Implantologie 25.07.2025

Keramikimplantate bei komplexen prothetischen Restaurationen



Im Folgenden soll der Einsatz keramischer Implantate in Zusammenhang mit einer umfangreichen prothetischen Gesamtversorgung gezeigt werden. Die 49-jährige Patientin erschien mit dem Wunsch einer umfangreichen Neuversorgung des bereits prothetisch versorgten Gebisses. Da anamnestisch eine Titan-Unverträglichkeit vorliegt, kam ausschließlich der Einsatz keramischer Materialien infrage, sowohl für die Implantate als auch für die prothetische Versorgung.

Keramikimplantate bei komplexen prothetischen Restaurationen

Foto: Dr. Volker Opitz

Im Vorfeld wurden bereits im I. und III. Quadranten durch einen anderen Zahnarzt jeweils zwei Keramikimplantate eingesetzt. Der I. Quadrant wurde mit einer vollkeramischen Brücke und der III. Quadrant mit zwei verblockten Einzelkronen versorgt. Dabei zeigen sich die Implantate im I. Quadranten als regelgerecht osseointegriert, ohne nennenswerten Knochenverlust. Anders im III. Quadranten: An diesen Implantaten fand laut Patientenaussage zur Implantation ein umfangreicher Knochenaufbau mit partikulärem Material statt. Da dieser offensichtlich nicht zum gewünschten Ergebnis geführt hat, lagen oral mehrere Implantatwindungen frei und vestibulär zeigte sich ein Taschengeschehen von 6 bis 7 mm Sondierungstiefe. Die darauf inserierten Kronen zeigten demzufolge interdental Prädilektionsstellen für Speisereste und damit verbunden häufig Entzündungen. Auch die freiliegenden Implantatwindungen lassen sich patientenseitig nur ungenügend pflegen. Trotz starken Anratens, diese Implantate zu entfernen und durch neue zu ersetzen, war es ausdrücklicher Patientenwille diese zu erhalten, genauso wie die prothetischen Konstruktionen darauf.

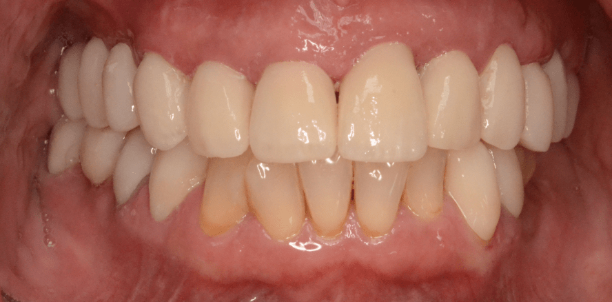
Alle anderen prothetischen Restaurationen sollten erneuert werden, auch aus optischen Gründen, da in der Oberkieferfront der Patientin die dunklen Ränder der metallkeramischen Konstruktionen störten. 

Planung und Vorbereitung

Die Planung der Versorgung erfolgte sowohl im DVT als auch mit digitalen Wax-ups durch die Zahntechnik. Neben der Erneuerung aller Oberkieferkronen sollte in der Schaltlücke Regio 24 ein zweiteiliges Keramikimplantat inseriert werden. Zahn 21 zeigte einen insuffizienten Stift-Stumpf-Aufbau, welcher zusätzlich eine neue vollkeramische Versorgung möglicherweise farbverändern könnte. Aus diesem Grund wurden die Extraktion von 21 sowie die Sofortimplantation eines weiteren zweiteiligen Keramikimplantates geplant. Im Unterkiefer sollte der III. Quadrant unberührt bleiben aufgrund der insuffizienten Altimplantate Regio 35 und 36. Lediglich die Zähne 33 und 34 sollten Kronen erhalten, um eine geringfügige Kreuzbissstellung auszugleichen. Im IV. Quadranten erfolgte die Planung, dass die Brücke von 44–47 durch Einzelkronen ersetzt werden sollte, wobei in Regio 46 ein weiteres keramisches Implantat inseriert werden sollte.

Präoperativ wurde zunächst nach Aufnahme eines Parodontalstatus eine supraginigivale und subgingivale Reinigung aller Zähne und Restaurationen durchgeführt, in Absprache mit der Patientin mit besonderem Augenmerk auf die Reinigung der Taschen in Regio 35, 36 an den insuffizienten Altimplantaten.

Anschließend fand die Entfernung der Altrestaurationen statt. Zuvor wurden die Kiefergelenke mittels elektronischen Gesichtsbogen ausgemessen, um die neue Bisssituation den artikulären Verhältnissen anzupassen. In der Einheilphase der Implantate erfolgte die Versorgung mittels Langzeitprovisorien in Ober- und Unterkiefer, um sich an diese veränderte Bisslage gewöhnen zu können.

Operatives Vorgehen

Der eigentliche Eingriff fand auf Patientenwunsch in ITN statt. Die antibiotische Abschirmung erfolgte mittels Cefalospurin und Metronidazol. Zunächst wurde Zahn 21 mittels Piezosurgery atraumatisch entfernt und die Alveole mittels Ozon desinfiziert. Die Sofortimplantation erfolgte palatinal orientiert. Da ein Implantat der Größe 5,5 mm Durchmesser und 10 mm Länge inseriert werden konnte, war eine Augmentation der Alveole nur marginal notwendig. Zur besseren weichgewebigen Heilung erfolgte die Applikation einer PRGF-Membran. Das Implantat wurde in diesem Falle equikrestal positioniert. In Regio 24 wurde mittels DVT eine ungewöhnlich geringe Knochendichte diagnostiziert, weshalb die Aufbereitung des Implantatbohrstollens mittels Implantatbettaufbereitungsbohrer im Rückwärtslauf stattfand, um den Knochen zu verdichten. Nur dadurch konnte ein Eindrehmoment des Implantats von rund 25 Ncm erzielt werden (Anmerkung: die hier verwendeten Keramikimplantate sollten allgemein 0,6 bis 1,6 mm suprakrestal mit mindestens 25 bis maximal 45 Ncm inseriert werden). In Regio 46 erfolgte die Implantation ohne besondere Vorkommnisse regelgerecht.

Die Einheilzeit der Implantate betrug in diesem Fall fünf Monate, da die Patientin mit der provisorischen Versorgung sehr gut zurechtkam. Anschließend erfolgte die Freilegung der Implantate 24 und 46. In Regio 21 heilte das Implantat teils offen ein. Alle Implantate zeigten sich nach fünf Monaten integriert mit ISQ-Werten von über 70.

Prothetische Versorgung

Im Seitzahnbereich wurden bewusst monolithische Zirkonkronen bzw. -brücken eingesetzt, während im Frontzahnbereich individuell verblendet wurde. In Regio 46 konnte eine okklusal verschraubte Zirkonkrone gefertigt werden, während in Regio 24 und 21 individuelle Abutments zum Einsatz kamen. Auf den einteiligen Altimplantaten im I. Quadranten wurde eine Brücke zementiert. Die Patientin zeigte sich nach kurzer Eingewöhnungsphase an die neue Bisslage mit dem funktionellen und ästhetischen Ergebnis der Behandlung sehr zufrieden. Noch einmal wurde ihr in diesem Zusammenhang auch die Erneuerung der parodontalhygienisch ungünstigen Situation im III. Quadranten angeraten.

Fazit

In komplexen implantatprothetischen Versorgungen ist der Einsatz keramischer Implantate größtenteils äquivalent zu Implantaten aus Titan zu sehen. Jedoch ist in solchen Fällen auf einige Besonderheiten zu achten. Bei längerer Zahnlosigkeit ergibt sich oftmals die Notwendigkeit umfangreicher Augmentationen. Nach Auffassung des Autors sind dabei vor allem Methoden wie der interne oder externe Sinuslift Erfolg versprechend. Jedoch sollte beim externen Sinuslift im Vergleich zu selbstschneidenden Titanimplantaten mehr Eigenknochen zur Verfügung stehen, wenn die Implantation simultan zur Augmentation stattfinden soll. Die meisten keramischen Implantate eignen sich auch zur Sofortimplantation, wobei man unbedingt die Angaben des jeweiligen Herstellers beachten sollte. Auch laterale Augmentationen unterschiedlichen Ausmaßes sowie horizontale und vertikale umfangreiche Augmentationen stellen keine Kontraindikation für Keramikimplantate dar. Jedoch ist zu beachten, dass es sich bei den meisten Keramikimplantaten nicht um selbstschneidende Implantate handelt, sodass hohe Primärstabilitäten im Augmentat schwerer zu erreichen sind. Eventuell ist es ratsam, in diesem Zusammenhang die Einheilzeit zu verlängern. Ein interessanter Aspekt der Keramikimplantate mit z. T. polierter Schulter ist, dass aufgrund der bis zu 1,6 mm supragingivalen Insertion auch ein vertikaler Knochenaufbau verringert, wenn nicht sogar vermieden werden kann.

Dieser Beitrag ist im IJ Implantologie Journal erschienen.

Mehr Fachartikel aus Implantologie

ePaper