Implantologie 15.02.2023

Weichgewebe: Unterschiede – Optimierung – Beeinflussung



Weichgewebe: Unterschiede – Optimierung – Beeinflussung

Foto: © Dr. Kauffmann

Ohne ein funktionierendes Weichgewebe sind Probleme und Schmerzen vorprogrammiert. Dass Weichgewebe nicht gleich Weichgewebe ist, zeigt uns ein einfacher, fast ungeschulter Blick in die Mundhöhle: Zunge, Wange, Gaumen, alles sieht verschieden aus, hat eine andere Struktur und unterschiedliche Aufgaben. Aber jedes Weichgewebe heilt in der Regel recht gut. Transplantationen sind möglich. Das Weichgewebe schützt den Knochen, aber ohne Knochen ist auch das Weichgewebe nichts wert.

Es gibt etliche Möglichkeiten, die verschiedenen Gewebearten im Mund zu unterscheiden und zu beschreiben. Der wichtigste Unterschied jedoch ist, ob das Weichgewebe „attached“, also befestigt/fixiert, oder nicht „attached“ und mobil ist. Andere Parameter, um Weichgewebe zu unterscheiden, sind die Keratinisierung, die Dicke, die Textur oder allgemein der Phänotyp. So wichtig die Qualität und Quantität des Weichgewebes ist, um Zähne und speziell um Implantate wünschen wir uns befestigtes Weichgewebe. Ob dieses letztlich keratinisert ist oder nicht, ist zweitrangig, solange das Weichgewebe befestigt ist.

Weichgewebe um Zähne

Das Durchtrittsprofil der Zähne durch das Weichgewebe ist durch den Sulkus und der in der Regel festen sich dem Zahn direkt anlagernden Gingiva gekennzeichnet. Diese verläuft girlandenförmig und zeigt je nach Phänotyp eher vier- oder dreieckige Zähne. Der höchste Punkt der Gingiva ist die Papille, welche den Zahnzwischenraum ausfüllt. Der niedrigste Punkt ist in der Regel in der Nähe der Mitte der Zahnkrone und leicht nach distal verschoben. Weiter apikal findet sich die nicht befestigte Gingiva, welche durch die mukogingivale Grenze (MGG) von der befestigten Gingiva getrennt ist. Die MGG ist vor allem für die Einteilung von Rezessionen und im Falle von Rezessionsdeckung für die Auswahl der optimalen Deckungstechnik wichtig.

Das Weichgewebe um Zähne sollte beim Lachen nicht zu stark (Gummy Smile), jedoch trotzdem in ausreichendem Maße sichtbar sein.1, 2

Weichgewebe um Implantate

Für ästhetische Anforderungen gelten um Implantate die gleichen Regeln wie auch um Zähne. Wünschenswert ist ein eher dicker Phänotyp, der widerstandsfähiger gegenüber Rezessionen und äußeren Einflüssen ist. So sehr wir davon ausgegangen sind, dass ein optimales Weichgewebe einen direkten positiven Einfluss auf die Periimplantitisinzidenz hat, umso enttäuschender, dass dem nicht so ist. Positiv wirkt sich ein ideales Weichgewebe um Implantate auf die Plaque- und Blutungsindizes aus. Die Weichgewebe profitieren, auf den Knochen gibt es keinen direkten Einfluss.3, 4

Sollte eine Modifikation des Weichgewebes nötig sein, ist weniger entscheidend, ob die Modifikation vor, während oder nach der knöchernen Augmentation stattgefunden hat. Entscheidend ist, dass die Weichgewebsoptimierung zum Zeitpunkt der Kronenversorgung möglichst abgeschlossen ist, da spätere Eingriffe ein höheres Misserfolgsrisiko mit sich bringen.

Optimierung des Weichgewebes

Die Optimierungsmöglichkeiten für Weichgewebe um Zähne und Implantate sind vielfältig: von Altbewährtem, wie Bindegewebstransplantaten (BGT) oder freien Schleimhauttransplantaten (FST), bis hin zu unterschiedlich dichten Kollagenmatrizes oder Techniken, bei denen nur auf Schmelzmatrixproteine oder Hyaluronsäure gesetzt wird.

Die Optimierung von Weichgewebe ist nicht im Ansatz vergleichbar. Auch wenn teils ähnliche Techniken verwendet werden, sind die Voraussetzungen sowie die Erfolgsraten stark unterschiedlich. Muss um Zähne mit der gegebenen Situation gearbeitet werden, die sich maximal durch eine kieferorthopädische Therapie verändern lässt, sollte um Implantate eine Situation geschaffen werden, die sich nach Möglichkeit nicht verschlechtert.

Techniken

Ob standardisierte Rezessionsdeckung mittels klassischer oder modifizierter Tunneltechnik oder koronalem Verschiebelappen – Bindegewebstransplantate oder Ersatzmaterialien haben sich für diese Anwendung als günstig erwiesen. Auch wenn der Goldstandard weiterhin das autologe Transplantat bleibt, sind die Ergebnisse mit diesen Techniken um Zähne über einen langen Zeitraum von mehreren Jahren stabil, sofern die primäre Heilung erfolgreich war. Entscheidend hierfür ist häufig die Ausgangssituation. Je ungünstiger diese ist, desto wahrscheinlicher, dass keine vollständige Deckung erzielt werden kann.

Ist das Ergebnis um Zähne gut vorhersehbar, sind die Erfolgsaussichten bei Rezessionsdeckungen um Implantate deutlich schlechter. Auch mit der Verwendung von autologen Transplantaten können Rezessionen um Implantate nicht sicher gedeckt werden. Aus diesem Grund ist eine gründliche Vorbereitung essenziell.

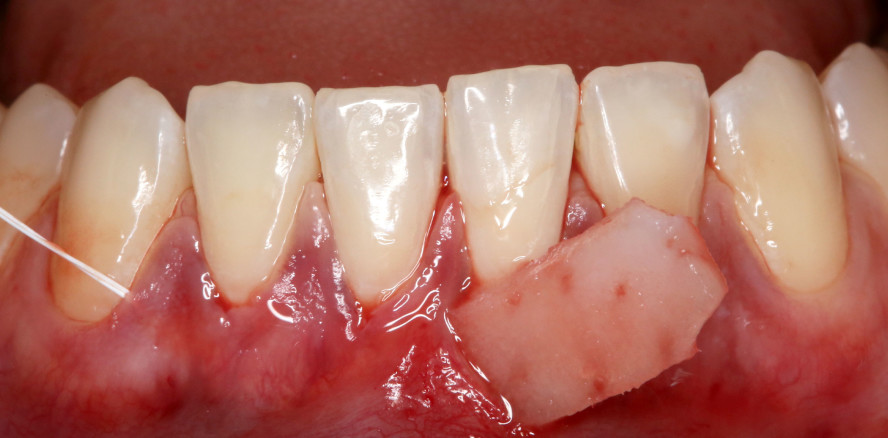
Eine weitere Technik, die zu Unrecht als sehr invasiv bezeichnet wird, ist das freie Schleimhauttransplantat. Die Indikation für diese Technik kann auf wenige Situationen reduziert werden: zum einen die Unterkieferfront mit Rezessionen um Zähne, mit eher dünnem Phänotyp und fehlender attached Gingiva, zum anderen in Situationen ohne attached Mukosa um Implantate im Unterkiefer vor oder nach prothetischer Versorgung. Im Oberkiefer lässt sich die fehlende attached Mukosa in der Regel durch eine Verschiebeplastik im Rahmen der Freilegung etablieren.

In allen Fällen werden autologe Transplantate vom Gaumen gewonnen. Zur Gewinnung eines BGT stehen zwei Grundtechniken zur Verfügung: die Gewinnung als subepitheliales Transplantat z. B. durch eine Single-Inzision oder Trap-Door-Technik sowie als FST, das anschließend deepithelisiert wird.5 Die Gewebe, die hierdurch gewonnen werden, unterscheiden sich jedoch deutlich voneinander.6

Subepitheliales BGT

In den tieferen Schichten sind Drüsen- und Fettgewebe zu finden, die am gewonnenen Transplantat deutlich sichtbar sind und nicht selten einen Großteil des Transplantats ausmachen.

Deepithelisiertes FST

In den oberen Schichten finden sich kaum Drüsen- und Fettgewebe. Das gewonnene Transplantat ist sehr kompakt und besteht fast vollständig aus Bindegewebe.

Der Unterschied ist auch intra- und postoperativ zu erkennen. Zum einen unterscheiden sich die beiden BGT’s im Handling. Im Heilungsverlauf unterliegt das subepitheliale BGT einer größeren Schrumpfung, wohingegen das deepithelisierte FST mit der Zeit sogar dazu tendiert, etwas zu proliferieren.

Aber auch Ersatzmaterialien liefern einen wertvollen Beitrag zur Verbesserung der weichgewebigen Situation. In Schaltlückendefekten können diese Ersatzmaterialien eine kleine vestibuläre Einziehung sicher auffüllen oder auch um Zähne im Rahmen von Rezessionsdeckungen eingesetzt werden. Es sollte nur beachtet werden, dass Ersatzmaterialien möglichst nicht exponiert sein dürfen und nicht vom gleichen Volumenzuwachs ausgegangen werden kann wie bei der Verwendung von autologen Transplantaten.

Beeinflussung der Weichgewebe und Wundheilung

Die Entnahme von Weichgewebe am Gaumen stellt noch immer einen der Eingriffe mit der höchsten Morbidität dar. Auch wenn wissenschaftliche Daten darauf hindeuten, dass weniger die Größe der Transplantate als eher die Entnahmetiefe entscheidend sind, wäre es schön, Materialien zu haben, welche die Wundheilung nicht nur beschleunigen, um das Ergebnis zu verbessern, sondern auch die Beschwerden für den Patienten reduzieren.

PRP/PRGF – PRF

Eigenblutkonzentrate genießen einen guten Ruf und sind wissenschaftlich hervorragend untersucht. Neben der Tatsache, dass die Blutentnahme für manche Patienten als ein sehr unangenehmer Vorgang wahrgenommen wird, ist die Datenlage für eine verbesserte weichgewebige Heilung sehr gut. Im Operationsgebiet können eine verbesserte Wundheilung, eine Reduktion der Schwellung und eine reduzierte Morbidität betrachtet werden. In der Kombination mit knöchernen Augmentationen kann durch Blutkonzentrate ein „Sticky Bone“ hergestellt werden, welcher das Handling vereinfacht und das Ergebnis verbessert.

Wird ein Blutkonzentrat für den operativen Eingriff verwendet, spricht nichts gegen die zusätzliche Anwendung am Gaumen.7

Kollagen

Kollagenvliese haben sich nicht nur für die verbesserte Heilung, sondern auch als Trägermedium oder zur Blutungsprophylaxe bewährt. Auch hier zeigt die Datenlage eine deutliche Verbesserung der Wundheilung und weniger Narbengewebe. Wird durch die Verwendung von Kollagenmatrices auf BGT/FST verzichtet, reduziert dies die Morbidität massiv. Die zusätzlichen Kosten und die Herkunft des Kollagens (meist porcin) sollten nicht unerwähnt bleiben.8

Schmelzmatrixproteine

Wird im Rahmen der Rezessionsdeckung mit Schmelzmatrixproteinen gearbeitet, kann ein Rest bedenkenlos im Bereich der Gaumenwunde appliziert werden. Die Datenlage ist hier sehr eindeutig und zeigt eine deutlich schnellere Revaskularisierung in den ersten Tagen nach der Operation. Auch für die Wundheilung alleine können Schmelzmatrixproteine verwendet werden, wobei sie ihr volles Potenzial eher im Bereich der parodontalen Regeneration entfalten.9

Hyaluronsäure (Hyaluronan)

Hyaluronsäure hat sich in den letzten Jahren aus der Nische in den Fokus gearbeitet. Die heute durch Bakterienfermentation hergestellte Hyaluronsäure ist der dem im Menschen befindlichen Hyaluronsäure gleich. Hyaluronsäure hat einen positiven Einfluss auf die Reduktion der Schwellung, die Reduktion der Morbidität und bewirkt zusätzlich eine verringerte Narbenbildung. In der Verwendung mit knöchernen Augmentationen kann die Hyaluronsäure, analog zu mit Eigenblutkonzentraten hergestelltem „Sticky Bone“, das Augmentat stabilisieren. Wird die Hyaluronsäure während der OP verwendet, kann diese zur Verbesserung der Wundheilung auch am Gaumen eingesetzt werden. Auch hier ist die Verwendung eines Trägermaterials von Vorteil, um die Standzeit zusätzlich zu verlängern.10, 11

Zusammenfassung

Das Weichgewebemanagement ist ein wichtiger Teil bei fast allen chirurgischen Eingriffen. Bei knöchernen Augmentationen sorgt es dafür, dass es keine Dehiszenzen gibt und der Knochen vorhersagbarer heilt. Um Implantate führt es zu reduzierten Blutungs- und Plaqueindizes und um Zähne stellt es die natürliche Ästhetik her. Ein ausreichend dickes Weichgewebe schützt den Knochen vor Resorptionen. Egal, wie wichtig das Weichgewebe ist, wir sollten nicht vergessen, dass es nur ein Mosaiksteinchen ist, das zum gewünschten Erfolg führt. Das Hartgewebe ist nicht minder wichtig. Aber auch Patientenfaktoren sollten nicht außer Acht gelassen werden. Zuletzt kann aber zusammenfassend Prof. Dr. Stefan Fickl zitiert werden: „Bone stands hard, but the soft tissue is the guard!“4

Eine Literaturliste steht hier zum Download für Sie bereit.

Dieser Beitrag ist im Implantologie Journal erschienen.

Mehr Fachartikel aus Implantologie

ePaper