Kieferorthopädie 08.04.2021

Optimale Kombination von kieferorthopädischen Tools



Optimale Kombination von kieferorthopädischen Tools

Foto: Dr. Bill Dischinger

Dr. Bill Dischinger hat die SPARK™ Clear Aligner von Ormco getestet. Anhand zweier Fallbeispiele, bei denen das neue System bei paralleler Anwendung des Propel VPro5™Vibrationsgeräts zum Einsatz kam, berichtet er von seinen ersten klinischen Erfahrungen.

Aligner gibt es in der Kieferorthopädie schon sehr lange. Ich erinnere mich daran, wie John Sheridan während meiner Assistenzzeit seine Essix-Aligner präsentierte. Im Laufe meines ersten Jahres in der Praxis wurde uns dann ein neues Produkt vorgestellt – Invisalign® von Align Technology.

Als wir diese Behandlungsoption zum ersten Mal sahen, stieß das innerhalb unseres Berufsstands auf unterschiedliche Meinungen. So hörte ich damals viele Kieferorthopäden sagen: „Das wird nie funktionieren! Man kann mit einem Stück Plastik keine Zähne bewegen, geschweige denn Fälle korrekt abschließen.“ „Das wird das Fachgebiet ruinieren.“ Aber auch Meinungen wie „Das wird den Beruf komplett revolutionieren“, waren zu hören, je nach Standpunkt.

Nun, spulen wir 20 Jahre vor. Aligner sind geblieben und haben sich durchgesetzt. Das Lustige ist, dass man viele der damaligen Kommentare bzw. Argumente selbst heute noch vernimmt. Zu sagen, dass sie unser Fachgebiet verändert haben, würde dem nicht ganz gerecht werden und käme einer Untertreibung gleich. Wenn man sich die Geschichte der Kieferorthopädie ansieht, stechen – wenn man so möchte – ein paar Momente oder Erfindungen deutlich hervor. Twin Brackets, vorprogrammierte Brackets, superelastische NiTi-Bögen, selbstligierende Brackets etc. – um hierbei nur einige zu nennen.

Ich würde behaupten, dass Aligner all diese Erfindungen mit der Zeit sogar noch übertrumpfen können. Sicher würden manche argumentieren, dass dies nicht zum Wohle des Berufsstandes sei. Ich jedoch neige dazu, die Welt und meinen Beruf stets mit dem halb vollen Glas zu betrachten. So haben Aligner die Tür zur Behandlung von Millionen von Patienten geöffnet, die niemals eine kieferorthopädische Behandlung in Anspruch genommen hätten, wenn eine Zahnspange dabei ihre einzige Option gewesen wäre. So haben Aligner es ermöglicht, unsere Praxen wachsen zu lassen und die Patientenzahlen zu erhöhen, trotz aller Unkenrufe, die uns das Gegenteil weismachen wollen. Wir haben uns in der Praxis voll und ganz auf die Alignertherapie eingelassen, während wir gleichzeitig jedoch auch die Anzahl jener Patienten erhöhen, die wir mit festen Zahnspangen behandeln. Sofern Sie an einer der letzten AAO-Tagungen (vor Corona) teilgenommen haben, ist Ihnen wahrscheinlich in der Ausstellungshalle aufgefallen, dass nahezu jedes Unternehmen, das Sie kennen (und einige, von denen Sie bislang noch nie gehört hatten), jetzt ein Alignersystem anbietet. Es wäre daher wohl keine Falschinterpretation, zu behaupten, dass die Unternehmen diese Behandlungsoption als zukunftsweisend oder sogar die Zukunft der Kieferorthopädie ansehen. In jedem Fall bin ich der festen Überzeugung, dass Wettbewerb stets zu Verbesserungen führt. Meine Hoffnung ist daher (und das habe ich bereits gesehen), dass Aligner immer besser werden, zumal ständig mehr Unternehmen im Spiel sind.

In den letzten Jahren habe ich verschiedene Systeme ausprobiert. Eines dieser Systeme ist das SPARK™ Clear Aligner System von Ormco. Um ganz offen zu sein: Ich wurde von genannter Firma gebeten, eine klinische Alignerstudie für sie durchzuführen, da ich einer ihrer fachlichen Berater bin. Ursprünglich hatte ich geplant, hierfür etwa zehn Fälle einzureichen. Ich wollte sehen, wie sich diese klinisch entwickeln, und dann für mich eine Entscheidung zu treffen, mit welcher Firma ich weiter zusammenarbeiten möchte. Dieser Plan änderte sich jedoch ziemlich schnell, als mein Team und ich erwähntes Produkt in die Hände bekamen. Ganz ehrlich, es hat unsere Erwartungen übertroffen. Die Gründe hierfür möchte ich im folgenden Artikel darlegen. Er soll anhand zweier exemplarisch dargestellter Fälle verdeutlichen, wie unser Team den Nutzen des SPARK™ Clear Aligner Systems sowie dessen klinische Vorteile einschätzt.

Meine ersten Erfahrungen mit Spark™ machte ich, als ich mich mit der entsprechenden Software auseinandersetzte. Der Upload-Prozess ist hierbei sehr schnell und einfach. Tatsächlich brauchte ich zum Hochladen eines Falls weniger als die Hälfte der Zeit als bei bisherigen Uploads mit Systemen anderer Anbieter. Die Approver-Software ist intuitiv anwendbar. Um mit ihr arbeiten zu können, musste ich nicht einmal eine Schulung absolvieren. Ein zusätzlicher Bonus für mich war zudem, dass die Software auch auf meinem Mac funktioniert. Als eingefleischter Mac-Nutzer habe ich es bedauert, bei Nutzung anderer Softwarelösungen nie meine eigenen Anpassungen bei den Fällen vornehmen zu können, was letztlich zu Verzögerungen und Fehlkommunikationen geführt hat. Nun jedoch in der Lage zu sein, dies zu tun, beschleunigte den Freigabeprozess meiner Fälle und stellte sicher, dass ich genau das bekam, wonach ich suchte.

Das bei diesem Alignersystem verwendete Material TruGEN™ hat Ormco ausgiebig getestet, bevor es auf den Markt kam. Diese Tests ergaben u. a., dass die Klarheit und Fleckenbeständigkeit von TruGEN™ der von Materialien führender Mitbewerber überlegen war. Darüber hinaus zeigten die von den Ingenieuren durchgeführten Studien, dass TruGEN™ eine kontinuierlichere Krafteinleitung aufweist als das vom führenden Wettbewerber eingesetzte Material. Das bedeutet, dass sich diese im Laufe des Tragens der Aligner nicht so stark verformen bzw. „dehnen“. Wenn Aligner eingesetzt und herausgenommen werden, müssen sie sich jedes Mal über die Attachments biegen. Die Folge ist, dass sie sich mit der Zeit ausdehnen, sodass sie nicht mehr optimal auf den Zähnen sitzen. Dieser Effekt ist insbesondere bei den oberen seitlichen Schneidezähnen zu beobachten.

Die erste Lieferung an SPARK™Alignern stand ins Haus. Wir planten den Termin dabei so ein, wie wir es stets für Alignerlieferungen tun. Während meine Stuhlassistentin die Attachments mithilfe des mitgelieferten Templates platzierte, ging ich zu ihr und schaute ihr über die Schulter. Sie zog die Schablone ab, vergewisserte sich, dass alle Attachments an ihrem Platz waren, und bat mich dann wie immer, zu prüfen, ob noch irgendwo ein Grat vorhanden war. Als ich mich hinsetzte, den etwaigen Grat mithilfe des Handstücks zu entfernen, so wie ich es immer tue, stellte ich fest, dass es gar keinen zu entfernen gab. Dieser erste Eindruck entspricht ganz unseren weiteren Erfahrungen mit den SPARK™-Alignern. Die Menge an Grat, die wir entfernen müssen, ist praktisch gleich null. Zudem hat mir bislang jede Praxis, mit der ich gesprochen habe und die die neuen Aligner ebenfalls ausprobiert hat, bestätigt, dass die Befestigungsschablone für die Attachments phänomenal sei. Schon bei der Umsetzung der ersten Fälle signalisierte mir mein Team, dass es hoffe, dass wir künftig sämtliche Alignerfälle mit diesem System realisieren.

Eine der Intensionen, die Ormco mit seinem neuen Material verband, war, dass es für den Patienten angenehmer zu tragen sei, insbesondere was die Ränder der Schienen betrifft. Doch, wie testet man das? Die meisten Patienten, die mit einer Alignerbehandlung beginnen, haben solche Schienen zuvor nie in ihrem Mund gehabt und daher natürlich keine Vergleichsmöglichkeit. Daher entschieden wir uns dafür, fünf Alignerpatienten auszuwählen, die bereits Schienen einer anderen Firma trugen. Diese Patienten stellten wir vor Beginn ihrer jeweiligen Refinement-Phase auf SPARK™-Aligner um.

Als die erste Wechselpatientin ihren neuen oberen Aligner einsetzte, meinte sie, dass es ein Unterschied wie Tag und Nacht sei, was den Komfort für die Zunge angeht. Als wir den anderen vier Patienten ihre neuen Aligner aushändigten, bestätigten auch sie diese Empfindung. Daraufhin betrachtete ich die Schienen etwas genauer, wobei mir auffiel, dass diese keine „Lippe“ am Alignerrand aufwiesen, wie diese normalerweise bei Alignern zu beobachten ist. Dieser Umstand ist durch den Fertigungsprozess erklärbar. So werden SPARK™-Aligner nicht mithilfe eines Lasers geschnitten, was eben diese „geschmolzene“ Kante hervorruft, die sich „überrollt“ und jene Lippe erzeugt. Hinzu kommt der Umstand, dass die neuen Aligner handpoliert werden. Das dürfte, denke ich, den Unterschied ausmachen, den die Patienten spüren. Da ich selbst noch keinen Aligner im Mund hatte, kann ich dies nur aufgrund meiner Beobachtungen annehmen.

Fallbeispiel 1

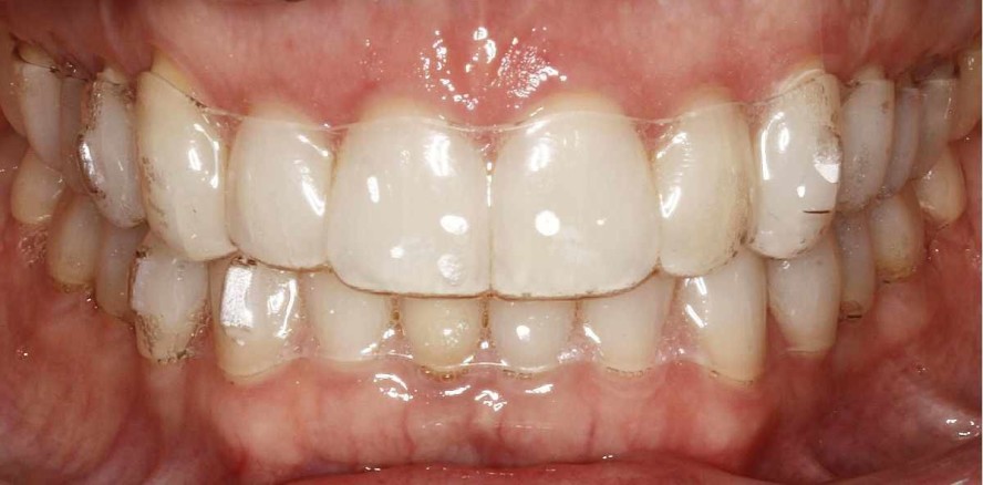
Die 55-jährige Patientin Christine kam mit dem Wunsch eines breiter erscheinenden Lächelns zu uns, wofür wir ihren oberen Zahnbogen entwickeln sollten. Darüber hinaus waren ihr Überbiss zu korrigieren sowie einige Engstände aufzulösen (Abb. 1a–j). Eine der Eigenschaften, die ich an den SPARK™-Set-ups sehr schätze, ist die zur Anwendung kommende Bogenform. Als Nutzer des Damon®-Bracketsystems für meine passiven SL-Fälle bevorzuge ich eine breite, aufrechte Bogenform. Und genau diese wird für mich beim SPARK™-Set-up umgesetzt. Im vorliegenden Fall wollte ich wirklich eine aufrechte Position der Eckzähne und Prämolaren erzielen, um letztlich diese volle Bogenform zu erreichen. Ich setzte im Oberkiefer von 2-2 linguale Bissrampen ein, um den Biss zu öffnen und die Korrektur des Überbisses zu ermöglichen. Wie in Abbildung 2 zu sehen, erreichten wir mit unserem ersten Set aus 22 Alignern innerhalb von elf Wochen eine wirklich schöne Entwicklung des oberen Zahnbogens sowie die Korrektur des Überbisses. Die Patientin wechselte ihre Aligner dabei zweimal pro Woche und benutzte parallel ein Hochfrequenz-Vibrationssystem (Propel VPro5™) zur Zahnbewegungsbeschleunigung. Wir führten bei ihr das Refinement mit acht aktiven Alignern durch (die letzten drei mit virtuellen C-Ketten). Im Anschluss daran mussten wir noch ein paar sehr kleine Inzisivi-Rotationen realisieren, um schließlich mit einer dritten, finalen Runde aus weiteren neun Alignern den Fall abzuschließen (Abb. 3–5).

Insgesamt kamen bei dieser Patientin 39 Aligner zum Einsatz. Die Behandlungsdauer betrug 26 Wochen (davon sechs Wochen „Durchlaufzeit“ vom Refinement-Scan bis zur Lieferung der Aligner). Sie trug die Aligner 20 Wochen aktiv in Vollzeit und sechs Wochen lang nur über Nacht. Unsere Behandlungsziele wurden dabei wie geplant umgesetzt: Wir verbreiterten ihre Zahnbogenform, indem wir die Eckzähne und Prämolaren in eine deutlich aufrechtere Position brachten. Zudem reduzierten wir ihren Überbiss und lösten die leichten Engstände auf. Die Patientin war vom Resultat und der kurzen Behandlungszeit begeistert (Abb. 6a–j).

Die Patientin hatte lediglich sieben Termine in unserer Praxis. Sie war bei ihrem ersten Termin zur Beratung bei uns, wo zeitgleich Intraoralscans (iTero®, Fa. Align) sowie Fotos angefertigt wurden (Abb. 1a–j). Anschließend übergaben wir ihr die ersten Aligner. Die Patientin war sechs Wochen später (Abb. 2a–e) für einen kurzen Kontrolltermin und elf Wochen nach Behandlungsbeginn (Abb. 3a–e) zum erneuten Intraoralscan für das Refinement bei uns. In der 14. Woche händigten wir ihr die Aligner für das Refinement aus und sahen sie vier Wochen später wieder (Abb. 4a–e) für einen weiteren Scan, woraufhin beim Termin in der 21. Woche (Abb. 5a–e) die finalen Aligner überreicht wurden. In der 25. Woche scannten wir nochmals, um in unserem Labor fixe Retainer fertigen zu können, welche eine Woche später geklebt wurden. Bei diesem letzten Termin wurden auch die Abschlussaufnahmen gemacht (Abb. 6a–j).

Fallbeispiel 2

Der zweite Fall, den ich an dieser Stelle vorstellen möchte, gehört zu den Fällen, die mich bei früheren Alignerbehandlungen stets vor Herausforderungen gestellt haben. So waren vertikale Extrusionsbewegungen der Schneidezähne, insbesondere der seitlichen, für mich immer problematisch.

Bei Katie (36 Jahre) stellten diese Zahnbewegungen den Schwerpunkt unserer Behandlung dar. Sie hatte sich bereits als Kind sowie später als Erwachsene einer kieferorthopädischen Behandlung unterzogen, leider mit anschließendem Relapse. Im Oberkiefer war zu keinem Zeitpunkt ein fixer Lingualretainer zur Retention verwendet worden, was jedoch – wie ich ihr erklärte – der Schlüssel für eine langfristige Retention der Korrektur sei (Abb. 7a–j).

Ihre erste Serie an Korrekturschienen bestand aus 16 aktiven Alignern. Wir verwendeten horizontale, gingival abgeschrägte Attachments, sowohl bukkal als auch lingual an den oberen seitlichen Schneidezähnen. Zusätzlich setzten wir horizontal abgeschrägte Attachments an den unteren Inzisivi ein, um die Extrusionsbewegungen zu unterstützen (Abb. 8a–e). Auch diese Patientin nutzte das Propel VPro5™-Vibrationsgerät und wechselte ihre Aligner zweimal pro Woche. Wie in Abbildung 9 zu sehen, waren die nach nur acht Wochen erzielten Veränderungen bereits bemerkenswert. Ich war begeistert von den vertikalen Bewegungen, die wir so schnell erreicht haben. Etwas, mit dem ich in der Vergangenheit bei anderen Alignersystemen stets Probleme hatte.

Wir führten bei dieser Patientin zwei Refinements durch, um den Fall abzuschließen. Das erste umfasste sieben aktive Aligner, das zweite bestand aus acht aktiven Alignern. Parallel wendete sie weiterhin die Hochfrequenz-Vibration an und behielt den Wechselrhythmus der Schienen bei.

Insgesamt kamen bei der Patientin 31 Aligner zum Einsatz, wobei die Behandlungszeit 23 Wochen betrug (davon auch hier sechs Wochen „Durchlaufzeit“ vom Refinement-Scan bis zur Lieferung der Aligner). Sie trug die Korrekturschienen 16 Wochen lang aktiv in Vollzeit und sechs Wochen nur über Nacht. Die Therapieziele wurden erreicht: Wir schlossen den offenen Biss und konnten eine schöne Lachlinie erzielen (Abb. 10a–j).

Katie hatte insgesamt sieben Termine in unserer Praxis. Beim ersten Beratungstermin wurden gleichzeitig die Intraoralscans sowie Fotos gemacht (Abb. 7a–j). Vier Wochen nach Aushändigung der ersten Aligner kam sie wieder für einen kurzen Kontrolltermin (Abb. 8a–e) zu uns, weitere vier Wochen später erneut zur Durchführung des Refinement-Scans (Abb. 9a–e). In der elften Woche wurden die entsprechenden Aligner für das Refinment verschickt. Vier Wochen später sahen wir sie bei einem erneuten Scan und in der 18. Woche zur Übergabe der letzten Aligner wieder. In der 22. Woche scannten wir final für die Herstellung der fixen Retainer. Diese klebten wir in der 23. Woche bei einem letzten Termin, wo parallel auch die finalen Aufnahmen (Abb. 10a–j) gemacht wurden.

Zusammenfassung

Die Patienten von heute wünschen sich schöne Ergebnisse. Jedoch wollen sie diese bei minimalen ästhetischen Einschränkungen während des Therapieverlaufs und einer viel kürzeren Behandlungszeit erreichen, als sie die traditionelle Kieferorthopädie in der Vergangenheit angeboten hat. Seit vielen Jahren stehen uns gute ästhetische Behandlungslösungen zur Verfügung. Jedoch haben wir in unserer Praxis festgestellt, dass wir mit dem SPARK™-Alignersystem eine noch klarere, attraktivere Alternative für unsere ästhetischen Behandlungen in die Hand bekommen haben. Darüber hinaus wurden die damit erzielten Zahnbewegungen vorhersagbarer und mit weniger Alignern erreichbar, als wir es bei anderen Systemen im klinischen Alltag gesehen haben. Kombiniert mit dem Propel VPro5™-Vibrationsgerät zur Zahnbewegungsbeschleunigung eingesetzt, haben wir jetzt eine großartige Kombination von Tools, um eine ästhetische und schnelle Behandlung durchzuführen.

Dieser Beitrag ist in KN Kieferorthopädie Nachrichten erschienen.

Mehr Fachartikel aus Kieferorthopädie

ePaper