Endodontologie 11.11.2014
Zahnerhalt bei primär endodontischer Läsion mit apikaler Parodontitis
share
Ein 37-jähriger Patient stellte sich nach Trepanation des Zahnes 36 im Notdienst in der Praxis vor. Der Patient wünschte unbedingt den Zahnerhalt, nachdem ihm im Notdienst aufgrund des Röntgenbefundes die Zahnentfernung als unumgänglich erklärt wurde. Folgender klinischer Fall zeigt den erfolgreichen Zahnerhalt durch einfache Kanalaufbereitung und dreimalige medikamentöser Einlage.
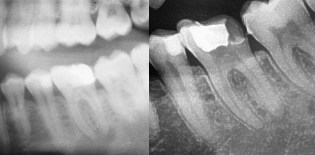
Der Zahn 36 wurde im Notdienst nach vollständiger Entfernung der Restauration (F3 odli) trepaniert, kurz instrumentiert und mit einer medikamentösen Einlage und provisorischem Verschluss versorgt. Es konnte ein dumpfer Perkussionsschall ausgelöst werden. Der Patient hatte keine Aufbissprobleme, ebenso konnte auf Druck im apikalen Bereich dieses Zahnes kein erhöhtes Schmerzempfinden ausgelöst werden; die Beweglichkeit war nicht erhöht. Die zirkulären Taschentiefen waren unauffällig, ein Fistelgang war nicht vorhanden. Die im Notdienst angefertigte Röntgenaufnahme zeigte eine ausgeprägte apikale Parodontitis am Zahn 36 (Abb. 1a und b). Die Diagnose war eine primär endodontische Läsion. Der Patient wünschte unbedingt den Erhalt des Zahnes, trotz des ausgedehnten röntgenologischen Befundes.

Abb. 1a und 1b
Therapie und Verlauf
Es wurde eine Wurzelkanalbehandlung ohne Anästhesie durchgeführt, wodurch Rückmeldungen durch den Patienten als zusätzliche Kontrolle bei der Kanalaufbereitung möglich sind. Es wurden zwei Wurzelkanäle in der mesialen Wurzel dargestellt, welche mit K-Feilen (Kerr) der ISO Größe 15–35 aufbereitet wurden. Distal gab es einen Kanal, der bis ISO Größe 45 aufbereitet wurde. Die Feilen wurden, wenn überhaupt, nicht ohne vorherige Desinfektion mit Alkohollösung (Cleanstand) in einem anderen Kanal des Zahnes erneut verwendet.
Nach und vor jedem erneuten Einführen jeder K-Feile wurde das Kanalsystem mit CHX (0,2 %) gründlich mithilfe einer Kanülenspritze gespült. Dabei wurde darauf geachtet, nicht durch Überpressen der Spülflüssigkeit über den Apex hinaus eine Injektion ins periapikale Gewebe zu erzeugen. Der Zahn wurde im Anschluss mit einer medikamentösen Einlage (Ledermix®), steriler Watte und einer Glasionomerfüllung versorgt, um einen dichten Verschluss der großen Kavität zu erreichen. Neun Tage später wurde der bis dahin absolut beschwerdefreie Zahn erneut mit K-Feilen in Arbeitslänge und den beiden letzten ISO-Größen instrumentiert, so- wie gründlich mit CHX (0,2 %) gespült. Der Zahn erhielt danach eine Calciumhydroxid-Einlage und wurde mit einer Compositefüllung und nur dünner Watteeinlage im Kanaleingangsbereich dicht verschlossen. Erst zehneinhalb Monate später wurde Letzteres wiederholt, wobei nur ein mittiger, okklusaler Zugang zum Kanalsystem geschaffen wurde. Zweieinhalb Monate später erfolgte eine erneute Röntgenaufnahme. Nach einem Jahr war klinisch und röntgenologisch eine Ausheilung des umfangreichen Knochendefektes zu verzeichnen (Abb. 2a und b).

Abb. 2a und 2b
Resümee
Nach medikamentösen Einlagen braucht man einfach Geduld. Sorgfältige, unseres Erachtens am besten manuelle Aufbereitung, gründliches Desinfizieren durch Spülen des Kanalsystems und ein dichter Kavitätenverschluss sind weitere entscheidende Voraussetzungen. Auch größere apikale Prozesse sind nicht zwingend Anlass für eine Extraktion.
Aus ganzheitlicher Perspektive würde ich die begleitende Messung von Entzündungsfaktoren (CRP, IL6, TNFa) als sinnvoll ansehen. Eine frühere Studie hat ferner gezeigt, dass periapikale Prozesse auch relevante systemische Effekte haben können, die über derzeit unklare komplexe Verschaltungen vermittelt werden (Schulze et al. 2007). Auch hier hat sich die konsequente, sorgfältige manuelle Sanierung der Wurzelkanäle als erfolgreicher Therapieansatz erwiesen.
Literatur:
Schulze A, Schönauer M,
Busse M: Sudden improvement of insulin sensitivity related to an
endodontic treatment. J Periodontol 78:2.380–2.384(2007).