Oralchirurgie 22.02.2022

S-förmige Wurzelangulation durch einen retinierten überzähligen Zahn



S-förmige Wurzelangulation durch einen retinierten überzähligen Zahn

Foto: Dr. Mark Plachtovics, PhD, Dr. Jörg Matschke

Auswirkungen auf einen unteren ersten Molar

Bei Wurzelkanalbehandlungen ist das A und O, Anzahl und Verlauf der zu therapierenden Kanäle zu kennen. DVT-Aufnahmen helfen hier sehr oft weiter. Jeder Zahnarzt will natürlich selbst kompliziert verlaufende Wurzelkanalsysteme erfolgreich behandeln, um die Schmerzen des Patienten zu lindern – vor allem, wenn er Spezialist der Endodontie ist. Im Laufe der Karriere können dabei auch immer wieder sehr ungewöhnliche Anatomien auftauchen. In der folgenden Falldarstellung werden Röntgenaufnahmen eines unteren ersten Molarzahns mit einer interessanten Wurzelangulationform gezeigt.

Falldarstellung

Anamnese und Diagnostik

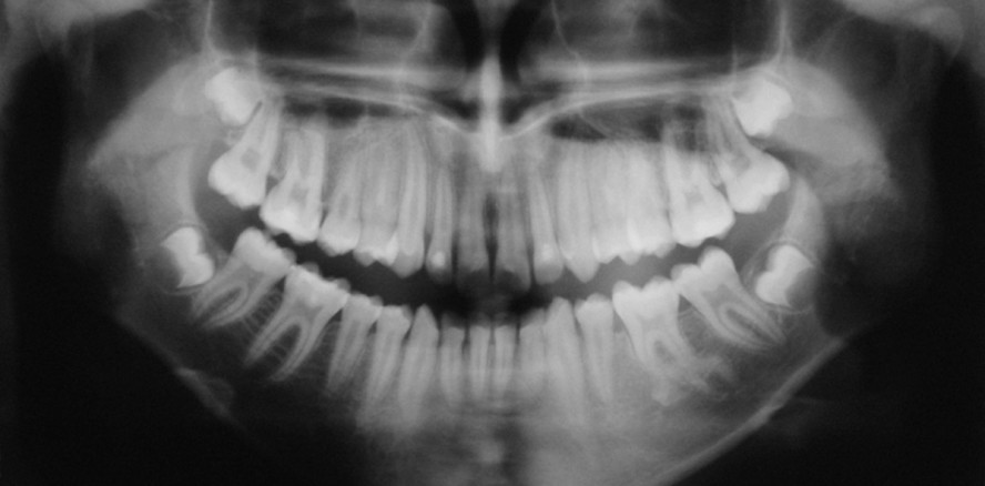
Ein 17-jähriger Patient stellte sich in Begleitung seiner Eltern mit einer Überweisung zur Weisheitszahnentfernung in der Fachpraxis für Oralchirurgie vor. Die angefertigte Panoramaschichtaufnahme zeigte als Zufallsbefund eine dichte Verschattung im periardikulären Bereich des Zahns 36 (Abb. 1).1, 2 Der Patient gab keine Beschwerden an und war klinisch symptomlos. Die Sensibilitätsprobe war ohne Auffälligkeiten und die Anamnese ergab keinen Hinweis auf ein Trauma. Zur weiterführenden Diagnostik und zum Ausschluss einer malignen Knochenveränderung erfolgte eine dreidimensionale Bildgebung.1, 3–7 Zum Erstellen der Diagnose und um die Strahlenbelastung niedrig zu halten, wurde zuerst eine kleinvolumige digitale Volumentomografie (DVT) angefertigt (FOV 50 x 37 mm).3–8 

Wie die Abbildungen 2 und 3 zeigen, bildet die im Panoramaröntgenbild dargestellte Verschattung (wolkige mineralisierte Strukturverdichtung im periapikalen Bereich) einen überzähligen rudimentär retinierten Zahn in Situs inversus ab.4, 6, 7 Es zeigte sich eine s-förmige Wurzeldilazeration an beiden Wurzeln mit einer Angulation des mittleren Drittels nach distal und des basalen Drittels nach kaudal. Ein Trauma, retinierter überzähliger Zahn oder Odontom kann die Form eines Zahns während des Wachstums beeinträchtigen. Diese Änderung beider Wurzeln im vorliegenden Beispiel geht vermutlich auf diesen retinierten überzähligen Zahn und das spezielle Wachstum des Unterkiefers in dem Alter des jungen Patienten zurück (Abb. 3).5, 7, 9–11 Wenn wir die S-Form dieser zwei Wurzeln sehen, wird einmal mehr deutlich, dass keine Computergrafiksoftware ein besseres Bild hätte liefern können.

Behandlungsoptionen

Einige Monate später wurden alle vier Weisheitszähne entfernt. Aufgrund des DVT-Befunds wurde allerdings der überzählige retinierte Zahn belassen. Der Patient wurde jedoch ausführlich über die Kariesprävention aufgeklärt, denn kein Endodontologe kann solche Zahnwurzeln komplett und ganz dicht bis zum Apex ausfüllen. Bei einer Zerstörung des Zahns 36 mit einer Pulpabeteiligung kann nach heutigem technischen Standard eine maschinelle Wurzelaufbereitung mit thermoplastischer Wurzelkanalfüllung eine gute Vorbereitung für eine vermutlich unumgängliche Wurzelspitzenresektion sein. Die dabei nicht erreichten Wurzelkanalanteile können unmittelbar nach der Wurzelkanalbehandlung therapiert werden. Hierbei kann ein apikaler Verschluss mit MTA oder Biodentin eine sinnvolle Ergänzung sein. Eine optionale photodynamische Laserdekontamination kann die Erfolgsprognose zusätzlich erhöhen.1, 12

Fazit

Das hier dargestellte Beispiel zeigt, dass komplexe Wurzelstrukturen eine genaue Überwachung und langfristige Therapieplanung brauchen. Für Zahn 36 wären zudem aufgrund des überzähligen Zahns im Fall einer Erkrankung mehrere Behandlungsoptionen möglich. Es muss weiterhin beobachtet werden, wann dieser Zahn zu einem klinischen Problem für das Gebiss des jungen Patienten werden könnte.

Literaturliste

Dieser Beitrag ist im Oralchirurgie Journal erschienen.

Produkte
Mehr Fachartikel aus Oralchirurgie

ePaper