Zahntechnik 16.02.2026

Ästhetische und funktionelle Rehabilitation mit Multilayer-Zirkonkronen

Der folgende Fallbericht beschreibt die funktionelle und ästhetische Rehabilitation eines 58-jährigen Patienten mit ausgeprägter Zahnarztangst, Kiefergelenkschmerzen und stark abrasivem Gebiss. Durch ein interdisziplinäres Behandlungskonzept mit 28 Multilayer-Zirkonkronen und implantatgestützter Versorgung konnte eine nachhaltige Verbesserung erzielt werden.

Ästhetische und funktionelle Rehabilitation mit Multilayer-Zirkonkronen

Foto: ZTM Jan-Dominic Viergutz

Ausgangsbefund

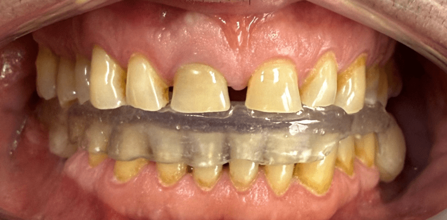
Der 58-jährige Patient stellte sich mit ausgeprägter Zahnarztangst und einem stark abrasiven Gebiss im Klinik am Schloss MVZ vor. Im Unterkiefer fehlten die Zähne 36, 37 und 46, was zu einer deutlichen Einschränkung der Kaufunktion führte. Klinisch zeigten sich starke Abrasionen an den vorhandenen Zähnen sowie Schmerzen im Bereich des Kiefergelenks. Zudem bestand ein wurzelbehandelter Zahn 11, der weiterhin Beschwerden verursachte. Im Bereich der fehlenden Zähne wurde ein Knochenrückgang diagnostiziert.

Bild von einem Quotenzeichen
Die konsequente Anwendung der Michigan-Schiene führte zu einer vollständigen Beseitigung der Kiefergelenkschmerzen und ermöglichte eine nachhaltige Entlastung der Kiefergelenke.

Therapieplanung

Um die Funktion und Ästhetik wiederherzustellen, wurde eine komplette Sanierung empfohlen, da die klinische Kronenlänge deutlich verkürzt und die Ästhetik eingeschränkt war. Eine Bisshebung war notwendig, um die ursprüngliche Vertikaldimension wiederherzustellen. Im Unterkiefer sollten drei Implantate im Seitenzahnbereich (36, 37, 46) mithilfe einer geführten Implantation gesetzt werden. Sämtliche Eingriffe wurden unter Narkose und in Anwesenheit eines Anästhesisten durchgeführt, um dem hohen Angstlevel des Patienten gerecht zu werden. 

Realisierung

Nach der erfolgreichen Eingliederung der Michigan-Schiene (Erkodur, Erkodent) und dem deutlichen Rückgang der Kiefergelenkschmerzen wurde die Behandlung gemäß dem Therapieplan fortgesetzt. Zunächst erfolgte die erneute Wurzelbehandlung am Zahn 11, gefolgt von der schablonengeführten Implantation (DTX Studio Clinic, Nobel Biocare) von drei Implantaten (NobelReplace, Nobel Biocare) im Unterkiefer (36, 37 und 46). Alle chirurgischen Maßnahmen wurden in Dämmerschlaf-Narkose unter Begleitung eines Anästhesisten durchgeführt.

Nach einer Einheilzeit von fünf Monaten zeigten sich stabile Verhältnisse: Die Kiefergelenkschmerzen waren weiterhin nicht vorhanden, die Implantate wiesen eine sichere Osseointegration auf und Zahn 11 blieb beschwerdefrei. Daraufhin konnte die Präparation der Zähne unter erneuter Narkose erfolgen. Die digitale Abformung wurde mit dem iTero-Intraoralscanner (Align Technology) vorgenommen und ermöglichte eine präzise Erfassung der klinischen Situation. Direkt im Anschluss wurde das Provisorium mittels tiefgezogenen Formteils (Erkodur, Erkodent) erstellt und eingesetzt.

Bild von einem Quotenzeichen
Die monolithische Gestaltung der Seitenzahnkronen erwies sich als besonders effizient, da sie eine präzise, zeitsparende und stabile Versorgung erlaubte.

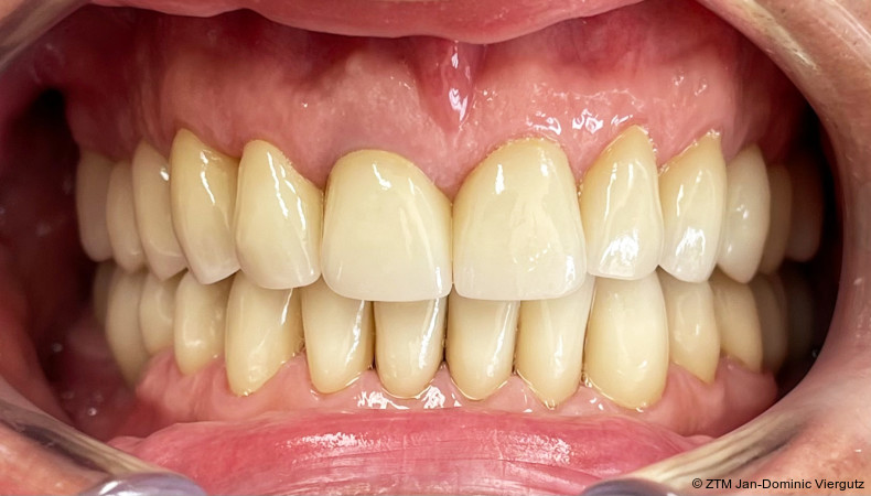
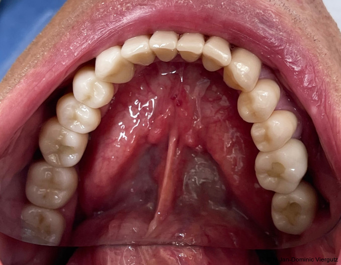
Am folgenden Tag erfolgte eine erneute Konsultation, bei der gemeinsam mit dem Patienten Form und Farbe des Provisoriums evaluiert wurden. Die Zahnfarbe wurde auf VITA A2 angepasst, mit den übrigen Parametern zeigte sich der Patient zufrieden. Diese individuelle Abstimmung garantierte, dass alle relevanten Informationen für die definitive Versorgung vorlagen.Im nächsten Schritt wurden sämtliche digitalen Scans miteinander gematcht (Modellier, Zirkonzahn) und die Modelle via 3D-Druck (Cadspeed) erstellt. Die CAD-Konstruktion der insgesamt 28 Kronen erfolgte mit Prettau 3 Dispersive Multilayer-Zirkon (Zirkonzahn). Für die Frontzähne wurde eine keramische Verblendung (Initial Zr-FS, GC) gewählt, während die Seitenzähne monolithisch mit Prettau 3 Dispersive (Zirkonzahn) gestaltet wurden. Die Bisslage der definitiven Versorgung wurde statisch an die mit der Michigan-Schiene ermittelte Position angepasst. Für die funktionelle Gestaltung der Restauration wurden Gruppenführung und „freedom in centric“ gewählt, um eine physiologische Belastung der Kiefergelenke sicherzustellen.

Der Einsetzprozess der Kronen wurde erneut unter Narkose durchgeführt, um dem Patienten maximalen Komfort und Sicherheit zu bieten. Zunächst erfolgte die adhäsive Befestigung (Multilink Automix, Ivoclar) der Kronen auf den natürlichen Zähnen, wodurch eine stabile und dauerhafte Verbindung geschaffen wurde. Anschließend wurden die Implantatkronen (Prettau 3 Dispersive, Zirkonzahn) mit dem empfohlenen Drehmoment verschraubt.

Fazit

Die konsequente Anwendung der Michigan-Schiene führte zu einer vollständigen Beseitigung der Kiefergelenkschmerzen und ermöglichte eine nachhaltige Entlastung der Kiefergelenke. Die monolithische Gestaltung der Seitenzahnkronen erwies sich als besonders effizient, da sie eine präzise, zeitsparende und stabile Versorgung erlaubte. Auch in der Nachsorge zeigte sich der Patient dauerhaft beschwerdefrei und äußerte sich durchweg zufrieden mit dem funktionellen und ästhetischen Ergebnis der Behandlung.

Autor: ZTM Jan-Dominic Viergutz

ZT Zahntechnik Zeitung 02/26

ZT Zahntechnik Zeitung


Dieser Beitrag ist in der ZT Zahntechnik Zeitung erschienen.

Die ZT Zahntechnik Zeitung ist das einzige unabhängige Zeitungsformat für Zahntechniker mit den Schwerpunkten Berufspolitik und Laborführung. Die branchenerfahrene Redaktion der ZT Zahntechnik Zeitung dokumentiert und interpretiert in den Bereichen Politik, Wirtschaft, Technik und Service die Entwicklung des Dentalmarkts und gibt den Zahntechnikern wichtige Impulse für den Laboralltag, insbesondere für die strategische Positionierung im Wettbewerbsumfeld.

 

Jetzt das ePaper lesen.

Produkte
Mehr Fachartikel aus Zahntechnik

ePaper