Cosmetic Dentistry 19.11.2025

Integration digitaler Technologien in der ästhetischen Rehabilitation



Der vorliegende Fallbericht stellt die ästhetische und funktionale Rehabilitation einer älteren Patientin detailliert dar. Durch den Einsatz modernster keramischer Werkstoffe wurden diverse ältere Restaurationen ersetzt, um sowohl die Funktion als auch die Ästhetik der Zähne signifikant zu verbessern. Besonderes Augenmerk lag auf der synergetischen Zusammenarbeit zwischen Zahnarzt, Zahntechniker und der Patientin, die durch eine gründliche Analyse von Symmetrien, Gesichtszügen und Zahnfarben gekennzeichnet war. Eine vollständige Dokumentation dieses Prozesses diente als Basis für die erzielten ästhetischen Resultate.

Integration digitaler Technologien in der ästhetischen Rehabilitation

Foto: Dr. Malin Janson

Falldarstellung

Anamnese und Befunderhebung

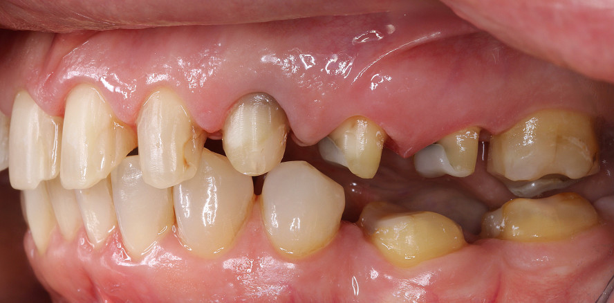
Die 66-jährige Patientin stellte sich in der Poliklinik für Zahnärztliche Prothetik der Uniklinik Köln mit dem Behandlungswunsch nach einer ästhetischen Verjüngung ihrer Frontzahnästhetik und der Wiederherstellung ihres ehemaligen harmonischen Lächelns vor. Der vorhandene festsitzende Zahnersatz war bereits 30 Jahre alt. Insbesondere ihre verfärbten freiliegenden insuffizienten Kronenränder und das Keramikchipping störten sie optisch. Der Frontzahnbereich des Oberkiefers wies multiple Kompositrestaurationen an den bukkalen and approximalen Flächen auf, die zu ungleichmäßigem Farbverlauf und Kontaktpunkten führten. Zahn 17 war alio loco durch ein LZPV versorgt, von Zahn 13 auf 16 trug die Patientin eine insuffiziente VMK-Brücke. 23 wies zwar eine regelrechte Wurzelfüllung, jedoch eine intrinsische Verfärbung auf, die trotz Walking-Bleach zu keinem zufriedenstellenden Ergebnis geführt hatte. Die Zähne 24, 25, 36, 37, 46, 47 wiesen ebenfalls insuffiziente Kronen auf. Parodontal präsentierten sich die Zähne der Patientin stabil, ohne Lockerungsgrade mit unauffälligem PSI (0/0/1/1/1/1). Die Frontzähne im Unterkiefer zeigten eine leichte Inklinationsabweichung mit interdentalen Überlappungen, charakteristisch für einen dentalen Engstand. Es gab keine klinischen Hinweise auf Parafunktionen oder einen Verlust der vertikalen Dimension, jedoch waren altersbedingte Schlifffacetten auf den Unterkieferfrontzähnen erkennbar. Abgesehen von dem endodontisch behandelten Zahn 23 waren alle Zähne vital. Zudem pflegte die Patientin eine gute häusliche Mundhygiene.

Behandlungsplanung

Zur ästhetischen und zahnmedizinischen Optimierung wurden verschiedene Behandlungsoptionen und Materialien ausführlich mit der Patientin besprochen. Bezüglich der Unterkieferfront wurde die Patientin über mögliche kieferorthopädische oder minimalinvasive prothetische Korrekturen aufgeklärt. Nach partizipativer Entscheidungsfindung wurde mit der Patientin die Versorgung der Oberkieferfrontzähne mit Veneers aus Glaskeramik geplant, um Form, Länge, Breite und Farbe harmonisch wiederherzustellen. Zudem wurden die Seitenzähne mit vollkeramischen Zirkonoxidrestaurationen versorgt, um ein einheitliches Gesamtbild zu erreichen.

Zur erfolgreichen Rekonstruktion war eine umfassende Planung und Vorbereitung erforderlich,1 dazu fanden umfassende analoge sowie auch digitale Planungsunterlagen Berücksichtigung.2 Diese erlaubten die Simulation des erwarteten Ergebnisses unter Einbeziehung von Zahnfarbe und -form, Rot-Weiß-Ästhetik, Gesichtsform, Symmetrien, Lachlinie und Lippenschluss. Zur Veranschaulichung der geplanten zahnärztlichen Versorgung und zur Abstimmung der patientenspezifischen Wünsche wurde ein diagnostisches Wax-up erstellt und ein intraorales Mock-up eingesetzt. Eine umfassende Fotodokumentation, die Bestimmung der Zahnfarbe, Festlegung der Mittellinie sowie eine Analyse der Gesichtssymmetrie wurde in enger Zusammenarbeit mit dem Zahntechnikermeister direkt am Behandlungsstuhl vorgenommen.

Konservierende Vorbehandlung und Präparation

Die Hohlkehlpräparation der Zähne 17, 16, 13, 23, 24, 25, 36, 37, 46 und 47 erfolgte nach Entfernung und Erneuerung der vorhandenen Kompositrestaurationen. Daraufhin fand die Präparation von 12-22 statt, wobei Wert auf einen minimalen Substanzabtrag der verbleibenden Zahnstruktur gelegt wurde. Die Präparationsgestaltung wurde individuell der Defektlokalisation angepasst und mittels Silikonschlüssel kontrolliert. Die Auflösung der Approximalkontakte erfolgte außerhalb der Füllungsbereiche und die Inzisalkanten wurden palatinal überkuppelt. Zum Abschluss fand eine Abrundung aller vorhandenen Kanten statt, um eine optimale Restaurationskontur zu gewährleisten.

Das Präparationsdesign von Veneers lässt sich in Non-Prep-Veneers, sog. Short-Wrap-Design, Medium-Wrap-Design, Long-Wrap-Design und Full-Wrap-Design einteilen. Bei dem Short-Wrap-Design, der minimalinvasivsten Behandlungsform, wird kaum bis gar keine Zahnhartsubstanz entfernt. Die geringe Veneerschichtstärke von circa 0,3 mm begrenzt allerdings die Wirksamkeit bei der Maskierung von Verfärbungen.3,4 Das Medium-Wrap-Design bewahrt den Approximalkontakt und erfordert eine präzise Reduktion von mindestens 0,5 mm im mittleren Drittel des Zahns, 0,7 mm inzisal und 0,3 mm zervikal.5,6 Beim Long-Wrap-Design hingegen werden etwa zwei Drittel der Approximalkontakte aufgelöst, wobei eine ähnliche Schichtdicke wie beim Medium-Wrap-Design angestrebt wird. Das Full-Wrap-Design, die umfangreichste Präparationsform, löst die Approximalkontakte komplett auf.7 Hierbei erfolgt ein Substanzabtrag von 0,5 mm zervikal, 0,7 mm im mittleren Drittel und 1 mm inzisal.

Herstellung von Provisorien und konventionelle Abformung

Nach der Präparation wurden Chairside-Provisorien (Luxatemp, DMG) mithilfe von Tiefziehschienen hergestellt und im Seitenzahnbereich mit TempBond NE sowie im Frontzahnbereich mit selektiver punktförmiger Schmelzätzung, Schmelzadhäsiv und Befestigung mittels Komposit-Flowable (Ceram.x Spectra ST flow, Dentsply Sirona) eingesetzt. Aufgrund geringer retentiver Kräfte wurden die Provisorien im Bereich 12, 11, 21 und 22 verblockt hergestellt.

Nach Platzierung von Retraktionsfäden an sämtlichen Pfeilerzähnen fand eine analoge präzise Doppelmischabformung mit additionsvernetzendem Silikonmaterial statt. Während dieses Prozesses verblieben die Retraktionsfäden in der Oberkieferfront in situ, um eine adäquate Verdrängung der Gingiva und eine optimale Darstellung des Sulkus zu gewährleisten.

Digitale Prozesse im zahntechnischen Labor

Im Zuge der digitalen Herstellung des Zahnersatzes wurden die Gerüste mittels Modellscan (E4, 3Shape) digital entworfen. Für die Fertigung der Seitenzähne kam ZR Lucent Supra (SHOFU) zum Einsatz, ein hochfestes Material aus Zirkonoxid mit einer Biegefestigkeit von 1.000 MPa bis 1.450 MPa. Dieser Fünf-Schicht-Multilayer Werkstoff vereint hohe Leistungsfähigkeit mit Ästhetik. Zur Verfeinerung der ästhetischen Eigenschaften wurde auf das Gerüstmaterial eine dünne Schicht Celtra Ceram (Dentsply Sirona) aufgetragen, deren Stärke zwischen 0,4 und 0,6 mm variiert. Diese Maßnahme ermöglichte es, die „weichere“ Schichtkeramik optimal im funktionellen Raum zu adaptieren und so eine ansprechende Ästhetik zu gewährleisten. Die zur Aufnahme von Veneers präparierten Oberkieferfrontzähne wurden in der digitalen Konstruktion im Körper- sowie Schneidebereich reduziert und im Carbon M3 Digitaldrucker mit InovaPrint Ocean Blue (HPdent) gedruckt. Nach dem Druckvorgang wurden die Teilkronen eingebettet und mit Celtra Press, einem zirkonoxidverstärkten Lithiumsilikat (ZLS) mit einer Biegefestigkeit von 550 MPa, gepresst.

Die finalen Einheiten unterzogen sich nach dem Ausbetten und Anpassen einer Verblendung mit Celtra Ceram, einer niedrigschmelzenden, leuzitverstärkten Feldspatkeramik. Diese Technik, bekannt als Tiefenschichttechnik, ermöglichte eine detailreiche und nuancierte Farbgestaltung. Abschließend wurden alle Einheiten manuell auf Hochglanz (an den Rändern und im Seitenzahnbereich) bzw. auf Seidenglanz (im labialen Bereich) poliert, was den Zahnersatz sowohl funktional als auch ästhetisch perfektionierte.

Definitive Versorgung und adhäsive Befestigung

Die adhäsive Befestigung von Veneers, insbesondere bei Materialien mit weniger als 350 MPa Festigkeit wie Glaskeramiken auf Feldspat- oder Leuzitbasis, ist in der ästhetischen Zahnmedizin essenziell. Eine exakte Einhaltung der Verfahrensschritte und absolute Trockenlegung mittels Kofferdam ist entscheidend, um optimale Haftung zu gewährleisten und Debondings zu verhindern.8,9 Für die Vorbereitung zur Befestigung in diesem Behandlungsfall wurden die Restaurationen auf Basis von zirkonoxidverstärkter Lithiumsilikatkeramik mit Fluorwasserstoffsäure-Gel behandelt, gefolgt von 37 Prozent Phosphorsäure und einer Ultraschallreinigung. Zirkonoxidkeramiken erfordern aufgrund ihrer chemischen Beschaffenheit eine spezielle Vorbehandlung mittels Aluminiumoxidstrahlung (< 50 µm, < 2 bar) und anschließender Konditionierung mit MDP-haltigen Monomeren.10 Die präparierten Zahnstümpfe wurden mit fluoridfreier Bimssteinpaste und Chlorhexidin gereinigt und poliert. Die Restaurationen wurden schließlich mit Panavia V (Kuraray Noritake) befestigt, überschüssiges Material sorgfältig entfernt und die Oberflächen abschließend gereinigt sowie polymerisiert. Eine finale Überprüfung der Okklusionskontakte sicherte die Qualität der Behandlung.

Schlussfolgerungen

Zum Behandlungsabschluss zeigte sich eine individuell optimierte Ästhetik sowie positive Annahme von Funktion und Phonetik durch die Patientin. In diesem Behandlungsfall bewährten sich erweiterte Veneers als effektive Alternative zur konventionellen Vollkronenversorgung, wobei Studien eine vergleichbare Langzeitstabilität aufzeigen.11,12 Es gilt jedoch zu beachten, dass Veneers nicht universell einsetzbar sind, insbesondere bei ausgedehnten Defekten im palatinalen Bereich, Bruxismus oder unzureichenden Schmelzarealen wird eine Anwendung nicht empfohlen.13,14,15

Die effektive Durchführung der Behandlungsplanung bis hin zur abschließenden Restauration führte zu optimalen Ergebnissen, die sowohl funktionell als auch ästhetisch überzeugen. Dabei verringerte sich die Notwendigkeit für wiederholte Anpassungen. Diese Erfolge basieren auf der engen Zusammenarbeit zwischen Zahnarzt und Zahntechniker, die durch eine sorgfältige Dokumentation mittels fotografischer Aufnahmen und präzisen Modellen unterstützt wird. Ein entscheidender Faktor für die Präzision der funktionalen Behandlungsplanung ist die detaillierte Vorausplanung, gestützt auf fortschrittliche Simulationstechniken wie Wax-up und Mock-up. Diese Methoden der Planung und Simulation stellten nicht nur zentrale Bausteine im Behandlungsprozess dar, sondern fungierten auch als essenzielle Entscheidungsgrundlage für die Festlegung der erforderlichen therapeutischen Schritte.

Literaturliste

cosmetic dentistry 02/24

cosmetic dentistry


Dieser Beitrag ist unter dem Titel „Integration digitaler Technologien in der ästhetischen Rehabilitation älterer Patienten“ ist in der cd cosmetic dentistry 2/24 erschienen.

cosmetic dentistry ist seit 2003 eine führende interdisziplinäre Fachzeitschrift für High-End-Zahnmedizin im deutschsprachigen Raum. Sie informiert Zahnärzte, Oral- und MKG-Chirurgen sowie Kieferorthopäden über neueste wissenschaftliche Erkenntnisse, Trends und Innovationen. Im Fokus stehen hochwertige ästhetische Lösungen, die über funktionale Wiederherstellung hinaus kosmetische Verbesserungen bieten.

Jetzt das ePaper lesen.

Mehr Fachartikel aus Cosmetic Dentistry

ePaper