Implantologie 11.11.2011

Sofortbelastung in der ästhetischen Zone



Sofortbelastung in der ästhetischen Zone

Bei Zahnverlust in der ästhetischen Zone sind häufig durch pathologische Prozesse keine optimalen knöchernen Verhältnisse vorzufinden. Um ein vorhersagbares Langzeitergebnis zu erhalten, wird die temporäre Phase mit einem meist herausnehmbaren Interims­ersatz überbrückt. Um diese für den Patienten häufig schwierige Zeit so kurz wie möglich zu halten, wird in der folgenden Fallstudie eine sichere Vorgehensweise aufgezeigt.

Die klassischen Konzepte der späteren Implantation mit Wartezeiten bis zu vier Monaten führen häufig zu parodontalen Reizungen der umliegenden gingivalen Säume und manchmal sogar zu einer vorübergehenden Lockerung der temporären Haltezähne. Auf der anderen Seite ist die Erfolgsprognose sehr hoch, ein Frühverlust in der Einheilphase bei kompletter gedeckter Einheilung kaum möglich. 

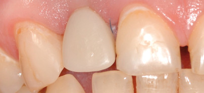
Im dargestellten Fall soll eine sichere Sofortversorgung ohne größere Augmentationen und bei sehr hoher Primärstabilität aufgezeigt werden. Die Ausheilzeit der Alveole wird auf sechs bis acht Wochen beschränkt. In dieser Zeit sind alle zahnbedingten apikalen und parodontalen Entzündungsbereiche ausgeheilt, ohne größere horizontale Resorptionen in Kauf nehmen zu müssen. Durch pontigförmige Ausformung der Gingiva mithilfe des Interimsersatzes bestehen optimale ästhetische Voraussetzungen. Bei unserem Patienten wurde nach konservierender und parodontaler Sanierung der nicht mehr erhaltungswürdige Zahn entfernt. Es lagen sowohl größere Substanzverluste der klinischen Krone als auch apikale Veränderungen vor, die zu der Entscheidung der Extraktion führten. Eine andernfalls notwendige Wurzelspitzenresektion mit der anschließenden Problematik des Stumpfaufbaues bei Läsionen bis auf den knöchernen Rand reichend, führen bei der prothe­tischen Kronenkonstruktion häufig zu ästhetischen Misserfolgen oder sogar zu Kronenstumpfaufbaulockerung mit der Wurzel. Aus der geplanten sechswöchigen Ausheilzeit, welche bei der verzögerten Sofortimplantation als ideal anzusehen ist, wurden letztendlich patientenbedingt sechs Monate. Die Resorption des Kieferkamms führte zu diesem Zeitpunkt vor allem zu einer Verschmälerung der labio-palatinalen Ausdehnung. Die horizontale Höhe war noch vorhanden. Die Gingiva wurde mittels einer froschmaulförmigen Schnitttechnik eröffnet. Die Aufbereitung des knöchernen Lagers erfolgte leicht unterdimensioniert. Bei einigen Implantatsystemen stehen hierfür mittlerweile – auch bei wurzelförmigen Implantaten – entsprechende Knochenfräsen zur Verfügung. Über einen optionalen Gewindeschneider kann der kortikale Knochen dann noch weiter aufbereitet werden.

Bei schmalen Kieferkämmen bieten sich diese konischen Instrumente nach einem Bone Splitting (Piezo) besonders an, um einen ausreichend breiten krestalen Knochen bei minimalem Aufwand zu erhalten. Eine weitere Knochenspreizung wird dann nochmals über Insertion eines konischen leicht kondensierenden Implantates erzielt. Um zu hohen Druck im lateralen Bereich zu beheben, wird das Implantat mehrmals wieder vor- und zurückgedreht. Die endgültige Position wird mit einem Drehmomentschlüssel (Werte zwischen 35 und 40 Ncm) erreicht. Im zweiten Schritt wird nun das Abutment den okklusalen Verhältnissen angepasst. Hierbei sollte der provisorische Aufbau möglichst das gleiche Emergenzprofil wie das finale Abutment aufweisen, um spätere knöcherne Resorptionen zu vermeiden. Die Verwendung eines zweiteiligen Implantates bietet den Vorteil einer einfachen Anpassung des gingivalen Verlaufes und der Abutmentlänge außerhalb des Mundes. Anschließend werden die Schleimhautlappen mit zwei Knopfnähten wieder aneinandergefügt.Die provisorische Krone wird mit einer vorgefertigten Kunststoffkrone, welche entsprechend mit einem selbsthärtenden Material aufgefüllt wird, unkompliziert und kostengünstig angefertigt. Unsere Patienten verlassen nun mit einem leicht unterdimensionierten Schneidezahn die Praxis.

Sicherlich wäre das Ergebnis bei kürzerer Ausheilzeit noch besser gewesen. Oft kommt es jedoch von Patientenseite zu unerwünschten zeitlichen Verschiebungen, welche dann zu einem höheren chirurgischen Aufwand führen. Hilfreich sind dann vor allem konische Implantatsysteme, welche bei einem Bone Splitting eine deutlich bessere Knochenspreizung erzielen. Noch schonender lässt sich die Einzelzahnimplantation mithilfe der computer­navigierten Implantation durchführen. Jedoch sprengen diese in der Planung aufwendigen Verfahren zurzeit noch häufig den finanziellen Rahmen des Patienten. Auch ist eine durch die Computernavigation mögliche Versorgung mit einer hoch ästhetischen laborgefertigten Krone vor dem Eingriff wünschenswert, aber oft nicht bezahlbar.

Eine ausführliche Literaturliste finden Sie hier.

Mehr Fachartikel aus Implantologie

ePaper