Cosmetic Dentistry 28.02.2011

Bisshebung und No Prep Veneers – ein Widerspruch?



Bisshebung und No Prep Veneers – ein Widerspruch?

Veneers wurden lange als medizinisch nicht notwendige Verlangensleistung angesehen, die ausschließlich aus kosmetischen Gründen durchgeführt wird. Während sich dieses Bild für konventionelle Veneers in der Zwischenzeit in der Fachwelt gewandelt hat und selbst Kostenträger konventionelle Veneers als minimalinvasive, erstattungsfähige Therapiealternative anerkennen, stellt sich dies bei No Prep Veneers weiterhin anders dar.


Dennoch können auch No Prep Veneers eine Alternative bei medizinisch notwendigen Behandlungen darstellen. Gerade bei der Rekonstruktion von funktionsgestörten Patienten mit Abrasionen bieten sie große Vorteile, da auf eine Substanzentfernung oft ganz oder weitgehend verzichtet werden kann. In den meisten Fällen benötigt der Patient keine Anästhesie, es gibt keine postoperativen Empfindlichkeiten und es besteht kein Risiko einer Nervschädigung.

Fallbeispiel 1

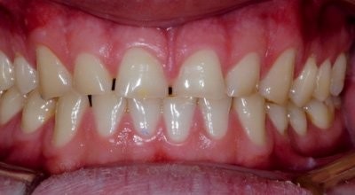
Abbildung 1 zeigt die Ausgangssituation eines 22-jährigen Patienten. Es fanden sich massive Abrasionen. Die mittleren Schneidezähne wiesen eine Länge von lediglich 8,2 Millimetern auf, der Durchschnittswert für einen 20-jährigen Patienten liegt zwischen 10,8 bis 11,2 Millimetern.

Nach Durchführung der Funktionsdiagnostik mittels des Cadiax Compact Systems erfolgte ein diagnostisches Wax-up, welches anschließend mit der direkten Mock-up Technik umgesetzt wurde. Abbildung 2 zeigt das Mock-up direkt nach Abnahme des Silikonwalls.

Es wird deutlich, wie exakt sowohl das Wax-up als auch der Silikonwall gefertigt wurden. In der Oberfläche des Mock-ups finden sich feinste Texturen, am zervikalen Rand eine extrem dünne Pressfahne, die leicht zu entfernen ist. Die Herstellung des Silikonwalls erfolgte mit Flexitime Easy Putty und Correct Flow (Heraeus Kulzer) im Sinne eines Korrekturabdrucks, für das Mock-up wurde Luxatemp- Fluorescence verwendet. Kleinere Luftblasen im Mock-up können unkompliziert mit LuxaFlow korrigiert werden.

Soll der Patient das Mock-up längere Zeit probetragen, wie dies bei funktionellen Fällen unbedingt zu empfehlen ist, wird die Oberfläche mit Luxatemp Glaze & Bond versiegelt. Dadurch wird eine glänzende, hoch ästhetische Oberfläche erreicht, die gleichzeitig wesentlich unempfindlicher gegen Verfärbungen ist. Ist genügend mechanische Retention vorhanden kann auf ein Anätzen und Bonden des Mock-up völlig verzichtet werden. In allen anderen Fällen wird zunächst versucht, einen ausreichenden Verbund ohne Anätzen zu erreichen, um entsprechende Probleme beim Entfernen des Mock-up zu vermeiden. Nur in seltenen Ausnahmefällen ist ein punktuelles Ätzen und Bonden erforderlich.

Abbildung 3 zeigt die Einprobe der Versorgung. Während die Ästhetik noch optimiert wurde, ist es von entscheidender Bedeutung, dass die funktionelle Umsetzung des Mock-up in die endgültige Versorgung 1:1 erfolgt, um den langfristigen Therapieerfolg zu sichern.

In den Abbildungen 4 und 5 wird deutlich, wie die Bisshebung im Seitenzahnbereich durchgeführt wurde. Der Patient wies karies- und füllungsfreie Zähne auf. Eine Präparation wäre mit einem völlig unnötigen Verlust gesunder Zahnsubstanz verbunden gewesen.

Während 14 und 15 sowohl okklusal als auch vestibulär versorgt wurden (Onlay-Veneer), kam bei 16 ein No Prep Onlay zum Einsatz, da dieser Zahn beim Lachen nicht mehr sichtbar war. Die Schichtstärke dieser Versorgungen liegt bei 0,1mm im Minimum. Daher stellt das Einsetzen einer solchen Versorgung hohe Anforderungen an den Behandler. Selbst leichter Druck führt unweigerlich zu einer Fraktur. Nur ein extrem niedrig visköser Zement ist zum Einsetzen geeignet. Vor dem konventionellen Anätzen der Oberfläche (Etching Gel-Medium Viscosity, DMG, Hamburg) wird die Oberfläche der Zähne mit einem Mikro-Etcher (Aluminiumoxid 50µ) angestrahlt, um die Oberfläche zu vergrößern und einen optimalen Haftverbund zu erzielen. Das anschließende Bonding erfolgt mit iBond Total Etch (Heraeus Kulzer), zementiert wird mit Vitique (DMG, Hamburg).

Fallbeispiel 2

Abbildung 6 zeigt die Ausgangssituation eines 38-jährigen Patienten. Nach abgeschlossener kieferorthopädischer Vorbehandlung wurde der Patient vom Kieferorthopäden zur Weiterbehandlung zu uns überwiesen. Auch hier wurde nach funktioneller Untersuchung im volljustierbaren Artikulator ein diagnostisches Wax-up erstellt.

Die Bisshebung erfolgte mit der bereits oben beschriebenen Mock-up-Technik. Die Zähne wurden punktuell angeätzt und gebondet, da das Mock-up zur Bisshebung längere Zeit im Mund des Patienten verbleiben sollte und insbesondere im Unterkiefer nicht ausreichend mechanische Retention vorhanden war. In dieser Phase ist eine engmaschige Mundhygienekontrolle mit professioneller Zahnreinigung unabdingbar. Abbildung 7 zeigt die abradierte Unterkiefersituation vor der Bisshebung, der Retainer ist noch in situ.

Nach der Bisshebung folgten im Abstand von einer, vier, acht und 12 Wochen Kontrolltermine. Nachdem die endgültige Höhe und alle funktionellen Aspekte perfekt in das Mock-up eingearbeitet wurden (Abb. 8), konnte mit der endgültigen Versorgung begonnen werden.

Zunächst wird ein Alginatabdruck über dem optimierten Mock-up genommen. Dann wird das Mock-up in einem Quadranten entfernt und eine Teilbissnahme mit LuxaBite (DMG, Hamburg) durchgeführt, um die Vertikaldimension zu sichern. Anschließend wird das restliche Mock-up entfernt und die Teilbissnahme vervollständigt. Dadurch kann sehr einfach die exakte Bisserhöhung in den Artikulator übertragen werden. Eine Gesichtsbogenübertragung ist obligatorisch.

Die Abdrucknahme wurde mit Flexitime Heavy Tray und Correct Flow (Heraeus Kulzer) als Korrekturabdruck vorgenommen. Anders als in den meisten No Prep Fällen mit einer geschichteten Keramik wurden hier die Veneers nicht auf einer Platinfolie geschichtet, sondern auf feuerfesten Stümpfen, da es insbesondere im Seitenzahnbereich nicht möglich gewesen wäre, die Platinfolie faltenfrei zu adaptieren. Es ist wichtig, dass sich Behandler und Zahntechniker immer der Grenzen der jeweiligen Techniken bewusst sind.

So sollte die freitragende, nicht durch Zahnsubstanz unterstützte Verlängerung der Schneidekante nicht mehr als 2 bis maximal 2,5 Millimeter verlängert werden. Ist eine darüber hinausgehende Verlängerung notwendig, sollte eine Presskeramik verwendet werden. Der Autor bevorzugt in diesen Fällen Lumineers, da die dort verwendete, patentierte Cerinate Keramik aufgrund ihrer Leuzitverstärkung eine Verlängerung bis zu 3,5 Millimeter ermöglicht.

Die Stümpfe werden zunächst für das Doublieren vorbereitet (Abb. 9). Dann wird die Doublierform mit dem feuerfesten Material (GC Cosmotech Vest) ausgegossen und die feuerfesten Stümpfe in das vorbereitete Modell gesteckt (Abb. 10 und 11).

Abbildung 12 zeigt die Schichtung der No Prep Veneers (Keramik: Creation, Willi Geller Vertrieb durch Amman Girrbach) und bei Abbildung 13 sieht man die fertige Arbeit auf dem Modell. Die Schichtstärke ist auch hier extrem gering. Sie liegt beim Onlay-Veneer 46 im Maximum bei 0,3 Millimetern, im Minimum bei 0,05 Millimetern (Abb. 14). Daraus resultiert natürlich ein erhebliches Frakturrisiko sowohl für den Zahntechniker bei der Herstellung als auch für den Zahnarzt beim Einsetzen der Versorgung. Gerade das Ausstrahlen der feuerfesten Masse muss extrem vorsichtig vorgenommen werden. Zu empfehlen ist die Verwendung von Aluminumoxid 50µ, bei einem Druck von 0,5 bar bis maximal 1,0 bar.

Da der Zahntechniker keine Präparationsgrenze zur Verfügung hat, um einen perfekten Rand herzustellen, ist es besonders wichtig, dass das Onlay-Veneer am Rand extrem dünn ausgearbeitet wird, die Anforderungen an die Randgestaltung sind extrem hoch. Gerade im approximalen Bereich der Seitenzähne muss ein perfekter Rand erzielt werden (Abb. 15), da hier das Nacharbeiten des Randes für den Zahnarzt besonders schwierig ist.

Auch beim Try-In der Versorgung ist extreme Vorsicht erforderlich, da auch hier das Bruchrisiko enorm ist. Schon ein leichtes Verkanten kann zu einer Fraktur führen. Das Try-In erfolgte mit der Try-In Paste des Vitique (DMG, Hamburg) Systems (Abb. 16). Auch die kieselgelbasierte Try-In Paste ist extrem niedrig viskös und damit perfekt zur Einprobe von No Prep Veneers mit einer minimalen Schichtstärke unter 0,1 Millimeter geeignet. Darüber hinaus entspricht die Farbe der Try-In-Paste exakt der Zementfarbe, sodass es keine ästhetischen Abweichungen zwischen dem Try-In und dem Endergebnis gibt.

Neben der funktionellen Optimierung ist auch die ästhetische Veränderung des Patienten beeindru-ckend. Vor der Behandlung war die Gesichtsästhetik des Patienten nicht in Harmonie. Die Oberkieferzähne wirkten zu kurz und waren kaum sichtbar, während die Unterkieferzähne für das Alter des Patienten viel zu stark sichtbar waren (Abb. 17). Da mit zunehmendem Alter aufgrund der nachlassenden Muskelspannung und des Verlustes an Stützgewebe die Oberkieferzähne immer weniger sichtbar sind und im Gegenzug die Unterkieferzähne zusehends sichtbar werden, entsteht dadurch der Eindruck eines „alten“ Gesichtes. Darüber hinaus passte die durch die großen, offenen inzisalen Einziehungen geprägte Zahnform nicht zur Gesichtsform des Patienten.

Völlig anders sieht die Situation nach Eingliederung der Versorgung aus. Zahn- und Gesichtsform befinden sich in Harmonie. Die Oberkieferzähne sind wieder sichtbar, der Patient wirkt Jahre jünger (Abb. 18). Mein Dank geht an Oliver Reichert di Lorenzen (Dental Design Hamburg) für die exzellente technische und ästhetische Ausführung. Nach dem Einsetzen der Versorgung wird dem Patient bei funktionellen Fällen grundsätzlich eine Schiene eingesetzt, in vielen Fällen erhält der Patient zusätzlich für acht Wochen leihweise das Grindcare System (American Dental Systems). Grindcare ist ein Biofeedback-Sys­tem, welches ein EMG ableitet. Erkennt das Sys­tem, dass der Patient knirscht oder presst, wird ein schwacher elektrischer Impuls auf die Kaumuskulatur gegeben. Dadurch kann Bruximus binnen drei Wochen um ca. 50% ­reduziert werden (Studien über den Autor).

Fazit

Auch bei Bisshebungen stellen No Prep Veneers und Onlay-Veneers eine interessante Therapiealternative dar. Gerade in diesen Fällen macht sich der geringere Substanzverlust dramatisch bemerkbar. Dies stellt für den Zahnarzt unter forensischen Gesichtspunkten einen entscheidenden Vorteil gegenüber konventionellen Versorgungen dar. Lassen Sie sich durch den Widerstand der Kostenträger nicht verunsichern, bleiben Sie im Interesse Ihrer Patienten hartnäckig.

Mehr Fachartikel aus Cosmetic Dentistry

ePaper