Kieferorthopädie 14.12.2021
Tiefbisskorrektur mithilfe eines Alignersystems
share
ClearCorrect™ wurde bereits 2006 in den USA gegründet und ursprünglich als kieferorthopädische Behandlungsmethode für geringfügige Malokklusionen eingeführt. Seit dessen Übernahme durch die Straumann AG mit Sitz in Basel/Schweiz wird das Behandlungssystem zunehmend weiter ausgebaut und mit zusätzlichen technologischen Bausteinen zu einem komplexen kieferorthopädischen Ökosystem entwickelt. Damit erweitern sich auch dessen klinische Indikationsstellungen, was auch den Ausschlag für die hier gezeigte Tiefbisskorrektur mit ClearCorrect™ Alignern gab.
Klinisches Patientenbeispiel
Sehr häufig gehen anteriore Tiefbisse mit einer Klasse II-Okklusion einher. So auch bei dieser 47-jährigen Patientin, bei der die starke Verschlüsselung der Okklusion zu einer Kompression beider Kiefergelenke und funktionellen Beschwerden geführt hat. Sie stellte sich bei uns in der kieferorthopädischen Praxis mit Nackenbeschwerden, Kopfschmerzen sowie reziprokem Kiefergelenkknacken rechtsseitig vor. Ihr Hauptanliegen war daher eine funktionelle Verbesserung, sie wünschte sich aber auch eine ästhetische Zahnkorrektur mittels Alignerbehandlung. Die Patientin störte sich ästhetisch vor allem an den aufgefächerten Oberkieferfrontzähnen. Eine kieferorthopädische Behandlung war bereits im Jugendalter erfolgt. Die Funktionsanalyse ergab eine Diskusdislokation rechtsseitig bei Kompression beider Kiefergelenke. Die Mundöffnung war eingeschränkt und erfolgte wie der Mundschluss mit Deviation. Der extraorale Befund (Abb. 1a–c) zeigte ein konvexes Gesichtsprofil bei deutlich verkleinertem Nasolabialwinkel (90,8°). Zudem waren Impressionen der Oberkieferzähne in der Unterlippe erkennbar.
Die FRS-Auswertung (Abb. 1d) ergab eine distal-basale Kieferrelation nach WITS (2,6 mm) bei tendenzieller maxillärer Prognathie (SNA 86,5°). Aus der dentalen Analyse des FRS ging eine deutliche Anteinklination der Oberkieferinzisivi (IOK-NL 126,5°) und eine manifeste Anteinklination der Unterkieferinzisivi (IUK-ML 103,6°) bei stark verkleinertem Interinzisalwinkel (IOK-IUK 112,3°) hervor. Die vertikalen Parameter ergaben einen brachiofazialen Gesichtsschädelaufbau. Die Auswertung des OPG (Abb. 1e) zeigte eine adulte Dentition mit fehlenden dritten Molaren. Außerdem war eine extreme Mesialkrümmung der Wurzel 25 erkennbar. Es zeigte sich ein moderater generalisierter horizontaler Knochenabbau des Limbus alveolaris im Ober- und Unterkiefer von ca. 15 Prozent.
Die kieferorthopädische Hauptdiagnose beschreibt eine Angle-Klasse II/1 mit vergrößerter vertikaler Frontzahnstufe und traumatischem Einbiss der Unterkieferfront in die Gaumenschleimhaut. Ferner lag eine Laterognathie nach rechts aufgrund eines posterioren Zwangsbisses vor.
Der intraorale Befund (Abb. 2a–e) sowie die Modellanalyse (Abb. 3a–e) zeigten neben dem Diastema mediale im Oberkiefer vor allen Dingen eine Anteinklination und Supraokklusion beider Fronten. Besonders anterior wiesen beide Zahnbögen eine transversale Enge auf. Dies zeigte sich in einem deutlichen Unterkieferfrontengstand mit Labialkippung des Zahnes 41. Neben Abrasionen und Schlifffacetten, vor allem in der Front, waren auch vereinzelt Gingivarezessionen erkennbar. An Zahn 11 lag eine Schmelzfraktur der Inzisalkante vor. Durch die zwangsgeführte Laterognathie ergab sich eine Mittellinienverschiebung nach rechts von 3 mm. Eine beidseitige Distalokklusion bei vergrößerter sagittaler (6 mm) und vertikaler (5 mm) Stufe war erkennbar. Aufgrund der deutlichen transversalen Zahnbogenenge im Unterkiefer ergab sich links eine Tendenz zum Scherenbiss.
Nach ausführlicher Diagnostik und intensiver Aufklärung über Behandlungsalternativen und -risiken entschied sich die Patientin für eine Behandlung mittels ClearCorrect™ Alignern. Durch die hohe Trimline weisen diese Aligner eine äußerst große Formstabilität auf und eignen sich deshalb besonders gut für transversale Korrekturen und Tiefbissbehandlungen. Neben der ca. zweijährigen kieferorthopädischen Behandlung wurde eine physiotherapeutische Behandlung verschrieben.
Digitale Behandlungsplanung
Die durch intraorale Scans generierten STL-Dateien wurden über das ClearCorrect™ Doktorportal hochgeladen. In Zusammenarbeit mit dem Planungsteam von ClearCorrect™ erfolgte die digitale Behandlungsplanung mithilfe der ClearPilot™ Software. Das Hauptaugenmerk lag auf der funktionellen Verbesserung der Ausgangssituation durch die Beseitigung der anterioren Vorkontakte und des damit verbundenen posterioren Zwangsbisses. Zudem sollte durch die Reduktion der vertikalen und sagittalen Frontzahnstufe eine harmonisch abgestützte Frontzahnrelation geschaffen werden.
Die Einstellung in eine Klasse I-Verzahnung wurde außerdem durch eine umfangreiche Distalisation der Oberkieferseitenzähne und geringere Distalisation der Unterkieferseitenzähne geplant. Trotz hoher Trimline mit einer erhöhten Retention erfolgte eine rein sequenzielle Distalisation (Abb. 4), um einem Verankerungsverlust vorzubeugen.1,2 Zusätzlich wurde die Oberkiefermolarenbewegung mit einem Tipback und einer Mesial-out-Rotation kombiniert, um eine korrekte Achsenstellung und Kontaktpunktsituation zu erreichen. Gleichzeitig entspricht diese Art der Bewegung der natürlichen Zahnbewegung und ist somit besonders verankerungsschonend.
Die Anzahl der Aligner – in diesem Fall 67 pro Kiefer – bemaß sich an der Bewegungsstrecke und der Segmentierung der einzelnen Zahnbewegungen. Es wurde explizit darauf geachtet, dass nicht mehr als ein Molar bzw. zwei Prämolaren/Eckzähne pro Quadrant gleichzeitig distalisiert wurden.
Aus Verankerungsgründen wurde pro Aligner eine maximale Bewegung von 0,2 mm eingeplant,3,4 obwohl der Standard bei Distalisationen mit diesem System bei 0,3 mm pro Aligner liegt. Das Staging und damit auch die Zahnbewegungsgeschwindigkeit wurden durch entsprechende Anweisung in der Verschreibung angepasst.
Auch die Expansion im Unterkiefer und die Intrusion der Unterkieferfront wurden segmentiert geplant. Die Intrusion der Unterkiefer- und der Oberkieferfront, hier besonders der Zähne 12 und 22, wurde in der 3D-Behandlungsplanung überkorrigiert.
Bei der gegen Ende der Behandlung eingeplanten Retrusion der Fronten wurde auf die Implementierung eines Wurzeltorque geachtet, um weitere Gingivarezessionen zu vermeiden und einer zu steil stehenden Oberkieferfront am Ende der Frontzahnretrusion vorzubeugen.
Attachmentplanung
Im Unterkiefer wurden auf den Eckzähnen und Prämolaren vertikale rechteckige Attachments geplant, um die Vorhersagbarkeit der Frontzahnintrusion zu erhöhen. Die horizontalen rechteckigen Attachments auf den ersten Unterkiefermolaren dienten als Ausgleich für die durch Klasse II-Gummizüge erzeugten Abzugskräfte. Im Oberkiefer wurden analog auf den Eckzähnen und Prämolaren vertikale rechteckige Attachments geplant, um die Oberkiefer-Frontzahnintrusion zu gewährleisten (Abb. 5a–c).
Behandlung
Die ersten beiden Aligner wurden, wie in der Software geplant, zwecks besserer Gewöhnung ohne Attachments getragen. Vor dem dritten Aligner wurden mittels zweier Übertragungstrays (Templates) die Attachments mit stopfbarem Komposit auf den Zähnen platziert. Der Wechselrhythmus der Aligner wurde zunächst auf 14 Tage festgelegt, um dann sukzessive während der Behandlung einen schnelleren Wechsel zu erreichen.
Der anfängliche 14-tägige Wechselrhythmus empfiehlt sich, weil am Anfang der Behandlung mit geringerer kieferorthopädischer Zahnbewegung zu rechnen ist, da die von Osteoblasten/-klasten gesteuerten Umbauprozesse erst nach ca. zwei bis vier Wochen stattfinden.5,6 Somit wäre ein schnellerer Wechsel zu Beginn der Behandlung nicht zu empfehlen.
Zusätzlich zu den geplanten Recall-Terminen wurde bei der Patientin eine ergänzende digitale Behandlungskontrolle mithilfe von Dental Monitoring® durchgeführt. Basierend auf künstlicher Intelligenz fand eine Auswertung der mit dem Smartphone aufgenommenen intraoralen Fotos statt, sodass die Alignerpassung stets zusätzlich fernüberwacht wurde (Abb. 6a und b). Die Tragedauer jedes Aligners wurde auf die tatsächlich vorliegende klinische Situation angepasst. Bei subjektiv als gut empfundener Alignerpassung, die zusätzlich durch die KI nach jedem Scan überprüft wurde, konnte das Wechselintervall auf sieben bis zehn Tage reduziert werden (dynamischer Alignerwechsel). Zudem ermöglichte diese moderne Technologie Kontrollen auf konstantem Qualitätsniveau sowie die Chance, frühzeitig und nicht erst bei den Kontrollterminen eingreifen zu können. Das Angeben von klinischen Zielsetzungen bei Anwendung des Monitoring-Systems ermöglichte es, in der Therapie Zeit zu sparen und Termine nur zu klinisch relevanten Ereignissen zu setzen. Dabei half auch die Tatsache, dass bei der Patientin keine interproximale Reduktion (IPR) geplant war.
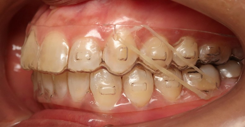
Als zusätzliche Unterstützung der Verankerung der sequenziellen Distalisation im Oberkiefer wurden Klasse II-Gummizüge rechts und links während der Nacht getragen (4½ oz. / 6,4 mm); allerdings erst, nachdem die geringfügige Distalisation im Unterkiefer abgeschlossen war.7 Da zum Zeitpunkt der Behandlung noch keine Ausschnitte für Buttons (Cut Outs) bestellbar waren, wurden die Korrekturschienen mittels der Alignerstanze Slot Machine (Fa. Hammacher; Abb. 7a und b) bearbeitet. Dies erfolgte mesial der Oberkiefereckzähne und distal der Unterkiefer-Sechsjahrmolaren. Im Gegensatz zu einer Bearbeitung mittels einer Schere oder eines Ligaturenschneiders konnte somit sichergestellt werden, dass die Aligner nicht beschädigt und die Gummizüge sicher in diese eingehängt werden konnten (Abb. 7c).
Die Patientin kam in unterschiedlichen Abständen zu Behandlungskontrollen, welche in einem Zeitraum von acht bis teilweise 20 Wochen lagen. Dies war zum einen möglich, da die komplette Behandlung ohne interproximale Schmelzreduktion erfolgte, und zum anderen, da bei der Patientin eine regelmäßige ergänzende digitale Behandlungskontrolle erfolgte.
Zwischenbefund
Um das angestrebte Behandlungsziel zu erreichen, ergab sich die Notwendigkeit einer weiteren Alignerbestellung. Die Patientin wurde zu diesem Zeitpunkt über die anstehende Materialumstellung bei ClearCorrect™ informiert. Das neue dreischichtige Multi-Layer ClearQuartz™ Material verfügt über zwei harte Außenschalen und eine flexible Elastomerinnenschicht, wodurch laut Herstellerangaben die Vorhersagbarkeit von Translations- und Rotationsbewegungen erhöht werden soll. Obwohl es dadurch zu einer Retentionsphase von 20 Wochen kam, entschied sich die Patientin, das sogenannte Refinement (Revision) mit dem neuen Material umsetzen zu lassen.
Der Zwischenbefund bei der Refinement-Planung zeigte bereits eine deutliche Bisshebung und Verbesserung der Seitenzahnokklusion (Abb. 8a und b). Die Passform der Aligner mit der spezifisch hohen Trimline kann als sehr gut bezeichnet werden.
Behandlungsabschluss
Nach dem Refinement konnte bei der Patientin sowohl eine beidseitige Neutralokklusion als auch eine deutliche Reduktion von Overjet und Overbite erzielt werden (Abb. 11a–c). Aufgrund des vormals ausgeprägten Frontengstandes und des Verzichts auf interdentale Schmelzreduktion blieb im Bereich der Zähne 31/41 ein schwarzes Dreieck bestehen (Abb. 11c), welches mit einem geringfügigen Kompositaufbau noch beseitigt werden könnte. An dem Zahn 11 wurde der Schneidekantendefekt mit Komposit versorgt (Abb. 13a und b).
Allgemein trat bei der Patientin eine wesentliche funktionelle Verbesserung auf. Sowohl die Kopf- und Nackenschmerzen als auch das Kiefergelenkknacken konnten behoben werden. Auch die Mundöffnung wurde signifikant verbessert. Retiniert wurde im Unterkiefer mit einem Sechs-Punkt-Retainer (5-fach verseilt .0155'' Lingualretainer-Draht 24K vergoldet, Fa. KFO24) und mit einem zusätzlichen Hawley-Retainer im Ober- und Unterkiefer.
Diskussion
Die digitale Behandlungsplanung gestaltete sich sehr schwierig, da die Zahnbewegungen in allen drei Ebenen stattfanden und zum Zeitpunkt der Planung die sogenannte Tooth-Editing-Funktion nicht verfügbar war. Die endgültige Zahnstellung konnte lediglich durch die in der Software verfügbare Textkommunikation mit den Technikern von ClearCorrect™ justiert werden. Der Vorteil der systemspezifischen hohen Trimline und die damit verbundene Formstabilität haben sicherlich dazu geführt, dass die geplante transversale Korrektur klinisch voll umgesetzt werden konnte. Auch die Bisshebung wurde zufriedenstellend realisiert, obwohl Bite Ramps nicht zur Verfügung standen.
Neben der Intrusion der anterioren Zahnbögen und der Verbesserung der posterioren Okklusion mittels sequenzieller Distalisierung der Seitenzähne wurde auch eine retrusive Aufrichtung der Frontzähne erreicht. Dadurch konnte unter anderem der Lippenschluss entspannt und das Gesichtsprofil geringfügig verbessert werden.
Die Unterschiede zwischen dem Material zu Beginn der Behandlung und dem ClearQuartz™-Material des Refinements wurde von der Patientin subjektiv als sehr deutlich beschrieben. Bei annährend gleich großen Inkrementen der unterschiedlichen Zahnbewegungen empfand die Patientin eine bessere Passform und konstantere Kraftabgabe, was sich unter anderem durch eine geringe Anfangsspannung nach dem Schienenwechsel bemerkbar machte. Die Integration von Dental Monitoring® in die Behandlungsprozesse führte zu einer deutlichen Reduktion der physischen Kontrolltermine in unserer Praxis, was vor allen Dingen für berufstätige Patienten, aber auch für Schulkinder deutliche zeitliche und ökonomische Vorteile bietet.
Fazit
Das ClearCorrect™-Behandlungssystem scheint aufgrund der Materialeigenschaften und der Schienenform nicht nur für einfache Zahnstellungskorrekturen geeignet zu sein, sondern kann seine Stärke auch in ausgeprägten dreidimensionalen Abweichungen der Zahnbogenform unter Beweis stellen. Aufgrund der positiven Erfahrungen denken wir über eine grundsätzliche Verwendung von Dental Monitoring® bei allen Patienten unserer Praxis nach. Die damit verbundenen Compliance-Vorteile auch in puncto Zahnpflege sind durchaus wünschenswert.
Dieser Beitrag ist in KN Kieferorthopädie Nachrichten erschienen.
 
                             
                                         
                                         
                                                                     
                 
                 
                 
                 
                 
                 
                 
                 
                 
                 
                 
                 
                 
                 
                 
                 
                 
                 
                 
                 
                 
                 
                 
                 
                                 
                                 
                                 
                         
                         
                         
                         
                        