Implantologie 08.03.2012

Rundum-Implantatversorgung an einem Tag



Rundum-Implantatversorgung an einem Tag

Die Versorgung fehlender anteriorer Zähne ist zugleich eine herausfordernde Aufgabe für den Kliniker und eine stressige Behandlung für den Patienten. Denn das ästhetische Resultat ist von großer Bedeutung – für den Patienten, den Zahnarzt und den Zahntechniker. Bereits vor Beginn der Behandlung sorgt er sich um die kosmetische Wirkung der definitiven Restauration und der provisorischen Versorgung, die während der Osseointegrationsphase eingegliedert wird. In diesem Fallbericht sollen die klinischen Phasen zur Rehabilitation eines mittleren Schneidezahns verdeutlicht werden – von der Diagnose bis zur definitiven Versorgung.

Falldarstellung: Die 29-jährige Patientin mit unauffälliger Anamnese klagte über den unbefriedigenden äs­thetischen Eindruck des anterioren maxillaren Bereichs. Der elongierte rechte mittlere Schneidezahn war druck­empfindlich und zeigte eine erhöhte Mobilität (Klasse 1+). Der Gingivalsaum dieses Zahns zeigte Anzeichen einer Infektion, sowohl labial als auch palatinal und unterschied sich somit deutlich vom Parodontalzustand der anderen Zähne. Darüber hinaus war der linke mittlere Schneidezahn verfärbt und wies zudem umfassende großflächige Kompositfüllungen mit insuffizienten Rändern auf (Abb. 1). Eine mögliche Zahn- oder Wurzelfraktur wurde vermutet. Daher wurde die Patientin über kürzlich erfolgte Verletzungen oder Traumata im maxillaren Bereich befragt und sie berichtete von einem Verkehrsunfall vor sechs Monaten. Nach diesem Unfall waren beide Zähne äußerst empfindlich und wurden endodontisch versorgt. Die Röntgendiagnostik mittels OPG- und Zahnfilm ergab eine Wurzelfraktur des Zahns 11 zwei Millimeter unter der Schmelz-Zement-Grenze (Abb. 2 und 3). Aufgrund der schlechten Prognose war eine Extraktion unumgänglich. Im Gegensatz dazu zeigte der linke mittlere Schneidezahn keinerlei Anzeichen einer Wurzelfraktur. Der Behandlungsplan umfasste, neben der Entfernung des Zahns 11, eine Sofortimplantation sowie die Verwendung eines Sofortprovisoriums. Die Rehabilitation wurde durch die Neuversorgung des natürlichen Zahns 21 vervollständigt. Beide Schneidezähne sollten nach erfolgreicher Implantatosseointegration definitiv mit Vollkeramikkronen versorgt werden.

Die Patientin hatte eine hohe Lachlinie und war daher während des gesamten Behandlungszeitraums um ihr Aussehen besorgt. Vor Beginn des chirurgischen Eingriffs wurden Situationsabformungen mit Alginat hergestellt, auf deren Basis Studienmodelle angefertigt und in einem halbindividuellen Artikulator montiert. Für Zahn 11 wurde ein detailliertes Wax-up erstellt und eine provisorische Krone aus zahnfarbenem Autopolymerisat hergestellt. Die provisorische Krone wurde an den Innenflächen für die Kombination mit einem provisorischen Abutment entsprechend modifiziert. Die parodontalen Fasern um Zahn 11 wurden mit dem Pe­riotom gelöst und der Zahn so atraumatisch wie möglich extrahiert (Abb. 4 und 5). Der entfernte Zahn zeigte deutlich eine horizontale Wurzelfraktur unterhalb des Zahnhalses, was die Ursprungsdiagnose bestätigte (Abb. 6). Die Überprüfung der Alveole ergab keinen Anhalt für Fenestrationen und die Knochenwände schienen unversehrt. Eventuell vorhandene Fasern wurden durch Kürettage entfernt. Das Implantatbett wurde gemäß den Herstellerrichtlinien präpariert und ein XiVE-Implantat mit einem Durchmesser von 4,5mm und einer Länge von 11mm ausreichend primärstabil inseriert. Die Primärstabilität wurde hauptsächlich im palatinalen Anteil des Implantatlagers erzielt. Der Implantathals wurde drei Millimeter unter der Schmelz-Zement-Grenze der benachbarten Zähne platziert (Abb. 7 und 8).

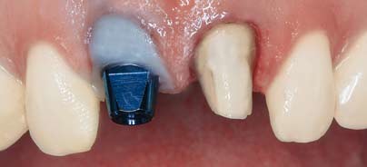
Der prämontierte TempBase-Aufbau aus Titan, der als Einbringpfosten gedient hatte, wurde aus dem Implantat entfernt und ein provisorischerAufbau aus Kunststoff eingesetzt (EsthetiCap, Abb. 9). Der anatomisch geformte Aufbau stützt in adäquater Weise das Weichgewebe und die interdentale Papille. Darüber hinaus ermöglicht er die Schaffung eines adäquaten Emergenzprofils ab dem Augenblick der Implantatinsertion. Die polierten Oberflächen verhindern zudem die Anhaftung von Plaque und vereinfachen so die Mundhygiene. In dieser Phase ist die Unterstützung des Weichgewebes ein wesentlicher Faktor für das Erreichen eines ästhetischen Ergebnisses während der provisorischen Versorgung und für deren Erhalt bis zur finalen Restauration. Die zuvor hergestellte provisorische Krone wurde mit Autopolymerisat auf dem Abutment fixiert, wobei eine palatinale Zugangsöffnung für die Befestigungsschraube verblieb (Abb. 10). Die Außenkontur der provisorischen Krone wurde wiederholt überprüft, um die Unterstützung des Gingivalsaums ohne übermäßigen Druck – der zu einem Schrumpfen des Gewebes führen könnte – zu gewährleisten. Die provisorische Krone wurde einen Millimeter kürzer als der Zahn 21 konzipiert, um eine mögliche Okklusionsbelastung bei maximaler Interkuspidation oder Lateralbewegungen zu vermeiden (Abb. 11). Die Implantatposition in der Extraktionsalveole und der Sitz des Aufbaus wurden radiologisch überprüft (Abb. 12).

Der Osseointegrationszeitraum von vier Monaten verlief unauffällig, und das Weichgewebe um das Implantat zeigte keinerlei Anzeichen für eine Entzündung. Die interdentale Papille blieb intakt, form-, höhen- und volumenstabil (Abb. 13 und 14). Um das periimplantäre Weichgewebe für die Abformung zu unterstützen, wurde ein präfabrizierter Übertragungsaufbau mithilfe von ­lichthärtendem niederviskösen Kompositmaterial individuell angepasst (Abb. 15 und 16). Als Basis für die definitive Versorgung dieses Implantats wurde ein ­vorgefertigter Vollkeramikaufbau aus Zirkondioxid (Cercon) ausgewählt. Dieser bietet eine adäquate Weichgewebeunterstützung und ermöglicht ein geeignetes Emergenzprofil im Bereich der Krone (Abb. 17 und 18). Durch die Verwendung von keramischen Abutments wird eine Verfärbung im gingivalen Bereich auch bei dünnem Weichgewebe verhindert. Es wurden neben der Vollkeramikkrone zur Implantatversorgung eine weitere zur Rehabilitation des Zahns 21 angefertigt (Abb. 19 und 20). Das Endergebnis erfüllte die ästhetischen Ansprüche der Patientin, und ihre anfängliche Unsicherheit schwand bereits nach der Insertion von Implantat und provisorischer Versorgung. Bei der routinemäßigen Kontrolluntersuchung ein Jahr später zeigten sich stabile periimplantäre Hart- und Weichgewebsverhältnisse (Abb. 21).

Diskussion und Fazit

Die Implantatinsertion direkt nach der Zahnextraktion zusammen mit der Anwendung von Provisorien im anterioren maxillären Bereich ist sicherlich ein anspruchsvolles Konzept für Zahnarzt und Zahntechniker. Diese Behandlungsoption bietet jedoch eine Reihe von Vorteilen, einschließlich einer reduzierten Gesamtdauer der Behandlung, einer einzigen notwendigen Lokalanästhesie, einem Verfahren ohne Aufklappung sowie einer Sofortversorgung der Implantate. Aus Sicht des Patienten ist die sofortige Eingliederung einer festsitzenden implantatgetragenen Versorgung äußerst wünschenswert und wird tatsächlich sogar verlangt. Mit dem hier beschriebenen klinischen Verfahren können sowohl der Zahnarzt als auch der Patient die Ästhetik der Versorgung abschätzen. Es wird eine bessere Weichgewebsunterstützung erzielt, und das gewünschte Resultat lässt sich leichter erreichen. Mit initialer Primärstabilität, einem korrekten Gewebsmanagement und der richtigen Verwendung der verfügbaren Implantatkomponenten lässt sich ein vorhersagbares ästhetisches Ergebnis erzielen. Andererseits sollten Okklusionskontrolle, Mundhygiene und ein regelmäßiges Nachsorgeprogramm Voraussetzungen für eine langfristig erfolgreiche Versorgung sein. Mit Einzelzahnimplantaten wurden sowohl im Front- als auch im Seitenzahnbereich des Ober- und Unterkiefers hohe Erfolgsraten erzielt.1–4 Die Sofortimplantation nach Zahnextraktion wies seit der Anfangszeit der klinischen Anwendung von Implantaten sehr gute klinische Ergebnisse auf.5–8 Entscheidende Faktoren für die sofortige Implantatinsertion sind ein infektionsfreies Parodontalgewebe und ein intaktes Zahnfach. Das sofortige Einsetzen einer temporären Versorgung liefert in der Literatur die vielversprechendsten Ergebnisse.7–14 Obwohl die laufenden klinischen Erfahrungen seit vielen Jahren für dieses klinische Verfahren sprechen, sind umfassendere klinische Langzeitstudien äußerst wünschenswert, damit die Wirksamkeit dieser Methode herausgestellt und ein beständiges klinisches Protokoll erstellt werden kann.

Besonderer Dank für die labortechnische Unterstützung gebührt Herrn M. Maglousidis.

Mehr Fachartikel aus Implantologie

ePaper