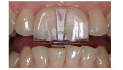
Das NTI-tss (Nociceptive Trigeminale Inhibition – tension suppression system) ist eine durch den Zahnmediziner direkt am Behandlungsstuhl einzupassende Schiene, die dazu beiträgt nächtliches Pressen, Knirschen und Mahlen von Zähnen zu vermindern bzw. zu vermeiden. Muskelverspannungen, Kopfschmerzen, Nackenprobleme und zum Teil sogar Migräne und Tinnitus werden so nachhaltig gelindert oder gelöst. Das NTI-tss reduziert durch Ausnutzung des körpereigenen Inhibitionsreflexes des Trigeminal-Nervs nächtlich auftretende Muskelanspannungen um bis zu 67 %. Es setzt so direkt an der Ursache des Problems an und schafft wissenschaftlich bestätigt und nachhaltig Abhilfe. Patienten nehmen das NTItss gerne an, da es wesentlich kleiner ist als herkömmliche Tiefziehschienen, nur auf den Frontzähnen getragen und dadurch als wesentlich komfortabler empfunden wird. Seit Erlangung seiner FDA-Zulassung in den USA 2001 verhalf das NTI-tss bereits mehr als 1,75 Mio Patienten zu einer höheren Lebensqualität durch Reduktion von Schmerzen und Verspannungen.
*Die Beiträge in dieser Rubrik stammen von den Anbietern und spiegeln nicht die Meinung der Redaktion wider.
ParoMit® Q10 Spray
SMARTACT PIN-Fixierer
PDT Schleifhilfe
PDT Kunststoff Sonde
Safescraper® Twist
Bite Light
PDT „3D“ Küretten
Knochenersatzmaterial FISIOGRAFT
Neue Zantomed Instrumentenserie
NTI-tss
www.perfekte-zahnpflege.de
Zungenreiniger
Zantomed Dentlight