Cosmetic Dentistry 30.09.2014
Restaurationen mit vollkeramischen Veneers nach Frontzahntrauma
share
Infolge des mittlerweile etablierten und immer weiter anwachsenden Mundgesundheitsbewusstseins und der gestiegenen Anforderungen unserer Patienten sind ästhetische Frontzahnrestaurationen eine nahezu tägliche Herausforderung, mit der sich klinisch tätige Kolleginnen und Kollegen auseinandersetzen müssen.
Vor allem nach Frontzahntrauma, die bisweilen mit erheblichen Defekten der Frontzähne einhergehen, sind oftmals umfangreiche Restaurationen notwendig. Die restaurativen Möglichkeiten reichen dabei von direkten Füllungs- und Restaurationstechniken bis hin zu indirekten Techniken, wie beispielsweise vollkeramischen Veneers oder Kronen. Beide Varianten haben neben zahlreichen Vorteilen – z.B. die klinischen Erfolgsaussichten, die sehr guten Langzeitergebnisse, die hochästhetischen Resultate etc. – auch den einen oder anderen Nachteil. Das Ziel dieses Beitrags soll es sein, einerseits einen Überblick über die Thematik zu geben und andererseits die Versorgung mit vollkeramischen Veneers nach Frontzahntrauma anhand eines klinischen Falls zu verdeutlichen und zu diskutieren.
Frontzahnrestaurationen – ein Überblick
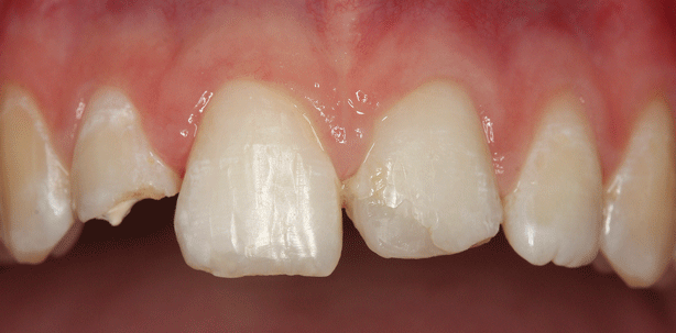
Das strahlende, gewinnende Lächeln gibt Selbstbewusstsein, erzeugt Sympathie und macht ein interessantes Gesicht erst zu einem attraktiven, schönen Gesicht. Entscheidend für ein schönes Lächeln sind neben anderen Merkmalen wie Augen, Mund, Lippen vor allem auch die Zähne. Dabei spielen neben Farbe und Form der Zähne auch der Zahnfleischverlauf und eine allgemein harmonische Lachlinie eine wichtige Rolle.18 Bisweilen vorliegende Lücken, Asymmetrien, Mittellinienverschiebungen, Zahnfehlstellungen und Missbildungen führen zu mehr oder weniger gravierenden ästhetischen Problemen, die oftmals dazu führen, dass die Betroffenen es vermeiden zu lächeln oder zu lachen.8 Eine ganz entscheidende Beeinträchtigung erleben Patienten nach Frontzahntrauma durch Sport- oder sonstige Unfälle. Zum einem ist der Erhalt des gesamten Zahnes massiv gefährdet und zum anderen resultieren Kronenfrakturen infolge eines Traumas in schwerwiegenden ästhetischen Beeinträchtigungen. Dies bedeutet nicht selten eine nicht zu unterschätzende Beeinträchtigung der Lebensqualität dieser Patientinnen und Patienten (Abb. 1).5, 11
Ästhetisch störende Probleme im Bereich der Zähne nach Frontzahntraum bedürfen daher einer modernen, hochwertigen zahnärztlichen Therapie und spielen bei der Restauration eine ganz entschei- dende Rolle.16 Für die Durchführung von Restaurationen traumatisch zerstörter und verletzter Zähne stehen dem Zahnarzt einerseits die direkten Restau- rationstechniken mit Kompositmaterialien oder auf der anderen Seite die indirekten Restaurationsmöglichkeiten mithilfe von Kronen oder Veneers aus Vollkeramik der teilweise auch Komposit zur Verfügung.1,6,14,16 Direkte Restaurationen in größerem Ausmaß sind bezüglich Zeit, Verarbeitungstechnik und Formgestaltung aufwendig und benötigen ein nicht zu unterschätzendes Maß an individuellen Fertigkeiten. Der große Vorteil liegt allerdings darin, dass die direkte Technik im Vergleich zu indirekten Verfahren weniger oder gar nicht invasiv und meist auch weniger kostenintensiv ist. Interessant er- scheint in diesem Zusammenhang, dass Patienten hinsichtlich des ästhetischen Resultats mit beiden Optionen zufrieden zu sein scheinen und, wie in einer aktuellen Untersuchung beschrieben, mittlerweile leichte Präferenzen in Richtung der direkten Versorgung haben.16 In der täglichen Praxis werden jedoch aufgrund der scheinbar höheren Erfolgssicherheit, die wissenschaftlich mittlerweile nicht eindeutig zu belegen ist,23 oft die indirekten Restaurationstechniken angewendet, die mit erheblichen Präparationsmaßnahmen, Zeitaufwand und Kosten verbunden sind. Bei Betrachtung der verfügbaren Literatur fällt zunächst auf, dass im Falle der indirekten Versorgungen mit vollkeramischen Restaurationen zahlreiche Studien publiziert wurden,1,4,9,10,12–14,19,22 während für die direkte Versorgung mit Kompositen im Frontzahnbereich nur vergleichsweise wenige Langzeitstudien existieren.25 Ein Grund hierfür mag sein, dass im Falle der Kompositmaterialien der Fokus in den letzten Jahren vor allem in der Betrachtung von Seitenzahnfüllungen (Klasse I- und II-Kavitäten) lag. Es verwundert daher nicht, dass über die Erfolgsaussichten von Kompositmaterialien im Seitenzahnbereich eine Vielzahl von hochwertigen klinischen Studien Auskunft geben.2,3,15,17 So beschreiben Studien eine Überlebenswahrscheinlichkeit von bis zu 82% über zehn Jahre17 und die jährliche Verlustrate wird von Manhart et al. mit 2,2% angegeben.15 Betrachtet man sich die publizierten unterschiedlichen Ergebnisse im Frontzahnbereich, so lässt sich zusammenfassend sagen, dass vollkeramische Restaurationen (Veneers, Kronen) sehr gute Ergebnisse über einen mittlerweile sehr langen Untersuchungszeitraum gewährleisten (Tab. 1).1,14 Erfolgsraten über einen Zeitraum von 20 Jahren wurden in einer aktuellen Studie von Beier et al. mit 82,9 % angegeben.1 Über einen Zeitraum von fünf Jahren zeigen viele Untersuchungen Erfolgsraten von 92 % und höher.4,10,12,19 Indirekt gefertigte Kompositkronen zeigten im Vergleich zu Vollkeramikkronen dagegen mit einer Erfolgsrate von 55,7% deutlich niedrigere Werte.24 Betrachtet man die Ergebnisse der wenigen Studien, die sich mit den Erfolgsaussichten von Kompositfüllungen im Frontzahnbereich beschäftigen, so stellt man fest, dass über einen Zeitraum von fünf Jahren Erfolgsraten zwischen 79 % und 96 % beschrieben werden.7, 20, 21, 25 Im Gegensatz zu den indirekten Restaurationen existieren für den Frontzahnbereich keine Studien mit Kompositen über einen längeren Zeitraum hinaus. Hauptmängel der direkten Technik sind oftmals Schwierigkeiten mit der
Randgestaltung, der Farbgebung, der Approximalraumgestaltung, der Gestaltung der transluzenteren Schmelzschicht sowie der anatomischen Form.20 Material- und verarbeitungstechnisch sind Mikroporositäten und Lufteinschlüsse keine Seltenheit. Dies kann bisweilen zu Verfärbungen und ästhetischen Einbußen führen. Daher kann gerade nach traumatischen bedingten Schmelz- und Dentinfrakturen, die aufgrund der Verletzung oft keine ausgeprägten Präparationsmaßnahmen erfordern, der Einsatz von indirekten Restaurationen, keramischen Veneers, eine vielversprechende Therapieoption zu sein.

Tabelle 1: ExemplarischeAufstellung von klinischen Studien zur Erfolgsrate von vollkeramischen Restaurationen im Frontzahnbereich.
Klinischer Fall
Die karies- und füllungsfreie Patientin erlitt nach Treppensturz ein massives Frontzahntrauma. Der Zahn 12 erlitt eine unkomplizierte Schmelz-Dentin-Fraktur und war leicht disloziert. Der Zahn 11 zeigte eine Schmelzfraktur im Bereich der Inzisalkante. Am Zahn 21 lag eine ebenfalls unkomplizierte Schmelz-Dentin-Fraktur vor, eine Dislokation lag nicht vor (Abb. 1–3). Alle Zähne zeigten eine positive Sensibilität. Die angefertigten Röntgenaufnahmen zeigten keine weiteren Befunde. Die Zähnen wurden im Notdienst versorgt: Die betroffenen Frontzähne wurden für zwei Wochen von 13–23 mithilfe einer Draht-Kompositschiene geschient und in ihrer ursprünglichen Lage fixiert. Nach Entfernung der Schiene stellte sich die 22-jährige Patientin in unserer Abteilung zur restaurativen Versorgung vor (Abb. 1–3). Alle Zähne waren weiterhin vital. Nach der Befunderhebung, Aufklärung und ausführlicher Beratung der Patientin wurde vereinbart, die Defekte im Bereich der drei Oberkieferfrontzähne 12–21 (Abb. 1–3), die von der 23-jährigen Patientin zusätzlich zu der funktionellen Beeinträchtigung als äußerst störende empfunden wurden, mithilfe von Keramikveneers zu versorgen und dadurch Form, Textur sowie die Länge wiederherzustellen (Abb. 1 und 2). Bis zum vollständigen Abheilen der marginalen Irritationen, die infolge der Entfernung der Schiene aufgetreten waren, wurde ein Provisorium angefertigt (Abb. 3). Nach Reinigung der Zähne und Entfernung der provisorischen Füllungsreste wurden die Farbauswahl zusammen mit der Zahntechnikerin (J. Pecorelli, Lexmann, Halle [Saale]) durchgeführt. Zunächst wurden unter Kofferdam die pulpanahnen Anteile mit einem Kalziumhydroxidpräparat abgedeckt und anschließend mit einem fließfähigen Komposit fixiert. Die Präparation der drei Frontzähne konnte minimalinvasiv durchgeführt werden. Der laterale Schneidezahn 22 wurde nicht präpariert (Abb. 4). An allen drei Zähnen wurden vor der Abformung Retraktionsfäden (#00 und #0, Ultrapak; Ultradent, Salt Lake City, Utah, USA) in den gingivalen Sulkus inseriert, um die marginale Gingiva zu verdrängen. Die definitive Abformung wurde mit einem konfektionierten Löffel und Impregum (3M ESPE, Seefeld) durchgeführt (Abb. 5). Nach nochmaliger Farbnahme, Gegenkieferabformung und Bissregistrie- rung erfolgte die Herstellung der Veneers (Ivoclar Vivadent, Schaan, Liechtenstein). Mithilfe eines Silikonschlüssels, der von einem vorhandenen Gipsmodell aus der ehemaligen kieferorthopädischen Behandlung genommen wurde, konnte ein Provisorium hergestellt werden (Abb. 6). Eine Woche später wurden nach Entfernung des Provisoriums die Zähne zunächst gereinigt. (Abb. 7). Alle Zähne waren weiterhin vital. Die stark individualisierten Keramikinlays (Labor: Lexmann, Halle [Saale]) konnten nach Anprobe und Überprüfung von Form, Farbe, Weichgewebskontur und Passung definitiv eingegliedert werden. Die keramischen Veneers wurden nach Kofferdamapplikation adhäsiv eingesetzt. Dazu erfolgte zunächst die Konditionierung der Schmelzbereiche der Zähne mit Phosphorsäure (37 %). Die Befestigung der Veneers erfolgte entsprechend der Herstellerangaben mit Variolink II (Ivoclar Vivadent, Schaan, Liechtenstein). Als Haftvermittler diente das bewährte Mehr-Flaschen-Adhäsiv Syntac (Ivoclar Vivadent, Schaan, Liechtenstein). Alle Komponenten wurden exakt nach Herstellerangaben appliziert. Das Abschlussbild der eingegliederten Oberkieferrestauration zeigt ein ästhetisch ansprechendes Behandlungsergebnis nicht nur im Bereich der „weißen“, sondern auch der „roten“ Ästhetik (Abb. 8–11). Die Restaurationen gliedern sich trotz der vorliegenden fluorotischen Veränderungen harmonisch in das Gesamtgebiss ein.
Zusammenfassung
Die keramischen Veneers können, wie in vorliegendem Fall gezeigt, bei ausgeprägten Defekten, wie sie bisweilen nach Frontzahntrauma vorliegen, und geeigneter Indikation eine optimierte und durchaus minimalinvasive restaurative Versorgung im Frontzahnbereich ermöglichen und schaffen in Hinblick auf die Funktion und Ästhetik ein hervorragendes Ergebnis. Die Langzeitprognose und die Haltbarkeit der indirekt hergestellten Keramikveneers ist bekanntermaßen als sehr gut einzustufen.1, 10, 14
Hier gibt's die vollständige Literturliste
Autoren: Prof. Dr. med. dent. habil. Christian R. Gernhardt, Dr. med. dent. Juliane Hertwig