Endodontologie 17.12.2013
Effiziente Versorgung einer Klasse V-Kavität
share
Die Anwendung adhäsiver oder selbstadhäsiver Füllungsmaterialien nimmt einen immer breiteren Platz im Behandlungsspektrum ein. Oftmals sind die Technologien in den Arbeitsabfolgen von der mikroretentiven Präparation über absolute Trockenlegung bis zu entsprechenden Primer- und Bondingsystemen systembedingt unterschiedlich und anspruchsvoll. Neben dem gestiegenen ästhetischen Bewusstsein der Bevölkerung und einem daraus resultierenden hohen Anspruchsdenken spielt zunehmend auch die ökonomische Komponente eine wichtige Rolle. Jeder Patient überlegt sich genau, für welche Leistungen er finanzielle Mittel bereitstellt.
In dem vorliegenden Patientenfall wird ein einfacher Zahnhalsdefekt mit dem lichthärtenden kunststoffmodifizierten Glasionomer-Füllungsmaterial Photac Fil Quick (3M ESPE) versorgt. Bei einer 36-jährigen Patientin zeigt sich ein Klasse V-Defekt an Zahn 43. Alle demineralisierten Areale wurden mit einem Finierdiamanten (rote Körnung) entfernt. Um im marginalen Grenzbereich keine Materialien in den Sulkus zu applizieren, wurde dieser für zwei Minuten mit der adstringierenden Retraktionspaste von 3M ESPE befüllt und im Anschluss mit Wasser 30 Sekunden gereinigt.

Abb. 1: Ausgangssituation: Klasse V-Kavität an Zahn 43. – Abb. 2: Situation nach Applizierung der adstringierenden Retraktionspaste. – Abb. 3: Applikation von Photac Fil Quick mit zuvor gelegtem Faden.
In den vorbereiteten Sulkus wurde ein ungetränkter Baumwollfaden des Unternehmens Ultradent eingelegt. Die adstringierenden und auflockernden Eigenschaften erlauben eine blutungsfreie und schnelle Applikation des Fadens. Somit wird zusätzlich das Aufsteigen des Sulkusfluids verhindert. Nach entsprechender Farbauswahl wird die Photac Fil Kapsel mit der Aktivierungszange für zwei Sekunden zusammengedrückt und im Anschluss im RotoMix (3M ESPE) für zehn Sekunden vermischt. Die Applikationszange ermöglicht einen perfekten Halt der Photac Fil Kapsel und eine einfache und sichere Befüllung der zu versorgenden Kavität. Insbesondere, wenn mehrere Zahnhalsdefekte nebeneinanderliegen, ist hier eine besonders wirtschaftliche Versorgung möglich. Nach dem Befüllen der Kavität wird das Material mit der Polymerisationslampe für 20 Sekunden gehärtet.

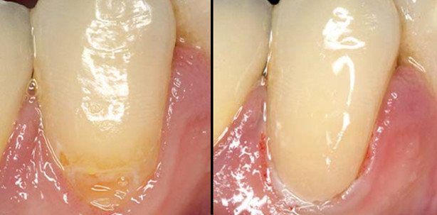
Abb. 4: Verschleifen und Polieren mit Sof-Lex Scheiben und Rädern. – Abb. 5: Situation nach erfolgter Therapie.
Die Überschüsse können mit einem Finierdiamanten entfernt und das Material mit Sof-Lex Scheiben geglättet werden. Zusätzlich wurden die neuen flexiblen Sof-Lex Polierrräder (3M ESPE) für die abschließende Oberflächenglättung verwendet. Gerade bei kariesaktiven Patienten wird durch die vorhandenen Fluoridionen eine Sekundärkaries verhindert. Mit zunehmendem Alter oder nach Schlaganfallleiden mit eingeschränkter Motorik sind diese Materialien ideal, um eine hydrolytische Degradation durch anhaftende Biofilme zu vermeiden.