In der modernen Endodontie setzen Zahnmediziner verstärkt auf Materialien, die nicht nur eine mechanische Barriere bilden, sondern aktiv den Heilungsprozess unterstützen. SendoSeal MTA ist ein innovativer Wurzelkanalsealer auf Basis von Mineral Trioxide Aggregate (MTA), der speziell für die dauerhafte und hermetische Versiegelung des Wurzelkanals entwickelt wurde.
Höchste Biokompatibilität für eine optimale Heilung
Ein herausragendes Merkmal von SendoSeal MTA ist seine exzellente Biokompatibilität. Das Material härtet durch die Absorption der natürlichen Feuchtigkeit im Wurzelkanal aus. Während dieses Prozesses trägt der Sealer aktiv zur Bildung von Hydroxylapatit in den Dentintubuli bei.
Dank seines hohen pH-Wertes von 10 bis 12 entfaltet SendoSeal MTA eine ausgezeichnete antibakterielle Wirkung. Dies minimiert nicht nur das Risiko postoperativer Symptome, sondern fördert auch maßgeblich den Heilungsprozess des apikalen Gewebes.
Die Vorteile auf einen Blick
SendoSeal MTA überzeugt durch seine physikalischen Eigenschaften, die den klinischen Alltag erleichtern und die Erfolgsquote von Behandlungen steigern:
- Formstabilität: Der Sealer ist dimensionsstabil und löst sich im Laufe der Zeit nicht auf, was den Kanal dauerhaft vor Reinfektionen schützt.
- Hervorragende Fließfähigkeit: Mit einem Fluss von über 17 mm erreicht das Material mühelos auch komplexe Bereiche und laterale Kanäle.
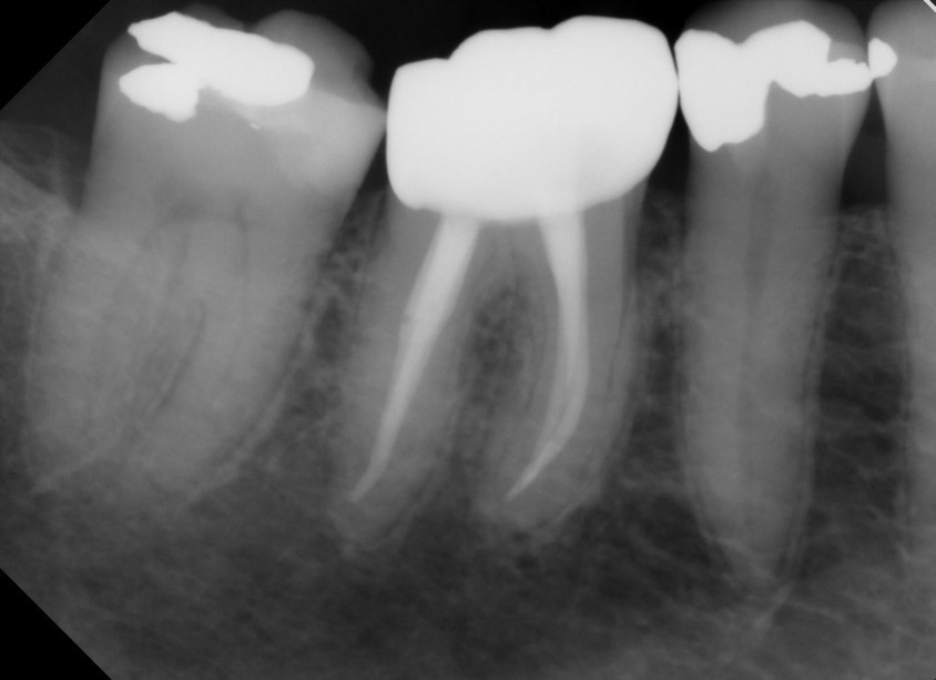
- Hohe Röntgenopazität: Mit einem Wert von ca. 9,5 bis 10,5 mm Al ist die Füllung auf Röntgenaufnahmen sehr gut sichtbar und leicht zu beurteilen.
- Minimale Verfärbung: Studien belegen, dass SendoSeal MTA ein sehr geringes Risiko für Zahnverfärbungen aufweist, welches vergleichbar mit bewährten Produkten wie AH Plus ist.
- Geringe Löslichkeit: Die Löslichkeit liegt gemäß ISO 6876 bei unter 3,0 %.
Einfache Anwendung im Praxisalltag
Die Handhabung von SendoSeal MTA ist bewusst einfach gehalten. Das Material wird in einer vorgemischten 3g-Spritze geliefert, die direkt einsatzbereit ist. Eine einzige Spritze reicht für bis zu 25 Wurzelkanalbehandlungen. Mit der im Lieferumfang enthaltenen 24-Gauge-Kanüle kann der Sealer präzise und sauber direkt in den vorbereiteten Kanal appliziert werden.

Erleben Sie SendoSeal MTA in Aktion
Für einen detaillierten Einblick in die Anwendung und die Vorteile von SendoSeal MTA empfehlen wir das offizielle Video auf dem YouTube-Kanal von Directa Dental:
SendoSeal MTA | Einfach. Sicher. Biokompatibel.
SendoSeal MTA vereint bewährte MTA-Technologie mit moderner Applikationsfreundlichkeit – für eine sichere Endodontie auf höchstem Niveau.
*Die Beiträge in dieser Rubrik stammen von den Anbietern und spiegeln nicht die Meinung der Redaktion wider.
TrollFoil®
Directa TrollByte Kimera
Luxator® das Original
Ceramir Crown & Bridge
ProphyCare
PhysicsForceps®
DIRECTA Spotit®
SendoCem MTA
Ceramir Pediatric Crowns
Ceramir CAD/CAM Blöcke
DryDent®
PractiPal Tray
FenderPrime
FenderWedge Prep
Transparente Matrizen