Cosmetic Dentistry 28.02.2011

Zähne zeigen mit Veneers



Zähne zeigen mit Veneers

In der Praxis stellte sich ein 32-jähriger Patient vor, der eine Beratung bezüglich einer Aufhellung seiner Zähne wünschte. Wie dem Ausgangsfoto (Abb. 2) zu entnehmen ist, hatte der Patient eine sehr gelbliche Zahnfarbe. Im Beratungsgespräch wurde schnell klar, dass der Patient unter seinem bestehenden visuellen Zahnzustand ersichtlich litt. Abbildung 1 zeigt, dass der Patient sich bereits angewöhnt hatte, seine Zähne beim Lächeln mit den Lippen zu verdecken.

Bei weiteren Nachfragen über die Wünsche und Erwartungen des Patienten war ersichtlich, dass seine Unzufriedenheit über sein Lächeln nicht mit einem einfachen Ble­aching zu beheben sein würde. Neben der Unzufriedenheit über seine Zahnfarbe und sein Lächeln insgesamt teilte der Patient mit, dass er eine latente Zahnarztangst hat und zwar seit Langem eine Verschönerung seines Lächelns wünscht, aber keinen Eingriff in seine Zahnsubstanz möchte. Mit dem Patienten wurden dann die verschiedenen Möglichkeiten der Non-Prep-Veneertechnik besprochen.


Diagnostik und Beratung

Aufgrund des bestehenden Zahnengstandes im Frontbereich und den damit verbundenen Schiefstellungen wurde dem Patienten eine kieferorthopädische Vorbehandlung angeraten. Dies lehnte der Patient jedoch kategorisch ab. Er hatte sich als Jugendlicher bereits einer kieferorthopädischen Behandlung unterzogen und assoziierte damit eine lange Behandlungsdauer sowie allgemein negative Erfahrungen. In diesem Zusammenhang wurden ihm die Möglichkeiten der modernen Erwachsenen-KFO mit einem herausnehmbaren, unsichtbaren Schienensystem erläutert. Dies fand der Patient zwar interessant, erklärte aber, dass er eine schnelle Lösung wünscht. So wurde die Beratung auf eine Non-Prep-Veneerlösung fokussiert. Von der Aussicht, ohne ein Beschleifen der Zahnsubstanz nicht nur die Zahnfarbe, sondern auch die Zahnform und im begrenzten Maß auch die Zahnstellung zu harmonisieren, war der Patient sofort angetan. Somit war schnell eine Einigkeit über die gewünschte Behandlung gefunden. Vom Patienten kam dann die Frage nach dem Preis einer solchen Behandlung. Er erklärte, dass er für die Behandlung lediglich ein Budget von unter 4.000 Euro zur Verfügung hätte. Mit dem Patienten wurden ausführlich die verschiedenen Materialvarianten des gewählten Brite-Veneers-Systems besprochen. Brite-Veneers sind in drei Varianten erhältlich (Hybridkomposit Veneer mit Keramikanteil, Ceramic und handcrafted – 100% Vollkeramik). Aufgrund der Vielfalt des Systems ist es somit möglich, für die verschiedenen ästhetischen Ansprüche der Patienten in Zusammenhang mit deren zur Verfügung stehenden Budgets individuell passende Lösungen zu finden. Im gegebenen Fall entschied sich der Patient für eine Behandlung mit den BriteVeneers Hybrid.

Behandlungsablauf

Auf Wunsch des Patienten wurde vor der Veneerbehandlung ein Zahnbleaching durchgeführt. Da Non-Prep Veneers mit i.d.R. 0,3 mm Dicke sehr dünn sind, hat bei Non-Prep Veneers die Zahnuntergrundfarbe eine große Auswirkung auf das Endergebnis. Dieses wird durch das Zusammenspiel von Veneerfarbe, Zahnuntergrundfarbe und Zementfarbe bestimmt. Um im gegebenen Fall die vom Patient gewünschte Aufhellung zu erreichen, ohne einen sehr opaken Zement einzusetzen und eine Harmoni­sierung der Zahnfarbe des mit Veneers zu versorgenden Oberkiefers und den noch nicht zu behandelnden Unterkiefer herzustellen, wurde ein Zahnbleaching mit dem schonenden BriteSmile System (nur 15% H2O2) durchgeführt (Abb. 3). Nach dem Bleaching wurde ersichtlich, dass durch eine voraus­gehende kieferorthopädische Behandlung mit Brackets einpolierte Kompositflecken sichtbar waren, die nicht durch das Bleaching aufgehellt werden konnten (Abb. 4). Dies zeigt, dass hier ein Bleaching allein nicht zu einem op-
timalen ästhetischen Endergebnis führen konnte.

Ein weiterer wichtiger Aspekt für ein ansprechendes Endergebnis ist eine ausführliche Farbberatung mit dem Patienten. Hierfür sollte Sorgfalt und Zeit eingeplant werden, insbesondere um die Vorstellung des Patienten mit dem realistisch zu erzielenden Ergebnis in Einklang zu bringen. In meiner Praxis zeichnet sich ein deutlicher Trend nach idealtypisch weißen Zähnen ab. Wichtig ist aber m.E. immer, den Patienten bei dessen Wunsch nach einer deutlichen Zahnaufhellung einen Weg zur natürlichen Harmonie der Zahnfarbe im Gesicht zu weisen. Insbesondere ist darauf zu achten, dass das Weiß der Zähne mit dem Pupillenweiß harmoniert. Für die Farbberatung und Dokumentation wurde sowohl der VITA Easyshade als auch der VITA Linearguide 3D-MASTER verwendet.

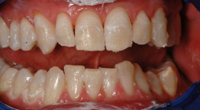
Die eigentliche Behandlung erfolgte in lediglich zwei Sitzungen. In der ersten Sitzung wurde die Beratung, Fotodokumentation, Abdrucknahme und das Bleaching durchgeführt. In der zweiten Sitzung nach circa zwei Wochen erfolgte dann der Einsatz der Veneers. Durch das verwendete Traysystem ist es möglich, bis zu zehn Veneers in einem Schritt innerhalb einer Stunde einzusetzen (Abb. 5). Hierzu wurden die Zähne mit einem groben schwarzen Diamanten ohne Anpressdruck zunächst leicht angeraut. Anschließend wurden die Zähne mit 37%iger Phosphorsäure angeätzt. Eine Silanisierung der Veneers war nicht erforderlich, da diese bereits durch das Labor erfolgt war. Auf die einzelnen Zähne wurde anschließend ein Adhäsiv appliziert, welches eine gute Haftung zwischen Zahn, Komposit und Veneer garantiert. Im gegebenen Fall wurde mit einem One Step Wet Bonding ge­arbeitet. Der Einsatz der acht Veneers mit dem Traysystem erfolgte mit einem lichthärtenden Befestigungskomposit der Farbe transparent aus dem Variolink Veneersystem. Infolge der breiten Farbvariation des Adhäsivbefestigungssystems sind hier neben der Farbgebung der Veneers, wie bereits voranstehend erläutert, weitere Möglichkeiten zur individuellen Farbgebung gegeben. Sodann wurden die Veneers angehärtet und vor der Abnahme des Trays die Überstände am Zahnfleischsaum entfernt. Anschließend wurde das Tray vorsichtig entnommen. Vor dem endgültigen Aushärten der Veneers wurden die weiteren Überschüsse entfernt und die Interdentalräume gesäubert. Hier ist sehr vorsichtiges Arbeiten wichtig. Abschließend erfolgte die Lichthärtung aus verschiedenen Winkeln, um eine vollständige Polymerisation zu erhalten. Wie Sie den Abschlussbildern entnehmen können, war der Patient von dem Ergebnis begeistert (Abb. 5–6).

Positivierung und Harmonisierung der Lachlinie

Ich persönlich finde es faszinierend, wie sich auch mit den kostengünstigen Hybridveneers zu einem erschwinglichen Preis das gesamte Gesicht des Patienten und insbesondere die Lach­linie verändert haben. Bei einem so jungen Patienten können wir nicht von einer Verjüngung des Lächelns sprechen, aber die Positivierung und Harmonisierung der Lachlinie und des gesamten Lächelns ist unübersehbar. Zugleich hat der Patient Vertrauen gewonnen, nunmehr selbstbewusst seine Zähne zu zeigen.

Mehr Fachartikel aus Cosmetic Dentistry

ePaper