Branchenmeldungen 23.10.2025
20 Jahre Global Clinical Case Contest: Dentsply Sirona ehrt Top-Zahnmedizinstudenten
Zehn Finalisten stellten ihre anspruchsvollen Restaurationen vor, in denen sie Produkte von Dentsply Sirona eingesetzt hatten. Im Jubiläumsjahr wurde der Preis erstmals in zwei Kategorien vergeben. Sechs Sieger nahmen ihn in einer feierlichen Zeremonie entgegen.
Das Finale des 20. Global Clinical Case Contest (GCCC) – dem internationalen Studentenwettbewerb von Dentsply Sirona, bei dem Zahnmedizinstudenten für herausragende klinische Ergebnisse ausgezeichnet werden – war ein ereignisreicher Tag mit erstmals sechs stolzen Gewinnern. Rund 300 Fallstudien wurden in diesem Jahr eingereicht, davon etwa ein Achtel für indirekte Restaurationen, die meisten für direkte Restaurationen. Beide Kategorien wurden in diesem Jahr erstmals getrennt bewertet und prämiert. Teilgenommen hatten Studenten aus insgesamt 108 medizinischen Fakultäten.
In das Finale am Bodensee schafften es zehn Bewerber aus acht Nationen: Brasilien, China, Estland, Frankreich, Russland, Taiwan, Thailand und Deutschland. Sie präsentierten ihre Arbeiten der renommierten internationalen GCCC-Jury, bestehend aus: PD Dr. Britta Hahn, Universitätsklinikum Würzburg (Deutschland), Poliklinik für Zahnerhaltung und Parodontologie, Dr. Ian Cline, Zahnarzt am King‘s College (Großbritannien) und Prof. Dr. Gaetano Paolone von der Universität Mailand (Italien). Alle eingereichten Fälle waren komplexe Restaurationen im Front- oder Seitenzahnbereich, die mit Geräten und Materialien von Dentsply Sirona durchgeführt wurden. Die Finalisten des Global Clinical Case Contest erhielten attraktive Preise.
Direkte und indirekte Restaurationen: Sechs Sieger in zwei Kategorien
Um eine noch bessere Vergleichbarkeit zwischen den Arbeiten der Bewerber zu schaffen, wurde die Einreichungen im Jubiläumsjahr erstmals unterteilt in die Kategorien „direkte Restaurationen“ und „indirekte Restaurationen“. Je Kategorie wurden drei Sieger gekürt.
Der erste Preis in der Kategorie „Direkte Restaurationen“ ging an Sofia Grindenko von der Medizinischen Universität in Moskau, die den Fall eines 32-jährigen männlichen Patienten vorstellte, der eine direkte Kompositrestauration mit vollflächigen Veneers (Neo Spectra® ST-Komposite, Esthet-X® HD) erhielt. Der zweite Platz ging an Yiting Chen von der Capital Medical University in Peking (China) mit dem Fall einer Patientin, die an einem gebrochenen mittleren Schneidezahn litt, der mit einer direkten Kompositrestauration (Neo Spectra®, Prime&Bond Universal) behandelt wurde. Der dritte Platz ging an Ying Cheng Lu von der Nation Cheng Kung University in Taiwan (R.O.C.) für einen Patientenfall, bei dem ein frakturierter oberer mittlerer Schneidezahn durch eine direkte Kompositrestauration (Spectra® ST Resind, Prime&Bond Universal, Enhance Finishing) restauriert wurde.
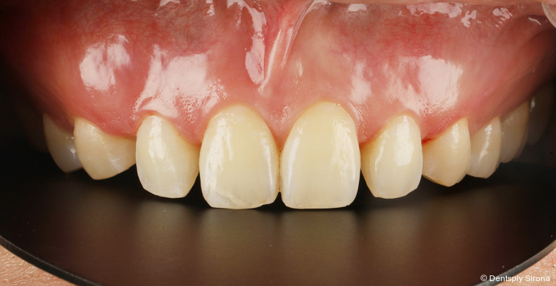
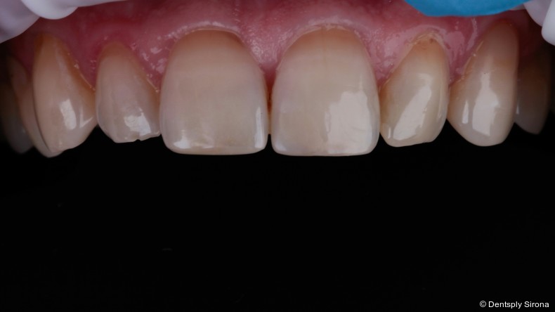
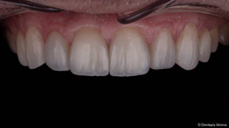
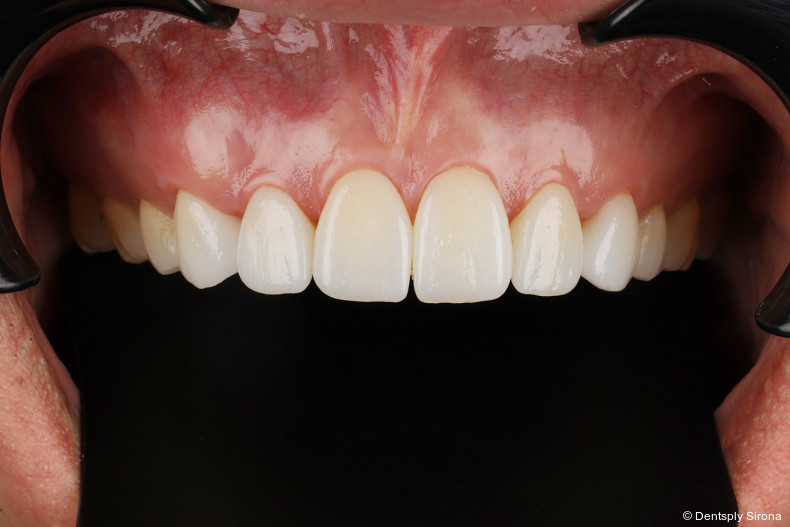
In der Kategorie „Indirekte Restaurationen“ unter Verwendung von CAD/CAM-Technologie gewann Chuttaporn Dejdumrongwood von der Chiang Mai University in Thailand den Wettbewerb mit einer Fallstudie, in der ein männlicher Patient, der sich wegen seines unästhetischen Lächelns und Zahnlücken im oberen Frontzahnbereich Sorgen machte, mit digital gefertigten Veneers (CEREC TesseraTM, Calibra® Veneer, Prime&Bond® Universal) ein neues Lächeln erhielt. Der zweite Platz ging an Beatrice Julia Popescu von der Johannes-Gutenberg-Universität Mainz (Deutschland), die die Jury mit dem Fall eines 19-jährigen Patienten mit pegförmigen Frontzähnen und fehlenden mittleren Schneidezähnen im Unterkiefer beeindruckte. Er erhielt Kronen für 11 und 21 und Veneers für 12 und 22, Kompositaufbauten auf den Zähnen 13 und 23 und zwei einflügelige Adhäsivbrücken im Unterkiefer (Veneers: CEREC TesseraTM, Brücke: CEREC MTLTM Zirkon). Der dritte Platz ging an Chang Guo von der Fourth Military Medical University in Xi'an, Shaanxi (China). Er präsentierte den Fall einer Patientin mit verfärbten Zähnen, die durch Sekundärkaries und Bruxismus geschädigt waren. Sie erhielt eine Restauration mit Veneers von 12 bis 22 (Spectra® ST, Celtra, Prime&Bond Universal, Calibra® Veneer).
Konstant hohes Niveau der eingereichten Arbeiten beim GCCC
Die Jury zeigte sich erneut beeindruckt vom hohen Niveau der Einreichungen. „Es ist bemerkenswert, mit welchem Enthusiasmus und welcher Präzision die Studenten ihre Fälle umgesetzt haben“, zog Jury-Mitglied Dr. Britta Hahn Bilanz. „Jeder Finalist hat eindrucksvoll unter Beweis gestellt, wie sich CAD/CAM-Workflows und moderne Materialien gewinnbringend für Patientinnen und Patienten einsetzen lassen – ästhetisch wie funktional auf höchstem Niveau.“
Kontinuität zeigte der Wettbewerb auch bei seinen Mitwirkenden und Förderern. Tutoren, die ihre Studenten in den Vorjahren bereits erfolgreich ins Finale des GCCC begleitet haben, waren in diesem Jahr mit neuen Nachwuchstalenten wieder dabei. „Ich weiß sowohl die Förderung an meiner Hochschule als auch durch Dentsply Sirona und diesen Wettbewerb sehr zu schätzen“, sagte Sofia Grindenko. „Der Gewinn ist natürlich ein riesiges Kompliment an meine Arbeit. Aber auch ein großer Ansporn, für meine Patientinnen und Patienten auch in Zukunft immer das bestmögliche ästhetische Ergebnis zu erzielen.“
Von Beginn an höchste Versorgungsstandards umsetzen

Der Dentsply Sirona Global Clinical Case Contest findet seit 2004/2005 statt und stand Zahnmedizinstudenten offen, die zum Zeitpunkt der Teilnahme an einer Hochschule oder Universität eingeschrieben waren. Die Teilnehmer dokumentieren ihren Fall mit direkten oder indirekten Restaurationen, einschließlich fotografischer Nachweise, mit Unterstützung eines Tutors ihrer Universität.