Cosmetic Dentistry 07.06.2016

Einsatz biokompatibler Materialien in der ästhetischen Zone bei der Frontzahnimplantation



Einsatz biokompatibler Materialien in der ästhetischen Zone bei der Frontzahnimplantation

Foto: © Autor

Die Frontzahnregion implantologisch zu rehabilitieren stellt nach wie vor eine große Herausforderung für Zahnarzt und Zahntechniker dar. Für den langfristigen Erfolg sind profunde Planung, solide Kommunikation mit Patienten und Zahntechnikern, Erhalt von Hart- und Weichgewebe, Patientencompliance und der Einsatz von biokompatiblen Materialien notwendig.

Insbesondere die (Wieder-)Herstellung vom optimalen Weichgewebsverhältnis ist mitunter schwierig und aufwendig. Im folgenden Patientenfall wird ein Konzept dargestellt, welches die Behandlung mithilfe von biologischen Komponenten vereinfacht, abkürzt und vorhersehbar macht.

Eine 36-jährige Patientin mit unauffälliger Allgemeinanamnese stellte sich zur Behandlung in unserer Praxis vor, mit Beschwerden an den endodontisch versorgten Zähnen 11, 21, 22. Nach eingehender Beratung und Vorschlägen von  Alternativlösungen entschied sich die Patientin zur Entfernung der apikal beherdeten Zähne 11 bis 22 mit Sofortimplantation von drei Zirkonoxidimplantaten (SDS). 

Material und Methode

Zur Optimierung der Wundheilung kam die Methode des Choukroun PRFTM (mectron) zum Einsatz. Auf die Blutentnahme aus der V. cubitalis folgend, wurden nach Zentrifugation (8 Minuten bei 1.300/min) die A-PRF Membranen im sterilen Container hergestellt. Im Anschluss an die Lokalanästhesie der betreffenden Zähne wurden diese mittels Piezotome (Acteon) unter maximaler Schonung der Weich- und Hartgewebe entfernt (Abb. 1–3). Nach gewissenhafter Kürettage wurden die Extraktionsalveolen mittels Ozongerät (SDS) dekontaminiert. Entsprechend des Bohrprotokolls wurden drei einteilige SDS-Implantate (SDS 1.0) inseriert, wobei die Ausrichtung der Implantate stets etwas nach palatinal geneigt sein sollte, um die bukkale Lamelle nicht zu kompromittieren und entsprechende ästhetische Gesetze (Tangente nach Gomez) einzuhalten (Abb. 4).

Alle Implantate wurden mit dem erforderlichen Eindrehmoment von 35 Ncm primärstabil inseriert. In die größten Hohlräume wurden die Fibrinmembranen eingeschoben und es erfolgte je eine interpapilläre Annäherungsnaht mit Gore-Tex® CV 5/0 (Abb. 5 und 6). Nach Insertion wurde der koronale Anteil der Implantate mit einem Rotringdiamanten und einem roten Winkelstück präpariert und chairside ein Provisorium hergestellt (Luxatemp Star, DMG). Wichtig ist hier die epi- bis leicht supragingivale Präparation und die leicht unterkontourierte Herstellung im Bereich des Kronenrandes zur Vermeidung von Weichgewebsirritationen (Abb. 7) und das Vermeiden jeglichen Kontaktes der Antagonisten bei sämtlichen Bewegungen. Postoperativ zeigten sich die prothetisch korrekt inserierten Implantate (Abb. 8) und die Patientin wurde angehalten, das Provisorium nicht zu belasten. Unmittelbar nach dem Eingriff erfolgte im Papillenbereich die Injektion einer kreuzvernetzten Hyaluronsäure (Periosyal Shape, Teoxane) zur Optimierung der Weichgewebe, welche durch Fibroblastenmigration und Keratinozytenproliferation durch die Hyaluronsäure katalysiert wird.

Entsprechend des Protokolles nahm die Patientin Supplements (Bone Healing Protokoll nach Dr. Nischwitz, SDS) zur Optimierung der Implantateinheilung ein, hier stellen insbesondere hochdosiertes Vitamin D und C Schlüsselrollen dar. 

Bei der postoperativen Kontrolle am nächsten Tag war die Patientin beschwerde- und schmerzfrei, es zeigte sich keinerlei Schwellung oder Hämatom. Dies ist bei dem Short Cut Concept (SCC) nach Dr. Volz nahezu die Regel. 

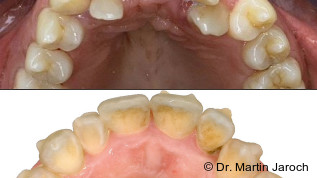
Nach drei Monaten stellte sich die Patientin mit vollständig osseointegrierten Implantaten und optimalen Weichgewebsverhältnissen zur prothetischen Versorgung der Implantate vor. Es erfolgte die Präparation der Implantate wie gehabt mit einem Rotringdiamanten unter maximaler Wasserkühlung und die Abformung mit einem Polyether-Abformmaterial (Impregum™ Duo Soft™, 3M ESPE; Abb. 10 und 11). Nach Herstellung von drei Zirkonoxid-Einzelkronen wurden diese mit einem Glasionomerzement (Ketac™ Cem, 3M ESPE) eingesetzt und die Okklusion überprüft. 

Diskussion

Die Reduktion von chirurgischen Eingriffen und minimalinvasiven Konzepten nimmt eine zentrale Rolle in der Versorgung von komplexen Implantatfällen ein, insbesondere dann, wenn die Patienten gerade im Frontzahnbereich hohe Erwartungen an Funktion und Ästhetik haben. Durch die Sofortimplantation werden aufwendige Augmentationen im Hart- und Weichgewebsbereich vermeidbar und führen zur Vereinfachung von Chirurgie und damit verbundenen deutlich reduzierten Beschwerden des Patienten, reduzierter Behandlungszeit und Behandlungskosten. Biologische Konzepte wie Kallusbildung durch ein stabiles Blutkoagel, der Einsatz von Thrombozytenkonzentraten und kreuzvernetzter Hyaluronsäure sowie die Supplementierung mit hochwertigen Produkten machen die Frontzahnimplantation nicht nur einfacher, sondern in dem ästhetischen Outcome auch vorhersehbarer als früher. Die Behandlungsdauer wird deutlich verkürzt und mit nur einem chirurgischen Eingriff patientengerecht, auch respektive der Tatsache, dass immer mehr Patienten den Wunsch nach metallfreier Versorgung hegen.

Selbstverständlich müssen für die Sofortimplantation und -versorgung Voraussetzungen vorhanden sein, insbesondere das Ausbleiben von akuten, exazerbierenden Prozessen und parodontale Integration der Nachbarzähne. Zirkonoxidimplantate bieten den großen Vorteil optimaler Weichgewebsverhältnisse durch ein echtes Attachment an die Zirkonoxidoberfläche und damit auch der Weichgewebsintegration, welche bei Titanimplantaten auch mithilfe von Zirkonoxidabutments problematisch ist. Die Zunahme periimplantärer Probleme bei Titanimplantaten und die  Zunahme von Patienten, die auf Titanoxid reagieren, macht die Suche nach Alternativen erforderlich.

Literaturliste beim Autor.

Mehr Fachartikel aus Cosmetic Dentistry

ePaper