Kieferorthopädie 16.06.2025
Zahnverschiebung: Eine effektive Alternative zur Implantation
share
Ausgangssituation und Problemstellung
Der Verlust von Sechsern aufgrund von Karieskomplikationen ist ein häufiges Problem in der Zahnmedizin.3 In solchen Fällen wird die Implantation oft bis zum 18. Lebensjahr aufgeschoben. Die Erfordernis einer langfristigen Platzkontrolle sowie der chirurgische Aufwand machen eine implantologische Versorgung nicht immer zur bevorzugten Therapieoption. Die Vorverlagerung des Zahns 47 an die Stelle des entfernten Zahns 46 kann eine effektive Strategie sein, um die Funktionalität und das ästhetische Erscheinungsbild des Zahnbogens wiederherzustellen.5
Für eine erfolgreiche Zahnverschiebung sind eine detaillierte Diagnostik und eine präzise Planung erforderlich:
- Alter des Patienten: Im Jugendalter erleichtert das Wachstum des Kieferknochens die Zahnbewegung.1
- Befund der oralen Strukturen: Eine sorgfältige Beurteilung der Knochenqualität, der Nachbarzähne, der Antagonisten, der Weisheitszähne (Achter) sowie der Mundhygiene ist entscheidend.3
- Einsatz moderner Instrumente: Mikroimplantate und individuell angepasste Bögen spielen eine Schlüsselrolle.2,5
Behandlungsablauf: Methoden und Materialien
Der Behandlungsablauf bei der Zahnbewegung stützt sich auf bewährte Methoden und Materialien, die eine präzise Steuerung und Stabilisierung ermöglichen.1,3
Miniimplantate dienen der Fixierung und Stabilisierung von Verankerung, um unerwünschte Zahnbewegungen während der Therapie effektiv zu verhindern.2,5 Für die gezielte Steuerung der Bewegungsrichtung und der Achsneigung der Zähne kommen individuell angepasste Bögen zum Einsatz.4 Diese werden exakt auf die anatomischen und therapeutischen Erfordernisse des jeweiligen Patienten abgestimmt und ermöglichen eine kontrollierte Zahnbewegung entlang vorgegebener Vektoren. Ein zentraler Bestandteil des Behandlungsplans ist zudem die Kontrolle der Zahnachse. Nur durch eine präzise Ausrichtung der Zahnachsen kann eine korrekte Okklusion erreicht und ein funktioneller, physiologisch harmonischer Biss sichergestellt werden.3,4 Die genaue Achskontrolle ist somit entscheidend für den langfristigen Erfolg der kieferorthopädischen Behandlung und die Erhaltung der oralen Gesundheit.

Klinische Fälle
Fall 1: Zahnverschiebung bei einer 14-jährigen Patientin
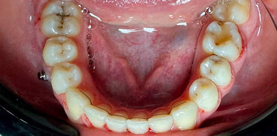
Abbildung 1 zeigt die Ausgangssituation: den Verlust des Zahns 46. Als Behandlungsansatz wurde entschieden, den benachbarten Zahn 47 durch gezielte kieferorthopädische Maßnahmen an die Stelle des fehlenden Zahns 46 zu verschieben. Zur Sicherstellung einer kontrollierten und stabilen Zahnbewegung kamen Miniimplantate (Abb. 2) sowie individuell angepasste kieferorthopädische Bögen zum Einsatz. Diese Maßnahmen ermöglichten eine präzise Steuerung der Bewegungsrichtung und eine effektive Verankerung während des gesamten Prozesses.
Die Behandlungsdauer betrug insgesamt 25 Monate. Während dieser Zeit konnte durch konsequente Anwendung der eingesetzten Hilfsmittel ein kontinuierlicher Fortschritt erzielt werden, wie in Abbildung 3 dokumentiert. Die Überwachung und Anpassung der eingesetzten Apparaturen erfolgten in regelmäßigen Abständen, um eine optimale Zahnachskontrolle und eine harmonische Eingliederung in den Zahnbogen sicherzustellen.
Das Endergebnis (Abb. 4) zeigt eine vollständige Wiederherstellung der Kauleistung, die ohne die Notwendigkeit einer Implantation erreicht wurde. Die erfolgreiche Verlagerung des Zahns 47 ermöglichte nicht nur die funktionelle Rehabilitation, sondern trug auch wesentlich zur Ästhetik und Stabilität des Zahnbogens bei.
Fall 2: Wiederherstellung des Zahnbogens bei einer 17-jährigen Patientin
Abbildung 5 zeigt die Ausgangssituation bei einer 17-jährigen Patientin nach der Entfernung des Zahns 46. Um den entstandenen Defekt im Zahnbogen funktionell und ästhetisch zu schließen, wurde der benachbarte Zahn 47 gezielt nach mesial verschoben. Zahn 48 wurde für die Kauleistung angepasst.
Die Behandlungsdauer betrug insgesamt 28 Monate. Während dieses Zeitraums wurde der Fortschritt der Zahnbewegung engmaschig überwacht und dokumentiert, wie in Abbildung 6 dargestellt. Die Anpassung des Zahns 48, die maßgeblich zur funktionellen Rehabilitation beitrug, ist in Abbildung 7 zu sehen.
Das Endergebnis (Abb. 8) zeigt die erfolgreiche vollständige Wiederherstellung der Funktion, wobei eine Implantation vermieden werden konnte.
Diskussion: Vorteile und Einschränkungen der Methode
Die kieferorthopädische Schließung von Zahnlücken durch Zahnbewegung bietet gegenüber implantologischen Versorgungen eine Reihe Vorteile.
Von besonderer klinischer Relevanz ist der Erhalt der biologischen Integrität: Eigene Zähne integrieren sich besser in den Knochen und bieten langfristige Stabilität. Die Methode zeichnet sich zudem durch ihre geringe Invasivität aus, da weder chirurgische Eingriffe noch die Insertion künstlicher Materialien erforderlich sind.
Auch unter ökonomischen Gesichtspunkten erweist sich die Methode als vorteilhaft. Die Therapie ist in der Regel kosteneffizienter als implantologische Versorgungen, da auf umfangreiche chirurgische und prothetische Maßnahmen verzichtet werden kann. In ästhetischer Hinsicht trägt die Erhaltung der natürlichen Zahnbogenkontur wesentlich zur funktionellen und visuellen Rehabilitation bei, wodurch das Ergebnis häufig eine höhere Patientenzufriedenheit erzielt.
Den Vorteilen stehen jedoch bestimmte Limitationen gegenüber. Der Behandlungserfolg ist in erheblichem Maße von der Kooperationsbereitschaft und Compliance des Patienten abhängig. Eine konsequente Mitwirkung beim Tragen kieferorthopädischer Apparaturen sowie eine regelmäßige Teilnahme an Kontrollsitzungen sind essenziell. Darüber hinaus stellt die verlängerte Behandlungsdauer, die je nach klinischer Ausgangssituation zwei bis drei Jahre betragen kann, eine Herausforderung sowohl für die Patienten als auch für die Behandler dar.
Eine tabellarische Zusammenfassung der wesentlichen Vorteile und Einschränkungen ist in Tabelle 1 aufgeführt.
Fazit
Dieser Beitrag ist in der KN Kieferorthopädie Nachrichten erschienen.