Parodontologie 05.01.2026

Nichtchirurgische Therapie tiefer PA-Defekte mit NaOCl-Gel und vernetzter Hyaluronsäure



Selbst wenn Patienten die postoperativen Mundhygieneanweisungen strikt befolgen und die geplanten Sitzungen zur unterstützenden Parodontitistherapie (UPT) wahrnehmen, können anhaltende Entzündungen und tiefe Zahnfleischtaschen auftreten. Der folgende Artikel beschreibt anhand eines Fallberichts eine therapeutische Methode zur nichtchirurgischen Parodontitisbehandlung von sehr tiefen residualen Taschen mittels einer gründlichen subgingivalen Instrumentierung der betroffenen Bereiche.

Nichtchirurgische Therapie tiefer PA-Defekte mit NaOCl-Gel und vernetzter Hyaluronsäure

Foto: Viktoriya Plyeshakova

Vor der Instrumentierung wird ein Reinigungsgel aus Aminosäure-gepuffertem Natriumhypochlorit in die Tasche eingebracht. Dieses bewirkt eine deutliche Reduktion der Bakterienpopulation und erleichtert sowohl die Entfernung von Biofilm als auch von infiziertem Granulationsgewebe. Nach der Instrumentierung wird vernetzte Hyaluronsäure eingebracht, um die Gewebereparatur zu fördern, die Heilung zu beschleunigen und so einen Schutz vor erneuter bakterieller Invasion der behandelten Stelle zu verhindern.

Das Clean & Seal-Konzept zeigt klinische Wirksamkeit bei der minimalinvasiven Behandlung tiefer parodontaler Taschen.

Subgingivale Instrumentierung unterstützt durch NaOCl-Gel und Hyaluronsäure

Eine gründliche subgingivale Instrumentierung stellt einen entscheidenden Schritt der Parodontitisbehandlung dar. Um eine effektive Entfernung von Biofilm und entzündlichem Granulationsgewebe zu gewährleisten, verwenden wir zum Scaling und zur Wurzelglättung bzw. zur minimalinvasiven Instrumentierung verschiedene Instrumente wie Gracey-­Küretten und Mini-Gracey-Küretten, Ultraschall- und Schallspitzen. Dennoch können Granulationsgewebe und Biofilmreste in tiefen Taschen und bei komplexer Wurzelanatomie verbleiben und so zu Rezidiven führen. Selbst durch mehrere subgingivale Instrumentierungen ist es oft nicht möglich, diese Taschen zu beseitigen.1, 2 Das einzige vorhersehbare Protokoll scheint ein chirurgisches Vorgehen mittels Lappenpräparation und Reinigung der Zahnoberfläche „unter Sicht“ zu sein.3 Dieser Eingriff ist allerdings auch kritisch zu bewerten, da er techniksensibel ist und von den Patienten zumeist nicht gewünscht wird.

Um das Instrumentierungsprotokoll zu verbessern und chi­rurgische Eingriffe zu vermeiden, verwenden wir vor und während der Instrumentierung ein Aminosäure-gepuffertes Na­triumhypochloritgel (Perisolv, Regedent GmbH). Es weicht das entzündliche Granulationsgewebe und die extrazelluläre Matrix des Biofilms auf, wirkt antimikrobiell und verbessert so die Effizienz des Debridements.4 Nach erfolgter Instrumentierung wird vernetztes Hyaluronsäuregel (xHyA – hyaDENT BG, Regedent GmbH) in die Tasche eingebracht. xHyA fördert bekanntermaßen die parodontale Heilung, reduziert Entzündungen und versiegelt so die Stelle gegen erneute Kon­ta­mination.5 Diese Behandlungssequenz wird als Clean & Seal-­Konzept bezeichnet.

Fallbericht

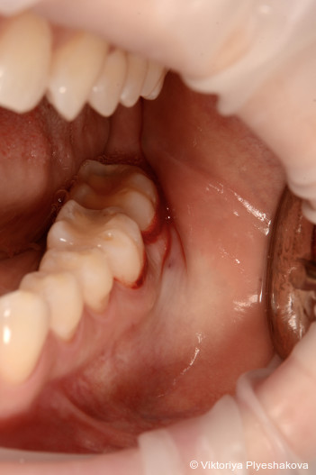
Eine 36-jährige Frau stellte sich in unserer Praxis vor und klagte über Zahnfleischbluten beim Zähne­putzen, vor allem im posterioren Bereich.

Rezidivierende Parodontitis nach Therapie

Die Patientin (ehemalige Raucherin) stand in den letzten Jahren unter erheblichem psychischem Stress. In dieser Zeit bemerkte sie eine deutliche Progression ihrer parodontalen Erkrankung. Sie hatte sich Monate zuvor einer nichtchirurgischen Parodontitistherapie sowie einer pa­rodontalen Lappenoperation im Bereich der Un­terkiefermolaren (46-47) unterzogen, die jedoch nur eine begrenzte Verbesserung gebracht hatten. Beim Sondieren wurde ein eitriger Ausfluss in den oberen Backenzähnen (17) festgestellt. Es zeigte sich generalisierte Plaque mit lokalisierten Zahnsteinablagerun­-gen. Die Pa­tientin war ansonsten allgemein gesund und hatte keine weiteren Beschwerden. Trotz der parodontalen Chirurgie in Regio 46 und 47 wurden lokalisiert erhöhte Sondierungstiefen von 6 bis 10 mm bei den Zähnen 17, 36-37 sowie 46-47 festgestellt. Inte­ressanterweise gab es keine Zahnbeweglichkeit außer Grad I bei Zahn 17. Zusätzlich wurde eine Furkationsbeteiligung Grad I bukkal an Zahn 17 beobachtet.

Ausgeprägter Knochenverlust in Molarenregionen

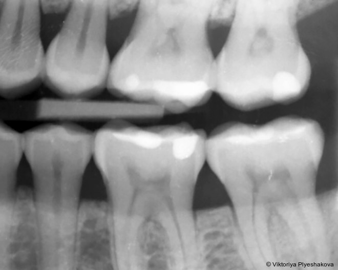
Periapikale Röntgenaufnahmen zeigten einen vertikalen/angulären Knochenverlust in den Regio­nen 16, 17, 36-37 und 46-47, der sich bis zum mittleren Drit­tel der Wurzeln erstreckte. Gemäß der Klassifikation der Parodontalerkrankungen von 2017 wurde eine lokalisierte Parodontitis – Sta­dium III (schwer), Grad C (schnelle Progression) diagnostiziert. Die Erkrankung war auf die Mola­renregionen mit Resttaschen > 6 mm begrenzt.

Behandlungsplan in drei Phasen

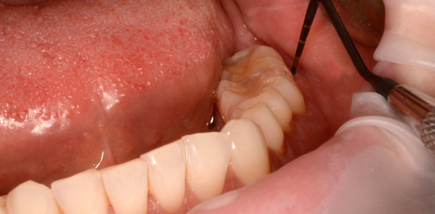
Der Behandlungsplan wurde in drei Phasen durchgeführt. In den Pha­­sen I und II wurden die Anweisungen zur Mundhygiene verstärkt, um die Plaquekontrolle zu verbessern, gefolgt von einem supra- und subgingivalen Debridement mit Ultraschall (mectron GmbH) und Hand­instru­menten (Gracey-Küretten). Das Hypochlorit-Reinigungsgel (Perisolv) wurde adjuvant vor und während der Instrumentierung appliziert. Nach erfolgter Instrumentierung wurde vernetzte Hyaluronsäure (hyaDent BG) in die Taschen eingebracht, um die Wunde zu stabilisieren und die Regeneration zu fördern. Nach sieben Tagen wurde eine erneute Applika­tion der vernetzten Hyaluronsäure vorgenommen, um den natürlichen Abbau zu kompensieren, eine sekundäre bakterielle Rekolonisation zu verhindern und einen verlängerten regenerativen Effekt zu erzielen. Die Phase III (Erhaltungsphase) umfasste eine unterstützende Parodontitistherapie alle drei Monate mit Verbesserung der Mund­hygiene und stetiger Überwachung der Sondierungstiefe und des Sondierungsblutens.

Nachuntersuchung

Bei der Nachuntersuchung nach drei Monaten war ein deutlicher Rückgang der Entzündung und der Sondierungsblutung zu verzeichnen. Die Sondierungstiefen wurden auf 3 bis 5 mm reduziert. Nach sechs Monaten wiesen alle behan­delten Stellen (17, 16, 36-37, 46-47) stabile Sondierungstiefen von ≤ 4 mm auf, ohne Zeichen von Sondierungsblutung oder Beweglichkeit. Die Röntgenkontrolle zeigte erste Anzeichen einer Knochenauffüllung in den zuvor betroffenen Bereichen. Die Patientin berichtete von verbessertem Wohlbefinden und Zufriedenheit.

Fazit

Dieser Fall zeigt die klinische Wirksamkeit des Clean & Seal-Konzepts als adjuvanter biologisch orientierter, minimalinvasiver Strategie zur Behandlung tiefer parodontaler Taschen. Die synergis­tische Wirkung des Hypochlorit-Reinigungsgels zur verbesserten subgingivalen Instrumentierung und der vernetzten Hyaluronsäure zur Versiegelung der Tasche fördert die parodontale Geweberegeneration.

Literatur

ZWP Zahnarzt Wirtschaft Praxis 11/25

ZWP Zahnarzt Wirtschaft Praxis


Dieser Beitrag ist in der ZWP Zahnarzt Wirtschaft Praxis erschienen.

Seit 32 Jahren ist die ZWP Zahnarzt Wirtschaft Praxis das führende Wirtschaftsmagazin für den Zahnarzt. Als General-Interest-Titel deckt sie das gesamte Spektrum der Praxisführung ab.

Das Wirtschaftsmagazin zählt mit seinen 12 Ausgaben im Jahr und einer Auflage von 40.800 Exemplaren zu den frequenz- und auflagenstärksten Titeln im deutschen Dentalmarkt. Zudem enthält jede Ausgabe das Supplement „ZWP spezial“, in dem besondere Themen vertieft werden.

Jetzt das ePaper lesen.

Mehr Fachartikel aus Parodontologie

ePaper