Zahntechnik 21.02.2011
Minimalinvasive Ästhetik durch adhäsive Zahnheilkunde
"Kleider ziehen Leute an und Zähne ziehen Gesichter an", nur lassen sich Kleider schneller wechseln, als sich das Lächeln eines Menschen verändern lässt. Immer wieder gibt es Patienten, die unzufrieden mit dem Aussehen ihrer Zähne sind, aber nicht wissen, woran es eigentlich liegt. Erst wenn der Mensch zum Patienten wird, kann das Problem gelöst werden.
Häufig schildern mir Patienten, dass sie sehr unglücklich über ihre künstlichen Zahnkronen sind. In dem Glauben, es ginge nicht besser, haben sie diesen Zustand jahrelang toleriert.
Die beiden folgenden Fallberichte schildern den Weg zu einem strahlenden Lächeln. Dazu bedarf es eines innovativen Behandlungskonzeptes und dem Einsatz zuverlässiger Materialien.
Die Diagnose
Im Patientengespräch stellten wir als Ursache der unbefriedigenden Ästhetik häufig metallkeramische Kronen fest, die aus heutiger Sicht nicht das Optimum einer zahntechnischen Arbeit darstellen. Aber auch die Gingiva ist infolge insuffizienter Kronenränder erkrankt. Und oft beeinträchtigen insuffiziente Kompositfüllungen das natürliche Erscheinungsbild der Schneidezähne. Nach der vorsichtigen Entfernung der Kronen ist erst das ganze Ausmaß der Erkrankung sichtbar. Eine gründliche Reinigung der Zähne, ein Deep Scaling und dicht abschließende Provisoriumsränder bringen die Gingivitis rasch zum Abklingen.

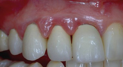
Abb.1: Gingivahyperplasien mit hoher Blutungsneigung, hervorgerufen durch abstehende Kronenränder. Kronen metallkeramisch.
Die Behandlungsplanung
Wir planen die zahnärztliche Behandlung in vier Abschnitten:
- Einen provisorischen Teil, in dem wir die alten Kronen entfernen und durch Langzeitprovisorien ersetzen.
- Einen parodontal-chirurgischen Teil, in dem wir ästhetische Korrekturen an der Gingiva vornehmen und die Gingiva anschließend abheilen lassen.
- Einen planerischen Teil, in dem wir die optimale Form der Frontzähne mit Komposit sowohl an den Provisorien als auch an den natürlichen Zähnen rekonstruieren. Dazu gehört auch das Bleichen der natürlichen Zähne und ggf. das Aufhellen von einer Farbe A3 auf die Farbe A2.
- Der letzte Teil der Behandlung in der restaurativen Phase schließt mit dem Eingliedern der definitiven Kronen ab. Selbstverständlich ist diese prothetische Versorgung metallfrei und bietet die heute schönste Ästhetik durch vollkeramische Restaurationen. Vor der Behandlung muss klar sein, wie und mit welchen Materialien gearbeitet wird. Wir entscheiden uns für die beschriebene Systematik und wählen Material aus dem Ivoclar Vivadent-Sortiment, das vor allem im adhäsiven und ästhetischen Bereich perfekt aufeinander abgestimmt ist.
Die Therapie
Der erste Teil der Behandlung ist der umfangreichste, denn nach der Entfernung alter metallkeramischer Kronen müssen auch alte Aufbaufüllungen entfernt werden, wenn Sekundärkaries vorliegt. Frontzähne bieten fast immer schlechte Retention für Aufbaufüllungen, weshalb wir diese adhäsiv verankern. Denn auf die Vorteile adhäsiv befestigter Stumpfaufbauten braucht heute nicht mehr verzichtet zu werden: MultiCore Flow ist aus einer selbstmischenden Kartusche einfach, genau und zeitsparend applizierbar. Außerdem sind zwei wesentliche Vorteile für den Praktiker entscheidend: Durch die niedrige Oberflächenspannung ist eine hohe Anflussfähigkeit in die Kavität und als Autopolymerisat eine vollständige Aushärtung innerhalb von fünf Minuten gewährleistet. Alternativ kann das Material aber auch lichtgehärtet werden. Die Wirtschaftlichkeit von MultiCore Flow ist deutlich höher als bei nonadhäsiven Stumpfaufbauten.
Die provisorische Versorgung
Nach der Präparation der Zahnstümpfe bildet die Erstellung der Langzeitprovisorien einen wichtigen planerischen Arbeitsschritt dar. Wir vereinfachen ihn uns, indem wir diesen durch die Vorbereitung von Eierschalenprovisorien weitgehend ins Labor verlegen. Denn der Zahntechniker kann sich mit seiner Arbeit über die Herstellung eines Wax-up und deren Umsetzung in farblich charakterisierte Provisorien dem ästhetischen Optimum sehr weit nähern. Der Behandler verkürzt damit die Behandlungszeit am Patienten, denn er braucht die Eierschalenprovisorien nur noch zu unterfüttern und erreicht damit bereits ein hochwertiges, ästhetisches Ergebnis.

Abb.2: Eierschalenprovisorien aus Systemp c&b aus dem Labor. Die für das Provisorium bestimmten Zähne werden mit einem Silikonwall ummantelt und in einer Stärke von 1mm beschliffen. Nach dem Isolieren der Gipsstümpfe wird der Silikonwall mit Systemp c&b aufgefüllt und auf dem Modell reponiert. Im Mund des Patienten wird das hauchdünne Eierschalenprovisorium nur noch mit Systemp c&b unterfüttert und auf die isolierten Zahnstümpfe gepresst. Die Ausarbeitung des ausgehärteten Provisoriums geschieht wie gewohnt mit Fräsen und Scheiben.
Dazu braucht der Behandler ein Material, das nicht nur einfach zu verarbeiten ist, sondern eine hohe Stabilität und Ästhetik aufweist. Das Provisorium unserer Wahl wird aus Systemp c&b gefertigt: Es verbindet sich außerordentlich gut mit bereits polymerisiertem Material und lässt sich deshalb ideal unterfüttern. Aber auch andere Komposite aus der Ivoclar Vivadent-Produktfamilie lassen sich nachträglich an Systemp c&b anfügen, wie z.B. Artemis oder Tetric EvoCeram, um die Ästhetik zu verbessern und um die Form oder Bisslage zu verändern.Gegenüber provisorischen Materialien auf BisGMA-Basis anderer Hersteller zeichnet sich Systemp c&b durch seine lange Gelphase während des zweiminütigen Abbindevorganges aus: Das Material ist schon nach ca. einer Minute Verarbeitungszeit so fest, dass es einerseits von den Zahnstümpfen abgenommen werden kann, ohne einzureißen. Andererseits ist es dann noch so gummielastisch, dass es sich aus Unterschnitten an approximalen Nachbarzähnen oder aus Pfeilerdivergenzen mühelos entfernen lässt. Systemp c&b ist nicht so spröde wie andere Materialien, es reagiert relativ elastisch, und sollte es doch einmal brechen, ist eine Reparatur einfach, dauerhaft und jederzeit mit Artemis, Tetric EvoCeram oder Tetric EvoFlow möglich. Gute hygienische Verhältnisse begünstigen den Erfolg in der anschließenden gingivoplastischen Phase. Der Ersatz insuffizienter Kronenränder durch optimal passende Provisorien führt zu einem spontanen Abheilen prothetisch induzierter Parodontalerkrankungen.
Seitenanfang
Die gingivoplastische Phase
In diesem Zusammenhang kann es im parodontal geschädigten Gebiss nach Abheilung und Straffung der Gingiva zum Entstehen ästhetisch nachteiliger, so genannter „schwarzer Dreiecke“ kommen. Verlagert man den Interzervikalpunkt der Provisorien auf die Höhe der Gingiva, so lässt sich ein gewisses „Papillenwachstum“ erzeugen. Dieser Vorgang erfolgt am Provisorium additiv durch ein hochvisköses Komposit, das sich sehr gut „anmodellieren“ lässt, wie z.B. Tetric EvoCeram. Füllt die Papille einige Wochen später das interzervikale Dreieck aus, so kann dieses weiter frei geschliffen und das Papillenwachstum erneut in die Höhe getrieben werden.

Abb.3: links: 6 Monate nach der Behandlung hat sich die Gingiva regeneriert. Durch Anlagerung von weiterem Komposit an den mesialen und distalen Approximalflächen der Provisorien wird allmählicher Verschluss der interzervikalen Dreiecke erreicht. Tetric Ceram kommt zur Anwendung aufgrund großer Standfestigkeit und weil es die Gingiva verdrängen kann, denn erst im Mund wird das Komposit ausgehärtet. Wird dadurch der Approximalkontakt in den gingivalen Bereich verlegt, lässt sich ein gewisses Papillenwachstum bzw. die Einlagerung der Gingiva in den Zahnzwischenraum erzielen.
Bleaching
Ist die Gingiva vollständig abgeheilt, so beginnen wir mit dem Bleichen natürlicher Einzelzähne. Das Applizieren des Bleichmittels über eine Bleichschiene ist dabei vielen Patienten zu aufwendig. Diesem Umstand kommt das neue VivaStyle Paint On Plus entgegen, denn es ermöglicht das selektive Bleichen einzelner Zähne im Home-Bleaching-Verfahren.
Dabei kann der Patient den Bleichlack selbst mit einem Pinsel direkt auf den zuvor getrockneten Zahn auftragen. Nach 30 Sekunden ist der Lack angetrocknet, er ist wasserunlöslich und erscheint dann mattweiß. VivaStyle Paint On Plus enthält in Lösung 6% Wasserstoffperoxid. Nach dem Abtrocknen kommt eine ca. fünfmal höhere Konzentration zur Wirkung. Der Lack sollte dann zehn Minuten einwirken, sodass der freigesetzte Sauerstoff die Verfärbungen schonend aufhellen kann. Anschließend wird er mit einer Zahnbürste abgebürstet.
Ein- bis zweimal am Tag können die Zähne auf diese Weise gebleicht werden, bis die gewünschte Zahnaufhellung in ein bis zwei Wochen erreicht ist. In unserem Patientenfall dauerte der Bleichvorgang ungefähr zwei Wochen. Der Vorteil von VivaStyle Paint On Plus liegt in der angenehmen und bequemen Integration in den Tagesablauf. Es ist eine sehr kostengünstige Variante, weil die individuelle labortechnische Anfertigung der Bleichschienen entfällt. Es ist ein zeitgemäßes Bleichverfahren, das in meiner Praxis die Behandlungszeit auf eine Beratung mit einmaliger Demonstration der Anwendung beschränkt.
Das Bleichen des Zahnes 21 erfolgte mit VivaStyle. Aber auch die Zahnlänge und Zahnform sowie seine Oberfläche werden optimiert. Diese Anforderung können wir durch ein direktes Komposit-Veneer erfüllen, wodurch auch die Inzisalkante etwas verlängert wird. Dazu ist ein hoch ästhetisches Komposit erforderlich, das den optischen Eigenschaften des natürlichen Zahnschmelzes sehr nahe kommt. Artemis erfüllt mit seinen natürlich fluoreszierenden und sehr gut polierbaren Kompositmassen diese Anforderungen. Wir tragen das direkte Veneer dünn (Schichtstärke < 1mm) auf den Zahnschmelz auf. Die Ausarbeitung des direkten Veneers sollte sich auf das Entfernen von Randüberschüssen beschränken, um die Makro- und Mikrostruktur zu erhalten. Mit Hartmetallfräsen (Komet H48 LF 314 012, GEBR. BRASSELER) im niedrigen Drehzahlbereich ohne Wasserkühlung behält man am besten den Überblick. Eine sehr schöne Oberflächenpolitur erreichen wir anschließend mit den Astropol-Polierkörpern grau, grün und rosa. Auch hier wird im niedrigen Drehzahlbereich ohne Wasserkühlung am vorsichtigsten und sorgfältigsten gearbeitet, denn es soll die Oberflächenstruktur im Komposit erhalten bleiben. Die Zähne 13–11 und 22–23 werden mit dem IPS e.max-System rekonstruiert, wie bereits in dem vorangegangenen Patientenfall beschrieben wurde.

Abb.4: Genau ein Jahr nach dem Beginn der Behandlung konnten die Zahnstümpfe 13–11 mit Vollkeramikkronen aus IPS e.max rekonstruiert werden. Die Zementierung erfolgte adhäsiv mit Multilink Automix. Die Zähne 21–22 wurden mit VivaStyle Paint On Plus gebleicht und der Eckenaufbau an Zahn 21 konnte mit Artemis durch Ausgestaltung der mesialen Schmelzleiste wiederhergestellt werden. Rechts unten: Zwei Monate nach dem Eingliedern der Vollkeramikkronen hat sich die Gingiva reizfrei an die Keramikflächen anlagern und die Interzervikaldreiecke vollständig ausfüllen können.

Abb.5: Ein anderer Fall: Die metallkeramischen Kronen 12–11 und 22–23 sind in ihrer Form, Farbe, Keramikschichtung und Randgestaltung unbefriedigend gewesen. Aber auch der Zahn 21 hat eine erhebliche Disharmonie der Frontzahnlinie verursacht, denn sein ungünstiges Breiten-Längen-Verhältnis ließ den Zahn zu kurz und zu breit erscheinen. Der Gingivalsaum verlief zu weit koronal und er ist nicht symmetrisch zu Zahn 11. Störend war für die Patientin die Zahnfarbe. Ebenfalls war die Textur der Schmelzoberfläche durch eine labiale Kompositfüllung zu glatt. Da der Zahn 21 nicht weiter erkrankt ist, wird dieser nicht beschliffen und nicht überkront. Zähne 22–11 bekamen Eierschalenprovisorien. Die provisorisch-planerische Phase wurde abgeschlossen mit der chirurgischen Kronenverlängerung des Zahnes 21 für ein günstigeres Längen-Breiten-Verhältnis.
Seitenanfang
Die definitive Restauration mit vollkeramischen Kronen
Für die Umsetzung der Provisorien in Vollkeramik habe ich mich für die IPS e.max-Kronen (IPS e.max Press, verblendet mit IPS e.max Ceram) entschieden, weil sie alle Vorteile in sich vereinigen. Das System ermöglicht höchste ästhetische Ansprüche bei einer extrem guten Passung. Daneben ist es im Vergleich zu anderen Systemen sehr wirtschaftlich und leicht zu verarbeiten, denn das Keramikgerüst wird wie ein Metallgerüst modelliert und ohne Veränderung in der Dimension gepresst. Das homogene Material lässt sich einfach bearbeiten und gut polieren, es zeichnet sich durch eine hohe Standfestigkeit und natürliche Opaleszenz aus. Teure Zusatzgeräte wie in der CAD/ CAM-Technologie sind nicht erforderlich.
Das adhäsive Zementieren
Zum Einsetzen von der gepressten IPS e.max haben wir uns für das adhäsive Befestigungskomposit Multilink Automix entschieden. Es ist selbsthärtend mit optionaler Lichthärtung und wird zusammen mit dem selbstätzenden Primer A/B angewendet. Durch den Multilink-Primer wird das Dentin ebenfalls versiegelt und ein guter Randschluss bei einem dauerhaften Verbund und hohen Haftkräften erzielt.
Die Vorbereitung des Zahnstumpfes ist denkbar einfach, denn nach dem Reinigen und Trocknen des Dentins braucht der Multilink-Primer nur aus den Flüssigkeiten A und B angemischt und mit einem Microbrush auf die Zahnoberfläche aufgetragen werden, wo er 15–30 Sekunden einwirken sollte, bevor er verblasen wird. Der Vorteil des Multilink-Primers liegt darin, dass eine Dentinätzung und Lichthärtung in Pulpennähe nicht erforderlich ist.
Die Lithium-Disilikat-Vollkeramik IPS e.max wird auf der Innenseite 60 Sekunden mit IPS-Keramik-Ätzgel (Flusssäure) geätzt, dann mit Wasser gespült und mit Luft getrocknet. Die so behandelte Keramikoberfläche wird mit dem Silan Monobond-S eingepinselt, das 60 Sekunden einwirken und dann verblasen werden muss.
Das Befestigungskomposit wird aus der Doppelschubspritze mit Automix-Kanüle in die Krone eingebracht. Die Verarbeitungszeit bei 23 Grad Celsius und die Aushärtungszeit im Munde betragen jeweils ca. 180 Sekunden. Nach dem Entfernen der Überschüsse beim Einsetzen sollte ein Airblocker, z.B. Liquid Strip, aufgetragen werden, um die Bildung einer Inhibitionsschicht zu verhindern. Selbstverständlich kann IPS e.max auch selbstadhäsiv oder konventionell mit einem Glasionomerzement, wie Vivaglass CEM, eingesetzt werden. Bei Verwendung von Glasionomerzementen wird jedoch auf das Silanisieren verzichtet. Dann empfiehlt sich eine vorherige Desensibilisierung der Dentinwunde, z.B. mit Systemp Desensitizer, um postoperative Sensivitäten zu verhindern.
Schlussbetrachtung
Ästhetische Zahnheilkunde ist für mich in der Regel auch adhäsive Zahnheilkunde. Das Sortiment von Ivoclar Vivadent umfasst diese beiden Säulen. Zum einen weisen viele Materialien gleich hohe optische Qualitäten, wie Opaleszenz, Transparenz und Fluoreszenz auf. Auf der anderen Seite sind die adhäsiven Materialien so aufeinander abgestimmt, dass sie sich perfekt miteinander kombinieren lassen können: kompatibel sind zum Beispiel die Produkte aus der Tetric-Familie mit Systemp c&b. Konsequenterweise gehören zu diesem Programm auch die Zahnaufhellungsmittel VivaStyle und das moderne VivaStyle Paint On Plus. Ästhetische Restaurationen stellen höchste Ansprüche an Material und Behandler, denn das Erreichen des zahnmedizinischen Behandlungszieles muss sicher, vorhersagbar und für die Umwelt unbemerkt vonstatten gehen. Um Misserfolge zu vermeiden, sind ein Behandlungskonzept und ein Materialsortiment erforderlich, die perfekt aufeinander abgestimmt sind.
Autor: Dr. Jan-Willms Harders
Seitenanfang