Kieferorthopädie 17.10.2025

Gesteuerte Extraktion und kieferorthopädischer Lückenschluss – eine Behandlungsoption bei MIH



Molaren-Inzisiven-Hypomineralisation (MIH) ist neben Karies eine häufige Erkrankung der Zähne von Kindern und Jugendlichen. Nach Daten der 6. Deutschen Mundgesundheitsstudie lag die Prävalenz der Kinder im Alter von zwölf Jahren bei ca. 15 Prozent. Die beeinträchtigten Zähne weisen umschriebene Opazitäten von weißer, gelblicher oder brauner Färbung auf. Je nach Schweregrad kommt es posteruptiv zu Überempfindlichkeiten und fortschreitenden Schmelzeinbrüchen.

Gesteuerte Extraktion und kieferorthopädischer Lückenschluss – eine Behandlungsoption bei MIH

Foto: Dr. Karsten Junghanns, Dr. Heiko Goldbecher

Sollten alle konservierenden Behandlungsmöglichkeiten ausgeschöpft sein und die Indikation zur Extraktion gestellt werden, kann eine zweistufige Extraktion mit Hemisektion und folgendem kieferorthopädischen Lückenschluss in Betracht gezogen werden. Ziel ist es dabei, eine nebenwirkungsarme, effiziente und vollständige Mesialisierung der zweiten Molaren zu erreichen.

Behandlungsablauf und Vorbehandlung

Der Hauszahnarzt übernimmt eine wichtige Funktion in der Diagnostik und Therapie von MIH genau wie bei allen anderen Zahn-, Kiefer- oder Mundschleimhauterkrankungen. Häufig besteht der Wunsch die Zähne konservierend zu versorgen, was auch oft bei weniger stark betroffenen Zähnen gelingt. In anderen Fällen können jedoch fortschreitende Schmelzeinbrüche häufige Kontrollen und ggf. mehrfache Nachbesserungen erforderlich machen. Die Prognose zum langfristigen Erhalt der Zähne ist dann oft zusätzlich aufgrund von Schmerzen durch mangelnde Mundhygiene und Mitarbeit eingeschränkt.

Vorteile einer gesteuerten Extraktion

Wenn der Hauszahnarzt das Behandlungsziel neu bestimmt und die Entscheidung zur Extraktion getroffen wird, bietet es sich an, den optimalen Behandlungszeitpunkt in Abstimmung mit einem Kieferorthopäden festzulegen. Insbesondere wenn Weisheitszähne angelegt sind, besteht die Option, trotz Extraktion zwei gesunde, kaufunktionell vollwertige Molaren im adulten Gebiss zu realisieren. Komplikationen wie Einbruch der Stützzone, Kippung der Nachbarzähne in die Lücke und Alveolenkollaps mit sanduhrförmigen Einziehungen können vermieden werden. Dieses Risiko besteht erfahrungsgemäß insbesondere im Unterkiefer. Der optimale Zeitpunkt der Extraktion eines ersten Molaren ist, wenn sich die Furkation des zweiten Molaren ausbildet. Im günstigsten Fall eruptiert der zweite Molar anschließend spontan und achsengerecht an die Position des extrahierten Zahnes.

Fallbeispiel

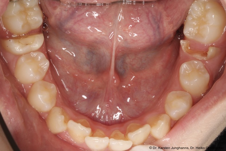
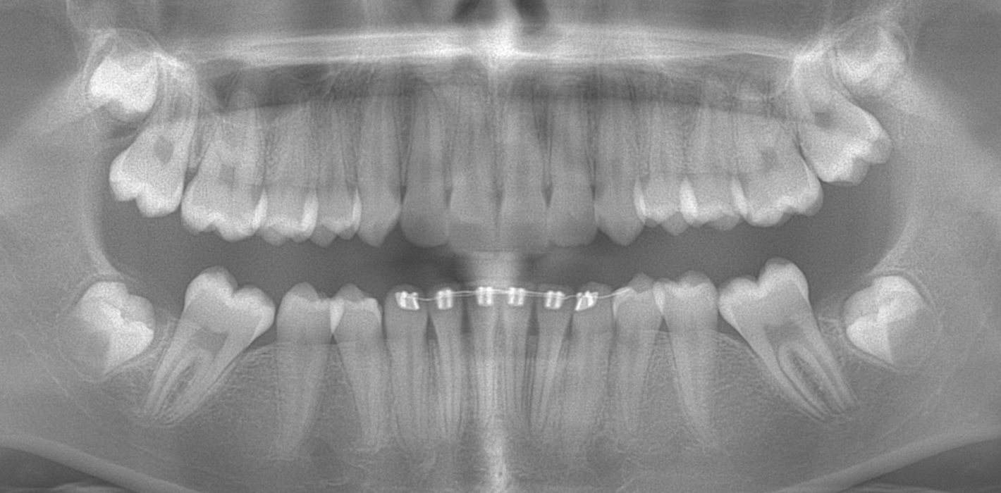
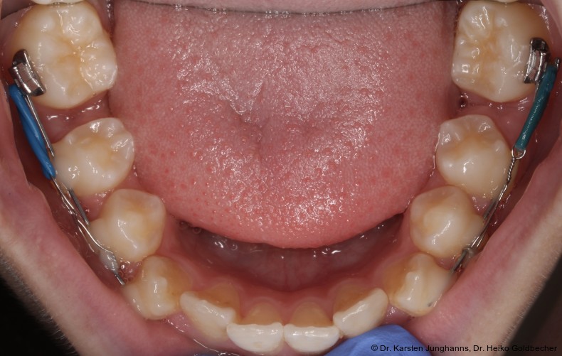
Eine Patientin stellte sich im Alter von neun Jahren erstmals vor. An den ersten Molaren des Unterkiefers wurden vom Hauzahnarzt eine MIH diagnostiziert (Abb. 1a) und die Zähne als nicht erhaltungsfähig eingestuft. Die beiden ersten Molaren wurden hemiseziert und der distale Anteil extrahiert. Gut zu erkennen ist auf dem OPG die annähernd achsengerechte Mesialisierung der zweiten Molaren sowie die Aufwanderung der Zahnkeime der dritten Molaren (Abb 1b: ca. 1,5 Jahre nach Hemisektion). Noch vor Durchbruch der zweiten Molaren in die Mundhöhle wurde auch der mesiale Anteil entfernt. Der spontane Lückenschluss erfolgte innerhalb der nächsten anderthalb Jahre (Abb. 1c). Die endgültige Achsstellung kann nach Ausdehnung der Teilmultibandapparatur eingestellt werden.

Diskussion

Auch wenn nach dem Minimalschadensprinzip meist der Zahnerhalt anzustreben ist, können die Begleitumstände eine Extraktion rechtfertigen. Der Hauszahnarzt übernimmt in der Regel eine Schlüsselrolle im Entscheidungsprozess und der möglichen Einbeziehung von Fachzahnärzten. Erfahrungsgemäß treten insbesondere im Unterkiefer Komplikationen in Form von Alveolenkollaps und der sich daraus entwickelnden Nebenwirkungen auf, welche es zu vermeiden oder zu verhindern gilt. Bei der Indikation zur Extraktion eines Unterkiefermolars sollte eine Hemisektion in Erwägung gezogen werden. So kann mit wenig Aufwand ein achsengerechter Spontandurchbruch der zweiten und dritten Molaren erreicht werden. Sollte die Entscheidung zu einem späteren Zeitpunkt getroffen werden, kann auch hier durch eine Mesialisationsmechanik (Abb. 2c) eine körperliche und achsengerechte Einstellung erreicht werden. Gut zu erkennen ist in Abbildung 2, dass der dezente frontale Engstand weiterhin besteht und keine Distalisierung der Frontzähne oder Prämolaren stattgefunden hat. Spätere Extraktionen mit Komplikationen können vermieden werden. Bisher hat diese Indikation zur Hemisektion (MIH) noch keinen Eingang in den Bema gefunden. In Hinblick auf ein verbessertes Lückenmanagement mit geringeren Risiken, verkürzten Behandlungszeiten, geringerem apparativen und finanziellen Aufwand sollte eine Anpassung zukünftig diskutiert werden. Falls der dritte Molar angelegt ist, wird in vielen Fällen ein Lückenschluss mit Einordnung der zweiten und dritten Molaren möglich sein, sodass am Behandlungsende ein adultes Gebiss mit 28 gesunden Zähnen vorliegt.

KN Kieferorthopädie Nachrichten 10/25

KN Kieferorthopädie Nachrichten


Dieser Beitrag ist in der KN Kieferorthopädie Nachrichten erschienen.

Die KN Kieferorthopädie Nachrichten sind das monatliche Fachmedium für Kieferorthopäden. Im Fokus stehen standespolitische Themen, wissenschaftliche Fachinformationen und internationale Fortbildungen. Beiträge von Experten aus aller Welt vermitteln praxisnah aktuelle Trends, Innovationen und gesundheitspolitische Entwicklungen. Nach dem Prinzip „vom Spezialisten für den Spezialisten“ unterstützen die KN den Wissensaustausch, sichern Qualität und tragen maßgeblich zum Erfolg der Branche bei.

Jetzt das ePaper lesen.

Mehr Fachartikel aus Kieferorthopädie

ePaper