Zahntechnik 14.08.2013
Hightech in vier Stunden
Mit Kunststoffzähnen der „neuesten Generation“ kann den gestiegenen ästhetischen Ansprüchen der Patienten auch bei der Versorgung zahnloser Kiefer Rechnung getragen werden.
Implantatgestützte Hybridversorgungen auf angulierten Implantaten bieten sowohl dem Zahnarzt als auch dem Patienten zahlreiche Vorteile. Das klassische Therapiekonzept sieht die Verankerung von vier Implantaten vor. Durch die Angulation der endständigen Implantate kann der vorhandene Knochen optimal genutzt werden. Aufwendige chirurgische Verfahren wie Augmentationen können somit vermieden werden. Zudem verlässt der Patient bereits wenige Stunden nach dem chirurgischen Eingriff mit einem auf den Implantaten befestigten Provisorium die Praxis. Um den hohen ästhetischen Ansprüchen der zahnlosen Patienten gerecht zu werden, ist bei der Gestaltung der prothetischen Versorgung „Individualität“ gefragt – hier empfiehlt sich die Verwendung von Kunststoffzähnen sowie eines speziellen Prothesenmaterials auf PMMA (Polymethylmethacrylat)-Basis. Damit lassen sich natürlich wirkende Ergebnisse erzielen, die zudem auch wirtschaftlichen Anforderungen entsprechen.
In diesem Artikel wird ein implantatprothetisches Konzept für die ästhetische und zugleich effiziente Versorgung zahnloser Patienten dargestellt. Auch bei implantologischen Indikationen sind immer häufiger minimalinvasive Verfahren gefragt. Patienten bevorzugen Therapiewege, die weniger zeitintensiv sind und den klinischen Behandlungsablauf vereinfachen. Zu diesem Wunsch gesellt sich der Faktor „Ästhetik“. Wie können diese beiden Aspekte vereint werden? Bei der Versorgung zahnloser Kiefer sind der „Rationalisierung“ durch eine Mindestanzahl von Implantaten sowie durch die notwendige Einheilzeit Grenzen gesetzt. Doch moderne implantologische Konzepte und innovative prothetische Materialien bieten die Möglichkeit, funktionelle und ästhetische implantatgetragene Hybridversorgungen herzustellen und somit auch zahnlose Patienten nach einer schmerzarmen Behandlung mit einem „perfekten“ Lächeln aus der Praxis zu entlassen. Voraussetzungen sind ein durchdachter und konsequenter Arbeitsablauf sowie die Zusammenarbeit mit einem erfahrenen Zahntechniker.
Am Beginn jeder Behandlung steht eine korrekte Diagnose, basierend auf einer detaillierten klinischen und radiologischen Analyse. Darauf folgt das Aufklärungsgespräch mit dem Patienten. Seine Wünsche werden eruiert und die realistischen Möglichkeiten dargestellt. Übertriebene Erwartungen sollten bei diesem Gespräch richtiggestellt werden.
Patientenfall
Eine 42-jährige Patientin konsultierte uns mit einem stark reduzierten Restzahnbestand im Oberkiefer und einer herausnehmbaren Prothese (Abb. 1a–d). Der Unterkiefer war vor zwei Jahren implantologisch versorgt worden. Sie klagte über die starke Mobilität der Oberkieferprothese. Der Restzahnbestand war aufgrund einer fortgeschrittenen Parodontalerkrankung stark gelockert und nicht zu erhalten. Mit ihrer Versorgung im Unterkiefer war sie aus ästhetischen Gründen unzufrieden. Die Patientin wünschte eine schnelle Sanierung ohne multiple chirurgische Eingriffe. Ihre ästhetischen Ansprüche waren sehr hoch, ihre finanziellen Mittel begrenzt. Die Entscheidung fiel auf eine implantologische Versorgung.
Nach einer Analyse der Behandlungsmöglichkeiten entschlossen wir uns, von einer Knochenaugmentation im Oberkiefer abzusehen und nach dem All-on-4™-Konzept (Nobel Biocare AB) zu agieren. Hierbei wird eine Titan-Hybrid-Prothese auf zwei Implantaten im anterioren Bereich sowie auf zwei angulierten Implantaten im posterioren Bereich fixiert. Der vorhandene Knochen kann mit diesem Konzept optimal für die Verankerung der Implantate genutzt werden. Die definitive prothetische Versorgung wurde in diesem Fall aus einem CAD/CAM-gefrästen Titangerüst sowie aus Nanohybrid-Composite-Zähnen (SR Phonares® II) und einer Prothesenbasis aus IvoBase® umgesetzt. Die Verwendung von Prothesen mit nur vier Halteelementen und einer damit eingeschränkten distalen Freiendsituation ist kürzlich in der Fachliteratur diskutiert worden. Was die Überlebensrate der Implantate und den marginalen Knochenschwund betrifft, so wurde von keinen Unterschieden zwischen axialen und geneigten Implantaten berichtet.
Chirurgischer Eingriff
Die atraumatische Extraktion der kompromittierten Zähne sowie die Auskürettierung der Alveolen erfolgten unter intravenöser Sedierung. Beginnend im Bereich des ersten Molaren wurde in der keratinisierten Gingiva eine krestale Inzision vorgenommen und ein Mukoperiostlappen mobilisiert. Die distalen Implantate wurden in der posterioren Sinuswand in einem Winkel von 40 Grad zur Okklusalebene inseriert. Die anterioren Implantate wurden axial in Regio der lateralen Inzisiven eingebracht. Auf den geneigt ausgerichteten Implantaten wurden nun mehrteilige, angewinkelte Abutments fixiert, während die anterioren Implantate mit Standardabutments versehen wurden. Nachdem der Lappen reponiert war, wurde die Situation abgeformt und der Biss registriert. Wenige Stunden später wurde eine im Labor vorbereitete provisorische Kunststoffbrücke eingesetzt, die bei maximaler Interkuspidation vollständigen Kontakt von Eckzahn zu Eckzahn hatte und eine laterale Exkursion verhinderte. Nach einer Einheilzeit von sechs Monaten erfolgte die Anfertigung einer Titanbasis (NobelProcera®, Nobel Biocare AB) für die definitive Restauration (Abb. 2a–c).
Herstellung der prothetischen Versorgung
Sowohl für das Provisorium (Abb. 3) als auch für die definitiven Restaurationen (Abb. 4a und b) wurden das IvoBase Hybrid-Prothesenbasismaterial auf PMMA-Basis, der IvoBase Injector sowie Phonares II-Prothesenzähne verwendet. Das IvoBase-System vereint die Vorzüge eines Heißpolymerisats mit denen eines Autopolymerisats. Der durch die Polymerisationsschrumpfung nicht zu verhindernde Volumenverlust wird durch nachfließendes Material in der Küvette kompensiert. So lassen sich implantatgetragene provisorische Kunststoffprothesen mit passivem Sitz problemlos herstellen. Die Oberflächenqualität sowie die Bruchfestigkeit dieses Materials sind besser als jene anderer heißpolymerisierender Kunststoffe. Auch der Restmonomergehalt ist mit 1,5 Prozent sehr niedrig – der Grenzwert für autopolymerisierende Kunststoffe liegt bei 4,5 Prozent, jener für heißhärtende bei 2,2 Prozent. Zusätzlich wird der Restmonomergehalt mit der RMR-Funktion (Rest-Monomer-Reduktion) auf unter 1 Prozent gesenkt. In diesem Zusammenhang sei erwähnt, dass in unserer Praxis der Prozentsatz an Frakturen bei provisorischen Restaurationen (11 Prozent) durch die Verwendung von IvoBase drastisch reduziert werden konnte.
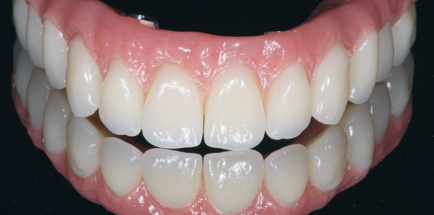
Die SR Phonares II Lingual-Prothesenzähne aus Nanohybrid-Composite wurden für die lingualisierte Okklusion entwickelt und zeichnen sich durch eine hohe Festigkeit und Abrasionsresistenz aus. Sie eignen sich besonders für implantatgetragene Prothesen, die hohen Kaukräften ausgesetzt sind. Ihre ästhetische Oberflächentextur, Transluzenz, Opaleszenz und Fluoreszenz sorgen für ein natürliches Aussehen der Front. Durch ihre spezielle anatomische Form lassen sich die Seitenzähne gut an den Kieferkamm anpassen. Jeder Zahn setzt sich aus vier Schichten zusammen: Dentinkern und faziale Inzisalschicht bestehen aus NHC-Material, das für Widerstandsfähigkeit und eine natürliche
Ästhetik sorgt, während der hintere Schneide- und der Zervikalbereich aus PMMA sind, was einen guten Verbund mit konventionellem Kunststoff gewährleistet. Das NHC-Material besteht aus einer Urethan-Dimethacrylat-Matrix mit hohem Vernetzungsgrad, Mikro- und Makrofüllern in verschiedenen Größen und Formen sowie PMMA-Clustern. Die Makrofüller sind für die hohe Festigkeit und Farbe verantwortlich, die Mikrofüller sorgen für Abrasionsresistenz. Die in die Composite-Struktur eingebetteten PMMA-Cluster reduzieren die Plaqueakkumulation und Verfärbungsneigung. Es stehen diverse alters- und typengerechte Zahnformen zur Auswahl. Zusätzlich werden lichthärtende Pasten (SR Nexco® Stains) angeboten, mit denen die einzelnen Zähne sowie die Prothesenbasis und damit die rote Ästhetik charakterisiert werden können. So wird die Gestaltung einer naturnahen Ästhetik möglich (Abb. 5a–c).
Nachsorge
Die prothetische Versorgung konnte auf relativ schnellem Weg umgesetzt und in den Mund der Patientin integriert werden. Nun sind eine regelmäßige häusliche sowie professionelle Mundpflege wichtig, um die Versorgung über einen langen Zeitraum zu erhalten.
Die Dentalhygienikerin spielt hierbei eine wichtige Rolle. Sie sorgt für eine regelmäßige professionelle Reinigung der Prothese und motiviert die Patienten, die häusliche Mundhygiene auch gewissenhaft vorzunehmen.
Der vorgestellte Fall zeigt, wie das Behandlungsteam einen komplexen Fall basierend auf einem detaillierten Behandlungsplan zufriedenstellend lösen kann. Für die Anfertigung einer vorhersagbaren und dauerhaften prothetischen Versorgung, die sowohl Zahnarzt als auch Patient zufriedenstellt, sind eine genaue Kenntnis der verwendeten Materialien, die richtige Wahl der Komponenten sowie eine strikte Einhaltung des chirurgischen und prothetischen Protokolls wichtig (Abb. 6a–d).
Danksagung
Ich danke Prof. Enrico Gherlone und Davide Romeo für die exzellente partnerschaftliche Unterstützung beim Lösen des vorliegenden Falles.
Dr. Enrico
Agliardi
A.b.s.
dental service
Via Roma 15
20021 Bollate (MI), Italien
e.agliardi@studioagliardi.it
TRIOS 6
CYTECpro + CONTECpro
BeautiLink SA
mμILLUSION Color Malfarben und -pasten
breCAM.multiCOM+
PALA Mill&Cast
Luxatemp MaxProtect
breCAM.base
Leaf Expander® Hybrid
ceraMotion® CADback