Kieferorthopädie 16.12.2025

Digitale Kieferorthopädie im Fokus moderner 3D-DVT Diagnostik



Die digitale Volumentomografie ist seit rund 25 Jahren verfügbar und hat in dieser Zeit eine enorme technische Entwicklung durchlaufen: kleinere Aufnahmevolumina, verbesserte Detektoren, gepulste Belichtung und ausgefeilte Low- bzw. Ultra-Low-Dose-Protokolle ermöglichen heute eine Bildgebung, die in vielen Fragestellungen eine neue diagnostische Qualität erreicht.

Digitale Kieferorthopädie im Fokus moderner 3D-DVT Diagnostik

Foto: Prof. Gerhard Polzar

Gleichzeitig reagieren Leitlinien und Fachgesellschaften mit Zurückhaltung: DVT soll keine Routinediagnostik werden, insbesondere nicht bei Kindern und Jugendlichen; zweidimensionale Verfahren besitzen weiterhin ihren festen Stellenwert, und jede 3D-Aufnahme muss sich an einer klaren, strengen Indikationsstellung messen lassen. Zwischen diesen Polen – großem diagnostischem Potenzial auf der einen Seite und strenger Strahlenschutzethik (ALARA) auf der anderen – muss sich die moderne Kieferorthopädie positionieren.

Eine sachliche Bewertung der Strahlenexpo­sition ist dabei unverzichtbar. Moderne DVT-Sys­teme zeigen, dass sich durch geeignete Protokollwahl die effektive Dosis in vielen Fällen in den Bereich moderner Panoramaaufnahmen senken lässt, ohne die für die jeweilige Fragestellung notwendige Bildqualität zu verlieren. Für die klinische Praxis bedeutet dies: Wo eine dreidimensionale Darstellung einen klaren diagnostischen oder therapeutischen Mehrwert liefert, kann sie mit konsequent optimierten Niedrigdosisprotokollen verantwortungsvoll eingesetzt werden – vorausgesetzt, die Indi­kation ist sauber gestellt und die Grenzen der Methode werden realistisch eingeschätzt.

Fall: Frontaler Kreuzbiss

Der hier vorgestellte Fall eines 50-jährigen Patienten mit einer progenen Verzahnung im Frontzahnbereich wurde bereits in der Ausgabe 2/2011 vorgestellt. Daher wird im Folgenden nicht auf die Behandlungsabläufe eingegangen, sondern sich neben dem Ausgangs- und Endbefund auf die neuen Möglichkeiten der 3D-Röntgendiagnostik beschränkt und diese so anschaulich wie möglich erläutert, damit Sie die Vorteile dieser Technik erkennen und in Ihren kieferorthopädischen Alltag inte­grieren können.

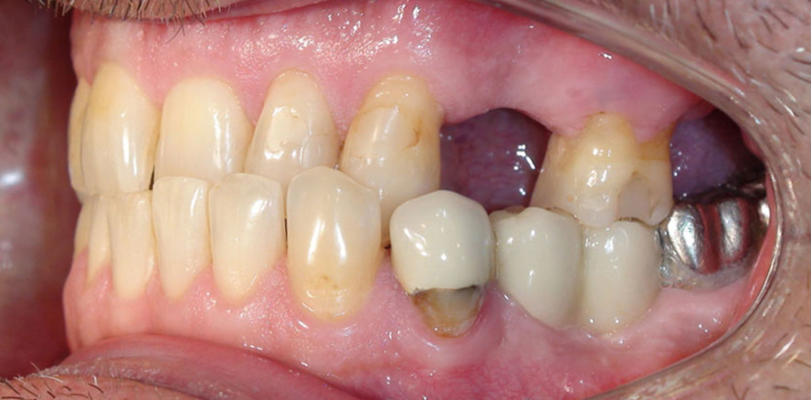
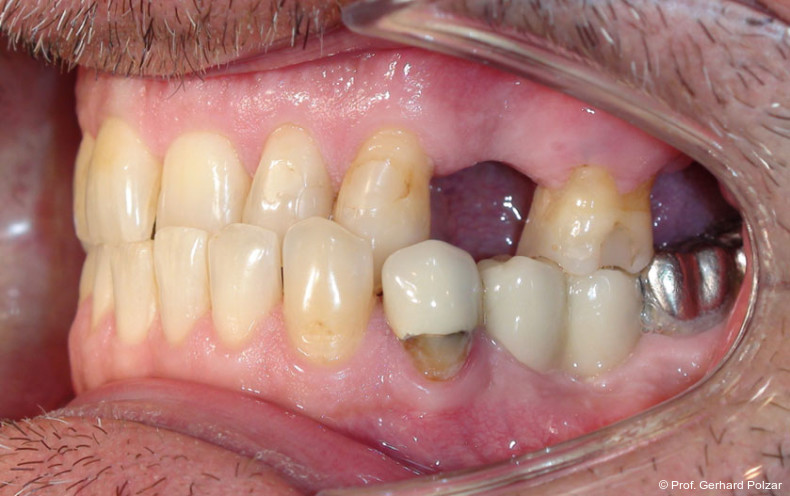
Der Ausgangsbefund zeigt einen Patienten mit deutlich progenem Gesichtsprofil (Abb. 1+2). Intraoral zeigt sich eine reduzierte Verzahnung mit Schaltlücken im zweiten und dritten Quadranten sowie ein frontaler Kreuzbiss der Zähne 21, 22 und 23 (Abb. 3+4). An den Frontzähnen 11 im OK und 41, 42 im UK sind inzisal deutliche Attritionsspuren erkennbar (Abb. 5). Die OK-Frontzähne stehen gekippt zueinander, in der UK-Front sind approximale Lücken sichtbar. Die Therapieplanung erfolgte mit dem Programm Onyx-Ceph zur Herstellung individua­lisierter Aligner (Mediligner®). Attachments sichern die geplanten Bewegungen in ihrem Verlauf. Zur besseren Übertragung des frontalen Kreuzbisses wurden an den oberen Alignern palatinal der Zähne 12, 11 Aufbissblöcke angebracht. Diese wurden nicht mit Komposit verstärkt. Zur Stabilisierung der Schaltlücken wurden sagittale Verbindungsstege eingesetzt (Abb. 6–8).

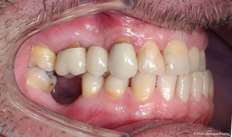
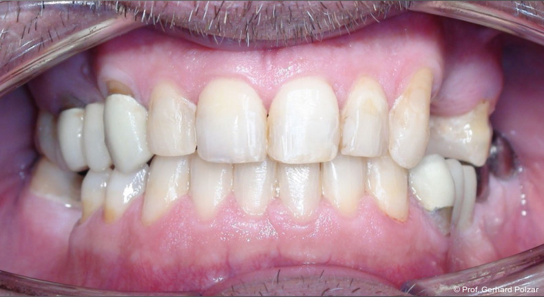
Die Zahnbewegungen erfolgten in Einzelschritten von 0,2 mm. Nach 20 Alignern konnte sowohl im ClinCheck als auch in situ ein akzeptables Ergebnis erzielt werden (Abb. 9).Das Gesichtsprofil hat sich zu einem harmo­nischen, ausgeglichenen Verlauf entwickelt (Abb. 10+11).

DVT-Diagnostik

  1. Die parasagittale exzentrische Aufnahme (PAREX) und
  2. Kontrolle der KG-Lage in der Fossa articularis

Mit der parasagittalen exzentrischen Projektion erhalten wir einen hervorragenden Überblick über die Position der Kiefergelenke in der Fossa in Verbindung mit der Re­lation der vorhandenen Okklusion und der inzisalen Relation der OK- und UK-Schneidezähne. Die PAREX-Schnittebene verläuft von der Mitte des jeweiligen Kondylus entlang der ipsilateralen Okklusions­ebene bis zum oberen mittleren Frontzahn dieser Seite (Abb. 12+13).

Befund

Während auf der rechten Seite sowohl vor als auch nach der kieferortho­pädischen Therapie eine ausgeglichene Position des Kiefergelenks in der Fossa mit einem dorsocranialen Abstand des Kondylus zur Fossa articularis von 3,3 mm gemessen werden kann (Abb. 14), stellt sich der KG-Befund auf der kontralateralen Seite völlig anders dar. Das linke Kiefergelenk hatte vor Behandlungsbeginn eine deutliche dorsokraniale Verschiebung nach hinten in die Gelenkpfanne (Abb. 15).

Dieser Befund deutet auf einen dorsalen Zwangs­biss hin. Dementsprechend ist zu erwarten, dass mit dem Bestreben des KG, sich aus diesem Zwangsbiss zu befreien, eine günstige Prognose für den Therapieverlauf zu erwarten ist. Wie günstig diese Prognose ist, bestätigen der zügige Therapiefortschritt und die Tatsache, dass nach erfolgreicher Verlagerung des frontalen Kreuzbisses und Abschluss der Therapie der Kondylus nun sogar mit 3,7 mm dorsal seine individuelle Idealstellung in leicht ante­riorer Position gefunden hat.

Daraus ist zu schließen, dass durch die kiefer­orthopädische Therapie eine bessere Gelenkposition im Schlussbiss erreicht werden konnte.

Bestimmung der idealisierten Frontzahnneigung.

Je nach Berechnungstabelle und FRS-Analyse­verfahren werden in der Kephalometrie un­terschied­liche Idealwerte der Frontzahnneigung gemessen. Für die Einzelzahnstellung wird jeweils die OK-Basis bzw. der Unterkieferrand als Referenzlinie verwendet. Eine Differenzierung erfolgt dann über die Gewichtung des Kieferbasiswinkels, die dazu führt, dass bei horizontalen Skeletttypen mit kleinerem Kieferbasiswinkel die ideale Neigung der Frontzähne vergrößert wiedergegeben wird und bei vertikalen Skeletttypen hier eine geringere Neigung als ideal angenommen wird (Abb. 16–18).

Dies hat zur Folge, dass der Interinzisalwinkel bei brachiocephalem Wachstumstyp unterhalb von ca. 130° liegt und einen flachen Winkel beschreibt und bei dolichocephalem, ver­tikalem Schädelaufbau die Frontzähne idealerweise steiler zueinanderstehen und einen größeren Interinzisalwinkel mit Werten oberhalb der 132°-Marke beschreiben.

Dies ist die 2D-Beschreibung einer FRS, bei der die genauen anatomischen Verhältnisse und Knochenstrukturen der sagittalen Median­ebene durch die davor und dahinter liegenden Skelettstrukturen verdeckt werden.

Die DVT-Aufnahme hat den entscheidenden Vorteil, dass die seitlichen Skelettanteile, die zur Unschärfe und Überlagerung führen, vollständig ausgeblendet werden können. So erhält man ein gestochen scharfes Bild von der Lage der Schneidezähne im jeweiligen Kiefer. Nun ist es erstmals möglich, anhand der begrenzenden Strukturen, der anterioren und posterioren Kompakta des Alveolarfortsatzes, die individuelle ideale Position der Schneidezähne mit dem idealen Inzisalkantenwinkel zu bestimmen. Diese sollte dann als Zielposition für die geplante Therapie dienen.

Während im konventionellen FRS die ideale Inzisalkante nur indirekt über die jeweilige Kieferbasis und den Kieferbasiswinkel bestimmt werden konnte, ermöglicht die DVT-Analyse eine exakte und sehr individuelle Definition der Inzisalkante. Dies ist ein entscheidender Vorteil in der kieferorthopädisch-radiologischen Diagnostik, da diese nun nicht mehr mit einem angenäherten Idealwert arbeitet, sondern ganz individuell auf den jeweiligen Patienten zugeschnitten ist.

Befund und Vorgehen am Beispiel der OK-Inzisalkrümmung:

Im Sagittalschnitt ist der frontale Kreuzbiss mit retroinklinierter OK-Front zu erkennen (Abb. 19). Der gerade Verlauf der pa­latinalen und bukkalen Begrenzung des Alveolarfortsatzes ist markiert (hier rote Linie). Parallel dazu wird die Mittellinie gezeichnet (hier orange Linie). Diese Linie beschreibt die ideale Neigung und Position des oberen mittleren Inzisivus. Eine weitere Linie beschreibt die jeweilige Frontzahn­achse entlang der Kronenachse und der Pulpa (gelbe Linie). Der Schenkelwinkel der beiden Achsen gibt die Differenz zur individualisierten idealen Inzisivusneigung an (Abb. 20).

Im vorliegenden Fall ergab sich vor Therapiebeginn eine Abweichung von 28,7° von der idealen Inklination. Nach Abschluss der aktiven Therapie konnte eine Annäherung an die Idealinklination bis auf 10° erreicht werden (Abb. 21).

Durch die kieferorthopädische Behandlung konnte in diesem Fall eine Verbesserung der Zahnachse um 18,7° erreicht werden.

Kauseitenprävalenz (KSP), Zy-Go-Di

Zunächst stellt sich die Frage, ob und warum es sinnvoll ist, eine Kauseitenprävalenz zu bestimmen. Daran schließt sich die Frage an, wie diese am dreidimensionalen Schädel bestimmt werden kann.

Die Kauseitenprävalenz gibt an, mit welcher Seite des stomato­gnathen Systems der Patient über viele Jahre bevorzugt zubeißt. So wie es eine Rechtshändigkeit und eine Linkshändigkeit gibt, so gibt es auch eine bevorzugte Kauseite.

Wird diesem Umstand keine Beachtung geschenkt, kann es passieren, dass sich der Patient nach einer kieferorthopädischen Therapie oder erst recht nach einer kieferchirurgischen Umstellungsosteotomie unwohl fühlt und die nicht beeinflussbare willkürliche Verlängerung der Kaumuskulatur durch erhöhten Druck auf die Kiefer versucht, ihre Ideallänge zu erreichen, was dann unweigerlich zu einem Rezidiv führt. Dieses Phänomen sollte auch bei der Anfertigung von Totalprothesen berücksichtigt werden, um Dekubitalulzera und Adaptationsstörungen vorzubeugen.

Die folgende Übung kann helfen, die Bedeutung der lateralen Prävalenz zu verstehen und dem Leser ein Gefühl dafür zu vermitteln, was passieren kann, wenn sie nicht berücksichtigt wird: Wenn wir unsere Hände falten, liegt bei etwa 80 Prozent der Menschen der linke Daumen oben und der rechte kleine Finger unten. Dies entspricht der Tatsache, dass die meisten Rechtshänder und auch einige umerzogene Linkshänder diesen Händedruck als den angenehmeren und richtigen empfinden. Bei Linkshändern befindet sich in der Regel der rechte Daumen oben und der linke kleine Finger bildet den unteren Abschluss.

Verlassen wir nun die gewohnte Haltung und falten wir als „Rechtshänder“ die Hände so, dass nicht der linke, sondern der rechte Daumen oben liegt, so werden wir feststellen, dass sich dies sehr ungewohnt, ja geradezu komisch anfühlt.

Da diese Missempfindungen bei jeder seitenungewohnten Haltung und Bewegung auftreten, kann jeder nachvollziehen, wie wichtig es sein kann, auf die jeweilige Kauvorzugsseite zu achten.

Grundlage für die Bestimmung der Kauvorliebe ist das biologische Prinzip, dass sich Skelettstrukturen bei Druckeinwirkung zurückbilden und bei Zugbelastung durch die Proliferation von Osteoblasten neuer Knochen gebildet wird. Die Form und Ausprägung der Schädelstrukturen unterliegt somit im Rahmen ihrer genetischen Determination einer durch die Muskelfunktion bestimmten Veränderung und führt damit zu einer entsprechenden Ausprägung der Knochenstrukturen.

So ist bekannt, dass bei ausgeprägter, dauerhafter und langjährig erhöhter Muskelaktivität die knöchernen Sehnenansatzstellen der Muskeln verstärkt ausgebildet sind.

Bei einer Überaktivität des Musculus masseter bildet sich am unteren Rand des Unterkieferwinkels eine wulstartige, hutartige Wölbung. Diese Erscheinung ist oft sehr eindrucksvoll, lässt sich aber nur schwer als zu messende Größe in ein Analyseverfahren integrieren (Abb. 22).

Es gibt jedoch noch eine weitere Veränderung, die durch eine erhöhte Masseteraktivität hervorgerufen wird. Neben der Zugspannung auf den Kieferwinkel, die zu der genannten Wölbung führt, bewirkt eine hohe Masseteraktivität auch eine Zugkraft auf den Jochbogen als oberen Ansatzpunkt des Muskels. Als Folge dieser dauerhaft erhöhten Zugspannung am oberen Rand des Masseter wird der Jochbogen nach kaudal verlagert (Abb. 23).

Beim Zubeißen sind aber nicht nur die Kaumuskeln aktiv. Auch der Schläfenmuskel leistet einen wichtigen Beitrag. Bei erhöhter Temporalisaktivität ist nun eine permanente Zugwirkung auf dessen Ansatzpunkt, den Prozessus coronoideus, zu beobachten (Abb. 24). Diese permanente Zugkraft führt nun zur Proliferation, zur Verlängerung des Prozessus coronoideus (Abb. 25).

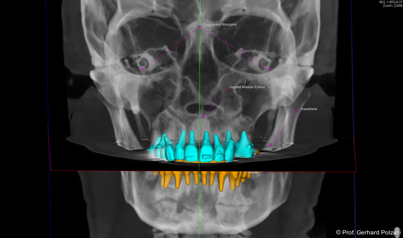
Wollte man nun die daraus resultierende Abweichung bestimmen, so müsste man als Referenzpunkt eine sagittale Schädelmitte festlegen. Dies wäre durch die Bestimmung der Sagittal­ebene nach CranioPlan® möglich (= Sagittal­ebene durch die Mitte des Abstandes der beiden Gleichgewichtsorgane). Für die Bestimmung der Kauseitenprävalenz ist dieser Schritt jedoch nicht notwendig. Es genügt, die Differenz zwischen rechter und linker Seite zu messen, um ein noch eindeutigeres Ergebnis zu erhalten, auf welcher Seite der Patient seine bevorzugte Kauebene etabliert hat. Zur Messung wird der Schädel in die jeweilige Seitenansicht der zu messenden Seite gebracht. Durch Rotation wird der Prozessus coronoideus langsam sichtbar und der Messabstand der Kieferwinkel immer größer. Der anteriore Sporn des Atlas­wirbels kann als Orientierung für die achsen­gerechte Rotation dienen (Abb. 26).

Nach erfolgter Orientierung rotieren wir den Schädel um seine Sagittalachse, bis der innere Prozessus coronoideus mit seiner terminalen Spitze den unteren Rand des Os zygomatikum tangential berührt (Abb. 27).

Für die lotrechte Rotation dienen markante Punkte des ersten oder zweiten Halswirbels als Referenzpunkte. Jetzt kommt das Entscheidende. Je länger der dahinterliegende Processus coronoideus (wegen erhöhter Muskelaktivität!) und je tiefer der untere Rand des Jochbogens (ebenfalls wegen erhöhter Muskelaktivität), desto mehr muss ich den Schädel in seiner sagittalen Rotationsachse drehen, um eine tangentiale Abbildung der beiden Strukturen zu erreichen (Abb. 28).

Je mehr diese Drehung durchgeführt wird, desto größer wird der abgebildete (nicht der reale!) Abstand eines definierten Punktes im Kieferwinkel. Ist der Gonionpunkt deutlich zu erkennen, so sollte dieser als jeweiliger Messaufnahmepunkt dienen. Ist dies nicht der Fall, so ist die Senkrechte der Spitze des Prozessus coronoideus zum Kieferwinkel der Gegenseite heranzuziehen (Abb. 29).

Je größer die Muskelaktivität, desto mehr muss ich den Schädel um seine Achse drehen und desto größer wird der gemessene Abstand des rechten zum linken Kieferwinkelpunkt. Mit dieser Technik messen wir quasi die rechte Asymmetrie gegen die linke Asymmetrie.
Für eine jeweils exakte Bestimmung wäre es notwendig, den Abstand über die eingeblendete Schädelspiegelebene nach CranioPlan® zu messen und den Rotationswinkel in Winkel° zu bestimmen oder das Messergebnis mit dem Cosinus des Rotationswinkels zu multiplizieren. Dies wäre der rein wissenschaftliche Ansatz, der für die Praxis viel zu kompliziert ist. Entsprechende 3D-Computerprogramme könnten in Zukunft eine solche exakte Bestimmung praktikabel machen.

Für den Anfang halte ich jedenfalls den Vergleich der Absolutwerte in mm für ausreichend. Schließlich geht es zunächst nur darum, die Kauseitenprävalenz zu bestimmen und in der Therapie möglichst zu vermeiden, dass wir eine Veränderung der anatomischen Strukturen in Richtung einer für den Patienten ungewohnten kontralateralen Kauseitenprävalenz erreichen.

Die Messung der Gonionpunkte erfolgt nun auf beiden Seiten. Die Seite mit dem höheren Wert gibt den entscheidenden Hinweis, dass hier die Muskelaktivität über einen längeren Zeitraum höher sein muss als auf der kontralateralen Seite. Mit Ausnahme der hemifazialen Dyskinesien kann mit dieser Methode die Prävalenz der Kauseite mit hervorragender Sicherheit bestimmt werden (Abb. 30+31).

Sind die Werte auf beiden Seiten gleich, spricht man von einer ausgeglichenen okklusal-skelettalen Balance. Je größer die gemessene Differenz, desto ausgeprägter ist die vorliegende Kauseitenprävalenz und die damit verbundene Asymmetrie des Gesichtsschädels.

Berührt bei der Überlagerung der Unterkieferwinkel die Spitze des Prozessus coronoideus nicht die Unterkante des Jochbogens, so wird der Abstand zum Jochbogen gemessen und mit 2 multi­pliziert, da sich diese Messung nicht auf die zweite Schädelhälfte bezieht. Auf diese Weise erhält man wieder vergleichbare Zahlenwerte bzw. deren resultierende Differenzen (Abb. 32+33).

Befund

Der Patient ist Linkshänder und arbeitet in einem handwerklichen Beruf. Ausgehend davon ist auch eine linksseitige Kauseiten­prävalenz zu erwarten. Diese ist, wie aus dem Ausgangsbefund ersichtlich, durch den einseitigen frontalen Kreuzbiss auf der linken Seite gestört. Daraus resultiert nicht nur die linksseitige dorsale Kompression, sondern auch eine Verschiebung der ZyGoDi-­Werte.

Rechts werden zu Beginn 43,0 mm und links 44,9 mm gemessen, wie es einem leichten Linkshänderprofil entsprechen würde (Abb. 34+35). Nach der Verlagerung des frontalen Kreuzbisses haben wir den Patienten in seiner Komfortzone behandelt. Die dorsale Kompression ist gelöst. Auf der rechten Seite hat sich der ZyGoDi-Wert auf 37,2 mm verringert und auf der linken Seite hat sich der ZyGoDi-­Wert sogar um 1,2 mm auf 46,1 mm erhöht (Abb. 36+37).

Interessant ist, dass der Patient nach der aktiven kieferorthopä­dischen Therapie keine Nackenschmerzen mehr hatte. Dies mag sicherlich auch ein kleiner Erfolg der nun wiederhergestellten individuellen Wohlfühlzone mit neuem Kauerlebnis sein.

Die Anwendung der ZyGoDi-Messung zur Bestimmung der Kauseitenprävalenz ist eine sehr effektive und einfach durchzuführende Analyse am 3D-Schädel. Es ist wünschenswert, dass diese Analyse ihren Platz in der täglichen Therapieplanung und -überwachung findet und von Computerprogrammen in eine Skalierung mit Winkelwerten übertragen wird. Nur so erhalten wir auch Werte, die zwischen Patienten verglichen werden können und neue Standards definieren.

Kontrolle der pharyngealen Atemwege

Die Kontrolle der Atemwege wird heute durch entsprechende 3D-Computerprogramme erheblich vereinfacht. Mit einem Farbspektrum von Blau über Grün, Gelb und Rot werden Atemstörungen und Verengungen der Atemwege deutlich sichtbar gemacht. Bei diesem Patienten sind vor und nach der Therapie keine Atemwegsobstruktionen zu erkennen (Abb. 38+39).

Kontrolle der 3D-Position der Kauebene mit CranioPlan®.

Mithilfe des CranioPlan®-Verfahrens wurde bei diesem Patienten die sagittale, vertikale, laterale und horizontale Ausrichtung der Okklu­sionsebene überprüft. Es konnte festgestellt werden, dass nach aktiver Therapie eine seitensymmetrische Okklusionsebene verifiziert werden kann (Abb. 40).

Es fällt jedoch auf, dass die sagittale Mitte des Patienten nach rechts verschoben ist. Dies würde seiner Händigkeit entsprechen, dass durch die stärker ausgeprägte Seite auch eine Verschiebung des individuellen Zentrums aus der Mitte der Ohrachse erfolgt (Abb. 41).

Zusammenfassung

Der oben aufgeführte Behandlungsfall ist ein gutes Beispiel für die Bedeutung der 3D-Röntgendiagnostik in der modernen Kieferorthopädie. Folgende neue Ansätze in der cephalometrischen Befunderhebung und Diagnostik haben sich bewährt und sollten zu einem Standard für jede kieferorthopädische Therapie/Planung werden:

  1. Die parasagittal exzentrische Projektion (PAREX)
  2. Die Bestimmung der Fossa-Caput-Relation (FCR)
  3. Analyse des individualisierten Inzisalwinkels (IAI)
  4. Kontrolle der Kauseitenprävalenz (ZyGoDi)
  5. Kontrolle der pharyngealen Atemwege (ITP)
  6. Bestimmung der idealsymmetrischen Kau­ebene nach CranioPlan® (CPA)

Im zweiten Teil dieser Artikelserie, der in KN 1+2/2026 erscheinen wird, wird anhand eines komplexen „Sundaybite“-Falles demonstriert, wie DVT-gestützte Analysen von Kiefergelenks­position, Atemwegen und Kauseitenprävalenz zu einer völlig neuen therapeutischen Weichenstellung führen können.

KN Kieferorthopädie Nachrichten 12/25

KN Kieferorthopädie Nachrichten


Dieser Fachartikel ist unter dem Originaltitel „Digitale KFO im Fokus moderner 3D-DVT Diagnostik“ in den KN Kieferorthopädie Nachrichten erschienen.

Die KN Kieferorthopädie Nachrichten sind das monatliche Fachmedium für Kieferorthopäden. Im Fokus stehen standespolitische Themen, wissenschaftliche Fachinformationen und internationale Fortbildungen. Beiträge von Experten aus aller Welt vermitteln praxisnah aktuelle Trends, Innovationen und gesundheitspolitische Entwicklungen. Nach dem Prinzip „vom Spezialisten für den Spezialisten“ unterstützen die KN den Wissensaustausch, sichern Qualität und tragen maßgeblich zum Erfolg der Branche bei.

Jetzt das ePaper lesen.

Mehr Fachartikel aus Kieferorthopädie

ePaper