Cosmetic Dentistry 11.10.2016

Oberkieferfrontversorgung mit Feldspatkeramikveneers



Oberkieferfrontversorgung mit Feldspatkeramikveneers

Foto: © Autoren

In diesem Beitrag wird die Behandlung einer Patientin (23 Jahre) mit guter allgemeiner Gesundheit vorgestellt. Die Ausgangssituation in diesem Patientenfall zeigt zwei endodontisch (Frontzahntrauma im Kindesalter) behandelte mittlere obere Frontzähne mit internen Verfärbungen.

Der Erstbesuch und die Erhebung der allgemein­medizinischen Anamnese erfolgt am 22. Januar 2010. Es lagen keine Grunderkrankungen vor. Die Patientin ist am 12. Dezember 1991 geboren. Die letzte zahnärztliche Behandlung fand vor sechs Monaten statt. Bis zu diesem Zeitpunkt suchte die Patientin halbjährlich den damaligen Hauszahnarzt zur Kontrolle bzw. Zahnreinigung auf. Die Patientin interessiert sich für eine Verbesserung der Situa­tion im Oberkieferfrontzahnbereich 11, 21. Sie weist darauf hin, dass sie seit Langem am äußeren Erscheinungsbild der dunkel verfärbten Zahnsubstanz sowie der insuffizienten Kompositeckenaufbauten leide. Sie kommt auf Empfehlung ihrer Mutter. Die Patientin ist nach Aufklärung und eingehender Beratung an einer Weiterbehandlung ihres Kauorgans interessiert. Sie legt Wert auf eine ästhetisch-funktionelle und dauerhafte Verbesserung ihrer Situation und steht einer notwendigen ästhetisch-rekonstruktiven Rehabilitation aufgeschlossen gegenüber.

Klinischer Befund

Die manuelle und klinische Funktionsanalyse lässt auf eine leichte parafunktionelle Aktivität schließen. Alle vier Eckzähne zeigen leichte Abrasionsfacetten. Die manuelle Führung ergiebt keine Abweichung in maximaler Interkuspidation (ohne Führung) und zentraler Kondylenposition (mit Führung). Keine Krepitationsgeräusche der Gelenke, unauffällige Öffnungs- und Schließbewegung, leichte Druckdolenzen der Muskulatur bei Palpation. Gelegentliche leichte Kopfschmerzen.

 

 

Im Ober- und Unterkiefer ist ein regelmäßiger Gingivasaum sowie wohlgeformte Interdentalpapillen zu erkennen (Abb. 1). Es liegt ein Biotyp mit dünner Gewebestärke vor. Die Patientin verfügt über eine mittelstark geformte Oberlippe. Es liegt eine mittelhohe Lachlinie vor (Abb. 2).

Die Oberkieferfront empfindet die Patientin als ausreichend lang. Der rechte mittlere Schneidezahn ist etwas kürzer, beide 1er zeigen im Zahnhals­bereich leichte Wurzeleinziehungen mit dadurch bedingten Einkerbungen im apikalen Schmelzverlauf. Das entspannte Lächeln zeigt knapp zwei Drittel Länge der Frontzahnreihe. Im Bereich der Eckzähne sind ­leichte Abrasionen erkennbar. Der Schneide­kantenverlauf folgt weitestgehend der Konkavität der ­Unterlippe (berührungsfreies Verhältnis). Von der Patientin ist jedoch eine geringfügige Verlängerung der 1er-Schneidekanten gewünscht.

Die durch den dünnen Biotyp bedingt oval imponierende Zahnform der Oberkieferfrontzähne erscheint der Patientin harmonisch und sollte bei der Neuversorgung beibehalten werden. Beide 1er zeigen im Zahnhalsbereich hypoplastische Einkerbungen im Bereich der Schmelz-Dentin-Grenze (Abb. 3).

Dentalstatus

Neben den erwähnten Abrasionen im Unterkiefer­eckzahnbereich (Abb. 4) erscheinen die unteren mittleren und lateralen Inzisivi ebenfalls abradiert. Die ursprüngliche anatomische Kauflächenstruktur in den Seitenzahnbereichen ist vollständig erhalten. Über die erwähnten Verfärbungen an den mittleren Inzisiven hinaus erscheint die Farbe der Zähne dem Alter entsprechend etwas dunkel. Die Patientin wünscht sich im Rahmen der Rehabilitation auch eine merkliche Verbesserung.

Im Oberkiefer erscheint der Zahnbogen ausreichend harmonisch (Abb. 5). Der erste obere Molar steht leicht nach palatinal versetzt. Der Oberkieferfront­überbiss ist mit ca. 1 mm zu knapp bemessen. Zusammenfassend für die ästhetische Problematik zeigt sich hinsichtlich der Länge (Zahn 11, 21), Farbe und Form der Zähne ein objektiv verbesserungs­würdiger Zustand, welcher auf Wunsch der Patien­tin im Rahmen einer umfassenden Rehabilitation erreicht werden soll.

Diagnosen

Es zeigt sich eine leichte Parafunktion bei Latero­trusion rechts/links einhergehend mit Schmelzverlust 32-42 sowie an allen vier Eckzähnen. Konservierend insuffizient versorgtes Erwachsenengebiss.

Behandlungsplan

  • Dentalhygiene (Abformung für Situ-Modelle, Wax-up, Fotostatus) 
  • Kompositfüllung 26 
  • In-Office-Bleaching Ober- und Unterkiefer, Walking Bleach 11, 21 
  • Präparation für die definitive Versorgung im Oberkiefer 11, 21 mit Feldspatkeramikveneers 
  • Abdrucknahme, Bissnahme in HIKP (= ZKP). Gesichtsbogenübertragung, Anproben und defini­tive Eingliederung in den Folgesitzungen 
  • Anfertigung Michiganschiene 
  • Nachkontrolle und Nachsorge 

Behandlungsablauf

  • Behandlungssitzung: Prophylaxesitzung einschließlich Reevaluation und professioneller Zahnreinigung, Abformung OK/UK mit Alginat, Fotostatus, intraorales Mock-up mit Tetric Flow 
  • In-Office-Bleaching OK/UK (Opalescence Boost 35 %, Ultradent) für 60 Minuten (3 x 20 Minuten; Abb. 10), Walking Bleach 11, 21 mit Natriumperborat/H2O2 3 % für zehn Tage 
  • Präparation der Zähne im OK in lokaler Anästhesie (Articain 1:100.000, Aventis) unter Zuhilfenahme einer Lupenbrille (4,5-fache Vergrößerung, Zeiss) 
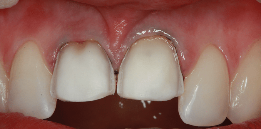
  • Präparation 11, 21 zur Aufnahme von Feldspatkeramikveneers, Präparation leicht subgingival (0,5 mm) zur Einfassung der zervikalen Einkerbungen (Hohlkehldiamant 886-012 M, ökoDENT und Finierer FG 8878/014, Komet; Abb. 12) 
  • Zweifache Abdrucknahme der präparierten Zähne mittels Doppelfadentechnik 
  • Kieferrelationsbestimmung in HIKP (= ZKP) aus thermoplastischem Kunststoff (Bite Compound, GC). 
  • Registrieren der arbiträren Scharnierachse des OK mittels Gesichtsbogen (Artex 3-D, Amann Girrbach). Bestimmung der Idealwinkel der ­Zähne aus frontaler Sicht mit dem Clinometer nach Dr. Behrend (Amann Girrbach) 
  • Gegenkieferabformung (UK) mit Alginat (Alginat, Cadco) 
  • Erste Anprobe. Entfernung der provisorischen Versorgung und sorgfältige Reinigung der präparierten Zähne. Aufsetzen der Frontzahnveneers (Creation „Willi Geller“, KLEMA) mit Glyceringel (Variolink II Try-In, Ivoclar Vivadent) 
  • Kontrolle auf Randpassung und exakten Sitz 
  • Eingliederung der definitiven Versorgung im OK. Zum Einsetzen der Veneers wird nach vorherigem Abstrahlen (RONDOflex plus, KaVo) mit Aluminiumoxidpulver der Korngröße 27 µm (RONDOflex plus, KaVo) und Schmelzätzung mit 35%iger Phosphorsäure (Ultra-Etch, Ultradent) eine selektive adhäsive Befestigung der zuvor geätzten und silanisierten (Monobond-S Silan, Ivoclar ­Vivadent) Feldspatveneers mit Syntac Classic (Ivoclar ­Vivadent) und Variolink II (Ivoclar Vivadent) vorgenommen (Abb. 13) 

Diskussion

In dem vorliegenden Fall handelt es sich um eine aufwendig ästhetisch-rekonstruktive Rehabilita­tion1, mit deren Ergebnis sich die Patientin vollumfänglich zufrieden zeigt. Seitens des Behandlers wurde eine Verlängerung der klinischen Kronen 11, 212 (prothetisch) angeregt.3

Die Rehabilitation des Frontzahnbereichs mit Feldspatkeramikveneers1, 4 geschah auf Wunsch der Patientin. Eine weitere Alternative wäre, ausschließlich mit Komposit5 oder kombiniert mit Veneers und Komposit zu arbeiten.6 Die gegenüber Keramik verminderte Abrasionsresistenz und einen damit verbundenen zyklischen Erneuerungsbedarf der Kompositrestaurationen sprach wiederum für die prothetische Versorgung. Zudem zeichnet sich Keramik durch bessere biologische (Plaqueakkumulation) und materialspezifische (Farbtransluzenz und Beständigkeit) Eigenschaften gegenüber Komposit aus. Somit war auch angesichts des jungen ­Alters der Patientin und dem Wunsch einer langfristig ästhetischen Versorgung Rechnung getragen.1, 7 Abschließend betrachtet, stellt sich das Behandlungsergebnis auch für den Behandler in ästhetisch-rekonstruktiver Hinsicht als Erfolg dar. Die Patientin ist völlig gesund. Die Prognose der 1er ist unter den gegebenen Umständen vorsichtig als positiv einzuschätzen. Ein Frakturrisiko ist bei dieser umfangreichen konservierenden Vorbehandlung zwar vorhanden, sollte jedoch aufrund der guten und stabilen Okklusion sowie der vorhandenen Front-Eckzahn-Führung3 auf ein Minimum beschränkt bleiben. Nächtliches Zähnepressen oder -knirschen soll durch das Tragen einer Nachtschiene aufgefangen werden. Die Patientin betreibt keine Extremsportarten. Die Keramikversorgungen sollten ein mögliches Verfärbungsrezidiv der Zähne zu einem späteren Zeitpunkt bis zu einem gewissen Grad kompensieren können.

Das überstopfte Wurzelfüllmaterial soll vorerst belassen werden, da weder klinische noch röntgenologische Anzeichen einer Progression erkennbar sind (Wurzelfüllungen wurden im Kindesalter durchgeführt) und auch keinerlei Beschwerden vorliegen. Die Patientin ist mit der Frontzahnversorgung sehr zufrieden. Einem regelmäßigen halbjährlichen Recall steht sie sehr aufgeschlossen gegenüber.

Schlussbefund

Mit der manuellen und klinischen ­Funktionsanalyse konnte kein auffälliger Befund festgestellt werden. Die manuelle Führung ergab weiterhin keine Abweichung in maximaler Interkuspidation (ohne Führung) und zentraler Kondylenposition (mit Führung). Keine Krepitationsgeräusche der Gelenke, ­unauffällige Öffnungs- und Schließbewegungen. Es zeigen sich stabile und gesunde Weichgewebsverhältnisse nach abgeschlossener prothetischer Behandlung (Abb. 14). Die Papille an den zentralen Schneidezähnen ist gut ausgeformt.

Die Oberkieferfront empfindet die Patientin nun als ausreichend „lang“, das entspannte Lächeln zeigt fast die gesamte Frontzahnreihe. Der Schneidekantenverlauf folgt der Konkavität der Unterlippe. Die ovale Zahnform wurde in die definitive Sanierung übernommen und die zervikalen Einkerbungen (Hypoplasien) an 11, 21 wurden entsprechend eingefasst (Abb. 14). Die Veneeroberflächen wurden mit horizontalen und vertikalen Texturen versehen und verhelfen den Restaurationen dadurch zu ­einem natürlichen und ansprechenden Erscheinungsbild. Durch die prothetische Sanierung wurde die Zahnform im Frontzahnbereich deutlich verbessert. Mithilfe des vorrangigen Bleachings konnte eine ansprechende dezente Aufhellung der Oberkieferfront erreicht werden. Die Auswahl der Zahnfarbe (Vita Skala A1) erfolgte auf Wunsch der Patientin. Der Oberkieferfrontüberbiss wurde von 1 auf knapp 2,5 mm erhöht.

Die vollständige Literaturliste gibt es hier.

Mehr Fachartikel aus Cosmetic Dentistry

ePaper