Parodontologie 14.05.2013

Parodontitis bei Patienten 50+

Der Erfolg, bei Parodontitis den Zahn zu erhalten, stellt sich langfristig nur ein, wenn medizinische Schritte in der Praxis unternommen werden.

Wurde eine Parodontitis diagnostiziert, empfiehlt es sich, den Patienten dahingehend zu sensibilisieren, dass diese Krankheit ernst zu nehmen ist und regelmäßig medizinisch behandelt werden muss, um die Zähne langfristig zu erhalten. Dafür sollten Sie dem Patienten ausführlich er­klären, was Parodontitis ist, und auf den Zusammenhang zwischen dieser Krankheit und Folgeerkrankungen wie Herzinfarkt und Schlaganfall verstärkt verweisen. Insbesondere ältere Patienten werden bei diesen sensiblen Themen sehr aufmerksam und lassen sich stärker involvieren.
 

Zahnerhalt = Lebensqualität

Es gilt, gerade die Patienten 50+ von regelmäßigen Prophylaxebehandlungen zu überzeugen, die entweder altersbedingt Schwierigkeiten bei der Zahnpflege entwickeln oder bereits haben. Darüber hinaus gibt es jene Patienten, die sich an schleichende Krankheitssymptome gewöhnen, die sie dem Alterungsprozess zuordnen und entsprechend ihre Gewohnheiten ändern. Diese können Auswirkungen auf Wohlbefinden und Gesundheit haben, wenn sie z.B. lieber zum Weißmehlbrötchen greifen, weil das Vollkornbrötchen nicht mehr kaubar ist. In die Jahre ­gekommenen Patienten wird es immer bewusster, dass Zahnerhalt auch Lebensqualität bedeutet. Genau hier können Sie als Zahnarzt oder Helferin im Gespräch mit den Patienten ansetzen, denn die Rentner werden immer rüstiger und nehmen aktiv am Leben teil.

Effektiv ohne belastende OP und Antibiotika

Hemmungen, seinen Patienten Selbstzahlerleistungen zu offerieren, sind fehl am Platze. Gespräche, die auf die Bedürfnisse des Patienten ­eingehen, helfen Ihrem Patienten bei der Entscheidungsfindung. Sprechen Sie mit ihm, warum gerade diese Behandlung für ihn von größtem Nutzen ist. Wenn der Patient verstanden hat, worum es geht, und dies die beste Versorgung für ihn ist, fällt es ihm viel leichter, die Verantwortung und die Kosten für die Leistung zu übernehmen.
 

Ein Beispiel

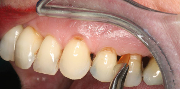
Ein Patient hat tiefe Zahnfleischtaschen, die Sie mit PerioChip zu ­behandeln empfehlen, da der Chip keine Antibiotika enthält, hochkonzentriertes Chlorhexidin sehr gut ­gegen paropathogene Keime wirkt, allgemein verträglich ist und kaum Nebenwirkungen oder Wechselwirkungen mit anderen Medikamenten zeigt. Unser Tipp: Mit Intraoralkameras z.B. können Sie den Befund zeigen und dem Patienten dabei ruhig und verständlich erklären, was passiert, wenn er keine Behandlung bekommt, und welchen Nutzen es für ihn hat, Ihren Vorschlag zu akzeptieren. Sollte er noch Bedenkzeit wünschen, so lassen Sie sich zu Ihrer eigenen Sicherheit von Ihrem Patienten unterschreiben, dass Sie ihn aufgeklärt und Behandlungs- und Therapiemöglichkeiten besprochen haben. Geben Sie ihm Informationsbroschüren z.B. vom Hersteller mit nach Hause.
Patienten,   die   die ­Zusammenhänge schnell begreifen und an einer ­sofortigen   Behandlung in­teressiert sind, ist besser geholfen, den PerioChip sofort nach der Reinigung zu applizieren. Alles Weitere erledigt das 36 Prozent hochkonzentrierte Chlorhexidin direkt am Entzündungsherd. Der Chip wird lokal mit einer Pinzette appliziert und löst sich innerhalb von sieben bis zehn Tagen vollständig auf. Er gibt dabei das Chlorhexidin im Slow-Release-Verfahren an die Tasche ab. Eine äußerst komfortable ­Lösung, zumal die Tasche bis zu elf Wochen keimfrei bleibt, während sich das Zahnfleisch regeneriert und der Zahn so stabilisiert wird. Diese Behandlung kann auch als Intensiv-kur angewandt werden, um tiefe ­Taschen innerhalb von acht Wochen ohne belastende Operation oder Antibiotika in den Beobachtungs­status zu heben (siehe http://onlinelibrary.wiley.com/doi/10.1111/j.1600-051X.2011.01779.x/pdf). Jede Zahnarztpraxis sollte sich zukünftig auf ein älteres Publikum einstellen. Schließlich wächst die Zielgruppe der über 50-Jährigen stetig an. Im gleichen Maße steigt auch der altersbedingte Behand­lungsbe­darf. Der Trend geht ten­den-ziell weg von der Vollprothese hin zu kombiniertem Zahnersatz. Der Dreh- und Angelpunkt ist jedoch, die Patienten schon in der Praxis medi­zinisch optimal zu versorgen und sie zu motivieren, ihre Recall-Termine regelmäßig wahrzunehmen. Idealerweise bietet man deswegen eine hochwertige und medizinisch optimale Systemprophylaxe z. B. als Gesamtkonzept an und knüpft diese an engmaschige Recall-Termine, sodass der Gang zum Zahnarzt einfach in den Alltag integriert wird. Das klare Ziel ist der langfristige Funktionserhalt jedes Zahnes in ­jedem Alter.

Autorin: Barbara Malik

Mehr Fachartikel aus Parodontologie

ePaper