Implantologie 23.01.2012

Langzeitstabilität und Ästhetik mit Implantatversorgung



Langzeitstabilität und Ästhetik mit Implantatversorgung

Herausforderung Sofortimplantation und -versorgung im Frontzahnbereich
 

Der Patient stellt bei Frontzahnrestaurationen hohe ästhetische Ansprüche an den Zahnarzt. Sowohl Stabilität und Funktion als auch eine optimale rot-weiße Ästhetik sollten gegeben sein. Mit möglichst atraumatischer Sofortimplantation und einer unmittelbaren provisorischen Versorgung kann das gewünschte Therapieziel erreicht werden. Die Grundlagen für den Erfolg sind u.a. das Makrodesign des Implantats und das Operationsprotokoll.

An der Front stehen heißt, übertragen auf das zivile Leben, ganz vorn und somit im Blickfeld der Umgebung zu sein. Die Frontzähne haben, bedingt durch ihre Stellung, einen erheblichen Einfluss auf den visuellen Eindruck eines Gesichts. Insofern ist dies für die Patienten ein sensibler Bereich. Bei allen Korrekturen in dieser Region stellt der Patient hohe Ansprüche an den Zahnarzt. Zwischen der rot-weißen Ästhetik des implantatgetragenen Zahnersatzes und der natürlichen Bezahnung sollte kein Unterschied zu sehen sein. Um dem Patienten berechtigte Hoffnung auf das gewünschte Ergebnis machen zu können, müssen mehrere Faktoren zusammentreffen. Neben entsprechenden gesundheitlichen und anatomischen Voraussetzungen des Patienten kommt dabei dem Implantatsystem eine entscheidende Rolle zu. Die Grundlagen für den Erfolg sind das Makrodesign des Implantats und das Operationsprotokoll. Sie helfen, den unerwünschten Abbau von Knochen und die darauf unweigerlich folgende Rezession der Weichgewebe zu verhindern. Vorausgesetzt, der Patient arbeitet entsprechend mit. Beim Ersatz von einzelnen Zähnen kann mit einer möglichst atraumatischen Sofortimplantation und der unmittelbaren provisorischen Versorgung das gewünschte Therapieziel erreicht werden. Von erheblichem Vorteil ist es, wenn schon zu diesem Zeitpunkt ein definitiver Keramikaufbau – „one abutment one time“ – verwendet wird.

Nach der Eingliederung sehen die meisten Restaurationen gut aus. Was ist jedoch nach ein paar Jahren? Das Therapieziel kann erst dann als erreicht angesehen werden, wenn auch nach langer Zeit das anfängliche Ergebnis stabil ist. Dies ist ohne ein dauerhaft erhaltenes Hart- und gesundes Weichgewebe nicht zu erreichen. Die Unterstützung des Weichgewebes kann, ebenso wie die funktionellen Aspekte, schon in der Planungsphase ­berücksichtigt werden. So sind ein girlandenförmiger, ­narbenfreier Gingivaverlauf, harmonisch ausgebildete Interdentalpapillen und ausreichend keratinisierte Gingiva wichtige Parameter für die Ästhetik. Diese werden jedoch entscheidend beeinflusst vom Implantatdesign und der vertikalen Positionierung der Implantatschulter. Die Materialeigenschaften sowie die Konstruktionselemente der Aufbauteile spielen ebenfalls eine Rolle. Weitere Faktoren sind eine optimale Funktion und vor allem die auch materialbedingte Langlebigkeit und Biokompatibilität der Restauration.

TissueCare: Verlässlichkeit eines Konzepts

Ob das gewünschte ästhetische Ergebnis erzielt wird, hängt auch davon ab, inwieweit sich die „biologische Breite“ als immunkompetentes Gewebe an der Durchtrittsstelle des Implantats etablieren und stabilisieren lässt. Ein bakteriendichtes und – aufgrund des Platform Switchings – in die Horizontale verlagertes Implantat-Abutment-Interface wie beim ANKYLOS-Implantat bietet hierfür günstige Voraussetzungen. Die spaltfreie, form- und kraftschlüssige Konusverbindung zwischen Implantat und Aufbau bleibt frei von bakterieller Besiedlung. Eine apikal gerichtete Migration des epithe­lialen Gewebes und der Abbau des periimplantären Knochens werden verhindert. Unter solchen Voraussetzungen kann das Implantat auch subkrestal inseriert werden. Aufgrund der mikrostrukturierten Implantatschulter wächst der Knochen über die Implantatschulter an das Interface zum Abutment. Durch den Erhalt des interdentalen Septums sind die Grundlagen für eine dauerhafte, knöcherne Abstützung der Gingiva und ein natürliches Emergenzprofil gelegt.

Sofortimplantation und Sofortversorgung: Die Vorteile überwiegen

Besonders unter dem Gesichtspunkt der Ästhetik des Weichgewebes bietet die Sofortimplantation – mit einem wurzelförmigen Implantatkörper und einem entsprechenden parallelwandigen Kompressionsgewinde – Vorteile. Wenn so atraumatisch und gewebeschonend wie möglich extrahiert und unmittelbar ­danach das Implantat inseriert wird, bleibt der Alveolarfortsatz erhalten. Der sonst in der Regel eintretende Verlust wichtiger Hart- und Weichgewebestrukturen lässt sich vermeiden. Zudem verringern sich für den Patienten Behandlungsdauer und -stress. Eine unmittelbare Unterstützung der Architektur des Weichgewebes wird erreicht, wenn möglichst rasch der definitive Aufbau eingeschraubt und mit einer provisorischen Krone versorgt wird. Der Effekt gleicht dem eines transgingival gesetzten, einteiligen Implantats, jedoch mit allen Vorzügen der flexiblen, prothetischen Restauration eines zweiteiligen Implantats.

Fallbeispiel

Behandlungsplanung

Im August 2004 stellte sich die 43-jährige Patientin zum ersten Mal in der Praxis vor. Sie klagte über leichte Beschwerden in Regio 12. Der Gingivasaum war leicht gerötet und der Zahn perkussions- und aufbissempfindlich (Abb. 1). Die Retainer waren vor rund 16 Jahren im Rahmen einer kieferorthopädischen Behandlung eingesetzt worden. Zahn 12 war alio loco mit einem gegossenen Stift und einer Metallkeramikkrone versorgt worden (Abb. 2). Schon zweimal hatte sich der Stift samt Krone gelöst und wurde ­wieder befestigt. Funktionelle Beschwerden, allgemeine Vorerkrankungen oder Allergien lagen nicht vor, auch der PA-Status war unauffällig. Im Röntgenbild zeigte sich am Zahn 12 eine nicht ganz vollständige Wurzelfüllung (Abb. 3). Apikal lag eine leichte Transluszenz vor. Außerdem bestand der Verdacht auf einen Haarriss im Bereich der Wurzel. Zahn 12 war nicht mehr erhaltungswürdig. Die Patientin wurde umfassend über die Möglichkeiten der Versorgung aufgeklärt. Sie entschloss sich aus ästhetischen Aspekten, aber auch wegen des Substanzerhalts der Nachbarzähne, für den implantologischen Eingriff. Hinzu kam die Aussicht auf eine kurze Behandlungsdauer. Angestrebt wurde eine Sofortversorgung mit einer provisorischen Krone auf einem definitiven Aufbau. Für diese Möglichkeit war sie bereit, einen Tag lang „zahnlos“ zu sein. Als endgültige Restauration war eine Vollkeramikkrone vorgesehen.

Präoperativ: Provisorium und Bohrschablone

Für die provisorische Versorgung wurde präoperativ am Situationsmodell Zahn 12 radiert und ein Wax-up in ästhetisch korrekter Position im Zahnbogen aufgestellt (Abb. 4). Die Situation wurde mit Vor- und Rückwall festgehalten und eine Bohrschablone als Positionierungshilfe für die exakte Insertion angefertigt (Abb. 5). Der reduzierte Silikonschlüssel lieferte die Vorlage für eine anatomisch orientierte Form des definitiven Aufbaus, um danach im Labor präoperativ ein passendes Kunststoffprovisorium anfertigen zu können.

Atraumatisch extrahiert und funktional-ästhetisch inseriert

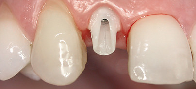
Noch im Dezember 2004 wurde der Eingriff in Lokalanästhesie durchgeführt. Die weitgehend atraumatische Extraktion mit einem Periotom schont die labiale Knochenlamelle. Nachdem die Ex­traktionsalveole apikal sorgfältig von ­Granulationsgewebe gesäubert war, wurde das Implantatbett gemäß Protokoll leicht nach palatinal konditioniert (Abb. 6). Die Insertion des ANKYLOS-Implantats (B 14) erfolgte leicht subkrestal. So wird die vorhandene Schleimhautdicke nicht unnötig reduziert. Der Implantatdurchmesser war so gewählt, dass der in der Literatur empfohlene mesiodistale Abstand zu den Nachbarzähnen von 2mm eingehalten werden konnte. ANKYLOS mit seinem progressiven, kondensierenden Gewindedesign verdichtete den Knochen, sodass die erforderliche Primärstabilität erreicht werden konnte. Augmentative Maßnahmen waren nicht erforderlich, die Jumping Distance lag unter 1,0mm. Unmittelbar nach der Insertion wurde ein ANKYLOS-Balance-Sulkusformer eingedreht, um einem Kollabieren der Weichgewebe vorzubeugen (Abb. 7). Die exakte Position des Implantats wurde mit einer postoperativen Kontroll­aufnahme überprüft (Abb. 8). Die krestale Situation ­erlaubte, wie geplant, die provisorische Sofortversorgung. Nachdem die Naht gelegt war, wurde daher der Sulkusformer wieder entfernt und ein Übertragungsaufbau eingebracht (Abb. 9). Die Abformung erfolgte mit einem individuellen, offenen Löffel. Danach wurde der Sulkusformer wieder eingesetzt. Die Patientin verließ an diesem Tag die Praxis ohne ein Provisorium.

Definitives Abutment und provisorische Versorgung

Bereits am nächsten Tag lag vom Zahntechniker der definitive, vollkeramische Aufbau (ANKYLOS-Cercon-Balance klein) individualisiert vor (Abb. 10). Sulkusformer und Nähte wurden entfernt. Um das durch seine konische Anschlussgeometrie frei positionierbare Abutment exakt positionieren zu können, war ein Übertragungsschlüssel mitgeliefert worden. So konnte bereits ein Tag nach Implantation der definitive Aufbau eingebracht werden. Da mit dieser „one abutment one time“-Methode kein provisorischer Aufbau mehr entfernt werden muss, wird eine mögliche Irritation der Gingiva von vornherein vermieden. Das präoperativ im Labor angefertigte Kunststoffprovisorium wurde mit temporärem Kunststoffzement auf dem Abutment fixiert (Abb. 11). Um ein störungsfreies Einheilen des Implantats zu erreichen, hat das Provisorium keine okklusalen Kontakte, weder in Statik noch in Dynamik. Auch die Approximalkontakte wurden mit Absicht weggelassen. Der Periotestwert („Tübinger Specht“) betrug –2. Die Patientin wurde eingehend darüber instruiert, den Frontzahnbereich zu schonen und nicht fest abzubeißen.

Fünf Monate später

Ein wichtiger Schlüssel zum funktionalen wie ästhetischen Erfolg ist der Zeitfaktor. Die oralen Gewebe brauchen ausreichend Zeit, um sich regenerieren und stabilisieren zu können. Ein anatomisches Design des Provisoriums unterstützt nicht nur die Weichgewebestrukturen. In Verbindung mit einem, ebenfalls anatomisch geformten, definitiven Abutment kann sich von Anfang an ein bakteriendichter Abschluss ausbilden, vergleichbar dem dentogingivalen Verschluss. Nach drei Monaten ist das Gewebe reizlos und das Implantat stabil eingeheilt (Abb. 12 und 13). Für die vollkeramischen Cercon-Aufbauten wird hochfestes, Yttriumoxid-stabilisiertes (Y2O3) Zirkoniumdioxid (ZrO2) verwendet. Diese Hochleistungskeramik zeichnet sich nicht nur durch eine sehr hohe Festigkeit aus, sondern überzeugt auch durch hervorragende Ästhetik und Biokompatibilität. Die geringe Plaqueanlagerung senkt das Risiko von Weichgeweberezessionen. Im Mai 2005 wurde der definitive Zahnersatz angefertigt und eingegliedert. Dafür wurde zunächst das – zusammen mit dem Provisorium auf dem Originalaufbau bereits vorgefertigte – Vollkeramikkäppchen provisorisch mit Temp Bond Nogenol auf dem Cercon-Aufbau fixiert (Abb. 14 bis 16). Anschließend erfolgte eine Überabformung mit Impregum (Abb. 17). Am 6. Juni 2005 wurde die in Überpresstechnik hergestellte Vollkeramikkrone aus leuzitverstärkter Glaskeramik adhäsiv eingesetzt (Abb. 18 und 19). Der Periotestwert lag bei –4. Die Röntgenkontrolle ergab keine Auffälligkeiten (Abb. 20).

Jahre später …

Bei der Kontrolle ein Jahr später (Abb. 21) betrug der Perio­testwert –3. Die auch aus diesem Anlass angefertigte, ­digitale Röntgenaufnahme zeigte stabile periimplantäre Knochenverhältnisse (Abb. 22). Die jährlich durchgeführten Kontrollen zeigten keine negativen Veränderungen an der Versorgung und den umgebenden Geweben (Abb. 23). Die Röntgenaufnahme vom Dezember 2009, also fünf Jahre nach der Implantation, belegt eindrucksvoll die stabilen Knochenverhältnisse (Abb. 24). Die Grundvoraussetzungen für den ästhetischen Erfolg in der Frontzahnrestauration – ein auch nach Jahren girlandenförmiger Verlauf der Gingiva und schön ausgeprägte Interdentalpapillen – sind damit erfüllt.

Schlussbetrachtung

Die Sofortversorgung nach einer Sofortimplantation mit einer implantatgetragenen Einzelzahnkrone kann im ästhetisch sensiblen Frontzahnbereich als State of the Art bezeichnet werden. Vorausgesetzt, dass die entscheidenden Kriterien wie Patientenauswahl sowie Eignung des Implantatsystems und seiner Komponenten beachtet werden. Zudem sollte der Arzt über fundiertes Wissen über die periimplantären Strukturen und deren mögliche Veränderungen verfügen. Die Primärstabilität des Implantats und die Infraokklusion der provisorischen Krone sind, neben der Compliance des Patienten, weitere Erfolgsparameter. Werden diese Faktoren beachtet, lassen sich vorhersagbare, funktionelle, stabile und ästhetische Langzeitergebnisse erzielen.

Mehr Fachartikel aus Implantologie

ePaper