Cosmetic Dentistry 30.08.2019

Langzeitstabile Ergebnisse in Funktion und Ästhetik



Langzeitstabile Ergebnisse in Funktion und Ästhetik

Funktionsgestörte Patienten mit stark abradierten Zähnen wieder zu rehabilitieren, ist oft schon eine He­rausforderung an sich. Häufig werden sie verkannt und aufgrund ästhetischer Ergebnisse mangelhaft behandelt. Die dentale Rehabilitation – wenn sie denn gelungen ist – aber auch über lange Zeit stabil zu halten, ist ein bedeutender und wichtiger Faktor für die Genesung. Die so häufig auftretenden Beschwerden bei craniomandibulären Dysfunktionen (CMD), z. B. Kopf- oder Rückenschmerzen sowie andere skelettale Beschwerden, können bei nicht langzeitstabilen Versorgungen und Mangel an nötigem Recall bzw. Kontrolle des Kiefergelenks wiederkehren. Zudem ist eine funktionelle Vorbehandlung meist der Schlüssel zu einem lang anhaltenden Erfolg. Dieser Beitrag schildert, wie dentale Rehabilitationen über mehrere Jahre erfolgreich betreut und aufrechterhalten werden können.

Einen Patienten über lange Zeit zu begleiten und durch regelmäßige Kontrollen den Überblick über den Krankheitsverlauf zu behalten, ist eine Herausforderung für jeden Arzt. Denn oftmals liegt der Schlüssel zum lang anhaltenden Therapieerfolg in der Konsequenz des Recalls, für dessen zuverlässiges Zustandekommen der Patient selbst verantwortlich ist. Vor allem funktionsgestörte Patienten benötigen häufig besondere Aufmerksamkeit. So legen die wenigsten nach erfolgreicher funktioneller und ästhetischer Rehabilitation die Gründe für ihr stark abradiertes Gebiss oder ihre Gewohnheiten ab.

Stressfaktoren, wie unter anderem der Berufsalltag oder sozialer sowie gesellschaftlicher Druck, lassen sich nicht einfach eliminieren und beeinflussen den Patienten auch nach erfolgreicher dentaler Genesung. Starker Bruxismus oder ein Pressen der Zähne bleiben auch dann nicht aus. Um eine wiederhergestellte Funktion stabil zu halten, können Schienen eingesetzt werden, die zugleich die Zahnhartsubstanz bzw. den Zahnersatz vor Abnutzung schützen. Die Aufgabe des Zahnarztes soll es dabei sein, den Fokus nicht nur auf ein zufriedenstellendes dentales Ergebnis zu legen, sondern auch auf dessen Langlebigkeit und funktionelle Stabilität.

Patientenfall

Ein 30-jähriger Patient stellte sich in unserer Praxis mit dem Wunsch einer schöneren Frontzahnästhetik vor. Nach erfolgter klinischer Inspektion und der Herstellung diagnostischer Röntgenbilder zeigten sich ein stark abradierter dentaler Zustand der gesamten Ober- und Unterkieferzähne sowie einige wenige kariöse Stellen.

Zur Dokumentation und Planung wurden daher ein CMD-­Kurzbefund sowie ein Fotostatus erstellt, der auch die fehlende Front- und Eckzahnführung aufzeigte. Zudem wurde ein klinischer und kinematischer Funktionsbefund (mittels JMA-Registriersystem, zebris Medical) angefertigt, der eine Gruppenführung bei den Latero­trusionen der Mandibula zu beiden Seiten ergab.

Nach erfolgter Befragung des Patienten stellte sich he­raus, dass sowohl der Genuss stark säurehaltiger Getränke als auch ein extrem ausgeprägter Bruxismus zu diesem abradierten Zahnstatus geführt hatten (Abb. 1). Die Erhebung eines Parodontalstatus ergab stellenweise eine leichte pathologische Gingivitis, jedoch keine Taschenbildung. Um die Planungsunterlagen zu vervollständigen, wurden Situationsmodelle aus Hartgips hergestellt. Nach umfassender Planung und Besprechung mit dem Patienten konnte mit der Behandlung begonnen werden. Hierzu wurde ihm mittels eines chairside angefertigtem Mock-ups gezeigt, wie viel Zahnhartsubstanz bereits verloren gegangen war. Somit konnte die Compliance deutlich gestärkt und die Motivation zur Mitarbeit erhöht werden.

Zunächst wurden die wenigen kariösen Läsionen konservativ behandelt und eine professionelle Zahnreinigung durchgeführt. Gleichzeitig wurde für den Patienten eine mittels JMA-Registrat (zebris Medial) individuell ange­fertigte Knirscherschiene hergestellt, die als Abra­sionsschutz und zur Entspannung der Kaumuskulatur diente. Zusätzlich besuchte der Patient regelmäßig einen Physiotherapeuten, der dazu beitrug, die muskulären Fehlhaltungen zu verbessern. Nach erfolgreicher vier­monatiger Schienentherapie sowie regelmäßiger Kontroll­termine und der sich daraus zeigenden hohen Compliance konnte mit der weiteren Behandlung begonnen werden.

Zunächst wurden im Unterkieferseitenzahnbereich gefräste CAD/CAM-Provisorien in Form von Table Tops eingesetzt, um funktionell die optimale Bisshöhe in zentrischer Position zu finden und festzulegen. Danach begann sex­tantenweise die prothetische Versorgung des Oberkiefers (Abb. 2a und b). Nach einer dreimonatigen Tragedauer der Kunststoff-Table-Tops und Absprache mit dem Patienten wurde der Unterkiefer ebenfalls substanzschonend prä­pariert und die einzelnen Keramikkronen eingesetzt. Um die neuerarbeitete zentrische Bisslage nicht zu verlieren, wurde der Unterkiefer ebenfalls in drei aufeinanderfolgenden Sitzungen präpariert und die Kronen eingesetzt.

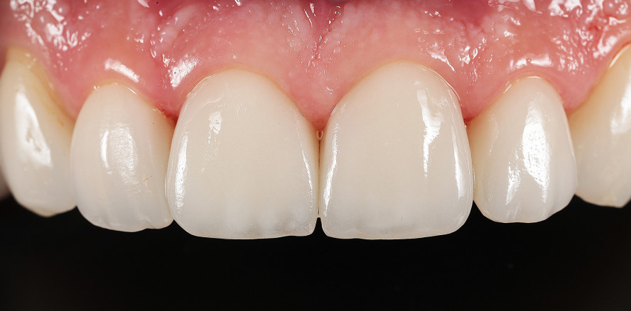
Begonnen wurde dabei mit der Unterkieferfront. Nach der Abdrucknahme in Form einer Doppelmischabformung (Impregum™, 3M ESPE) wurden die Provisorien, welche mittels laborgefertigter Tiefziehschiene und Luxatemp (DMG) hergestellt wurden, eingesetzt. Die Einzelzahnkronen wurden im Labor aus IPS e.max® Press Keramik (Ivoclar Vivadent) vollanatomisch gepresst und anschließend bemalt. Nach der Einprobe mit Chlor­hexidin-Gel erfolgte das Einsetzen adhäsiv und rein lichthärtend mit dem Syntac®-System und Tetric EvoFlow® der Farbe A1 (beide Ivoclar Vivadent).

Um einen funktionellen und ästhetischen Langzeiterfolg der prothetischen Restauration zu gewährleisten, wurde der Patient immer wieder über Essgewohnheiten auf­geklärt und seine Motivation dahingehend gesteigert. Zusätzlich wurde erneut eine Knirscherschiene angefertigt. Der Patient wurde daraufhin in ein engmaschiges Recallsystem von anfänglichen zwei- bis dreiwöchiger Kontrolle aufgenommen. Dieses konnte dann für mindestens ein Jahr auf einen dreimonatigen Recall aus­geweitet werden.

Letztendlich sollte ein solch funktionsgestörter Patient nie von seinem halbjährigen Kontrollrhythmus abweichen. Die Bilder des oben beschriebenen Patientenfalls zeigen die Verlaufskontrolle eines Zeitraums von fünf (Abb. 3a–c) bis dato zwölf Jahren (4a–d). Die dentale Rehabilitation besteht auch nach diesem Zeitraum und sowohl Ästhetik als auch Funktion zeigen zufriedenstellende Ergebnisse (Abb. 5a–c). Der Patient trägt seine Schiene regelmäßig in der Nacht und verzichtet zudem weitestgehend auf säurehaltige Getränke.

Fazit

Um funktionell bedeutende Restaurationen für lange Zeit stabil zu halten, bedarf es zunächst einer umfangreichen Erstellung sowie einer akribischen Analyse und Auswertung der Planungsunterlagen. Aber auch nach geglückter prothetischer Rehabilitation benötigt der Patient eine intensive Betreuung. Neben einer klassisch konservativen Therapie mittels einer Knirscherschiene ist auch die Compliance des Patienten von sehr hoher Bedeutung für ein gutes lang anhaltendes Ergebnis. Zudem spielen auch die Regelmäßigkeit der professionellen Zahnreinigung und die häusliche Mundhygiene eine wichtige Rolle. Es ist somit Aufgabe des Zahnarztes, den Patienten dahingehend zu führen und seine Motivation zu erhöhen. So kann auch ein langfristiges, stabil funktionelles sowie ästhetisches Ergebnis gewährleistet werden.

Dieser Beitrag ist in der cosmetic dentistry erschienen.

Mehr Fachartikel aus Cosmetic Dentistry

ePaper