Cosmetic Dentistry 02.04.2015

Composite-Restaurationen im Seitenzahnbereich



Composite-Restaurationen im Seitenzahnbereich

Eine gelungene Restauration bedarf neben der schonenden Präparation eines durchdachten und nachhaltigen Füllungskonzepts. Seit einiger Zeit ist oft von den sogenannten Bulk-Fill-Composites die Rede. Wo steckt das eigentliche Potenzial für den Anwender? Denn trotz der Fortschritte im Bereich der adhäsiven Zahnheilkunde ist die Schrumpfung von Composite nach wie vor als problematisch anzusehen und ein möglicher Grund für den Misserfolg einer Restauration. Während der Polymerisation schwankt die Volumenschrumpfung von Composite zwischen 1,5 und 5 Vol.-%.

Um dieser Polymerisationsschrumpfung effektiv entgegenwirken zu können, werden unter Berücksichtigung des C-Faktors (Konfigurationsfaktors) teilweise ausgeklügelte Schichttechniken angewandt: In einem zeitintensiven Vorgehen müssen die einzelnen Composite-Inkremente in geringen Mengen (Schichtdicke unter 2 mm) eingebracht und separat polymerisiert werden. Mit der Bulk-Fill-Technik (Tetric EvoCeram® Bulk Fill) ist dieses Vorgehen nun erheblich vereinfacht worden. Das Material kann in einer bis zu vier Millimeter dicken Schicht appliziert werden und ermöglicht somit die „Einschichttechnik“. Das lichthärtende, röntgenopake Nanohybrid-Composite vereint zudem alle guten Eigenschaften. Anhand zweier Patientenfälle werden im Folgenden zwei unterschiedliche Indikationen sowie deren Therapieweg aufgezeigt.

Patientenfall 1

Die Zähne 46 und 47 einer 25-jährigen Patientin zeigten Kariesläsionen (Abb. 1). Der allgemeine Gesundheitszustand der jungen Frau war gut. Nach einer Analgesie konnten die kariösen Bereiche entfernt (Abb. 2) und die Kavitäten mit einer 2-prozentigen Chlorhexidindigluconat-Lösung gespült werden. Das Ätzgel (Total Etch) wurde zuerst auf den Zahnschmelz und 15 Sekunden später auf die Dentinbereiche appliziert (Abb. 3). Die Gesamtätzdauer betrug 30 Sekunden. Anschließend wurde das Gel mit Wasser abgespült und die Kavitäten mäßig getrocknet (Abb. 4). Um die Kavität für die adhäsive Restauration vorzubereiten, sollte das Einflaschen-Adhäsiv ExciTE® F angewandt werden. Das Material enthält den Primer, das Adhäsiv sowie mehrere Lösungsmittel. Damit das Adhäsiv seine volle Wirkung entfalten kann, sollte es auf das „leicht“ feuchte Dentin appliziert werden. Die Schwierigkeit für den Zahnmediziner besteht darin, den Dentin-Feuchtigkeitsgrad zu finden, der eine optimale Penetration des Adhäsivs begünstigt.

Das ist ein Balanceakt: Ist das Dentin zu feucht, wird die Ausbildung eines durchgängigen Haftverbunds verhindert und es entsteht das sogenannte „Overwet“-Phänomen (Einschlüsse von Wasserbläschen an der Grenzfläche). Ist der Dentin-Feuchtigkeitsgrad zu niedrig, kommt es zu einem „Kollagenkollaps“.

Die falsche Applikation des Adhäsivs kann in einer unvollständigen Infiltration des Adhäsivs in der demineralisierten Dentinoberfläche (Undichtigkeit) resultieren.

Die Folge können postoperative Sensibilitäten, Randverfärbungen und früher oder später Sekundärkaries sein. Es ist also wichtig, dass die Applikationsempfehlungen des Herstellers beachtet werden.

Das Adhäsiv (ExciTE F) wurde auf die geätzte Zahnhartsubstanz aufgetragen und das integrierte Lösungsmittel mit etwas Druckluft leicht verblasen. Danach konnte die Adhäsivschicht circa zehn Sekunden im Low Power-Modus des Polymerisations- geräts Bluephase® G2 ausgehärtet werden.

Die Kavität des Zahns 47 war vier Millimeter tief; Zahn 46 hatte eine Kavitätentiefe von drei Millimetern. Mit der Bulk-Fill-Technik wurden beide Zähne mit nur einem Inkrement pro Zahn gefüllt (Abb. 5). Dieses Vorgehen ist bewusst gewählt worden. Warum? Die Patientin wies infolge eines Unfalls eine Luxation des rechten Kiefergelenks auf und konnte den Mund nur in einem begrenzten Maß öffnen. Eine zu lange Mundöffnung hätte starke Gelenkschmerzen hervorrufen können. Die Möglichkeit einer schnellen und trotzdem sicheren Füllungstechnik (Bulk-Fill) erwies sich als der ideale Weg. Das Composite (Farbe IVA) wurde mit dem OptraSculpt®-Instrument modelliert. Um einen optimalen Randschluss zwischen Zahn und Füllung zu erhalten, wurde eine Polymerisation mit niedriger Intensität gewählt. Damit konnte den Belastungen durch Schrumpfung des Composites entgegengewirkt werden. Jede der Restaurationen wurde 20 Sekunden lang im Low Power-Modus (Bluephase G2) gehärtet und danach wurden die Composite-Überschüsse mit feinkörnigen Diamantfräsen entfernt. Nach Abnahme des Kofferdams wurden die okklusalen Gegebenheiten angepasst und die Restaurationen mit Astropol®-Scheiben und-Silikonspitzen sowie Astrobrush®-Bürstchen poliert (Abb. 6 und 7).

Patientenfall 2

Der 17-jährige Patient hatte im Seitenzahngebiet umfangreiche Zahnhalskaries. Betroffen waren die bukkalen Flächen aller Zähne. An den Zähnen 37, 36, 35, 34 und 33 zeigte sich auch an den lingualen Flächen Karies (Abb. 8 bis 10).

Der allgemeine Gesundheitszustand des Patienten sowie seine häusliche Mundhygiene waren gut. Nach einem ausführlichen Gespräch mit dem jungen Mann erfuhren wir, dass er täglich große Mengen Limonade konsumiert. Die Karies und die Demineralisation sind also auf die säurehaltige Nahrung zurückzuführen. Nach einer Motivations- und Behandlungsphase mit Mundspülung und fluorierter Zahnpasta änderte er schrittweise sein Ernährungsverhalten. Die Kariesläsionen sollten mit Composite restauriert werden. Hierfür wurde die kariöse Zahnsubstanz entfernt und die Kavitäten mit einer 2-prozentigen Chlorhexidindigluconat-Lösung gespült (Abb. 11). Analog zum ersten vorgestellten Fall konnten das ätzgel Total Etch und nachfolgend das Adhäsiv ExciTE F appliziert werden. Auch hier sollte jede Kavität mit nur einem Inkrement gefüllt werden. Die Wahl fiel daher auf die zuverlässige, aber schnelle und somit patientenkomfortable Füllungstechnik mit dem Bulk-Fill-Composite Tetric EvoCeram Bulk Fill (Farbe IVA).

Das Composite wurde mit OptraSculpt-Instrumenten modelliert und jede Restauration 20 Sekunden lang im Low Power-Modus (Bluephase G2) ausgehärtet. Nach der Entfernung der Überschüsse erfolgte die Hochglanzpolitur mit Astropol-Scheiben, -Silikonspitzen sowie Astrobrush-Bürstchen (Abb. 12 und 13).

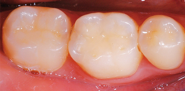
Bei einem Recall-Termin nach sechs Monaten zeigte sich eine stabile, gesunde orale Situation (Abb. 14 und 15).

Fazit

Die „Einschichtfüllung“ mit dieser „neuen“ Composite-Generation ermöglicht es, auf schnellem Weg Restaurationen anzufertigen, deren mechanische und ästhetische Eigenschaften denen herkömmlicher Composites gleichen. Die Vereinfachung des Vorgehens bedeutet sowohl für den Zahnmediziner als auch für den Patienten einen höheren Behandlungskomfort.

Mehr Fachartikel aus Cosmetic Dentistry

ePaper