Kieferorthopädie 20.11.2025

Okklusionsqualität von erwachsenen Patienten mit posteriorem Kreuzbiss



Der seitliche Kreuzbiss ist eine häufig anzutreffende Zahnfehlstellung, die durch eine transversale Diskrepanz zwischen Ober- und Unterkiefer verursacht wird. Bis zu 15 Prozent der erwachsenen Bevölkerung in Europa sind davon betroffen.1 Die Ätiologie ist nach wie vor unklar und kann eine Kombination aus skelettalen, den­to­alveolären und neuromuskulären Faktoren umfassen.2 Bis heute ist die Wahl der optimalen Behandlungs­option zur Korrektur eines pos­terioren Kreuzbisses bei erwachsenen Patienten höchst umstritten. 

Okklusionsqualität von erwachsenen Patienten mit posteriorem Kreuzbiss

Foto: Privatpraxis, Bad Essen, Deutschland

Chirurgisch unterstützte, schnelle Gaumennaht­erwei­te­rungen (SARPE),3 Segmentosteotomien (zwei-/drei­geteilter Ober­kie­fer),4 mini­implantat­ge­stützte schnelle Gaumen­naht­erweiterungen (MARPE)5 oder nichtchirurgische Expansionskonzepte6 werden häufig zur Behandlung von posteri­oren Kreuzbissen bei Erwachsenen eingesetzt.

Diese Behandlungsoptionen umfassen allerdings lediglich verschiedene Arten der Oberkiefererweiterung zur Korrektur der maxillomandibulären Diskrepanz2, während eine Modifikation des Unterkieferbogens aufgrund von Stabilitätsbedenken eher unüblich ist.7 Die alleinige Korrektur des Kreuzbisses aus dem Oberkiefer, wobei der zu schmale Oberkiefer dem zu breiten Unterkiefer angepasst wird, kann jedoch auch zu einer höheren Rezidivneigung führen.8,9

Expertenmeinungen zufolge können transversale Diskrepanzen von bis zu 5 mm bei Erwachsenen noch nicht­chirurgisch rein aus dem Oberkiefer korrigiert werden.10 Erst vor Kurzem beschrieb Wiechmann (2024) ein neuartiges Konzept zur Korrektur von Kreuzbissen aus beiden Kiefern unter Verwendung vollständig individueller lingualer Apparaturen (VILA, oder Completely Customised Lingual Appliances, CCLA) und CAD/CAM-­Expansionsbögen im Oberkiefer sowie Kompressionsbögen im Unterkiefer.11 Dabei wurde deutlich, dass mit diesem Konzept auch größere transversale Dis­krepanzen bei Erwachsenen nichtchirurgisch korrigiert werden können, wenn die Korrektur in beiden Kiefern mit ausreichender Torquekontrolle der Seitenzähne durchgeführt wird.12,13 Ein wesentlicher Vorteil dieses Konzeptes ist die geringe Invasivität, ohne die bei den chirurgisch unterstützten Verfahren doch relativ hohe Rate an chirurgischen Komplikationen.14

Bislang gibt es keine Untersuchungen zur Ergebnisqualität der Okklusion nach derartigen non-chirurgischen Korrekturen. Aktuelle Studien auf diesem Gebiet haben die Relevanz einer qualitativ hochwertigen Okklusion für die Langzeitstabilität eines kieferorthopädischen Behandlungsergebnisses unterstrichen.15,16 Beim Einsatz vollständig individueller lingualer Apparaturen (VILA) kann diese hohe Ergebnisqualität nachweislich nicht nur im Einzelfall, sondern regelmäßig erzielt werden.17–20

Daher war es das Ziel der vorliegenden Untersuchung, die Qualität der erzielten Okklusion nach einer nichtchi­rurgischen Kreuzbisskorrektur bei Erwachsenen zu bewerten. Als Vergleichsgruppe wurden erwachsene Pa­tienten mit einer Klasse I-Malokklusion ohne seitlichen Kreuzbiss herangezogen. Es wurde die Nullhypothese getestet, dass bei den beiden Gruppen ein statistisch signifikanter Unterschied in der Qualität der erzielten Okklusion am Behandlungsende besteht. Die Patienten in beiden Gruppen wurden mit einer VILA behandelt. Zur Kreuzbisskorrektur wurden CAD/CAM-Expansions- und Kompressionsbögen eingesetzt.

Patienten und Methoden

Alle inkludierten Patienten wurden in einer kieferorthopädischen Fachpraxis (Bad Essen, Deutschland) behandelt und zwischen 2019 und 2021 entbrackettiert. Patienten mit ungünstigen parodontalen Verhältnissen wurden generell nicht nach diesem Konzept behandelt. Alle Behandlungen wurden von Kiefer­orthopäden mit umfangreicher Erfahrung in der Anwendung von VILA durchgeführt. Einschlusskriterien waren erwachsene Patienten, die zu Beginn der Behandlung mindestens 18 Jahre alt waren und mit einer VILA in beiden Zahnbögen behandelt wurden (WIN-­Apparatur, DW Lingual Systems). Patienten mit einer bekannten Diskrepanz zwischen maximaler Interkuspidation und zentraler Kondylenposition, geplanten Extraktionen oder Spaltenverschlüssen, Brückenprothetik oder Implantaten wurden nicht inkludiert. Auch Patienten, bei denen der Behandlungsplan kein okklusales Optimum, sondern einen individuell vertretbaren Kompromiss vorsah, wurden nicht berücksichtigt. Die Patienten wurden konsekutiv inkludiert und kein Patient wurde aus irgendeinem weiteren Grund, wie beispielsweise schlechter Mitarbeit, schlechter Reaktionslage oder fehlenden Unterlagen, exkludiert.

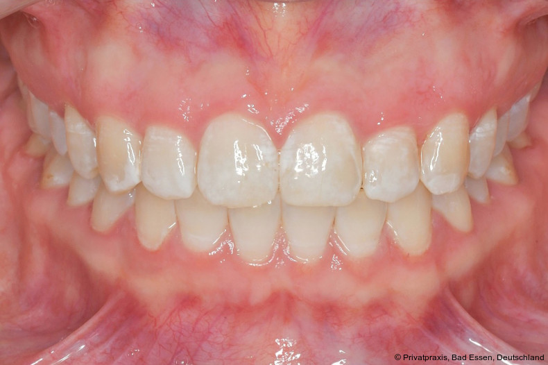
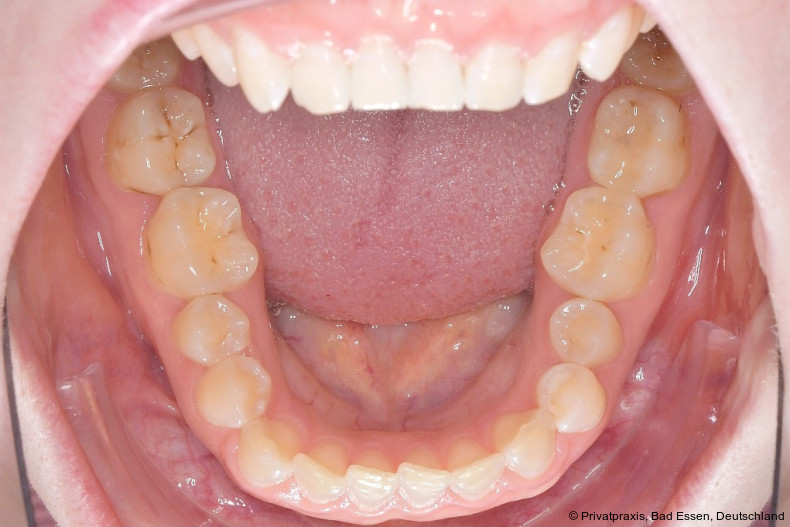
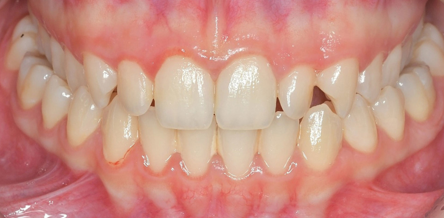
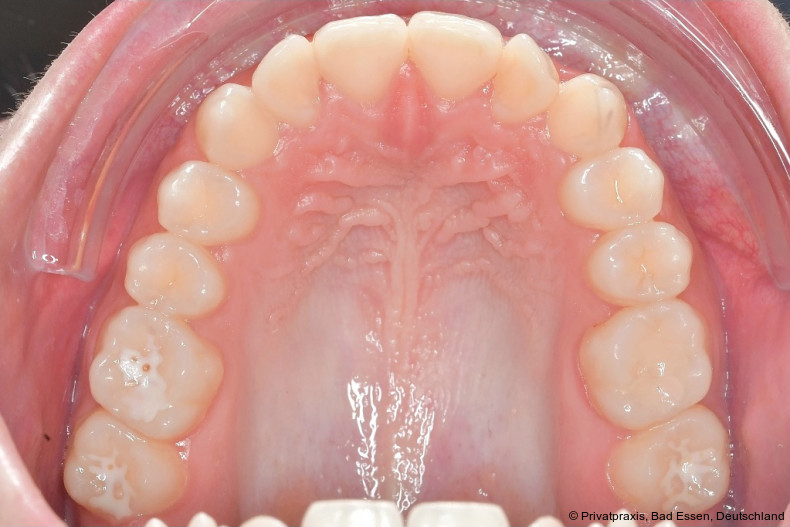
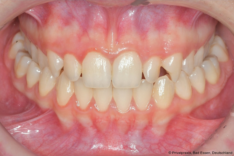
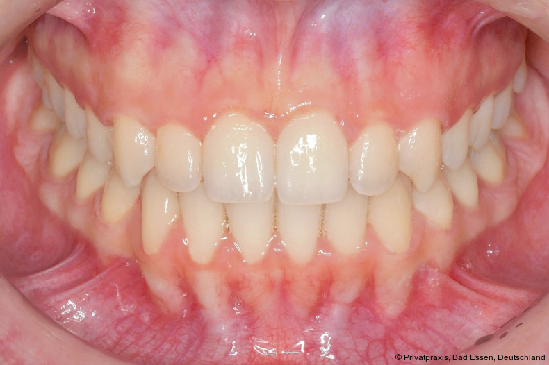
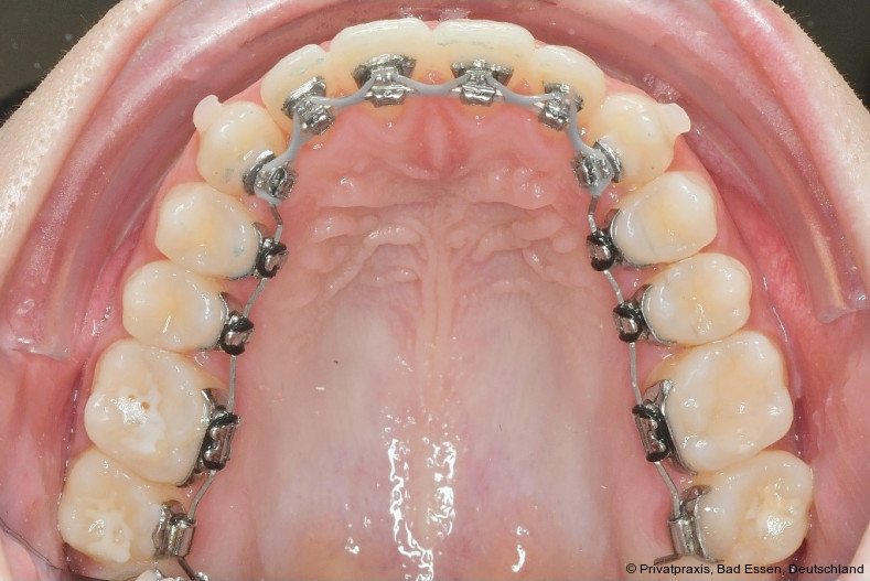
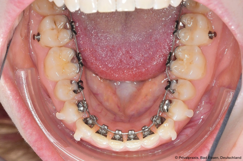
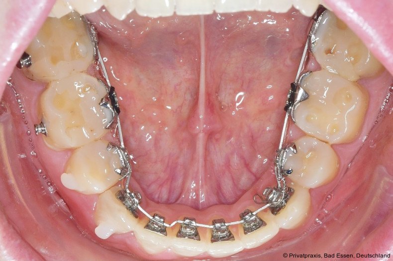
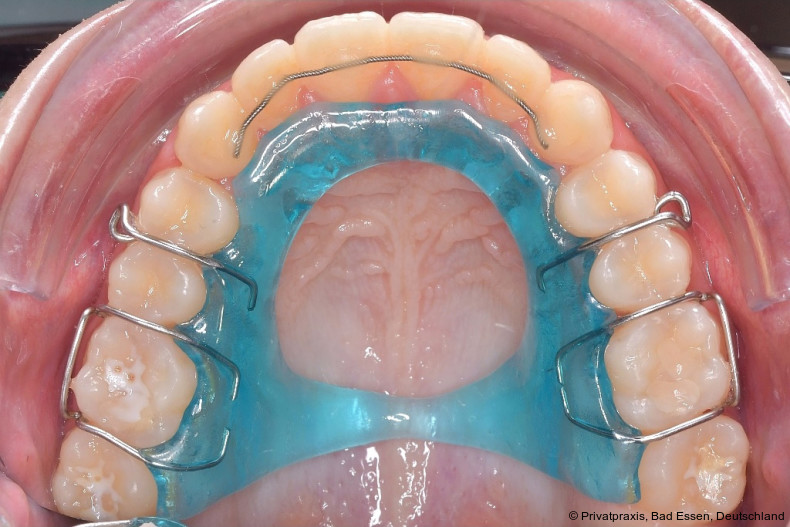
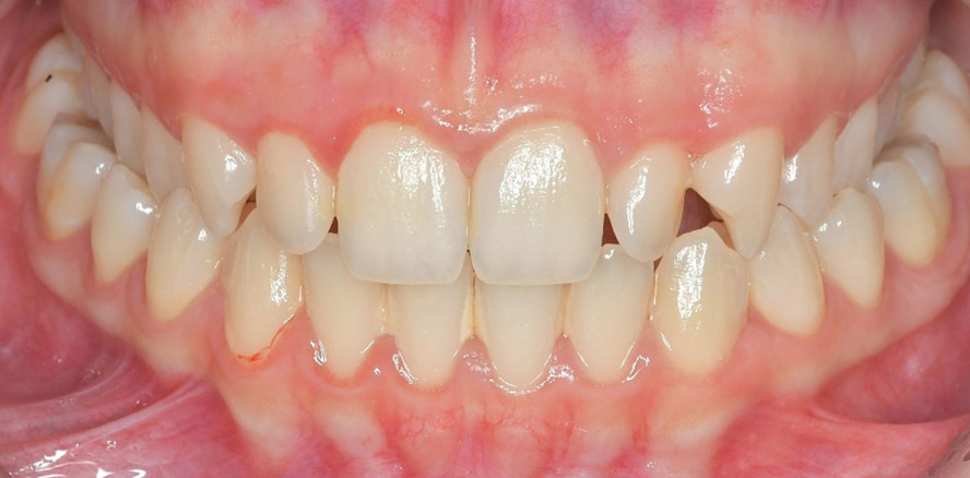
Es wurden zwei Gruppen gebildet: Gruppe 1, bestehend aus erwachsenen Patienten mit einer Klasse I-Malokklusion ohne Kreuzbiss, und Gruppe 2, bestehend aus erwachsenen Patienten mit einem posterioren ein- oder beidseitigen Kreuzbiss. Ein posteriorer Kreuzbiss wurde definiert als mindestens vier benachbarte und antagonistische Zähne (2+2) im Kreuzbiss (mehr als eine halbe labiolinguale Zahnbreite) vom ersten Prämolaren bis zum zweiten Molaren auf einer Seite (Abb. 1) oder auf beiden Seiten (Abb. 2). Die Klasse I-Patienten ohne seitlichen Kreuzbiss (Abb. 3) wurden hinsichtlich Alter und Geschlecht mit den Kreuzbisspatienten gematched. Das Behandlungsziel wurde mithilfe eines Ziel-Set-ups ohne Überkorrekturen in der Transversalen definiert. Die Korrektur eines seitlichen Kreuzbisses wurde auf den Set-up-Modellen im­mer aus beiden Kiefern durchgeführt. Klinisch wurde die Expansion und die Kompression mit 0,016" x 0,024" Stahlbögen durchgeführt. Die jeweiligen Überkorrekturen (1, 2 oder 3 cm Oberkiefererweiterung und 1 oder 2 cm Unterkieferkompression) wurden nach der von Wiechmann beschriebenen Methode vom Kieferorthopäden auf der Grundlage klinischer Bewertungen individuell festgelegt.11 Auf die Verwendung von criss/cross Gummizügen zur Kreuzbisskorrektur wurde ausdrücklich verzichtet.

Wie in früheren Studien beschrieben, wurden zur Beurteilung der Okklusionsqualität sieben Messungen gemäß dem American Board of Orthodontics Model Grading System (ABO-MGS) an Gipsmodellen vor (T1) und nach der kieferorthopädischen Behandlung (T2B) sowie am Ziel-Set-up (T2A) vorgenommen.19,20 Zusätzlich zur Auswertung nach den ABO-MGS Kriterien (Derotation, Randleistenkontakte, bukkolinguale Inklination, Okklusionskontakte, Bisslage, Overjet und Approximalkontakte) wurde die transversale Dimension für jeden Zahnbogen im Bereich der größten transversalen Diskrepanz gemäß der von Wiechmann beschriebenen Methode bestimmt11 (Tab. 1+2). Alle Messungen wurden von demselben Untersucher (Y. J.) durchgeführt, der die ABO-­Kali­brierung unter der Leitung des ehemaligen ABO-Direktors (P. F.) erfolgreich abgeschlossen hatte. Die Grenze für eine positive Gesamtbeurteilung bei der Auswertung nach dem ABO-MGS wurde bei 25 Strafpunkten festgelegt. Wie in früheren Studien, in denen die finalen okklusalen Ergebnisse an Gipsmodellen evaluiert wurden, wurde auch in dieser Studie auf eine radiologisch unterstützte Auswertung verzichtet.18–22

Bild von einem Quotenzeichen
„Bis heute ist die Wahl der optimalen Behandlungs­option zur Korrektur eines posterioren Kreuzbisses bei erwachsenen Patienten höchst umstritten.“

Ergebnisse

Von den 1.098 Patienten, die im Beo­b­achtungszeitraum entbrackettiert wurden, wiesen 40 erwachsene Patienten einen posterioren Kreuzbiss auf. Jede Gruppe bestand aus 30 Frauen und 10 Männern. Das Durchschnittsalter in der Kreuzbissgruppe betrug 33,6 ± 10,9 Jahre und in der Nicht-Kreuzbissgruppe 30,7 ± 9,1 Jahre. Die durchschnittliche Behandlungsdauer in der Kreuzbissgruppe (2,1 ± 0,8 Jahre) war signifikant länger als in der Nicht-­Kreuzbissgruppe (1,3 ± 0,6 Jahre). In der Kreuzbissgruppe wiesen 15 Patienten (37,5%) eine Klasse I-Malokklusion, 20 Pa­tienten (50%) eine Klasse II-Malokklusion und fünf Patienten (12,5%) eine Klasse III-Mal­okklusion auf. In der Vergleichsgruppe ohne seit­lichen Kreuzbiss hatten alle Patienten zu Behandlungsbeginn eine neutrale Verzahnung (Tab. 3). Die Intrarater-Reliabilität war für alle Messungen ausgezeichnet (Tab. 1).

Die deskriptiven Statistiken für den ABO-MGS-­Score und die metrischen Messungen der transversalen Dimension sind in den Tabellen 4 bis 6 dargestellt. Boxplots des ABO-MGS-Scores zu den verschiedenen Zeitpunkten und des individuellen Ziel-Set-ups sowie die metrischen Messungen der transversalen Dimension sind in den Abbildungen 4 bis 7 dargestellt. Bei allen Patienten mit einem posterioren Kreuzbiss zu T1 konnte dieser Kreuzbiss bis zum Behandlungsende (T2B) korrigiert werden.

ABO-Score

Unter der Annahme eines ABO-MGS Grenz­wertes von 25 Strafpunkten oder weniger würden bei den Ziel-Set-ups beider Gruppen (T2A) alle bis auf ein Set-up (27 Strafpunkte, Nicht-Kreuzbissgruppe) die Anforderungen des ABO erfüllen (Tab. 4+5 und Abb. 4). Am Behandlungsende (T2B) lag die Summe der Strafpunkte bei 38 von 40 Kreuzbissfällen (95%) und bei 38 von 40 Nicht-Kreuzbissfällen (95%) unterhalb des Grenzwertes, womit die Erfordernisse des American Board of Orthodontics größtenteils in beiden Gruppen erfüllt wurden. Der Gesamt-ABO-MGS-Score der Strafpunkte bei den vier durchgefallenen Patientenfällen betrug 31 und 37 in der Kreuzbissgruppe und 30 und 34 in der Nicht-Kreuzbissgruppe. In beiden Gruppen konnte in allen sieben ABO-MGS-Kategorien von T1 zu T2B eine Verbesserung erzielt werden. Die Ge­samt­strafpunktzahl reduzierte sich in beiden Gruppen erheblich, mit einer mittleren Verringerung von 68,1 auf 20,7 Strafpunkte in der Kreuzbissgruppe und von 41,0 auf 18,8 Strafpunkte in der Nicht-Kreuzbissgruppe (Tab. 4+5 und Abb. 4). Der Vergleich zwischen den Gruppen bei T2B ergab keinen statistisch signifikanten Unterschied zwischen den beiden Gruppen, weder für die Gesamt­straf­punkt­zahl nach ABO-MGS noch für die verschiedenen ABO-MGS Einzelkriterien mit Ausnahme der bukkolingualen Neigung der Zähne (Tab. 6 und Abb. 4).

Metrische Messungen

Bei den erwachsenen Patienten mit einem posterioren Kreuzbiss betrug die mittlere transversale Korrektur 6,7 ± 2,3 mm, bei einer mittleren maxillären Expansion von 3,2 ± 2,1 mm und einer mittleren mandibulären Kompression von 3,5 ± 2,4 mm (Tab. 7 und Abb. 5–7). Es gab einen statistisch signifikanten Unterschied (p<0,001) zwischen der geplanten (T2A) und der erzielten (T2B) mittleren transversalen Korrektur, wenn man die beiden Kiefer getrennt betrachtete: Die maxilläre Expansion (3,2 mm) war geringer als geplant (3,8 mm) und die mandibuläre Kompression (3,5 mm) war größer als geplant (2,2 mm; Abb. 6+7). Bei Betrachtung beider Kiefer zusammen zeigte sich kein statistisch signifikanter Unterschied zwischen der geplanten und der erreichten totalen transversalen Korrektur (Tab. 4 und Abb. 7).

Diskussion

Das Ziel der vorliegenden Untersuchung war es, die Qualität der Okklusion nach der Korrektur eines posterioren Kreuzbisses mit Expansions-/Kompressionsbögen im Vergleich zu Patienten zu bewerten, die vor ihrer kieferorthopädischen Behandlung keinen Kreuzbiss aufwiesen. Die Ergebnisse dieser Studie zeigten keinen statistisch signifikanten Unterschied in beiden Gruppen hinsichtlich der Qualität der erzielten Okklusion anhand der Kriterien des ABO-MGS (Tab. 6 und Abb. 4). Folglich wird die Nullhypothese widerlegt.

Die Ergebnisse der ersten Untersuchung in diesem Bereich sind klinisch bedeutsam, da eine alternative Behandlungsoption zu einer primär chirurgischen Vorgehensweise evaluiert wurde. Die Studie unterstreicht die klinische Effizienz derartiger non-chirur­gischer Konzepte insbesondere im Hinblick auf die Qualität der finalen Okklusion. In Übereinstimmung mit früheren Studien wurde im Durchschnitt eine totale transversale Korrektur im Seitenzahnbereich von 6,7 mm erzielt (Oberkiefer +3,2 mm, Unterkiefer –3,5 mm; Tab. 7., Abb. 5–7).11,12 Eine transversale Korrektur mit VILA in Kombination mit Expansions- und Kompressionsbögen kann daher auch bei Erwachsenen mit ausgeprägtem posterioren Kreuzbiss ein zielführendes Behandlungskonzept sein, wobei die erreichbare Expansion im Oberkiefer und die Kompression im Unterkiefer annähernd gleich groß sind.

Die in der vorliegenden Studie erzielte transversale Gesamtkorrektur ist mit den Korrekturen der bekannten chirurgischen Vorgehensweisen wie SARPE oder MARPE vergleichbar13,24 und stellt deshalb eine interessante nichtinvasive Alternative zu den genannten chirurgischen Konzepten dar. Viele Patienten werden diese Option nach einer umfassenden Aufklärung seitens des Behandlers als vorteilhaft bewerten.

Bild von einem Quotenzeichen
„Erst vor Kurzem beschrieb Wiechmann (2024) ein neuartiges Konzept zur Korrektur von Kreuzbissen aus beiden Kiefern unter Verwendung vollständig individueller lingualer Apparaturen (VILA, oder Completely Customised Lingual Appliances, CCLA) und CAD/CAM-Expansions­bögen im Oberkiefer sowie Kompressionsbögen im Unterkiefer.“

ABO-MGS-Kategorien

In der Kreuzbissgruppe wurde, definiert durch das Set-up, eine mittlere Reduktion der Strafpunkte für den anterioren und posterioren Overjet von 90 Prozent angestrebt. Bei T1 betrug der mittlere Score 14,6 Punkte, das Set-up (T2A) zeigte einen Score von 0,5, und bei T2B wurde ein durchschnittlicher finaler Score von 2,0 Strafpunkten ermittelt (Tab. 4). Dieses Ergebnis von nur 2,0 Strafpunkten am Behandlungsende unterstreicht die Effizienz der Kreuzbisskorrektur bei allen nachuntersuchten Patienten. Für den Overjet am Behandlungsende wurde kein statistisch signifikanter Unterschied zwischen den beiden Gruppen festgestellt (p > 0,05), obwohl der Wert zu Beginn der Behandlung in der Kreuzbissgruppe aufgrund des vorhandenen ein- oder beidseitigen Kreuzbisses signifikant höher war (Tab. 46).

Die Strafpunkte für die bukkolinguale Inklination verringerten sich trotz der transversalen Korrektur in der Kreuzbissgruppe von 6,3 bei T1 auf 5,9 bei T2B, was auf eine ausgezeichnete Torquekontrolle bei der Expansion und Kompression mit VILA hinweist (Tab. 4). Obwohl bei T2B ein statistisch signifikanter Unterschied zwischen den beiden Gruppen festgestellt wurde (5,9 Strafpunkte für die Kreuzbissgruppe gegenüber 4,2 für die Patienten ohne Kreuzbiss), kann dieser geringe Unterschied als klinisch nicht relevant angesehen werden (Tab. 46). Darüber hinaus zeigten die Kreuzbissfälle zu Beginn der Behandlung eine ungünstigere bukkolinguale Inklination, die sich dann trotz der transversalen Korrektur verbesserte (Tab. 4+5). Auch in der Studie von Schmid et al. zeigte sich, dass bei Behandlungen mit VILA und Expansions-/Kompressionsbögen im Vergleich zu SARPE- und labialen Straightwire-Apparaturen keine stärkeren Kippungen auftreten.12 Eine transversale nichtchirurgische Korrektur mit VILA und Expansions-/Kompressionsbögen führte nachweislich nicht zu unerwünschten Kippungen im Seitenzahnbereich, sondern zu primär translatorischen Zahnbewegungen in labiolingualer Richtung. Dies wird durch die ausgezeichnete Torquekontrolle mit VILA ermöglicht, die ein vorteilhaftes alveoläres Remodelling generiert.25–29 Bei den okklusalen Kontakten konnte am Ende der Behandlung mit einem durchschnittlichen Wert von 1,4 in der Kreuzbissgruppe und von 1,5 in der Nicht-Kreuzbissgruppe kein statistisch signifikanter Unterschied zwischen den beiden Gruppen festgestellt werden (p > 0,05; Tab. 4–6). In den meisten Fällen hatte in beiden Gruppen nur ein Zahn keinen perfekten Kontakt zu seinem Antagonisten, was auf eine ausgezeichnete Interdigitation nach der Behandlung hindeutet. Durch die kontrollierte transversale Korrektur in beiden Kiefern konnten offensichtlich Vorkontakte an „hängenden palatinalen Höckern“ der oberen Seitenzähne gezielt vermieden werden.11

Der Unterschied in der durchschnittlichen Behandlungsdauer spiegelt den unterschiedlichen Schweregrad der Malokklusionen in beiden Gruppen wider. Obwohl die Mehrheit der Kreuzbisspatienten auch sagittale Diskrepanzen aufwies (50% Klasse II-Patienten und 12,5% Klasse III-Pa­tienten), waren die Qualität der erzielten Okklusion mit denen der Nicht-Kreuzbiss­patienten vergleichbar (p < 0,05; Tab. 36 und Abb. 4). Dies steht im Einklang mit früheren Studien zur Qualität von Behandlungen mit VILAs.11–13, 17–20, 25–27, 29–37

Beim Vergleich der in der vorliegenden Studie erzielten Ergebnisse mit denen anderer sogenannter ästhetischer kieferorthopädischer Apparaturen, z.B. den Alignern, zeigt sich, dass die Fähigkeit letzterer, eine signifikante Veränderung der transversalen Dimension zu bewirken, sehr begrenzt ist. Tatsächlich zeigen die meisten Studien, dass zudem die geringe Erweiterung des Oberkiefers primär Kippungen sind, da Aligner keine transversalen körperlichen Bewegungen im posterioren Bereich bewirken können.38–45 Die Studien zeigen zudem, dass die ohnehin schon geringe Effizienz bei der transversalen Korrektur nach posterior noch weiter nachlässt, und bei den zweiten Molaren so gut wie nicht vorhanden ist. Ein Aligner ist daher für die Korrektur eines uni- oder bilateralen posterioren Kreuzbisses bei Erwachsenen ungeeignet.38–45

Bild von einem Quotenzeichen
„Eine transversale Korrektur mit VILA in Kombination mit Expansions- und Kompressionsbögen kann daher auch bei Erwachsenen mit ausgeprägtem posterioren Kreuzbiss ein zielführendes Behandlungskonzept sein, wobei die erreichbare Expansion im Oberkiefer und die Kompression im Unterkiefer annähernd gleich groß sind.“

Langzeitstabilität und Retention

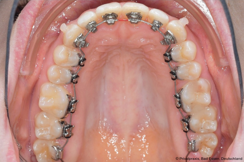
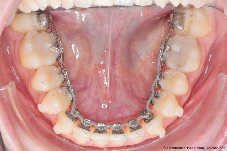
Es ist bekannt, dass eine gute Langzeitstabilität besonders dann erzielt werden kann, wenn hervorragende okklusale Ergebnisse im Bereich der Unterkieferfront festsitzend retiniert werden.15,16 Die Prognose der nachuntersuchten Patientenfälle sollte dann gut sein, wenn ein angemessenes und adaptiertes Retentionsprotokoll befolgt wird. In seinen Studien an der University of Washington sagte Little über die Bogenform: „Je größer die Veränderung während der Behandlung, desto größer die Tendenz zum Rückfall.“7 Dementsprechend kann eine Korrektur aus beiden Kiefern im Vergleich zur Expansion nur des Oberkiefers als prognostisch günstig angesehen werden. In denselben Studien riet Little außerdem, „die Bogenform langfristig zu erhalten und die Reaktion des Patienten bis ins Erwachsenenalter hinein und währenddessen weiterhin zu überwachen“.7 Eine Kombination aus festsitzenden Retainern mit rigiden herausnehmbaren Plattenapparaturen ist deshalb die Methode der Wahl (Abb. 8). Rigide Plattenapparaturen scheinen dabei den tiefgezogenen Retentionsschienen überlegen zu sein, da diese auch mit einer Ausdehnung über das Gaumendach nicht in jedem Fall ausreichend stabil sind.11 Ein weiteres Ziel in der Retentionsphase ist die Normalisierung der gestörten Zungenfunktion. Bei den rigiden Plattenapparaturen hilft die Aussparung am Gaumen der Zunge bei der Orientierung, was auch die Nasenatmung fördert.46–48 Eine unterstützende myofunktionelle Therapie ist in derartigen Fällen wünschenswert.49–52

Bild von einem Quotenzeichen
„Die in der vorliegenden Studie erzielte transversale Gesamtkorrektur ist mit den Korrekturen der bekannten chirurgischen Vorgehensweisen wie SARPE oder MARPE vergleichbar und stellt deshalb eine interessante nichtinvasive Alternative zu den genannten chirurgischen Konzepten dar. Viele Patienten werden diese Option nach einer umfassenden Aufklärung seitens des Behandlers als vorteilhaft bewerten.“

Schlussfolgerungen

Mithilfe von Expansions- und Kompressionsbögen einer vollständig individuellen lingualen Apparatur können seitliche Kreuzbisse bei erwachsenen Pa­tienten zuverlässig überstellt werden. Eine dementsprechende nichtchirurgische Therapie führt nicht zu einer Qualitätsminderung der erzielten Okklusion. Die mit diesem Konzept erzielte Okklusionsqualität war im Vergleich zu Ergebnissen bei einfacheren Ausgangssituationen nicht nur ebenbürtig, sondern insgesamt genauso hochwertig.

Erstveröffentlicht in: International Orthodontics, 23 (3), September 2025, 101040.

Literaturliste

Weitere Autoren: Dr. Heike Siekmann, Dr. Pierre Canal, Dr. Patrick F. Foley und Dr. Jonas Q. Schmid

KN Kieferorthopädie Nachrichten 11/25

KN Kieferorthopädie Nachrichten


Dieser Fachbeitrag ist in den KN Kieferorthopädie Nachrichten erschienen.

Die KN Kieferorthopädie Nachrichten sind das monatliche Fachmedium für Kieferorthopäden. Im Fokus stehen standespolitische Themen, wissenschaftliche Fachinformationen und internationale Fortbildungen. Beiträge von Experten aus aller Welt vermitteln praxisnah aktuelle Trends, Innovationen und gesundheitspolitische Entwicklungen. Nach dem Prinzip „vom Spezialisten für den Spezialisten“ unterstützen die KN den Wissensaustausch, sichern Qualität und tragen maßgeblich zum Erfolg der Branche bei.

Jetzt das ePaper lesen.

Mehr Fachartikel aus Kieferorthopädie

ePaper