Implantologie 13.01.2014

Abnehmbare Geroprothetik



Abnehmbare Geroprothetik

Foto: © Autor

Die prothetische Versorgung bei älteren Menschen soll sich sowohl im Behandlungsablauf als auch in Bezug auf Handhabung und Pflege des Zahnersatzes einfach und wenig belastend gestalten, aber dennoch eine gute Funktion hinsichtlich Kaukomfort, Sprache und Aussehen bieten sowie möglichst langlebig und erweiterbar sein. Anhand von Fallbeispielen werden verschiedene Versorgungsmöglichkeiten mit abnehmbarem Zahnersatz im zahnlosen und im teilbezahnten Kiefer, von der Modellgussprothese mit Klammern oder Geschieben über die total- bis zur implantatretinierten Hybridprothese mit verschiedenen Haltemechanismen besprochen.

Die zahnärztliche Behandlung beim älteren oder alten Patienten stellt insofern eine zahnärztliche Herausforderung dar, als Gebrechlichkeit, (Multi-)Morbidität, (Poly-)Pharmakotherapie und eine Reduktion der kognitiven oder motorischen Fähigkeiten sowie des Seh- oder Hörvermögens eine Kooperation bei der Behandlung erschweren und auch die Compliance in der Nachsorge beeinträchtigen können. Je größer die körperliche oder geistige Beeinträchtigung ist, umso vorsichtiger sollte sich das zahnärztliche Vorgehen gestalten und umso einfacher sollte die prothetische Lösung sein. Des Weiteren muss die Pflege (Mund- bzw. Prothesenhygiene) nach dem Eingliedern eines Zahnersatzes durch den Patienten selbst oder durch zu schulende Angehörige oder Pflegepersonen gewährleistet sein. Unter Umständen ist es angezeigt, schwer zu reinigende, parodontal abgebaute Restzähne zu extrahieren und den Patienten mit Totalprothesen oder implantatverankerten Hybridprothesen zu versorgen. Allerdings ist aufgrund einer Reihe von Kontraindikationen die Insertion von Implantaten in vielen Fällen nicht oder nur unter bestimmten Vorsichtsmaßnahmen möglich.1 Auf jeden Fall soll der Zahnersatz auf langfristigen Gebrauch sowie einfache Wartung und Erweiterbarkeit ausgerichtet sein. Anhand einiger Fallbeispiele werden Lösungsmöglichkeiten mit abnehmbarem Zahnersatz für ältere Patienten mit verschiedenen Ausgangskonstellationen vorgestellt.

Totalprothesen

Die kostengünstigste und am wenigsten invasive Lösung im zahnlosen Kiefer stellt die Totalprothese dar. Je fortgeschrittener die Atrophie der Kieferkämme ist, desto mehr sind das Können und die Erfahrung des Behandlers von Bedeutung. Ein systematisches Vorgehen von der Diagnose (obligatorisch Orthopantomogramm, Inspektion der Mundhöhle, myofunktionelle Untersuchung) über die eigentliche Behandlung (Alginatabformung, Anpassung von individuellen Löffeln, Funktionsabformung, Anpassung von Wachswällen, Bissregistrierung, Wachsprobe und Protheseneingliederung) bis zur Nachsorge (Ausschleifen von Druckstellen, Remontage, Recall und eventuelle Unterfütterungen) ist empfehlenswert.2 Als Okklusionskonzept hat sich die Front-Eckzahn-Führung mit einer lingualisierten Aufstellung der Seitenzähne bewährt,3 die einerseits eine Reduktion parafunktioneller Kräfte,4,5 andererseits ein natürliches Aussehen der Prothesen bewirkt. Beim älteren Menschen ist besonderes Augenmerk auf die vertikale Dimension zu legen, die im Vergleich zur Situation mit vorhandenen, eventuell stark abgenutzten Prothesen nur behutsam erhöht werden sollte, um eine Gewöhnung an den neuen Zahnersatz zu erleichtern.6 Beim sehr alten Patienten ist unter Umständen eine Anpassung bestehender Prothesen (Unterfütterung, Remontage) erfolgversprechender als die Anfertigung neuer Prothesen. Die Abbildungen 1a bis c zeigen einen Patienten, bei dem im Jahr 2004 eine Oberkiefer-Immediat-Prothese, im Jahr 2012 nach der Extraktion nicht erhaltungswürdiger Restzähne eine Unterkiefer-Totalprothese eingesetzt wurde. Da die Zahnaufstellung der Eigenbezahnung nachempfunden wurde, wirkt der Zahnersatz sehr natürlich, auch das Sprechen funktioniert problemlos.

 

 

Modellgussprothesen bei Teilbezahnung

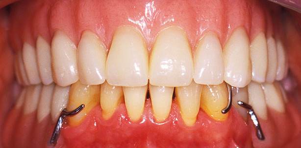
Bei Vorhandensein prothetisch nutzbarer, fester Pfeilerzähne bietet sich die Modellgussprothese mit Klammern (Abb. 2a bis d) als einfache Lösung an, wenn die Pfeiler mit oder ohne Füllungstherapie ästhetisch ansprechend und ausreichend retentiv sind. Im Schmelz eingeschliffene Aufleger verhindern ein Einsinken der Prothesen. Vor allem bei einer distalen Freiendsituation sind regelmäßige Kontrollen mit eventueller Unterfütterung angezeigt, um eine Überlastung der Klammerzähne zu vermeiden. Eine gewissenhafte Nachsorge mit Mundhygiene bzw. Parodontalbehandlung wirkt sich positiv auf den parodontalen Zustand der Haltezähne und die Überlebensdauer des Zahnersatzes aus.7 Bei größerem Substanzverlust oder unansehnlichen Restzähnen sind Klammerzahnkronen, am besten mit Schulterfräsung zur Abstützung des Modelgussskeletts (Abb. 3a bis d), oder Kronen mit intra- oder extrakoronaren Halteelementen eine Option (Abb. 4a bis c). Auch hier ist ein regelmäßiges Recall und die Aktivierung von Klammern oder Geschieben bzw. der Austausch von Retentionselementen unabdingbar.

Implantatretinierte Hybridprothesen mit Locator-Ankern

Der Locator-Anker stellt eine für den Behandler relativ einfache Variante der Prothesenretention mithilfe von Implantaten dar. Klassischerweise kommt er auf zwei bis vier interforaminal möglichst parallel zueinander gesetzten Implantaten (mit Achsendivergenzen bis maximal 40 Grad zwischen zwei Implantaten) im Unterkiefer zur Anwendung. Im zahnlosen Oberkiefer sind mindestens vier Locator- (oder Kugelkopf-) Attachments für einen gaumenfreien Zahnersatz erforderlich.1 Bei der Abformung (z. B. offene Implantatabformung mit einem individuellen Löffel), der Prothesenherstellung (Metallgerüst zur Stabilisierung) und auch bei der Handhabung durch den Patienten (Sauberhalten der Locator-Sekundärteile, vorsichtiges Einsetzen der Prothese) sind gewisse Richtlinien zu beachten, damit der Haltemechanismus langfristig funktioniert.8,9 Bei eingeschränkter Motorik und schlechtem Sehvermögen kann eine Locator-Prothese unter Umständen Schwierigkeiten bereiten. Die Abbildungen 5a bis h dokumentieren den Behandlungsverlauf einer im Oberkiefer bezahnten Patientin, die im Unterkiefer nach Extraktion der Restzähne und der Eingliederung einer Interimsprothese mit einer locatorretinierten Prothese auf vier Implantaten versorgt wurde und dann noch aus kosmetischen Gründen vollkeramische Veneers an den Oberkiefer-Frontzähnen erhielt. Seit kurzer Zeit ist ein neues Druckknopfsystem mit sternförmiger Konfiguration mit sehr niedrigen Matrizengehäusen und widerstandsfähigen Retentionselementen aus Pekkton oder Gold (SFI-Anchor, Fa. Cendres+Métaux) auf dem Markt, das Implantatdysparallelitäten von bis zu 60 Grad ausgleichen kann und überdies beim Einsetzen selbstzentrierend wirkt. Mobil im eingeschraubten Implantataufbau gelagerte Patrizen werden im Mund parallelisiert und mit einem Kunststoffkleber fixiert. Anschließend erfolgt die Abformung mithilfe niedriger, aufgesteckter Abformkäppchen. Ob sich das System bewährt, wird die Erfahrung zeigen.

Implantatretinierte Hybridprothesen mit Kugelankern

Die Verankerung von Prothesen mit zwei implantatgetragenen Kugelköpfen hat sich als einfache und preiswerte Methode vor allem beim alten Menschen mit eingeschränkter Motorik bewährt. Limitierend für ihre Anwendung ist die u.U. zu hohe (bei kleinem vertikalem Platzangebot in der Prothese) oder aber zu niedrige Dimension der Kugelkopf-Attachments (bei sehr dicker periimplantärer Mukosa). Büttel et al. geben eine Aufstellung der hinsichtlich Dimension, Haltemechanismus (Matrizen mit Lamellen, Plastikeinsatz oder Federring) und Retentionskraft unterschiedlichen Fabrikate.10 Ein Einarbeiten der Matrizen in vorhandene Prothesen ist (nach Ausschleifen der Prothesen direkt im Mund oder mithilfe einer Abdrucknahme am Modell) relativ einfach möglich. Die Abbildungen 6a bis e stellen einen Patienten mit einer Oberkiefer-Total- und einer Unterkiefer-Hybridprothese mit zwei Kugelkopf-Attachments vor, der mit dieser Versorgung schon viele Jahre gut zurechtkommt.

Hybridprothesen mit Doppelkronen auf natürlichen Pfeilern und/oder Implantaten

Die Abbildungen 7a bis h belegen die prothetische Rehabilitation einer Patientin mit einer Totalprothese im Oberkiefer nach Extraktion nicht erhaltungswürdiger Restzähne und einer teils zahn-, teils implantatgestützten Hybridprothese mit individuell gefertigten, gegossenen, zwei Grad konischen Primärkronen und Galvano-Sekundärkronen im Unterkiefer. Die Verklebung der auf die definitiv zementierten Primärkronen aufgesteckten Galvanokäppchen mit einem Tertiärgerüst im Mund mit anschließender Überabformung garantiert einen spannungsfreien Sitz der Prothese.11,12

Hybridprothesen mit implantatgetragenem Steg

Der individuell gegossene Kantsteg mit distalen Extensionen und Variosoft 3-Geschieben (Fa. Bredent) z. B. auf vier Implantaten im Unterkiefer hat sich durch gute Retention ohne Schaukelbewegung mit hohem Tragekomfort, eine einfache Handhabung der meist mit einer Metallmatrize versehenen Hybridprothese und eine unproblematische Nachsorge (in erster Linie Austausch der Kunststoffretentionselemente) bewährt.13 Bei Bruxern ist aber der Verschleiß der Retentionselemente höher. Zeichen für Parafunktion werden bei den gut haltenden Prothesen relativ häufig gefunden. Die Mundhygiene ist beim Steg etwas schwieriger als bei einzeln stehenden Ankern. Der Ersatz einer nach jahrelangem Gebrauch abgenutzten Hybridprothese durch eine neue ist mithilfe einer Silikonabformung von Kiefer und Steg relativ einfach möglich,14 abgenutzte Variosoft 3-Patrizen können mit gegossenen Aufsteckpatrizen wieder funktionsfähig gemacht werden. Der Patient aus den Abbildungen 8a bis d erhielt die Implantate und den Steg im Jahr 1998 nach einer Zungenteilresektion mit reduzierter Mobilität der Zunge, die den Halt einer konventionellen Totalprothese beeinträchtigte. Durch den Steg konnte er bis zu seinem Tod noch 12 Jahre lang die Vorzüge gut sitzenden Zahnersatzes genießen. Die moderne Variante des individuellen Stegs, der CAD/CAM-gefertigte Steg aus Titan oder einer NEM-Legierung mit diversen Halteelementen, zeichnet sich durch präzise Passung aus15,16 und ist relativ kostenintensiv, insbesondere, wenn auch die Sekundärstruktur mitgefräst wird.17 Bei der Planung und Herstellung von Steg und Prothese empfiehlt sich die Einhaltung eines genauen Protokolls inklusive der Verifizierung der Implantatposition vor dem Versand bzw. dem Scannen des Meistermodells.

Diskussion

Prothetisch hochwertige Pfeilerzähne sind vor allem im Unterkiefer von großem Wert für die Verankerung von abnehmbarem Zahnersatz, da bei Unterkiefer-Totalprothesen auch bei gewissenhafter Löffelanpassung und Abdrucknahme ein Saugeffekt deutlich schwieriger zu erreichen ist als bei Oberkiefer-Vollprothesen. Sind alle Zähne z. B. aufgrund von parodontalem Abbau oder Karies verloren gegangen, bietet sich im Unterkiefer die interforaminale Region für Implantate an, da hier auch bei hochgradiger Alveolarkammatrophie in der Regel Knochen in ausreichender Quantität und Qualität vorhanden ist. Die Knochenstruktur des Oberkiefers ist weniger dicht, die Überlebensrate von Implantaten im zahnlosen Oberkiefer ist niedriger als im zahnlosen Unterkiefer.18 Zudem kommen die meisten älteren zahnlosen Patienten mit einer Totalprothese im Oberkiefer relativ gut zurecht, während häufig über Schwierigkeiten mit dem Halt der Unterkieferprothese geklagt wird. Dies erklärt die höhere Prävalenz von implantatgestützten Unterkiefer-Versorgungen bei den vorgestellten Fällen. Jeder der gezeigten implantatgetragenen Retentionsmechanismen hat Vorund Nachteile.19 Es obliegt dem Behandler, die für den jeweiligen Patienten optimale Lösung anzubieten. In jedem Fall ist es hilfreich, mit einem in der abnehmbaren Prothetik versierten Zahntechniker zusammenzuarbeiten und diesen z. B. bei der Zahnauswahl, bei der Beurteilung angepasster Wachswälle und bei Wachsproben nach dem Prinzip „Vier Augen sehen mehr als zwei“ hinzuzuziehen. Eine individuelle, zum Typ passende Aufstellung z.B. nach einem (Jugend- oder Hochzeits-) Foto des Patienten ausgesuchter Zähne kann dazu beitragen, dass der Zahnersatz gut akzeptiert wird. Geduld und Einfühlungsvermögen sind bei der Behandlung älterer Menschen von besonderer Wichtigkeit.7

Die Literaturliste finden Sie hier.

Mehr Fachartikel aus Implantologie

ePaper