Branchenmeldungen 02.05.2024

Vollkeramik: Maximale Qualität, minimaler Zeitaufwand

Vollkeramik: Maximale Qualität, minimaler Zeitaufwand

Foto: Andreas Chatzimpatzakis

Weniger Brände, weniger Keramikmassen – bei der Herstellung von Zahnersatz aus Zirkonoxid besteht eindeutig der Trend zur Vereinfachung. Dies gilt auch für implantatbasierte Restaurationen, bei denen häufig auch Zahnfleischanteile nachgebildet werden müssen. Der bekannte Zahntechniker Andreas Chatzimpatzakis, internationaler Trainer für Kuraray Noritake Dental Inc. und Inhaber des ACH Dental Laboratory in Athen (Griechenland), spricht im Interview über seinen Ansatz für hohe Ästhetik in der Implantatprothetik.

Sie sind Anwender des CERABIEN™ ZR-Portfolios (Kuraray Noritake) der ersten Stunde. Wann haben Sie die Produkte zum ersten Mal getestet und warum?

Nun, es ist schon viele Jahre her, seitdem ich meine allererste zirkonoxidbasierte Restauration abgeschlossen habe. Der Grund meiner Entscheidung für CERABIEN™ ZR war, dass ich den Zahntechniker, der das Gerüst gefräst hat, fragte, welches Porzellansystem er empfehlen würde. Er schlug vor, CERABIEN ZR zu verwenden, was ich dann auch tat. Ich war sofort von diesem System beeindruckt und von dem Ergebnis, das ich bereits beim ersten Versuch erzielen konnte.

Haben Sie zuvor andere Systeme für die Keramikschichtung getestet?

Ja. Bevor ich internationaler Trainer für Kuraray Noritake Dental Inc. wurde, hatte ich die Gelegenheit, viele andere Verblendkeramiken für die Schichtung auf Zirkonoxid zu testen. Aufgrund dieser Erfahrung kann ich sagen, dass CERABIEN™ ZR einzigartig und das beste System ist, das ich je verwendet habe. Die Transluzenz und das Chroma kommen den natürlichen Zähnen sehr nahe. Darüber hinaus kann aufgrund der kontrollierten Brennschrumpfung die One-Bake-Technik auch bei Restaurationen mit großer Spannweite eingesetzt werden.

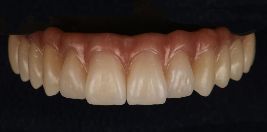
Ihre praktischen Demonstrationen während der IDS 2023 am Stand von Kuraray Noritake Dental konzentrierten sich auf die mit CERABIEN™ ZR erzielte weiße und rosa Ästhetik. Gibt es ein bestimmtes Konzept, das Sie verwenden?

Jeder, der heute Zahnersatz herstellt – egal ob auf Basis natürlicher Zähne oder auf Implantaten –, sieht sich mit deutlich gestiegenen ästhetischen Ansprüchen von Patienten und Zahnärzten konfrontiert. Dies basiert u. a. darauf, dass überall Ergebnisse von kosmetischen Zahnbehandlungen im Internet bzw. in den sozialen Medien präsentiert werden. Die gezeigte Ergebnisqualität wird einfach erwartet, auch wenn das finanzielle Budget begrenzt ist. Um diesen Anforderungen im Bereich der implantatbasierten Prothetik gerecht zu werden, habe ich einen Ansatz entwickelt, der es mir ermöglicht, mit geringem Aufwand eine hohe Ästhetik zu erreichen. Mein Konzept basiert darauf, nicht zu viel Keramikpulver zu verwenden. Für eine zusätzliche Chroma und besondere Charakterisierung verlasse ich mich auf die Kraft der Internal-Live-Stain-Technik, die erstmals von Hitoshi Aoshima-sensei eingeführt wurde.

Bitte fassen Sie die wichtigsten Details Ihrer Präsentation zusammen.

Das erste wichtige Detail ist die Gestaltung und Charakterisierung des Zirkonoxidgerüstes. Vor dem Sintern trage ich auf die Gerüstoberfläche Esthetic Colorant für KATANA™ Zirconia auf. Nach dem Sintern werden Shade-Base-Stain- und Internal-Stain-Massen gemischt und aufgetragen. Auf diese Weise erstelle ich eine schöne „Leinwand“, die mir dabei hilft, mit nur wenigen ausgewählten Keramikpulvern ein naturgetreues Ergebnis zu erzielen. In den meisten Fällen reichen drei bis fünf Pulver aus, um ein tolles Ergebnis zu erhalten. Zu den am häufigsten verwendeten Massen gehören bei mir Opacious Body, Body, LTX, Mamelon und CCV aus dem CERABIEN™ ZR-Portfolio. Nach dem ersten Brand und einem kurzen Ausarbeiten verwende ich erneut die Internal-Stain-Massen. Die Massen unterstützen bei der Steuerung der Chromas und der Integration spezieller Eigenschaften.

Ist dieser Schritt abgeschlossen, erfolgt der endgültige Aufbau mit einem oder zwei Keramikpulvern, meist LT1 und Enamel-Masse oder LT0. Die rosafarbene Ästhetik wird normalerweise mit den Tissue-Massen 1, 3 und 5 erzeugt. Für die bewegliche, freie Gingiva ist LT Coral meine Masse der Wahl. Das oberste Ziel ist immer, maximale Qualität in kürzester Zeit zu erreichen. Wichtig hierfür sind das Wissen um die keramischen Massen und natürlich ausreichend Übung – sowohl beim Keramikschichten als auch bei der Gestaltung der Morphologie.

Gibt es konkrete Tipps und Tricks, die Sie gerne weitergeben möchten?

Zur Charakterisierung des Gerüstes mische ich die Internal-Stain-Massen mit Shade-Base-Stain; meistens mit SS Fluoro. Beim ersten Brennen, insbesondere wenn die Restauration komplex und die aufzutragende Keramikmenge groß ist, reduziere ich die Aufheizrate auf bis zu 38 Grad pro Minute. Außerdem erhöhe ich den Trocknungsprozess je nach Restauration auf bis zu 17 oder sogar 20 Minuten. Die Erfahrung zeigt, dass diese Maßnahmen die ästhetischen Ergebnisse optimieren.

Sie erwähnen oft, dass es wichtig ist, die Morphologie natürlicher Zähne zu verstehen, um schöne Restaurationen herstellen zu können. Warum ist das so?

Eine erfolgreiche prothetische Versorgung muss einwandfreie Funktion und Ästhetik bieten. Unter Funktion versteht man eine präzise Passform, perfekte Kontaktflächen, ideale okklusale Gegebenheiten, ein korrektes Emergenzprofil, eine approximale Gestaltung, die den hygienischen Anforderungen gerecht wird etc. All dies wird auch mit dem Begriff Morphologie beschrieben. Die Ästhetik hingegen orientiert sich an Form und Farbe. Der Aufwand zur Herstellung einer geeigneten Morphologie ist aus meiner Sicht viel höher (etwa 70 Prozent der Gesamtarbeit) als der Aufwand zur Erzielung der richtigen Transluzenz, Opaleszenz und Farbsättigung.

Mit welchen Pinseln und Instrumenten imitieren Sie die Morphologie natürlicher Zähne und wie gelingt Ihnen das?

Normalerweise verwende ich die Pinsel Optimum™ Spring Ceramic Brush Größe 8 (MPF Brush Co.) für das Schichten und Steinchen sowie Diamantbohrer zum detaillierten Schleifen bzw. Ausarbeiten nach dem letzten Brand. Ich habe Morphologie am Osaka Ceramic Training Center in Japan bei dem Meister Shigeo Kataoka-sensei studiert. Seiner Meinung nach liegt ein Schlüsselfaktor für die Schaffung einer perfekten Makro- und Mikromorphologie im Schatten. Um die Interferenz von Licht und Schatten beim Schleifen berücksichtigen zu können, wird während des Ausarbeitens auf einer Seite der Restauration eine Lichtquelle platziert.

Wie viele Brände benötigen Sie, um hochästhetische Restaurationen herzustellen?

Das kommt natürlich immer auf den jeweiligen Fall an, wobei ich mich heutzutage in vielen Situationen für eine Art Mikro-Layering entscheide. In letzter Zeit verwende ich häufig das Mikro-Layering mit einer internen Bemalung direkt auf dem Zirkonoxidgerüst. In anderen Fällen mache ich zuerst einen schnellen Brand, dann die interne Bemalung, danach einen letzten Brand und die Glasur. Bei kleinen oder eingliedrigen Restaurationen im Seitenzahnbereich reicht oft die One-Bake-Technik aus. Sogar ein Zero-Bake-Ansatz mit Esthetic Colorant auf einer monolithischen Zirkonoxidrestauration kann hier angebracht sein und ist sehr praktisch. Handelt es sich um eine Restauration mit hohen ästhetischen Ansprüchen – typischerweise der einzelne Frontzahn –, hängt die von mir gewählte Technik von der Farbgebung ab. In einigen Fällen reicht es aus, nur die Internal-Stain-Technik zu verwenden, um ein hohes ästhetisches Niveau zu erreichen, während in anderen Fällen zusätzliche Schritte erforderlich sind. Meiner Meinung nach gibt es nicht die eine Technik, die für alle Fälle geeignet ist. Wie bereits gesagt, versuche ich immer, hohe ästhetische Ergebnisse in möglichst kurzer Zeit zu erzielen.

Haben sich Ihre Methoden aufgrund der Verfügbarkeit von hochtransluzenten Zirkonoxid-Materialien mit Farb- (und Festigkeits-)Verlauf geändert?

Ja, das haben sie. Mein Gesamtansatz hat sich mehr in Richtung Micro-Layering verschoben. Vor einigen Jahren mussten wir überlegen, wie wir das Gerüst farblich kaschieren und Transluzenz in Bereichen mit wenig Platz bringen können. Das Problem wurde für Einzelkronen und kleine Frontzahnbrücken gelöst; hier werden Restaurationen mit den mehrschichtigen Zirkonoxiden KATANA™ Zirconia UTML und STML gefertigt. Mit der Einführung von KATANA™ Zirconia YML ist nun auch ein hochtransluzentes Material für weitspannige und/oder implantatbasierte Restaurationen verfügbar. Hier haben wir Biegefestigkeit und Transluzenz in einer Disk. In den meisten meiner Fälle ersetzt das Gerüstmaterial – also das mehrschichtige Zirkonoxid – das Dentin in Bezug auf Morphologie und Farbe. Ich muss mich „nur“ noch darauf konzentrieren, den Schmelzbereich durch Auftragen der transparenten und transluzenten Massen zu ergänzen. Die Pulver der Internal-Stain-Technik werden verwendet, um das Gerüst zu charakterisieren. Mit einer entsprechenden Micro-Layering-Keramik kann dann eine ästhetische Restauration in kürzester Zeit geschaffen werden. Genau aus diesem Grund bin ich mir sicher, dass Micro-Layering die Zukunft sein wird.

Was motiviert Sie, Ihr Wissen und Können mit anderen zu teilen?

Meine Leidenschaft! Ich liebe meine Arbeit. Und ich liebe es zu sehen, wie Zahntechniker immer besser werden. Zahntechnik ist eine spannende Reise, die beginnt, wenn der erste Eindruck bzw. die ersten Informationen im Dentallabor ankommen, und sie endet erst, wenn die finale Restauration im Mund des Patienten befestigt wird. Diese Reise ist u. a. so spannend, weil wir als Zahntechniker Leben verändern. Wir verändern die Persönlichkeit der Menschen, wir geben ihnen ihr Lächeln zurück und wir geben ihnen ihr Selbstwertgefühl zurück. Was wir jeden Tag, jeden einzelnen Moment an unserem Arbeitsplatz erarbeiten, um natürliche Zähne zu imitieren ...; es gibt nichts Aufregenderes als das!

Mein Ansatz als Lehrer besteht darin, Zahntechniker dazu zu bringen, die Kunst der Beobachtung natürlicher Zähne zu beherrschen. Auf diese Weise wird jeder Einzelne Morphologie und Farbe verstehen. Man braucht kein besonderes Talent, um ein sehr guter Zahntechniker zu sein. Man muss beobachten können! Unsere Augen sehen, unser Verstand versteht, und unsere Hände werden folgen.

Vielen Dank für das Gespräch.

Autorin: Minka Mordas

Dieser Beitrag stammt von dem Anbieter und spiegelt nicht die Meinung der Redaktion wider.
Produkte
Mehr News aus Branchenmeldungen

ePaper