Cosmetic Dentistry 08.07.2024

Bisshebung mit palatinalen Veneers: digitale Umsetzung und Planung



Bisshebung mit palatinalen Veneers: digitale Umsetzung und Planung

Foto: Dr. Shayan Assadi

In diesem Beitrag soll anhand eines Fallbeispiels veranschaulicht werden, wie eine einfache Bisshebung mittels CEREC und einem Mittelwertartikulator möglich ist. Besonderes Augenmerk soll hierbei auf die Verwendung der unterschiedlichen Keramiken und die Übertragung der Okklusion gelegt werden.

Es gibt sie: die Fälle, bei denen man mit den konventionellen Methoden nicht weiterkommt. Der Ansatz konservativer Zahnmedizin sollte immer sein, so viel biologische Substanz wie möglich zu sparen. Im optimalen Fall sollte am Ende der Behandlung ein langfristig stabiles Ergebnis erzielt werden, welches die noch vorhandene Zahnsubstanz vor weiteren Schäden schützt. Die moderne Zahnmedizin ermöglicht uns Zahnärzten unter Zuhilfenahme von geeigneten Materialien, digitalen Programmen oder adhäsiver Befestigung, unsere Patienten unter weitestgehender Schonung der Zahnsubstanz zu behandeln. Ein minimalinvasiver Ansatz bei der Behandlung unserer Patienten sollte immer im Vordergrund stehen. Dieser Ansatz ist gut, sollte aber die Stabilität des Endergebnisses nicht negativ beeinträchtigen.

Vorgeschichte des Patienten

Der Patient suchte unsere Praxis im Rahmen einer Erstvorstellung mit dem Wunsch einer Zahnsanierung auf. Wie viele Patienten mit derart fortgeschritten geschädigten Zähnen gab er an, Angst vor Zahnbehandlungen zu haben. Er kenne die Problematik seiner Zähne, hätte aber noch keinen richtigen Ansatz zur Behandlung gefunden. Im Moment sei er beschwerdefrei, wisse aber das da „was gemacht“ werden müsse. Am liebsten würde er nur die Zähne 35, 36 und 45, 46 behandeln lassen, da diese nicht mehr gut aussehen würden.

Allgemeine Anamnese

Die allgemeine Anamnese war unauffällig. Der Patient rauchte nicht und hatte keine systematischen Vorerkrankungen oder Allergien. Es lagen keinerlei Atemwegserkrankungen vor.

Spezielle Anamnese

Dental - klinisch (Abb. 1-3)

  • Vorhandene, insuffiziente Füllungen an den Zähnen 35, 36, 45, 46 mit Sekundärkaries
  • Fortgeschrittene Erosion der Zähne 35, 36, 45, 46, 17, 15-25 mit bereits freiliegendem Dentin
  • Abplatzungen an den Schneidekanten der Zähne 15-23 und 33-43
  • Kariöse Läsionen der Zähne 15-25
  • Mundwinkelrhagaden durch einen abgesenkten Biss

Dental – radiologisch

  • Karies Zahn 18
  • Fortgeschrittene kariöse Läsion an Zahn 17
  • Insuffiziente Wurzelfüllung Zahn 16 mit weit fortgeschrittenem Knochenabbau
  • Großflächig sichtbare Läsionen an Zähnen 15-25
  • Zahn 26 endodontisch lege artis versorgt
  • Zähne 35, 36, 45, 46 mit insuffizienter konservierender Versorgung

Parodontal – klinisch/radiologisch (Abb. 4)

  • Parodontal unauffällig mit Sulkustiefen von 2–3 mm
  • Radiologisch kein auffälliger Knochenabbau sichtbar

Funktion

  • Deckbiss mit Einbiss der Unterkieferfrontzähne in den Gaumen
  • Keine CMD-Symptomatik vorhanden
  • Keine Habits vorhanden
  • Keine Auffälligkeiten der Kaumuskulatur und Kiefergelenke bei Palpation
  • Die Öffnungs- und Lateralbewegungen des UK waren frei und ohne Geräusche
  • Keine Muskelverspannung oder morgendliches Gefühl von Ermüdung

Planung

Nach ausführlicher mündlicher Beratung in der ersten Sitzung verstand der Patient die Vorteile der digitalen Planung und entschied sich dafür. Auch die Umsetzung der Behandlung sollte soweit möglichst mithilfe von digitalen Methoden durchgeführt werden. Hierzu wurden intra- und extraorale Bilder nach gängigem ästhetischem Protokoll angefertigt und Ober- und Unterkiefer gescannt. In einem zweiten Termin wurden die analysierten Daten vorgestellt und mit ihm besprochen. Da der Patient aufgrund vorheriger traumatischer Erlebnisse Behandlungen mit möglichst wenig Traumata bevorzugte, wurde in diesem Fall von einer Implantation Regio 16 und 26 abgeraten. Es wäre ein beidseitiger Sinuslift erforderlich gewesen und das lehnte er ab. Zahnmedizinisch war die Versorgung der Lücke 16 mit einer Brücke auch durchaus vertretbar, da der Zahn 17 bereits kariös sehr groß geschädigt war. Weiterhin musste Zahn 15 aufgrund der großflächigen Erosion auch okklusal wieder aufgebaut werden. Auch der Zahn 26 okkludierte mit den Zähnen 37 und 36, sodass Zahn 27 zur Einstellung eines angehobenen Bisses nicht unbedingt nötig sein würde.

Generell empfiehlt sich bei Patienten am Anfang einer Behandlung, bei der der Biss geändert werden muss und die funktionell beschwerdefrei sind, folgender Ansatz: So wenig wie möglich an der Okklusion ändern bzw. versuchen, anhand eines Okklusionsprotokolls die vorherige Situation so gut wie möglich auf die Zielsituation zu übertragen. Im vorliegenden Fall wurde initial ein Okklusionsprotokoll erstellt (Abb. 5 und 6).

Durch die digitale Simulation wurde dem Patienten veranschaulicht, dass eine alleinige Behandlung der Zähne 35, 36 und 45, 46 (wie anfangs von ihm gewünscht) nicht zu einem langfristig stabilen Ergebnis führen würde. Es wurde auch klar, dass der Biss angehoben werden sollte und aus diesem Grund zumindest ein Kiefer gesamtsaniert werden müsste. In diesem Fall empfahl sich, die Gesamtsanierung im Oberkiefer durchzuführen, da dort der Schaden am größten war. Es wurde besprochen, dass die Behandlung unter Lachgassedierung durchgeführt werden sollte, um die Ängste des Patienten während der Behandlung zu minimieren.

Zusammengefasst wurden folgende Behandlungsschritte definiert:

  • Zahn 16 und 18 sollten extrahiert werden. Die entstandene Lücke sollte mit einer Brücke versorgt werden.
  • Die endodontische Behandlung des Zahnes 17 sollte erfolgen.
  • Es sollte mit einer Schienentherapie die Toleranz gegenüber einer Erhöhung des Bisses gesichert werden.Die Zähne 13-23 sollten mit palatinalen Veneers/Teilkronen und Zahn 25 mit einer Teilkrone versorgt werden.
  • Die Zähne 35, 36, 45 und 46 sollten mit Teilkronen versorgt werden.
  • Die neu eingestellte Kauebene sollte anhand von Rekonstruktion der richtigen Höcker-Fossa-Beziehung der Seitenzähne und Einstellung der Führungseigenschaften der UK-Frontzähne gesichert werden.

Es stellte sich die zentrale Frage: Wie viel soll der Biss angehoben werden?

Aus praktischer Erfahrung kann das sicherlich jeder Zahnarzt beantworten: So viel wie nötig, so wenig wie möglich. Entsprechend aktueller Literatur sollte die vertikale Änderung des Bisses in einem Arbeitsschritt jedoch nicht mehr als 4–5 mm überschreiten. Aber so viel war hier auch nicht nötig. Wir erinnern uns daran: „So wenig wie möglich“. In diesem Fall richtete ich mich nach den empfohlenen Mindeststärken der Materialien, die verwendet werden sollten. Diese lagen bei ca. 1,5 mm. Die Teilkronen der Zähne 35, 36, 45, 46 und 25 sollten aus e.max (Ivoclar Vivadent) hergestellt werden. Hier beträgt die empfohlene okklusale Mindeststärke 1,5 mm. Die Krone für Zahn 26 und die Brücke 17–15 sollte mit Katana STML Zirkon (Kuraray Noritake) hergestellt werden. Hier beträgt die geforderte okklusale Mindeststärke 1,6 mm. Die Veneers der Zähne 13-23 sollten aus dem Material Lava Ultimate (3M Espe) geschliffen werden. Der Vorteil dieses Materials ist, dass die zervikale Mindeststärke bei 0,4 mm und die okklusale bei 1,5 mm liegt. Die Verwendung dieser drei verschiedenen Materialien bot sich nicht nur aus Stabilitätsgründen, sondern auch im ästhetischen Kontext an. Das Material Lava Ultimate (3M Espe) ermöglicht durch seine Eigenschaften als Verbundkeramik (Keramikfüller bestehend u. a. aus Zirkoniumoxid und Siliziumoxid) eine hohe Biegefestigkeit verbunden mit sehr guten ästhetischen Eigenschaften. Auch die Transluzenz des Katana STML Zirkon (Kuraray Noritake) war derjenigen des Lithiumdisilikates sehr ähnlich. Die Biegefestigkeit dieser beiden Materialien liegt im hohen Bereich (> 500 MPa), sodass eine langfristige Stabilität der neuen Restaurationen gewährleistet werden konnte (Abb. 7).

Therapie

Aus den bei der Planung entstandenen Erkenntnissen folgte die Therapieplanung, die sich in drei Abschnitte gliederte

1. Abschnitt: Optimierung der häuslichen Mundhygiene

Um eine langfristige Sicherung des Behandlungsergebnisses zu gewährleisten, wurde besonders auf die Optimierung der häuslichen Mundhygiene Wert gelegt. Da bereits insuffiziente Restaurationen im Mund vorhanden waren, sollten diese ohne nennenswerte weitere Schäden über die Zeit der funktionellen Behandlung „gerettet“ werden, bis man mit den prothetischen Maßnahmen beginnen könnte. Hierzu wurden dem Patienten im Rahmen einer professionellen Zahnreinigung intensiv Mundhygienetipps vermittelt und diese anhand der Erstellung des API und BnS veranschaulicht. Durch wöchentlich erfolgende Kontrolle verbesserte sich die häusliche Mundhygiene nach ca. vier Wochen deutlich. Während der funktionellen Therapie erfolgte eine regelmäßige Kontrolle der Mundhygiene im Rahmen professioneller Zahnreinigungen, um Schäden von Zähnen und Zahnhalteapparat fernzuhalten bzw. vorzubeugen. In dieser Phase wurden die Zähne 18 und 16 extrahiert sowie Zahn 17 endodontisch versorgt (Abb. 8 und 9). Auch die Kariestherapie der Oberkieferzähne 13-23 erfolgte innerhalb dieses Abschnitts.

2. Abschnitt: Funktionstherapeutische Behandlung

Die funktionelle Behandlung erfolgte mit einer herkömmlich hergestellten Hart-Weich-Schiene. Damit wurde die Vertikale um 2 mm angehoben. Die Okklusion wurde anhand des Okklusionsprotokolls weitestgehend auf die Schiene übertragen, um in Richtung einer „balancierten Okklusion“ zu arbeiten (Abb. 10). Die Vorteile der funktionellen Behandlung wurden dem Patienten durch die digitale Planung deutlich:Durch die Änderung des Bisses wird das spätere Risiko von Zahnschäden durch Malokklusion sowie Schädigungen im Bereich des Kiefergelenkes minimiert. Die Tragedauer der Schiene betrug in diesem Fall vier Monate. Nach Abschluss dieser Zeit war der Patient nach wie vor in jeglicher Hinsicht beschwerdefrei.Nach neuer Literatur ist eine Vorbehandlung mit herausnehmbaren Apparaturen bei Patienten, die keinerlei Beschwerden vor einer Neuanpassung der Kauebene haben, nicht unbedingt nötig. Aus forensischer Sicht sollte meiner Meinung nach jedoch dieser Schritt nicht übersprungen werden. Die Schiene bietet viele Vorteile und erleichtert die anschließende Arbeit. Dies soll im Folgenden weiter erläutert werden.

3. Abschnitt: Prothetische Behandlung

Nach Abschluss der funktionellen Behandlung erfolgte die prothetische. Hier war es meiner Meinung nach unnötig, die neu angepasste Bisshöhe erst einmal mit Langzeitprovisorien „auszutesten“, da die zu nutzenden Materialien im Bereich der Härte erfahrungsgemäß keinen Bruxismus provozieren, solange der Biss richtig eingestellt ist. Hierbei hilft klassisch das Wissen über die Zahnbeziehungen zueinander, die Tripodisierung, die A-B-C-Kontakte und die Idealisierung der Spee-Kurve weiter. Um die Bisshöhe von der Schiene auf die klinische Situation zu übertragen, wurde wie folgt vorgegangen:

  • Nach Abschluss der funktionstherapeutischen Behandlung wurden aktuelle Situ-Modelle vom Ober- und Unterkiefer angefertigt.
  • Hiernach wurden die Modelle im Mittelwertartikulator einartikuliert; allerdings diesmal mit der Schiene als Bissschlüssel.
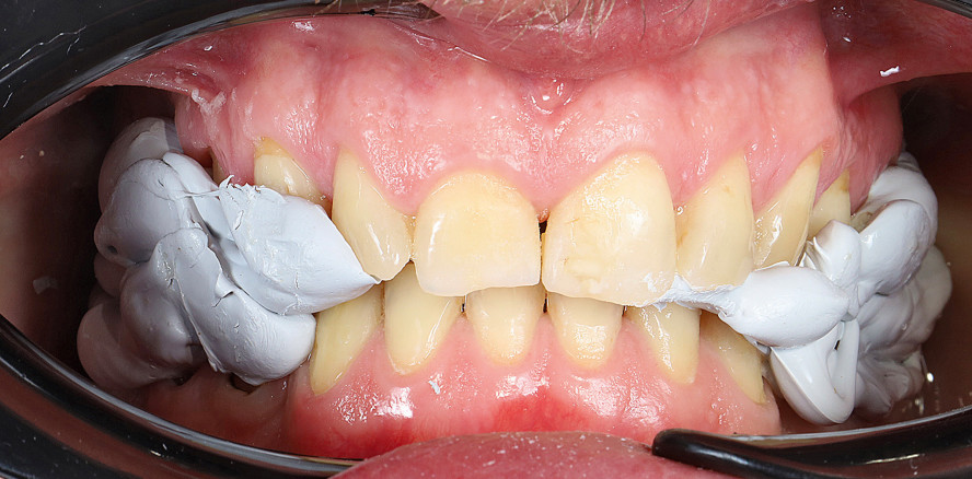
  • Nach der Einartikulation wurde die Schiene entfernt und rechts und links ein Quetschbiss mit Metal-Bite (R-dental) auf den Gipsmodellen genommen. Somit hatte ich für rechts und links je eine getrennte Bissverschlüsselung.

Die prothetische Behandlung wurde in drei Schritte aufgeteilt (Abb. 11–13):

  1. Präparation der Zähne 35, 36, 45, 46 unter Einhaltung der Mindeststärke für Teilkronen + idealisierte digitale Konstruktion + Herstellung
  2. Eingliederung der Teilkronen 35, 36, 45, 46 + Präparation der Oberkieferzähne
  3. Eingliederung der Versorgung im Oberkiefer

Die Daten der präparierten Stümpfe wurden mit der CEREC Omnicam gesammelt. Die Konstruktion erfolgte digital, wobei vor dem bukkalen Scan die Bissschablonen aus METAL-BITE (R-dental) eingegliedert wurden.

Die Restaurationen im Unterkiefer wurden aus e.max CAD-Blöcken (Ivoclar Vivadent) erstellt und unter zahnmedizinisch gängiger Vorgehensweise adhäsiv befestigt. Im zweiten Schritt wurden die Bissschablonen im Bereich 35, 36, 45, 46 mit einer Laborfräse okklusal von innen so weit reduziert, bis sie im Bereich 37, 33 und 47, 43 wieder richtig auflagen. Hiernach wurde der ausgefräste Bereich erneut mit METAL-BITE (R-dental) im Mund unterfüttert. Somit lagen wieder sicher sitzende Bissschablonen für die Präparation des Oberkiefers vor.

Um den Biss nicht zu „verlieren“, wurden im Oberkiefer zuerst die Zähne 25, 26 präpariert. Anschließend wurde der jetzt leere Bereich in der Bissschablone links erneut mit METAL-BITE (R-dental) unterfüttert.

Dann erfolgte das gleiche Verfahren auf der rechten Seite. Zur Sicherung des Bisses wurde bei der Unterfütterung der Schablone im 2. Quadranten auch die Schablone rechts eingesetzt und vice versa. Auch hier wurden die präparierten Stümpfe mit der CEREC Omnicam gescannt und die Konstruktion erfolgte chairside mithilfe der CEREC Software (Abb. 19–21).

Der Sitz der Restaurationen wurde zuerst auf einem Kontrollmodell getestet, anschließend wurden die Krone an Zahn 26 sowie die Brücke 15–17 klinisch auf richtige okklusale Beziehung geprüft. Im letzten Schritt wurden die Veneers 13-23, die Teilkrone 25, die Krone 26 und die Brücke 15–17 hergestellt und nach gängigem Protokoll adhäsiv befestigt (Abb. 14–18).

Diskussion

Das vorliegende Behandlungsprozedere wurde aufgrund meiner in der Vergangenheit gesammelten praktischen Erfahrung entwickelt und ist offen für Verbesserungen jeglicher Art. Es ist jedoch ein gut planbares und vorhersehbares Verfahren, welches nur minimale Änderungen an der vorliegenden klinischen Situation vornimmt. Meiner Meinung nach sollte wie eingangs erwähnt das Ziel jeder Behandlung sein: „So viel wie nötig, so wenig wie möglich.“

Da bei vorliegendem Konzept der bereits bestehende Biss übernommen und „lediglich“ vertikal angehoben wird, ist es leicht anwendbar. Das ist ein entscheidender Vorteil und vereinfacht die Therapie für den praktisch veranlagten Behandler in der Zahnarztpraxis.

Bei diesem Verfahren wird statt des sonst üblichen „Frontzahnjig“ eine vorher im Artikulator erstellte Bissschablone genutzt. Meiner Ansicht nach gibt diese dem Behandler mehr Sicherheit und weniger Fehlertoleranz über die vorliegende Bissrelation, da hier von Anfang an die Seitenzähne auch miteinbezogen werden. Diese Art der Bisshebung hat aber sicherlich seine Grenzen und sollte bei einer Anhebung im Maximalbereich von 4–5 mm eher vermieden werden. In diesen hohen Bereichen sollte weiterhin mit dem Gesichtsbogen und der Ausrichtung der Oberkieferfrontzähne zur Bipupillarlinie und der Camper’schen Ebene gearbeitet werden.

Durch die schrittweise Versorgung (erst UK dann OK; erst rechts dann links) kann zu jedem Zeitpunkt kontrolliert werden, ob sich die digital konstruierten Restaurationen auch in der Realität (also klinisch) harmonisch eingliedern lassen. Da sich die Anhebung der Vertikalen nach den Materialstärken richtet, bleibt sie weit unter den von der aktuellen Literatur empfohlenen maximalen Möglichkeiten von 4–5 mm. Aus meiner Sicht waren bei einer so geringen Anhebung von 1,5–2 mm im Verlauf keine funktionellen Beeinträchtigungen zu erwarten. Diese Ansicht bestätigte sich nach mehrmaliger Verlaufskontrolle in den ersten sechs Monaten nach der prothetischen Eingliederung. Der Patient blieb beschwerdefrei.

Die Vorteile des additiven Aufbaus der Zahnhartsubstanz mit Adhäsivtechnik in Verbindung mit digitaler Planung und der Umsetzung chairside liegen hier auf der Hand und sollten auch in Zukunft weiter verbessert werden.

Ich hoffe, mit diesem Konzept eine praktisch leicht umsetzbare Vorgehensweise für Bisshebungen chairside gezeigt zu haben und freue mich auf Feedback.

Dieser Beitrag ist in der cd cosmetic dentistry 2/24 erschienen.

Mehr Fachartikel aus Cosmetic Dentistry

ePaper