Bisshebung als therapeutisches Endziel soll aber immer nur dann durchgeführt werden, wenn aus medizinischen Gründen oder aus ästhetischen Überlegungen heraus ein Handlungsbedarf vorliegt. Altersgemäße Abrasion/Attrition dürfte in den wenigsten Fällen eine Indikation zur Behandlung darstellen.

Palatinale Plateaus

Im Mittelpunkt des hier vorgestellten Konzeptes stehen sogenannte „palatinale Plateaus“, die als Kompositstufen bzw. Aufbauten an die Palatinalflächen der oberen Frontzähne angebracht werden. Die entstehende Nonokklusion im Seitenzahngebiet wird entweder sofort prothetisch genutzt oder, wenn dort kein Handlungsbedarf besteht, die Reorganisation der Okklusion durch Elongation der Alveolarfortsätze/Zähne abgewartet. Dies mag zunächst überraschen, ist aber in der angelsächsischen und skandinavischen Literatur seit Jahrzehnten bekannt und abgesichert.

Jeder Zahnarzt kennt die Elongation beschliffener Zähne bei Verlust von Provisorien. Erste Angaben zu diesem Prinzip finden sich bei Lloyd Baum 1978, The Non-Removable Bite Plate, bei Dahl u. Krogstad 1975 und bei Philipp Levy 1984, Levy Lingual Shelf. In der Kieferorthopädie sind diese Plateaus ein gängiges Behandlungsmittel für Tiefbiss- und Distalbissfälle geworden. Palatinale Aufbauten an oberen Frontzähnen und deren Potenzial zur Bisserhöhung sind insbesondere durch die Arbeiten von Dahl, Krogstad u. Karlsen, Oslo, seit 1975 umfangreich untersucht worden. Anhand der Kontrolle von Tantalimplantaten mit Fernröntgenaufnahmen konnten eindeutig Bisshebungen dargestellt werden. Die Bezeichnung Dahl Effect, Dahl Principle, Dahl Appliance, Dahl Concept wurden für diese minimalinvasive Strategie zur Bisshebung angegeben. Erstaunlicherweise findet sich in der deutschsprachigen allgemeinen zahnmedizinischen Literatur kaum ein Hinweis auf dieses einfache und geniale Behandlungsmittel.

Palatinale Plateaus ermöglichen eine Bisshebung, die direkt am Patienten eingeschätzt und ausgeführt wird. Sie werden in kurzer Zeit vom Patienten als nicht störend empfunden. Sie werden mit Komposit parallel zur Fußbodenebene angebracht und erweisen sich als äußerst stabil. Neben der sofortigen Bisshebung erlauben die Plateaus das Einstellen der Kiefergelenke in eine zentrale Relation. Vergleichbar einem festsitzenden Jig ermöglichen die Plateaus eine Entschlüsselung der bisherigen Verzahnung und das Ausschalten von Vorkontakten. Kleine horizontale Bewegungen auf den Plateaus erlau- ben dem Patienten durch Freedom in Centric, die zentrische Unterkieferposition aufzufinden. Der erzielte vertikale und sagittale Platzgewinn (Rotation des Unterkiefers) ermöglicht eine stabile Rekonstruktion abradierter Frontzähne in Komposit und somit auch ein Behandlungsangebot bei massivem Bruxismus.

Die Plateaus müssen ausreichend groß sein, damit die unteren Frontzähne sicher abgestützt sind. Keinesfalls dürfen die unteren Frontzähne hinter den Plateaus beißen. Sie werden in der Regel an den sechs oberen Frontzähnen angebracht. Bei Bedarf werden die Plateaus mit Aufbauten auf den unteren Schneidezähnen kombiniert. Durch die Beseitigung der eingefahrenen Schliffflächen wird die Kaumuskulatur deprogrammiert und ein vorliegender Bruxismus wird umgehend reduziert. Der Patient findet seine früher vorhandenen Schliffflächen plötzlich nicht mehr und übt weniger Parafunktionen aus. Plateaus und neu aufgebaute Frontzahnkanten wirken wie ein Deprogrammer.

Abbildung 1 zeigt schematisch die Wirkungsweise der Plateaus (Frasacomodell mit dem 2. und 3. Quadranten). Aus geometrischen Gründen ist bei einer Bisshebung anterior von 2 mm posterior lediglich mit einer Nonokklusion von 1 mm zu rechnen. Palatinale Plateaus verringern die Notwendigkeit endodontischer (therapeutische Devitalisierung, Stiftaufbauten) oder parodontalchirurgischer Vorbereitung (Kronenverlängerung) von Frontzähnen mit geringer vertikaler Restsubstanz. Durch die konsequent nur additiven Maßnahmen unterbleiben umfangreiche Eingriffe in die Zahnhartsubstanz.

Palatinale Plateaus können ebenso an bestehendem Zahnersatz durch Silikatisieren und Silanisieren angebracht werden, sollte eine Bisshebung bei vorhandenen aber nicht erneuerungsbedürftigen Frontzahnkronen erforderlich sein. Sie sind vergleichbar mit dem Höherstellen des Stützstiftes im Artikulator. Sie ähneln in ihrer Funktionsweise den NTI-tss Schienen und den kieferorthopädischen Funktionsgeräten (eingebauter Aktivator).

Wann sind Plateaus hilfreich?

Plateaus sind hilfreich in Fällen anteriorer und generalisierter Erosion. Sie erlauben eine anfangs reversible Vorgehensweise. Durch die Bisssperrung wird ein vertikaler Platzgewinn im Seitenzahngebiet erreicht, der entweder durch die Elongation der Seitenzähne oder durch sofortige Rekonstruktion im Seitenzahngebiet ausgenutzt werden kann. Parodontal kritische Zähne können gleichzeitig mit einer festsitzenden Schienung im Sinne einer Verblockung stabilisiert werden. Die Plateaus werden vom Patienten problemlos toleriert und verbleiben in der Regel lebenslang. Durch die Vermeidung riskanter Prothetik erlaubt die gesteuerte minimalinvasive Bisshebung mit palatinalen Plateaus dem Zahnarzt realistische Behandlungsangebote im Hinblick auf zeitlichen und finanziellen Aufwand in allen Altersstufen.

Erfahrungen

Nach dem beschriebenen Konzept wurden in unserer Praxis im Laufe von zehn Jahren ca. 60 Patientenfälle mit palatinalen Plateaus behandelt und dokumentiert. In einem Drittel der Fälle wurde die Reorganisation der posterioren Nonokklusion durch Elongation der Seitenzähne, Intrusion der Frontzähne und durch die Bisslageänderung abgewartet. Diese Reorganisation der Okklusion erfolgte in einem Zeitraum von drei bis sechs Monaten. Dabei elongierten Molaren schneller als Prämolaren. Eckzähne scheinen sich nur sehr zögerlich zu verlängern und sollten deshalb sofort mit einer Eckzahnführung versehen werden. In keinem Fall kam es zur Ablehnung der Plateaus durch den Patienten oder zu Kiefergelenkbeschwerden, was auch schon von Dahl berichtet wurde. Vorübergehende Schwierigkeiten bei der Nahrungsaufnahme oder Lispeln verschwanden schnell.

Plateaus können bei Bedarf erhöht werden, um die Bisshebung schrittweise durchzuführen. Eine seitliche Sperrung sollte 1,5 mm nicht überschreiten, sonst kommt es zur Einlagerung der Zunge. In den anderen Fällen der sofortigen Ausnutzung der gewonnenen Bisshöhe wurden selektiv an behandlungswürdigen Seitenzähnen Kompositfüllungen in der neuen Höhe hergestellt oder chairside Teilkronen nach dem CEREC-System zementiert oder das Platzangebot wurde für herausnehmbaren Zahnersatz genutzt. Ebenso ist es möglich, okklusale Veneers auf vorhandenen, nicht erneuerungsbedürftigen Zahnersatz zu kleben. Bei zwei Fällen konnte die Reorganisation der Okklusion sogar im Bereich von Brücken beobachtet werden.

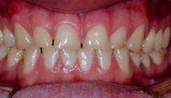
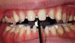
Die Abbildungen 2–5 zeigen die Frontzahnsituation einer 60-jährigen Patientin im Juni 2011. Der Fall ist gekennzeichnet durch Masseterhypertrophie, Bruxismus, Abrasion der oberen Frontzahnkanten und Platzmangel für deren Restauration. Die Patientin empfand ihre oberen Frontzähne als zu kurz. Andere Befunde waren nicht festzustellen. Es wurde mit palatinalen Plateaus eine Bisshebung durchgeführt, die eine stabile Rekonstruktion der Frontzahnkanten erlaubte. Schon nach wenigen Wochen war keine Disklusion im Seitenzahngebiet mehr feststellbar. Abbildung 8 zeigt die intakten palatinalen Plateaus und die seit Behandlungsbeginn unverändert stabilen Schneidekanten im Januar 2014.

Die Abbildungen 9 und 10 zeigen die okklusal geschlossenen Zahnreihen im Januar 2014. Eine Rückbildung der Masseteren konnte beobachtet werden.

Die Abbildungen 11–16 zeigen den Fall einer 54-jährigen Patientin, die in einer kieferorthopädischen Praxis einen festsitzenden Aufbiss wegen CMD und palatinalen Einbissen in die Schleimhaut erhalten hatte. Die Konstruktion war zu diesem Zeitpunkt mehrfach dezementiert und der Aufbiss wurde in 2005 durch palatinale Plateaus ersetzt. Die Patientin erschien erst wieder in 2010 zur Kontrolle und war beschwerdefrei. Die Okklusion hatte sich in Neutralverzahnung eingestellt und der Biss war deutlich gehoben. Die Patientin war sehr zufrieden mit dem geringen Aufwand, der zum Behandlungserfolg geführt hatte.

Fazit

Das einfache, vielseitig anwendbare Konzept der minimalinvasiven Bisshebung mit palatinalen Plateaus ermöglicht einen vertikalen Platzgewinn bei gleichzeitiger Einstellung des Unterkiefers in die Zentrik. Es wird somit leicht möglich, ohne Investition in weitere Technik, Patienten ein zusätzliches, schonendes, kostengünstiges und wirklich minimalinvasives Behandlungsangebot zu offerieren. Patienten mit Plateaus sind in der Regel sofort gut motiviert und später eine treue Patientengruppe, da umfangreiche Kosten erspart wurden und Eingriffe in die Zahnhartsubstanz unterblieben. Der Behandler muss allerdings über eine gewisse Fertigkeit im Umgang mit Komposit verfügen. Eine verminderte Kauleistung wurde stets toleriert und nach wenigen Wochen oft nicht mehr bemerkt. Kleinere Reparaturarbeiten können nach einer gewissen Zeit notwendig oder nach erfolgreicher Bisshebung kann die Überkronung der Frontzähne (jetzt ohne Platzmangel) immer noch in Angriff genommen werden.

Ein eintägiges Seminar wird angeboten, um sämtliche Aspekte der minimalinvasiven Bisshebung mit palatinalen Plateaus kennenzulernen. Wegen der überschaubaren Technik kann dabei von einer „flachen“ Lernkurve ausgegangen werden, sodass eine sofortige Umsetzung in der Praxis möglich wird. Eine Einführung in Sandstrahltechniken ergänzt das Programm. Kurstermine in Bad Soden am Taunus 3. Mai 2014 und 27. September 2014.

Mehr Fachartikel aus Cosmetic Dentistry

ePaper