Implantologie 28.02.2011

Dentinogenesis imperfecta hereditaria



Dentinogenesis imperfecta hereditaria

Wie sich ableiten lässt, ist für die Betroffenen überhaupt nichts perfekt, denn eine genetisch bedingte Dentinstrukturanomalie führt zu Problemen mit den Zähnen in Funktion und Ästhetik und zwar in erheblichem Ausmaß! Die eingeschränkte Funktion kommt erst später, doch das ästhetische Defizit begleitet die Patienten von der ersten Dentition an.

Ästhetik hat nicht nur in der Fachliteratur einen hohen Stellenwert und füllt Kongresse. Ästhetik ist eines der medialen Hauptthemen unserer Zeit. Für das Selbstwertgefühl des Einzelnen ist es durchaus relevant, sich dem Idealbild anzunähern. Zum äußeren und gepflegten Erscheinungsbild hier und heute gehören unter anderem auch möglichst gerade, weiße und gepflegte Zähne, aber genau daran hapert es bei den Merkmalsträgern. „Das moderne Ganzheitsdenken, das um Ich und sein individuelles Wohlbefinden kreist, ist strukturell mitleidslos. Dies hat erhebliche soziale Auswirkungen“ (Ulrich H. J. Körtner, Wien 2009).


Die Dentinogenesis imperfecta hereditaria (medizinische Zuordnung ICD-10:K00.5) wird autosomal-dominant vererbt. Die Inzidenz beträgt 1: 8.000. Nach Shields et al. (1973) unterscheiden wir drei Gruppen: Typ I, assoziiert mit Osteogenesis imperfecta; Typ II, hereditär opaleszierendes Dentin; Typ III, Brandywine-Typ(Schalenzähne). Diese Klassifikation ist üblich, doch ist die Abgrenzung zwischen den einzelnen Typen nicht immer einfach, wie auch unser Fall zeigen wird. Wesentliches Kennzeichen der Erkrankung ist aber eine Dysplasie des Dentins, wobei die Zähne häufig eine bläuliche oder bräunlich-karamellartige Verfärbung aufweisen und ein glasartiges Erscheinungsbild haben. Da der Schmelz keine Verbindung zum Dentin hat, kommt es selbst bei normaler Belastung zu Abplatzungen und Erosionen. Die Zähne können hochgradig beweglich sein und luxieren schon bei einem geringen Trauma. Im Gegensatz zur Amelogenesis imperfecta, deren Erscheinungsbild im Regelfall durch Kronen durchaus korrigierbar ist, finden sich bei der Dentindysplasie häufig fehlende oder nur rudimentär ausgebildete Wurzeln. Dies führt dazu, dass bei den betroffenen Patienten schon im frühen Erwachsenenalter Zähne verloren gehen können. Die Patienten befinden sich in einer Situation, deren Besonderheit dadurch gekennzeichnet ist, dass alle herkömmlichen therapeutische Bemühungen (Kronen, Brücken, Teilprothesen usw.) bei älteren Familienmitgliedern mit gleicher Diagnose letztendlich doch in deren Zahnlosigkeit endeten – eine frustrierende Erfahrung! Das bereits reduzierte Selbstwertgefühl der heranwachsenden Betroffenen führt bei dem heutigen Zeitgeist zu einem hohen psychischen Druck. Internetforen belegen dies. In der Zusammenfassung stellt sich die Situation wie folgt dar:

  • ästhetische Defizite schon im Kindesalter und beim Heranwachsenden mit erheblicher psychosozialer Konsequenz
  • neben dem ästhetischen Defizit können bereits im jungen Erwachsenenalter funktionelle Einschränkungen durch Lockerung der Zähne hinzukommen
  • mit konventionellen zahnärztlichen Methoden gibt es keine dauerhafte Lösung, sodass das Finalstadium letztendlich Zahnlosigkeit bedeutet.

Methode

Obwohl die Dentinogenesis imperfecta hereditaria auch als ein Teilsymptom der Osteogenesis imperfecta gesehen wird, gibt es im Bereich von Os maxillare und Os mandibulare keine Hinweise auf knöcherne Defizite. Hieraus ist der Schluss zulässig, dass eine implantologische Rehabilitation auch in diesen Fällen dauerhaft sein sollte.

Moderne implantologische Konzepte erfordern eine intensive Zusammenarbeit von Implantologen, Prothetikern und Zahntechnikern, nicht nur bei komplexen Fällen, da aber besonders! Dies beginnt bei der Planung und endet nicht – wie im vorliegenden Fall – mit der prothetischen Versorgung der ersten Implantate. Die Versorgung der Patienten mit Dentinogenesis imperfecta erfordert eine langjährige Betreuung, wenn das Endergebnis eine wirkliche orale Rehabilitation sein soll.

Grundsätzlich stellt die implantologische Vorgehensweise bei der Dentinogenesis imperfecta keine wirkliche Schwierigkeit dar. Zähne mit einem hohen Lockerungsgrad werden entfernt, an prothetisch sinnvollen Positionen können Implantate, in der Regel als Sofortimplantation, gesetzt werden. Aus dem geringeren Platzangebot, da die Wurzeln der Zähne relativ dicht aneinander stehen oder standen, ist eine implantologische Einzelzahnversorgung nicht notwendig und auch nicht geeignet. Für Interimszeiten ist vom Behandlerteam Improvisation gefordert, das Gesamtkonzept darf dabei aber nicht aus den Augen verloren werden. Einen wesentlichen Beitrag zum wirklichen Erfolg leistet die Zahntechnik – und das von Anfang an! Die Schwierigkeit des Zahntechnikers ist es, einen Kompromiss zu suchen, umd das noch existierende Erscheinungsbild zu respektieren, und dennoch einen Schritt zu einer besseren Ästhetik zu finden. Da sich die Bedingungen in überschaubaren Zeiten verändern werden, d.h. wenn ästhetisch und funktionell relevante Zähne verloren gehen, muss die Möglichkeit gegeben sein, eine vorhandene Konstruktion zu entfernen, um sie den veränderten Bedingungen problemlos anpassen zu können.

Falldarstellung

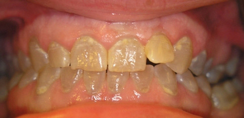
Im September 2008 kam die damals 19-jährige Patientin zur Erstkonsultation in unsere Praxis (Abb. 1). Grund ihres Besuches waren gelockerte Zähne der Oberkieferfront (11, 21, 22), wobei der Zahn 22 eine Wurzelfraktur aufwies, dies bei nur rudimentärer Ausbildung (Abb. 2). Klinisch und röntgenologisch zeigte sich das Bild einer Dentinogenesis imperfecta. Aus der Anamnese war zu entnehmen, dass auch der Vater (inzwischen zahnlos) und die jüngere Schwester Merkmalsträger sind. Auf Anraten des Vaters, der die ganze Palette einer konventionellen Prothetik schon hinter sich hat, erkundigte sich die Patientin gezielt nach einer implantologischen Lösung.

Um der Patientin sofort weiterzuhelfen und auch um die Kostenübernahme zu klären, wurde der Patientin im Oktober 2008 nach Extraktion der Zähne 11, 21 und 22 eine Interimsprothese eingegliedert (Abb. 3 und 4). Hierbei wurde bereits deutlich, wo die Schwierigkeit liegen würde. Schon bei der Prothese mussten die Zähne stark individualisiert werden, um das äußere Bild zu respektieren.

Die Implantation in Regio 11 und 21 erfolgte im Dezember 2008 (Abb. 5 bis 7). Wir hatten uns hier für das System „Seven“ (MIS Implants Technologies Ltd.) entschieden, da dieses eine fast nonablative Vorgehensweise ermöglicht. Nach der Pilotbohrung erfolgt die eigentliche Implantatbettaufbereitung allein mit Knochenkompressionsschrauben (MIS Implants Technologies Ltd.), was nicht nur dazu führt, den Knochen zu erhalten und zu verdichten, gleichzeitig sind im Einzelfall problemlos Korrekturen in der Achsenrichtung möglich. Die Finalbohrung schafft dann lediglich Formkongruenz, das selbstschneidende Gewinde des Implantates sorgt für eine hohe Primärstabilität (Abb. 8). Normalerweise versorgen wir die Implantate nach einer Einheilzeit von drei Monaten. Hier aber mussten wir vom Protokoll abweichen, da die Patientin kurz nach der Implantation schwanger wurde, bereits mit unserer Interimsversorgung hochzufrieden war, sich aber vor allem sicher fühlte. Die Freilegung erfolgte somit vier Monate post OP (Abb. 9), die Versorgung erst im Juli 2009.

Hierzu ist anzumerken, dass vom ärztlichen Kollegenkreis, wie hier die behandelnde Frauenärztin, das Umfeld der Implantologie oftmals unrealistisch und fast mystisch beurteilt wird. So wurde von einer Freilegung abgeraten – in Unkenntnis dessen, was dieses per se bedeutet. Hier besteht ein Aufklärungsdefizit! Vorrangig ist die Superkonstruktion bei Patienten mit Dentinogenesis imperfecta aus unserer Sicht so zu gestalten, dass im Nachhinein Veränderungen möglich werden. Dies gilt für die Konstruktion als solche und im Besonderen auch für die Ästhetik (Abb. 10). Wir haben die Superkonstruktion, die auf den Abutments eine angemessene Friktion haben muss, nur provisorisch befestigt, um sie im Bedarfsfall sowohl erweitern als auch ästhetisch korrigieren zu können.

Dieser Artikel soll kein Fachbeitrag für ästhetische oder kosmetische Zahnmedizin sein. Vielmehr ist unser Ziel, auf die besondere Problematik eines bestimmten Krankheitsbildes, wie hier die Dentinogenesis imperfecta hereditaria, hinzuweisen. Gleichzeitig war es unser Anliegen aufzuzeigen, welchen außerordentlichen Stellenwert der Implantologie für eine vollständige und dauerhafte orale Rehabilitation der Betroffenen zukommt und in enger Zusammenarbeit mit Prothetikern und Zahntechnikern realisierbar ist. Möglicherweise ist unser Beitrag auch eine Ergänzung zur Veröffentlichung von D. Groß et al. „Ethik in der Zahnheilkunde“ (DZZ, 2009; 64 [7]), in der es um die Diskussion über den Unterschied dieser Thematik zwischen Medizin und Zahnmedizin geht. Zitiert werden Staehle, HJ. et al. „dass die Zahnmedizin keine Leistungen anbiete, die für Patienten von vitaler Bedeutung seien“. Dies mag sein und dennoch: Das Ergebnis unserer Arbeit ist zumindest eine Patientin mit neuem Selbstwertgefühl und auch die, die daran mitgearbeitet haben, fühlen sich jetzt besser!.

Mehr Fachartikel aus Implantologie

ePaper