Endodontologie 28.07.2015
Ätiologie und Therapie von MIH-Zähnen
share
Schmelzfrakturen an frisch eruptierten Molaren, die porös erscheinen, eine starke Hypersensibilität der betroffenen Zähne und sich wiederholende Füllungsverluste – dieses besondere Phänomen beschäftigt seit einigen Jahren das Fachgebiet der Kinderzahnheilkunde. Es handelt sich um das Krankheitsbild der Molaren-Inzisiven-Hypomineralisation (MIH) und spielt eine zunehmend große Rolle. Für die betroffenen Kinder ist es mit zum Teil starken Beeinträchtigungen verbunden. Die Mundhygiene ist eingeschränkt, die Kauaktivität verringert.
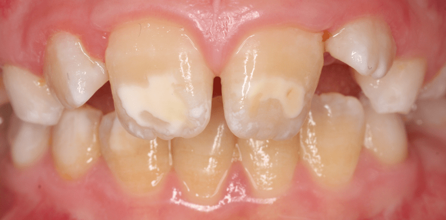
Bei der MIH handelt es sich um eine systemisch bedingte Hypomineralisation von ein bis vier bleibenden ersten Molaren, die häufig mit der Fehlstrukturierung der Inzisiven assoziiert ist (Abb. 1 und 2).1 Je mehr Molaren betroffen sind, umso größer ist die Gefahr, dass auch die oberen Inzisiven Defekte aufweisen. Der Begriff der Molaren-Inzisiven-Hypomineralisation wird seit dem Kongress der European Academy of Paediatric Dentistry (EAPD)1 im Jahre 2001 verwendet. Zuvor wurden diese Störungen der Zahnhartsubstanz als nicht endemische Schmelzflecken, idiopathische Schmelzhypomineralisation der ersten Molaren,2 Cheese molars3 oder nicht fluoridbedingte Hypomineralisationen der ersten Molaren4 bezeichnet. Die Molaren-Inzisiven-Hypomineralisation tritt bei Kindern weltweit auf, wobei die Angaben in der Literatur zur Prävalenz schwanken. Berichtet wird von Häufigkeiten zwischen 3,6 Prozent und 25 Prozent.5 Das Auftreten wird in den nordischen Ländern mit 10 bis 19 Prozent angegeben. In Deutschland leiden im Durchschnitt wahrscheinlich etwa 4 bis 14 von 100 Kindern an MIH.2, 6–8
Ätiologie
Die Frage nach den möglichen Ursachen der MIH beschäftigt nicht nur die Eltern der betroffenen Kinder, sondern auch seit vielen Jahren die zahnmedizinische Forschung. Eine Erklärung für das Phänomen gibt es allerdings bislang nicht. Die Ätiologie des Krankheitsbildes muss bis dato immer noch als nicht geklärt betrachtet werden.9,10 Diskutiert wird ein multifaktorielles Geschehen. Bekannt ist, dass die Störung der Zahnentwicklung zwischen dem 8. Schwangerschaftsmonat und dem 4. Lebensjahr aufgetreten sein muss, da in dieser Zeitspanne die Amelogenese der ersten Molaren und der Inzisivi stattfindet. Als mögliche Ursachen werden in der Literatur unter anderem Probleme im letzten Monat der Schwangerschaft, Frühgeburten, Dioxinbelastung der Muttermilch, sowie verlängertes Trinken aus Plastiktrinkflaschen diskutiert.2, 5,11,12 Weiterhin können häufige Erkrankungen in den ersten vier Lebensjahren einen Einfluss auf die Entstehung von Hypomineralisierungen der bleibenden Zähne haben.13 Insbesondere Erkrankungen, die mit Schwankungen des Kalziumphosphatspiegels einhergehen, scheinen eine Rolle zu spielen. Dazu zählen Mangelernährungszustände, Durchfallerkrankungen und Fieberzustände. Auch respiratorische oder bläschenbildende Erkrankungen werden diskutiert. Kinder mit MIH waren in Untersuchungen signifikant häufiger krank und hatten eine signifikant größere Vielfalt an Erkrankungen durchgemacht als Kinder einer Kontrollgruppe. Hervorzuheben war hier besonders die Otitis media, Pneumonien und Fiebererkrankungen. Darüber hinaus ist das Krankheitsbild der MIH eher anzutreffen bei ängstlichen und verhaltensauffälligen Kindern.14
Der klinische Befund
Betroffen sind klassischer Weise die ersten bleibenden Molaren und die Inzisiven, wobei innerhalb einer Dentition beträchtliche Unterschiede bestehen. Meist sind die Sechsjahrmolaren häufiger und ausgeprägter betroffen als die Schneidezähne. Die Oberkieferschneidezähne sind wiederum eher befallen als die unteren.4 Sind jedoch die Unterkieferfrontzähne betroffen, so kann man davon ausgehen, dass sowohl die Oberkieferschneidezähne als auch die Molaren Hypomineralisationen aufweisen.2 Dabei können lediglich einzelne Höcker oder aber die gesamte Glattfläche bzw. das Fissurenrelief bis hin nach zervikal betroffen sein.2 Die fehlstrukturierten Zähne zeichnen sich klinisch durch eine Veränderung in der Transluzenz des Schmelzes aus. Die Opazitäten können in ihrer Farbe weiß, creme, gelb oder braun sein. Geringgradig veränderte Zähne zeigen eher weiß-gelbliche oder gelb-braune, unregelmäßige Verfärbungen im Bereich der Kauflächen und/oder Höcker, schwere Hypomioneralisationsformen weisen dagegen abgesplitterte oder fehlende Schmelz- und/oder Dentinareale unterschiedlichen Ausmaßes auf.2 Je dunkler die Farbe, umso poröser ist der Zahnschmelz und umso höher ist die Gefahr des posteruptiven Substanzverlustes (meist an den Zahnhöckern) mit Dentinexposition. Die hypomineralisierten Zähne weisen im Vergleich zu nicht erkrankten Zähnen strukturelle Defizite auf. Sie sind nicht nur optisch verändert, sondern der befallene Schmelz unterscheidet sich auch durch geringere Härte, niedrigeren Mineralgehalt und erhöhte Porosität. Hierdurch wird die mechanische Belastbarkeit herabgesetzt. In der Folge platzt der Schmelz beim Kauen ab und scheint geradezu wegzubrechen.5, 7,11 Röntgenologisch ist hypomineralisierter Schmelz dem Dentin sehr ähnlich. Mikroskopisch liegen Unregelmäßigkeiten der Schmelzstruktur in Form von veränderter Verdichtung und Ausrichtung der Mikrokristallite vor. Zu ergänzen ist, dass vereinzelt als MIH beschriebene Defekte auch an anderen Zähnen der bleibenden Dentition (7er, 5er, 3er) beobachtet worden sind. Des Weiteren finden sich vermehrt auch Hypomineralisationen an den zweiten Milchmolaren und den Milcheckzähnen. Auch hier sind die Ursachen noch unklar. Klinisch können Hypomineralisationen an den Sechsjahrmolaren in drei Schweregrade von 1 (leicht) bis 3 (schwer) eingeteilt werden (nach Wetzel und Reckel).15 Dabei weisen Molaren mit Schweregrad 1 einzelne weiß-cremige abgegrenzte Opazitäten im Bereich der Kaufläche und/oder der Höcker/des oberen Kronendrittels ohne Substanzverlust auf (Abb. 3). Bei Schweregrad 2 erfassen die Opazitäten dann fast alle Höcker und das obere Kronendrittel bei geringem Substanzverlust (Abb. 4). Schweregrad 3 ist durch großflächige, gelb-braune Verfärbungen mit Defekten der Kronenmorphologie aufgrund ausgeprägter Schmelzverluste gekennzeichnet (Abb. 5). Alle diese Schweregrade können mit oder ohne Beteiligung der Schneidezähne auftreten.6 Aktuelle klinische Kriterien zur Erfassung der hypomineralisierten Zähne liegen von der EAPD vor.16 Sie beinhaltet eine Klassifikation in 3 Graden und das Fehlen von Index-Zähnen (Tab. 1).
Diagnostik
Für die Diagnose der MIH ist der klinische Befund entscheidend. Anamnestische Angaben sind dabei aufgrund der immer noch unklaren Ätiologie nur bedingt hilfreich. Differenzialdiagnostisch müssen durch den behandelnden Zahnarzt unter anderem folgende Krankheitsbilder in Betracht gezogen werden: erbliche Strukturanomalien (Amelogenesis imperfecta), postnatale Entwicklungsstörungen (Dentalfluorose, Schmelzfehlbildungen durch Tetrazyklingabe) und exogen bedingte Strukturanomalien (Trauma, apikale Entzündungen der Milchzähne [Turnerzahn], Karies).
Therapiemöglichkeiten
Die Behandlung von Kindern mit MIH ist für den behandelnden Zahnarzt oft sehr problematisch und kann diesen vor eine therapeutische Herausforderung stellen. Es gibt bisher noch keine einheitlich festgelegten Therapiestrategien zur Behandlung von hypomineralisierten Inzisiven und Molaren.17 Zur Entscheidungsfindung müssen verschiedene Faktoren gegeneinander abgewogen und eine für alle Beteiligten zufriedenstellende Lösungsstrategie gefunden werden. Zunächst einmal darf nicht außer Acht gelassen werden, dass die betroffenen Zähne sehr heiß- und kaltempfindlich sein können. Auch ein Luftzug wird von einigen Patienten bereits als unangenehm empfunden. Kinder berichten bereits bei Durchbruch der Zähne über Empfindlichkeit und Schmerzen. Aus diesem Grunde ist ihre Mundhygiene oft ungenügend, was in einer rasch voranschreitenden Karies resultieren kann. Zusätzlich kann die Compliance der jungen Patienten durch die erlebten Hypersensibilitäten und die damit verbundenen vorausgegangenen Negativerfahrungen stark eingeschränkt sein.14 Patienten mit MIH sollten frühzeitig einer umfassenden Betreuung mit engmaschigem Recallprogramm zugeführt werden. Die Therapie erstreckt sich über den Bereich der Intensivprophylaxe bis hin zu restaurativen Maßnahmen (je nach Schweregrad der Hypomineralisation). Alle betroffenen Kinder müssen engmaschig in einem Intensivprophylaxeprogramm betreut werden. Hier werden folgende Maßnahmen empfohlen: regelmäßige Zahnreinigungen und Mundhygieneanleitungen, die Applikation von Fluorid-, CHX- und CPP-ACP-Präparaten sowie die Desensibilisierung mit einem Dentinadhäsiv oder einem Versiegler und Fissurenversiegelungen. Fissurenversiegelungen können in leichten Fällen die Hypersensibilität verringern, in schweren Fällen aber den Hartsubstanzverlust nicht vorbeugen. Die Retention an betroffenen Zähnen ist oftmals schlechter als an nicht betroffenen Zähnen.14,18 Die anvisierte Behandlung wird häufig zusätzlich durch die schlechte Anästhesierbarkeit der hypomineralisierten Zähne erschwert,14 sodass die bestehende Empfindlichkeit auch nach Verabreichung einer Lokalanästhesie in vielen Fällen weiterhin bestehen bleibt. Zur möglichen Lösung wird hierzu derzeit die Gabe von Schmerzmitteln (Paracetamol) eine Stunde vor der eigentlichen Lokalanästhesie diskutiert. Dies soll die Anästhesietiefe verstärken. Für die Restauration hypomineralisierter Zähne stehen verschiedene Möglichkeiten zur Auswahl, die von verschiedenen Faktoren abhängig sind: das Alter der Patienten, die Ausdehnung und Qualität (Härte) der Zahnhartsubstanz, der Schweregrad, das Ausmaß der Empfindlichkeit und die Lokalisation der betroffenen Zähne. Sie alle nehmen Einfluss auf das zu verwendende Material.18 Für die Erstversorgung von Zähnen, bei denen aufgrund des noch unvollständigen Zahndurchbruchs keine absolute Trockenlegung möglich ist, eignen sich Glasionomerzemente. Diese müssen aber langfristig durch definitive Füllungen ausgetauscht werden.14 Amalgam hat sich nicht als geeignet erwiesen, da es aufgrund der Ausdehnung des Materials zu Aussprengungen der verbliebenen Zahnhartsubstanz kommen kann.18 Bei leichten bis mittleren Defekten sind die Komposite ein gutes Therapiemedium (Abb. 9a und 9b). Sie zeigen bei adäquater Verarbeitung eine gute Überlebensrate auch bei hypomineralisierten Zähnen.19 Da die Füllungsränder komplett im gesunden Schmelz liegen sollten, muss der gesamte defekte Schmelz entfernt werden. Anderenfalls kommt es aufgrund des eingeschränkten adhäsiven Verbundes zu dem defekten Schmelz zu weiteren Zahnsubstanzverlusten rund um die Füllungen.19 Leider besteht hier oft die Schwierigkeit, das Ausmaß der Füllung festzulegen, da die hypomineralisierten Areale schwierig zu bestimmen sind. Einige Autoren schlagen hier primär ein minimalinvasives Vorgehen vor, verbunden mit periodischer Kontrolle der gelegten Füllung.20 Der Blick in die Literatur zeigt weiterhin, dass Untersuchungen zur Wiederholungsbedürftigkeit von Kompositfüllungen an MIH-Zähnen ergeben haben, dass diese im Durchschnitt alle vier Jahre ausgetauscht werden müssen.21 In Laboruntersuchungen zeigen Self-Etch-Adhäsive bessere Haftwerte auf MIH-Zähnen als Total-Etch-Systeme.22 Darüber hinaus scheint eine vorhergehende Konditionierung mit 5 Prozent NaOCl die Schmelzhaftung aller Dentinadhäsive auf MIH-Schmelz zu verbessern. Diese liegt allerdings noch immer unter der gewohnt hohen Schmelzhaftung gesunder Zähne. Bei größerem Substanzverlust und massiven Hypersensibilitäten kann zum Erhalt betroffener Molaren als Therapieoption die Eingliederung einer konfektionierten Stahlkrone als Langzeitprovisorium gewählt werden (Abb. 10).23 Im Gegensatz zu den konfektionierten Kronen der Milchzähne ist bei dem Gebrauch dieser bei den ersten bleibenden Molaren auf eine möglichst schonende Präparation zu achten, um genügend Substanz für die spätere definitive Versorgung zu belassen. Denn nach dem 16. Lebensjahr kann die Stahlkrone dann durch eine Vollkeramik- oder VMK-Krone ersetzt werden. Neuere Therapieansätze propagieren neben der Stahlkrone den Einsatz laborgefertigter Arbeiten aus Komposit.24 Diese weisen den Vorteil auf, dass defektbezogen versorgt werden kann und es somit zu einem maximalen Schutz der nicht betroffenen Zahnhartsubstanz kommt. In schweren Fällen mit extensivem Substanzverlust der ganzen Zahnkrone, starker kariöser Zerstörung und/oder endodontischen Problemen, einhergehend mit einem periapikalen pathologischen Prozess, stellt die Extraktion der befallenen ersten Molaren eine adäquate Therapiemöglichkeit dar. Hier sollte vor Behandlungsbeginn mit einem Kieferorthopäden die Erhaltungswürdigkeit der betroffenen Zähne abgeklärt werden.25, 26 Aus kieferorthopädischer Sicht liegt der optimale Extraktionszeitpunkt für die ersten bleibenden Molaren für den Unterkiefer im Zeitraum zwischen dem 8. bis 11. Lebensjahr, im Oberkiefer vor dem 10,5. Lebensjahr.25
Zusammenfassung
Die Behandlung von MIH in der zahnärztlichen Praxis spielt eine zunehmend große Rolle. Die Ausprägung der Hypomineralisationen der betroffenen Zähne und die daraus resultierende Problematik können stark differieren. Wichtig ist, Patienten mit einer MIH frühzeitig zu erfassen und einer umfassenden Betreuung zuzuführen sowie diese in ein engmaschiges Recallprogramm einzubinden. Damit wächst die Chance, eine in funktioneller und ästhetischer Hinsicht zufriedenstellende Rehabilitation zu erreichen.
Die Literaturliste finden Sie hier.
