Parodontologie 21.10.2016

Kompakt und effizient für die Weichgewebechirurgie



Kompakt und effizient für die Weichgewebechirurgie

Foto: © Autor

Unter dem Aspekt „Time is Money“ sollten Arbeitsweisen im Praxisalltag kritisch hinterfragt werden.

Gefragt sind innovative Lösungen, die Zeit einsparen, Kosten senken und zusätzlich am besten noch den Patientenkomfort sowie das Behandlungsergebnis verbessern. Einen entscheidenden Beitrag kann hier das kostengünstige hf Surg (Hager & Werken) leisten.

Das hf Surg ist der „kleine Bruder“ von den im chirurgischen Klinikalltag täglich verwendeten und bewährten Hochfrequenzchirurgiegeräten (HF) der letzten Generation. Längst sind die Zeiten vorbei, in denen Patienten unangenehme Nebenwirkungen dieser Technologie ertragen mussten. Leider sind dieser Mythos und einige Altgeräte immer noch in vielen Praxen präsent. Neueste Geräte wie das hf Surg arbeiten mit Frequenzen von 2 MHz und liegen damit im gleichen Frequenzbereich wie der deutsche Rundfunk. Ich habe bei Anwendung moderner HF-Geräte weder Patientenbeschwerden erhalten noch sonstige Nachteile feststellen können. Im amerikanischen Raum wird hier der Ausdruck „radio surgery“ genutzt, der wesentlich freundlicher klingt.

Die HF-Technologie ist einfach und klinisch bestens erprobt. Eine dünne Elektrode aus einer speziellen Metalllegierung leitet elektromagnetische Wellen ins Gewebe. Hierdurch platzen – auf makroskopischer Ebene – die Gewebezellen, was sich nach außen als minimalinvasiver Schnitt darstellt. Dieser Schneidevorgang erfolgt absolut drucklos und ermöglicht ein präzises und nahezu athermisches Schneiden von Weichgewebe. Das speziell beim hf Surg mitgelieferte Handstück ist extrem leicht und hat eine hervorragende Haptik, mit der auch die Eindringtiefe exakt bestimmt werden kann.

Zeit sparen

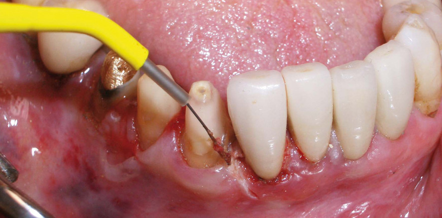
Leider wird modernes Praxismanagement immer mehr durch regulatorische Anforderungen belastet. Wir sehen uns gezwungen, immer mehr in weniger Zeit erledigen zu müssen. Jede Minute, die wir mit insuffizientem Werkzeug verlieren, ist eine zu viel. Das hf Surg arbeitet zuverlässig und schnell; meiner Einschätzung nach nicht nur ca. zwanzig Mal schneller als ein Laser, sondern auch wesentlich schneller als ein Skalpell (Abb. 1 und 2).

Der Laser hat in vielen Bereichen seine Daseinsberechtigung; bei der Weichgewebschirurgie ist er jedoch vielfach unterlegen. Während der Laser nur schichtweise abtragen kann, erfolgt der Schnitt bei der HF über die gesamte eingeführte Diodenlänge gleichzeitig. Auch Skalpelle bzw. andere Instrumente haben ihre Einschränkung und jeder kennt die Problematik, dass diese mit der Zeit stumpf werden und ein Instrumentenwechsel – womöglich noch während des Eingriffs – notwendig wird. Dies ist nicht nur ärgerlich, sondern auch zeit- und nervenraubend.

Die Elektrode dagegen bleibt immer und jederzeit „scharf“ (Abb. 3). Spätestens die zusätzliche Koagulationsmöglichkeit des hf Surg möchte ich nicht mehr missen. Hierdurch ist ein Schneiden mit gleichzeitiger Blutstillung möglich. Das Arbeitsfeld bleibt blutarm und ermöglicht ein freies Sichtfeld für eine schnellere und übersichtlichere Behandlung. Dies ist meiner Erfahrung nach besonders bei Gingivoplastiken, beim Beseitigungen von Hyperplasien, Freilegen von Zähnen, bei der Blutstillung vor Abdrucknahme, der Darstellung eines Sulkus und vielen anderen Indikationen hilfreich (Abb. 4).

Kosten sparen

Nicht nur Einwegskalpelle kosten Geld, sondern auch die konventionellen Mittel zum Stillen einer übermäßigen Blutung. Dank der integrierten Koagulationsfunktion beim hf Surg lassen sich Wunden während des Schneidens sekundenschnell veröden.

Beeindruckend sind die sauberen Schnittränder und wie präzise Schnitte auch eng aneinandergelegt werden können. Im Gegensatz zu den Skalpellen lassen sich die HF-Elektroden entsprechend der Indikation individuell anpassen. Der formstabile Draht kann entsprechend des Anwendungsbereiches zurechtgebogen werden. Der mitgelieferte Schlingenaufsatz eignet sich z. B. optimal zur Entfernung von Schleimhautkapuzen im 8er Bereich oder von Fibromen (Abb. 5 und 6). Die Vielfalt an möglichen Elektrodenaufsätzen lässt keine Wünsche offen (Abb. 7). Am Rande sei hier auch einmal die Gefahr von Stichverletzungen angemerkt, die von konventionellen Instrumenten bzw. Skalpellen ausgeht. Die HF-Elektrode ist immer nur dann „scharf“, wenn der Fußschalter betätigt wird. Die Elektroden sind autoklavierbar und sehr langlebig. Daher sind sie langfristig nicht nur die umweltfreundlichere, sondern auch kostengünstigere Alternative.

Patientenkomfort und Behandlungserfolg

In den meisten meiner Behandlungsfälle war nach dem Einsatz von HF keine Naht notwendig, da ich eine direkte Antikoagulation durchführen konnte. Die verkürzte Behandlungszeit freut nicht nur uns, sondern auch den Patienten, besonders bei chirurgisch aufwendigeren Arbeiten. Im Vergleich zu anderen Behandlungsmethoden lässt sich auch ein schnellerer Heilungsprozess – meist schon nach 72 Stunden – feststellen. Die schmerzarme Behandlung und das ästhetische Ergebnis überzeugen.

Zusammenfassend lässt sich festhalten, dass der Erhalt der Gewebespannung bzw. ein nekrosearmes Schneiden bei gleichzeitiger optionaler Koagulation eine bessere und schnellere Behandlung ermöglicht. Das kleine und handliche Gerät lässt sich auch mobil zwischen den Behandlungsräumen einsetzen. Auch ich hatte vorher meine Zweifel und habe die Gelegenheit genutzt, mir das Gerät einmal persönlich vorführen zu lassen, bevor es zu einem festen Bestandteil meines Praxisalltages wurde.  

Mehr Fachartikel aus Parodontologie

ePaper