Endodontologie 24.11.2025

Ausgedehnte apikale Osteolyse mit orthogradem MTA-Verschluss

Apikale Läsionen mit ausgeprägter Ausdehnung stellen in der endodontischen Behandlung eine besondere Herausforderung dar. Radiologisch sichtbare Defekte von mehr als einem Zentimeter werden klinisch häufig als Zysten interpretiert.

Ausgedehnte apikale Osteolyse mit orthogradem MTA-Verschluss

Foto: Dr. Kevin Hofpeter

Oft wird angenommen, dass diese vermuteten Läsionen nach einer Wurzelkanalbehandlung nur unzureichend oder gar nicht ausheilen können. Tatsächlich machen echte apikale Zysten jedoch weniger als zehn Prozent aller endodontisch bedingten apikalen Läsionen aus und können vermutlich in vielen Fällen allein durch eine suffiziente Wurzelkanalbehandlung ausheilen.1–3

Die Pathogenese apikaler Zysten ist bislang nicht abschließend geklärt.4 Sicher ist jedoch, dass sie von einer nicht keratinisierten Epithelauskleidung variabler Dicke umgeben sind und charakteristischerweise Cholesterinkristalle im Lumen enthalten. Ihre Entstehung setzt einen chronischen Reiz im Sinne einer persistierenden Infektion voraus. Man nimmt an, dass endodontisch bedingte Zysten aus der Proliferation epithelialer Zellreste der Malassez’schen Epithelscheide hervorgehen.3 Zysten können jedoch weder klinisch noch radiologisch verifiziert werden.5 Trotzdem ist es so, dass die Größe einer Läsion als prognostisch ungünstiger Faktor für den endodontischen Erfolg gilt. Vor diesem Hintergrund erschien in dem hier vorgestellten Fall eine vollständige Ausheilung der weit ausgedehnten Läsion zunächst fraglich.6, 7

Der folgende Fallbericht beschreibt die erfolgreiche Behandlung einer jungen Patientin mit traumabedingter Pulpanekrose und ausgeprägter apikaler Osteolyse an Zahn 12, die mittels Wurzelkanalbehandlung mit einem orthograden MTA-Verschluss versorgt wurde.

Behandlungsablauf

Eine 19-jährige Patientin wurde zur endodontischen Behandlung der Zähne 12 und 13 überwiesen. Laut Überweisung bestand die Diagnose einer zystischen Läsion, welche im Anschluss chirurgisch therapiert werden sollte. Die Anamnese ergab einen schweren Sturz im Alter von sechs Jahren, in dessen Folge Zahn 11 extrahiert und durch eine Komposit-Klebebrücke ersetzt worden war. Aktuell berichtete die Patientin lediglich über gelegentliches Druckgefühl im Bereich von Zahn 12.

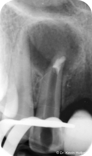
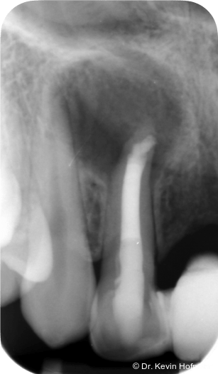
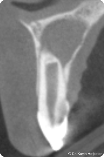
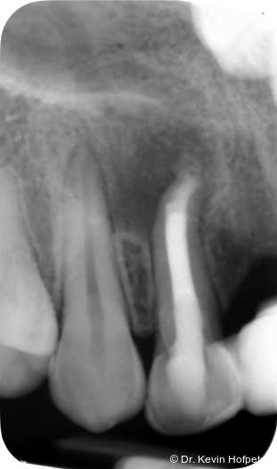
Klinisch zeigten sich die Zähne 12 und 13 karies- und füllungsfrei. Zahn 12 reagierte nicht auf Sensibilitätstests und war leicht perkussionsempfindlich. Zahn 13 reagierte unauffällig. Radiologisch zeigte sich eine ausgedehnte apikale Aufhellung am Zahn 12 sowie eine Hartgewebsformation im apikalen Kanallumen (Abb. 1–2d).

Geplant wurde eine Wurzelkanalbehandlung an Zahn 12. Die zunächst vorgesehene Zystektomie mit Wurzelspitzenresektion wurde zurückgestellt, um die Heilungstendenz nach orthograder Therapie zu beurteilen und einen chirurgischen Eingriff möglichst zu vermeiden.

Die Trepanation von Zahn 12 erfolgte unter Kofferdam und OP-Mikroskop. Das weite Kanallumen erlaubte direkte Sicht auf die apikale Hartgewebsformation. Eine mesiale Kanalabzweigung war sondierbar. Nach dem initialen Scouting konnte die Hartgewebsbrücke wegen massiven Blut- und Pus-Exsudats nicht vollständig entfernt werden. Es erfolgte eine ausgiebige Spülung mit einer kombinierten Lösung aus einem Prozent Natriumhypochlorit (Hedinger) und Dual Rinse® HEDP (Medcem). Die Herstellung der kombinierten NaOCl-HEDP-Spüllösung erfolgt klinisch einfach: 10 ml Natriumhypochlorit werden mit einer HEDP-Kapsel vermischt. Der Mischvorgang dauert ein bis zwei Minuten, bis das HEDP vollständig gelöst ist. Die entstehende Lösung wirktgewebsauflösend, desinfizierend und entkalkend. Aufgrund der begrenzten Stabilität (ca. eine Stunde) sollte die Lösung direkt vor der Behandlung angerührt werden, was während der Anästhesiezeit und des Anlegens des Kofferdams problemlos möglich ist.8 Die Aktivierung erfolgte mit einer Reinigungsfeile (XP Finisher R, FKG Dentaire) und einer Ultraschallspitze (IRRIsafe, Acteon). Anschließend wurde eine frisch angerührte Kalziumhydroxid-Einlage (Ca[OH]-Pulver mit 1 % NaOCl) eingebracht.

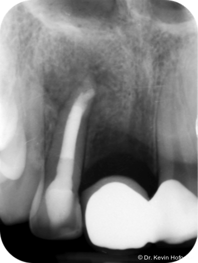
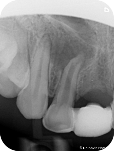
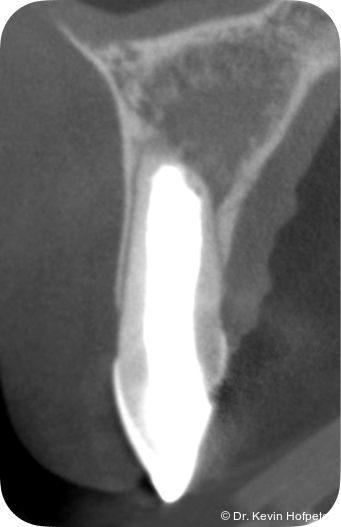
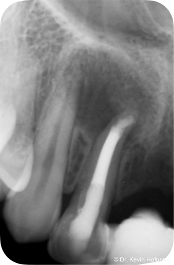
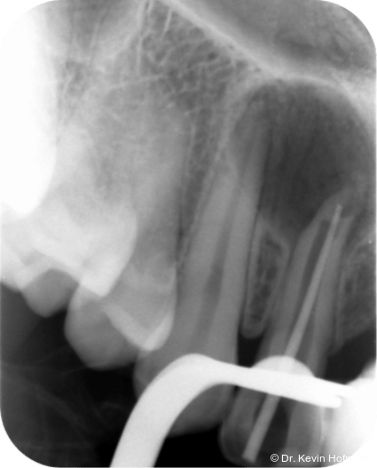
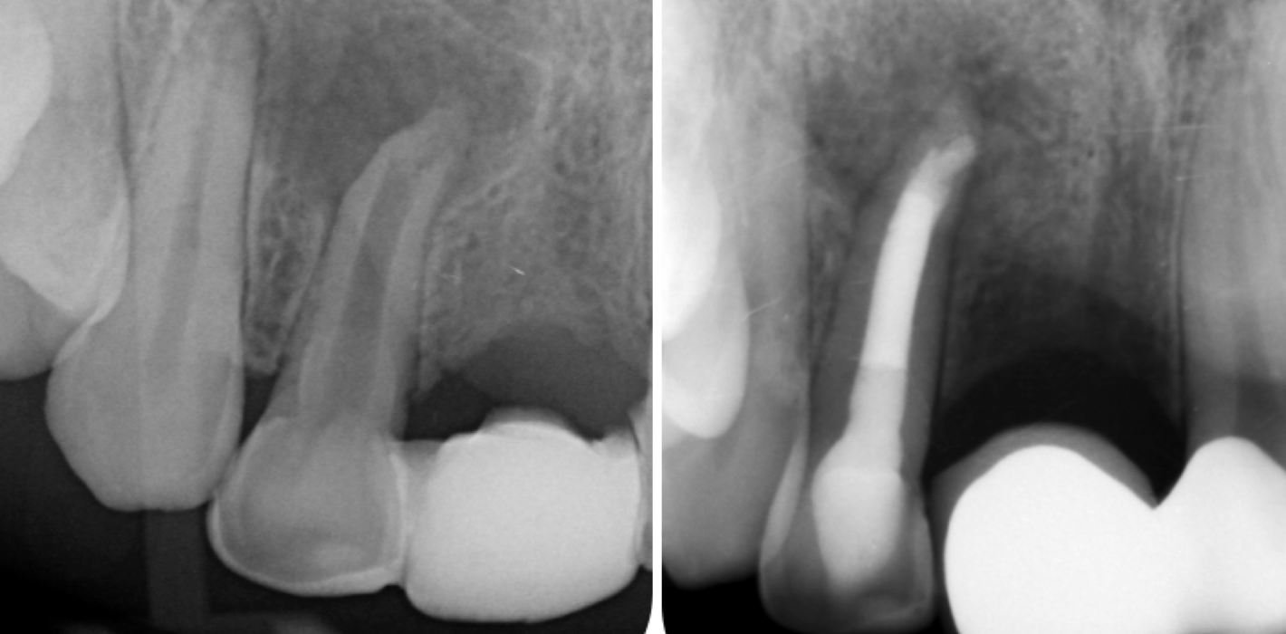
Zwei Monate später konnte die definitive Obturation erfolgen. Da der Kanal nun trocken war, konnte die Dentinbrücke im apikalen Bereich unter Sicht entfernt werden (Abb. 3). Das Mineral Trioxid Aggregat (MTA, Medcem) wurde frisch mit steriler Kochsalzlösung angemischt und mithilfe einer MTA-Gun (MAP-System, Produits Dentaires) sowie individuell angepassten Guttaperchastiften in den gekrümmten Kanalabschnitt eingebracht. Die größte technische Herausforderung bestand im Einbringen eines dichten apikalen MTA-Verschlusses hinter der Kurvatur (Abb. 4). Nachdem dieser Verschluss gesetzt war, wurde der restliche Kanal mit einem Epoxidharz-Sealer (AH Plus, Dentsply Sirona) und erwärmter Guttapercha mittels warm-vertikaler Kompaktion gefüllt und der Zugang adhäsiv verschlossen (Abb. 5).

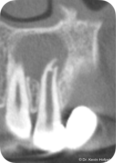
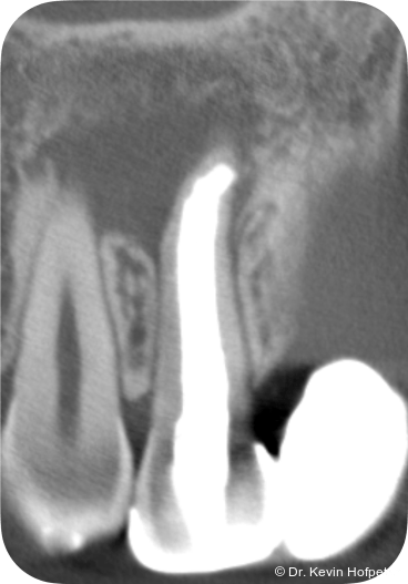
Kontrollaufnahmen nach drei, sechs, neun, zwölf und 24 Monaten zeigten eine fortschreitende knöcherne Heilung (Abb. 6–10). Die Patientin war beschwerdefrei und zeigte sich mit dem Ergebnis sehr zufrieden. Radiologisch war eine deutliche Rückbildung der Läsion erkennbar, wenngleich eine geringe apikale Aufhellung persistierte. Weitere Verlaufskontrollen wurden empfohlen.

Schlussfolgerung

Die Verwendung der NaOCl/Dual Rinse® HEDP-Lösung als alleinige Spüllösung bietet deutliche Vorteile in der endodontischen Therapie. Ihre kombinierte gewebsauflösende, desinfizierende und entkalkende Wirkung erlaubt ein effizientes „Clean-as-you-go“-Konzept, ohne dass ergänzende Spülprotokolle (z. B. mit EDTA) erforderlich sind.9–13 Dies ist insbesondere bei offenem Apex von Vorteil, da EDTA durch seine kalziumbindende Eigenschaft eine verstärkte Blutungsneigung hervorrufen kann.14 Gleichzeitig wird die Dentinoberfläche sanft konditioniert und schafft optimale Bedingungen für eine dichte Obturation unabhängig vom verwendeten Sealer.9, 11, 12

Das eingesetzte MTA (Medcem) gehört zur zweiten Generation der Portlandzement-basierten Materialien. Es zeichnet sich verglichen mit älteren Materialien durch eine feinere Partikelgröße und Zirkoniumoxid als Röntgenkontrastmittel aus, wodurch die für Bismutoxid bekannten Verfärbungen vermieden werden können.15 Dieses Produkt ist zudem auch ohne Röntgenopaker als reiner Portlandzement (Pure Portland Cement, Medcem) erhältlich.

Der vorliegende Fall zeigt, dass selbst ausgedehnte apikale Läsionen erfolgreich orthograd behandelt werden können. Entscheidend hierfür sind eine strukturierte Vorgehensweise, eine ausreichende Spülung und Desinfektion des Kanals und ein dichter apikaler Verschluss mit biokompatiblen Materialien.

Autor: Dr. Kevin Hofpeter

zur Literatur

Endodontie Journal 04/25

Endodontie Journal


Dieser Beitrag ist im EJ Endodontie Journal erschienen.

Das Endodontie Journal richtet sich an alle auf die Endodontie spezialisierten Zahnärzte im deutschsprachigen Raum und ist eine der führenden Zeitschriften in diesem Fachbereich. Das Themenspektrum des vierteljährlich erscheinenden Magazins reicht von praxisorientierten Fallberichten über klinische Studien bis hin zu Updates aus Forschung, Technik, Recht und Praxismanagement.

Jetzt das ePaper lesen.

Mehr Fachartikel aus Endodontologie

ePaper