Die Aligner-Therapie hat die Kieferorthopädie revolutioniert und ist längst nicht mehr nur Erwachsenen vorbehalten. Mit speziellen Systemen einzelner Aligner-Hersteller steht heute eine Reihe innovativer Lösungen zur Verfügung, die gezielt für Kinder und Jugendliche entwickelt wurden.
In den letzten Jahren sind Aligner immer beliebter geworden. Der weltweite Markt für Aligner wächst weiterhin rasant und scheint im Begriff...
In den letzten Jahren sind Aligner immer beliebter geworden. Der weltweite Markt für Aligner...
Eine Mutter stellte ihre Tochter in der Praxis vor. Die kleine Patientin zeigte bereits äußerlich den Genotypus einer schmalen, deutlich vertikalen...
Eine Mutter stellte ihre Tochter in der Praxis vor. Die kleine Patientin zeigte bereits äußerlich...
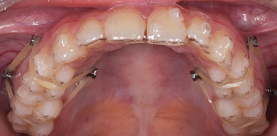
Anhand des klinischen Fallbeispiels einer 24-jährigen Patientin wird nachfolgend gezeigt, wie auch ohne festsitzende Apparatur oder chirurgischen...
Anhand des klinischen Fallbeispiels einer 24-jährigen Patientin wird nachfolgend gezeigt,...
Die Alignertherapie ist ein im klinischen Alltag fest etablierter Bestandteil eines modernen kieferorthopädischen Behandlungskonzepts, bietet...
Die Alignertherapie ist ein im klinischen Alltag fest etablierter Bestandteil eines modernen...
Lina Alattar, ZÄ in kieferorthopädischer Weiterbildung, und FZA Dr. Jörg Schwarze zeigen anhand eines klinischen Fallbeispiels den Einsatz...
Lina Alattar, ZÄ in kieferorthopädischer Weiterbildung, und FZA Dr. Jörg Schwarze zeigen...
Da Sie der Verwendung von Google Maps nicht zustimmten, kann leider keine Karte angezeigt werden.
Haben Sie schon unseren Newsletter abonniert?
Um bei unserer Anwendung Formulare zu verwenden, benötigen wir die Zustimmung um einen Token für das Absenden zu setzen.
Datenschutz und Nutzungserlebnis
Wir übermitteln Daten an Drittanbieter, die uns helfen, unser Webangebot zu verbessern und zu finanzieren. In diesem Zusammenhang werden auch Nutzungsprofile gebildet und angereichert, auch außerhalb des Europäischen Wirtschaftsraumes. Hierfür und um bestimmte Dienste zu nachfolgend aufgeführten Zwecken verwenden zu dürfen, benötigen wir Ihre Einwilligung.
Indem Sie "Alle Cookies akzeptieren" klicken, stimmen Sie diesen (jederzeit widerruflich) zu.
Unter "Manuell auswählen" können Sie die Datenverarbeitung individuell personalisieren.
Unter "Nur notwendige akzeptieren" können Sie die Datenverarbeitung ablehnen.
Indem Sie "Speichern" klicken, stimmen Sie diesen (jederzeit widerruflich) zu.
Um Kartendaten in unserer Anwendung darzustellen, nutzen wir den Kartendienst Google Maps. Willigen Sie der Nutzung von Google Maps ein, werden ggf. personenbezogene Daten (Ihre IP-Adresse) von Google erhoben.
Einbinden von Google Maps erlauben
Einige unserer Videoinhalte (bspw. Livestream) werden über die Videoplattform Vimeo bereitgestellt.
Inhalte von Vimeo erlauben
Einige Beiträge binden Inhalte von Instagram ein. Wenn Sie zustimmen, wird eine Verbindung zu Meta/Instagram aufgebaut und es können personenbezogene Daten wie Ihre IP-Adresse übertragen werden.
Inhalte von Instagram erlauben
Für ein besseres Benutzererlebnis können unsere Werbeanzeigen personalisiert werden. Um dies zu ermöglichen, wird das erstellen von Cookies vorausgesetzt. Sollten Sie diesem Dienst nicht zustimmen, werden Werbeanzeigen zufällig ausgeliefert.
Personalisierte Werbung erlauben
Um sich bei unserer Anwendung Formulare zu verwenden werden Tokens gesetzt die es uns ermöglichen Spam zu verhindern. Sollten Sie dies ausstellen, ist es Ihnen nicht mehr möglich sich bei uns anzumelden oder zu registrieren.
Anmeldeformulare absenden ermöglichen
Bei der Gestaltung unserer Anwendung benutzen wir Schriftarten von Adobe, diese werden über ein CDN geladen. Sollte Sie diesem Dienst nicht zustimmen wird die Standard Schrift des Systems benutzt. Außerdem könnte es zu Fehlern im allgemeinen Anwendungsdesign kommen.
Inhalte von Adobe erlauben
Sie können Ihre Auswahl jederzeit unter "Cookie-Einstellungen“ am Seitenende ändern.